
探讨胸腔镜手术治疗纵隔肿瘤的临床疗效。
回顾性分析安徽省立医院胸外科2009年1月—2014年12月行胸腔镜手术治疗的137例纵隔肿瘤患者的临床资料。其中男62例,女75例;年龄13~78岁,平均34岁。均在全身麻醉下行胸腔镜纵隔肿瘤切除术,观察患者手术时间、术中出血量,以及术后胸引管引流时间、住院时间和并发症发生情况。
137例患者,全胸腔镜下手术110例(80.3%),辅助小切口25例(18.2%),中转开胸2例(1.5%)。135例完成腔镜手术患者手术时间(105±48)min,术中出血量(92±36)mL,术后胸引管引流时间(4.8±1.7)d,术后住院时间(5.2±1.8)d。住院期间无一例死亡。术后并发症发生率5.8%(8/137),其中胸腔活动性出血行再次手术止血2例,术后肌无力危象3例,膈肌麻痹2例,单侧肢体无汗1例。
胸腔镜手术治疗纵隔肿瘤安全有效,患者创伤小,恢复快,值得临床推广。
版权归中华医学会所有。
未经授权,不得转载、摘编本刊文章,不得使用本刊的版式设计。
除非特别声明,本刊刊出的所有文章不代表中华医学会和本刊编委会的观点。
纵隔肿瘤是胸外科较常见疾病,目前手术是其最佳的治疗方式。传统纵隔肿瘤手术行胸骨正中切口或胸部肋间切口,具有伤口大、出血多、恢复慢、疼痛剧烈等缺点。20世纪90年代初Landreneau率先成功开展胸腔镜纵隔肿瘤切除[1]。近10余年来,胸腔镜手术因具有创伤小、出血少、恢复快、疼痛轻等优点[2] ,已成为手术治疗纵隔肿瘤的主要方法。2009年1月—2014年6月安徽省立医院胸外科应用胸腔镜进行纵隔肿瘤手术137例,现对其临床资料进行回顾性分析,报道如下。
病例纳入标准:采用胸腔镜手术切除的纵隔肿瘤;直径在5 cm以内的实质性肿块及无论大小的囊肿;肿瘤无转移病灶。病例排除标准:未行肿瘤切除,仅进行胸腔镜活检或探查者;合并其他疾病需同期行手术治疗者。137例患者中,男62例,女75例;年龄13~78岁,中位年龄34岁;病程2 d~5年,平均42 d。临床表现:无症状75例,有肌无力症状31例,咳嗽7例,胸痛9例,胸闷15例。所有患者术前常规行胸部增强CT扫描显示:单发128例,多发9例;上纵隔5例,前纵隔92例,中纵隔11例,后纵隔29例;肿瘤长径1.5~12.0 cm,平均3.8 cm。
均采用全身麻醉,双腔支气管插管或单腔气管插管结合封堵器使用,健侧通气。体位:前、上纵隔肿瘤采用30°~45°侧卧位,中、后纵隔肿瘤采用90°健侧卧位。
根据肿瘤位置来选择观察孔及操作孔:观察孔选择腋中线第6、7肋间;主操作孔选择腋前线第4、5肋间;中、后纵隔肿瘤次操作孔选择在腋后线第7、8肋间,前纵隔肿瘤选择在腋前线第3、4肋间。对于长径<2 cm的位置表浅的肿瘤,可仅用一个操作孔来完成。经观察孔置入Torcar和镜头,再经主、次操作孔置入吸引器、电钩或超声刀。先切开肿瘤表面纵隔胸膜,沿肿瘤包膜外或囊肿壁外疏松间隙分离,较粗的滋养血管和蒂部丝线结扎、钛夹或Hemolok夹闭,尽可能做到整块切除。切除范围:单纯纵隔肿瘤行肿瘤完整切除,合并重症肌无力的病例行胸腺切除+纵隔脂肪清扫术。术中发现肿瘤外侵大血管、心包,或术中损伤大血管25例,将主操作孔延长至10 cm左右,使用小胸撑适当撑开,改为辅助小切口手术切除肿瘤。术毕观察孔留置胸腔引流管1根。
术后常规予以抗感染补液治疗。术后6 h内监测生命体征。术后每日统计胸腔引流管引流量,拔管指征:24 h引流量<100 mL,复查胸部X线片无积液积气。
观察手术时间、术中出血量,术后胸引管引流时间、住院时间、并发症发生情况。
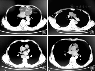
全组137例,全胸腔镜下手术110例(80.3%),辅助小切口25例(18.2%), 2例(1.5%)因术中损伤无名静脉中转开胸行血管修补。胸腔镜135例患者手术时间20~220 min,平均(105±48)min;术中出血量5~800 mL,平均(92±36)mL;术后胸引管引流1~9 d,平均(4.8±1.7)d;术后住院2~18 d,平均(5.2±1.8)d。典型病例见图1、图2。


术后并发症发生率5.8%(8/137),其中胸腔活动性出血行再次手术止血2例,术后肌无力危象3例,经机械通气、丙种球蛋白冲击等治疗后好转;经术后胸片检查发现膈肌麻痹2例,无明显症状;单侧肢体无汗1例,术后无改善。术后住院期间无一例死亡。术后病理诊断:胸腺疾病85例,其中胸腺瘤57例,胸腺增生17例,胸腺囊肿5例,胸腺癌6例;神经源性肿瘤28例,其中神经纤维瘤10例,神经鞘瘤12例,节细胞神经瘤6例;畸胎瘤10例;支气管囊肿4例;心包囊肿2例;淋巴管囊肿2例;脂肪瘤2例;霍奇金淋巴瘤2例;错构瘤1例;Castleman病1例。
纵隔内组织器官较多,胚生结构来源复杂,发生肿瘤种类繁多。纵隔肿瘤一经确诊,绝大多数均需手术治疗。
胸腔镜适合所有的纵隔囊肿及长径<5 cm的实质性肿瘤;但对于明显外侵如侵犯心脏、大血管、气管等结构的纵隔肿瘤,不宜选择胸腔镜治疗。目前,文献报道胸腔镜下纵隔肿瘤切除术的成功率在91.6%~100%,并发症发生率在0~9.38%,主要术后并发症有术后心律失常、肌无力危象、神经损伤等[3,4,5,6]。胸腔镜手术的适应证在不断拓宽,对于较大的实质性肿瘤,不再是手术禁忌[6,7,8,9];而弥漫性胸腔粘连也已不是手术禁忌,适当的分离方法使胸腔粘连比开胸条件下更易于操作[10]。笔者认为,术中发现胸腔粘连后,退出Trocar,使用双手手指经观察孔及主操作孔钝性分离胸腔粘连后,可形成足够空间进行下一步电钩分离。
林剑波等[11]认为,在使用胸腔镜进行纵隔肿瘤切除手术时,术中大血管损伤出血是中转开胸的首要原因。笔者认为,所有胸腔镜手术均要做中转开胸准备,从体位摆放、切口选择及消毒铺巾范围,均要兼顾到开胸。当术中出现损伤大血管时,一般将第4肋间的操作孔延长,胸撑撑开后使用无损伤缝线修补血管。本组2例术中无名静脉出血,使用小纱布压迫血管破口后迅速开胸修补血管,患者转危为安。
辅助小切口是完全胸腔镜手术的补充。纵隔囊肿一般可在完全胸腔镜下操作,对于巨大的囊肿,可先穿刺抽液减压后再切除;小的囊肿要沿包膜外间隙分离囊肿壁,注意不要剥破囊肿,避免囊液流出后囊肿塌陷失去张力,不易辨认囊壁外间隙。而对于实质性肿瘤,若直径大于5 cm,或影像学表现有外侵,一般选择辅助小切口操作较为安全易行[3,4,6,11]。
肿瘤外侵心包也可在腔镜下谨慎切除。在本研究中,有3例患者纵隔肿瘤外侵心包,其中前纵隔畸胎瘤1例、前纵隔胸腺瘤2例,均未采用辅助小切口,完全在腔镜下切除纵隔肿瘤及受侵犯的心包。笔者总结,对于此类患者术中可使用电钩和剪刀小心切开并切除心包,注意应使用吸引器、卵圆钳等器械遮挡电钩或剪刀,避免误伤跳动的心脏;同时,使用电钩时需密切观察心电图及血压改变,避免长时间大功率使用电钩造成患者心律失常。
后纵隔肿瘤中以神经源性肿瘤多见。术前应行CT或MRI检查了解有无椎间孔扩大及椎管内肿瘤。单纯胸腔镜手术不能切除椎管内肿瘤。术中应仔细辨认神经,尽量避免损伤。国内有学者提出包膜内切除神经源性肿瘤相对安全易行[12,13]。笔者认为,胸顶及椎间孔附近神经较密集,尽量减少使用电刀、超声刀等能量器械避免神经热损伤。
对于胸腺扩大切除治疗纵隔肿瘤合并重症肌无力的患者,其疗效尚有争议[14,15]。有研究报道,对于纵隔肿瘤合并重症肌无力的患者,胸腔镜下胸腺扩大切除与传统开胸手术相比,安全性及有效性均已得到验证,损伤小,恢复快,优势明显[6,7]。笔者认为,对于此类患者使用胸腔镜治疗时,在游离胸腺上极时尤应注意辨认无名静脉,避免术中损伤;而在清扫纵隔脂肪,尤其对侧纵隔脂肪时,应保护好对侧纵隔胸膜及膈神经,防止损伤出现术后膈肌麻痹。本组2例术中大出血均为无名静脉损伤所致,膈肌麻痹2例均为术中发现肿瘤侵犯膈神经、分离肿瘤与膈神经时损伤膈神经。
胸腔镜手术治疗纵隔肿瘤创伤小、恢复快,手术安全可靠,值得临床推广,本研究不足之处在于未对患者进行随访观察,在今后的研究中,应进一步完善临床资料。近年来,随着胸腔镜技术的不断提高,单操作孔及单孔技术的出现进一步减少了患者的手术创伤[16]。今后我们会在单操作孔及单孔技术方面进行探索与总结。





















