
探讨双反转恢复黑血高清(HR-DIR)-MRI和3D可变翻转角快速自旋回波成像(3D-SPACE)技术在显示远端硬膜环(DDR)及颈动脉窝精细解剖结构中的应用价值。
2015年4—10月招募健康志愿者20名进行前瞻性研究。其中男11名,女9名;年龄19~35岁,平均27岁。采用3D-SPACE及HR-DIR-MRI技术扫描DDR、颈动脉窝,在3D-SPACE T2WI和HR-DIR-T2WI图像上观察DDR的形态、走行,观察颈动脉窝的形态,并测量颈动脉窝深度;在HR-DIR-T2WI图像上测量比较DDR双侧的外内侧平面倾斜角、前后侧平面倾斜角。比较3D-SPACE与HR-DIR-MRI关于DDR成像的信噪比(SNR)、对比噪声比(CNR),以及DDR图像质量评分。
在3D-SPACE-T2WI和HR-DIR-T2WI序列上,冠状位DDR外内侧平面40侧均呈外高内低型,矢状位DDR前后侧平面36侧呈前高后低型、4侧呈前低后高型。3D-SPACE-T2WI、HR-DIR-T2WI不同序列间DDR外内侧平面倾斜角和前后侧平面倾斜角比较,差异均无统计学意义(P值均>0.05);而在同一序列中,DDR左右侧的外内侧平面倾斜角和前后侧平面倾斜角比较,差异均无统计学意义(P值均>0.05)。HR-DIR-T2WI序列冠状位、矢状位DDR成像SNR、CNR及图像质量评分均高于3D-SPACE-T2WI序列,差异均有统计学意义(P值均<0.05)。3D-SPACE-T2WI序列上,观察到颈动脉窝23侧,其中A型17侧、B型16侧、C型7侧;颈动脉窝深度1.0~7.5 mm,平均(2.07± 1.31)mm。HR-DIR-T2WI序列上,观察到颈动脉窝19侧,其中A型21侧、B型13侧、C型6侧;颈动脉窝深度1.1~7.5 mm,平均(2.13 ± 1.33)mm。两种序列显示颈动脉窝深度差异无统计学意义(P>0.05)。
高分辨MRI多序列技术相结合,能够较为准确地定位DDR,进而识别动脉瘤,对病情评估及治疗方式的选择具有良好的临床价值。在MR的3D-SPACE基础上应用HR-DIR-MRI序列可以清晰地显示DDR及颈动脉窝周围精细解剖。HR-DIR利用双反转黑血技术和脉搏门控技术,使DDR图像得以优化。
版权归中华医学会所有。
未经授权,不得转载、摘编本刊文章,不得使用本刊的版式设计。
除非特别声明,本刊刊出的所有文章不代表中华医学会和本刊编委会的观点。
远端硬膜环(distalduralring,DDR)是嵌入海绵窦的硬膜折叠,是颈内动脉海绵窦内段与海绵窦上段的解剖分界,即颈内动脉位于硬膜下或硬膜外的分界线,亦是诊断床突旁动脉瘤位于硬膜下或硬膜外的关键结构[1,2]。硬膜下床突旁动脉瘤存在蛛网膜下腔出血的风险,需要早期治疗;而当床突旁动脉瘤位于硬膜外时,很少或没有蛛网膜下腔出血的风险,通常这些无症状的患者只需随访观察[3,4]。因此,识别DDR对于临床治疗有重大意义。
目前,MRI在DDR研究中已经发挥作用,应用3D可变翻转角快速自旋回波成像(3D sampling perfection with application optimized contrasts using different flip angle evolutions, 3D-SPACE)技术和3D稳态进动结构相干(3D constructive interference in steady state, 3D-CISS)技术及增强3D-CISS(contrust-enhanced 3D-CISS, CE-3D-CISS)技术可在冠状位上较直观地显示DDR及其周围结构[3,5]。但上述技术在显示DDR及其周围结构时清晰度及锐利度仍显不足,且未详细描述DDR前后环的解剖结构;CE-3D-CISS需要使用造影剂,临床使用受限。查阅文献,国内尚未见MR显示DDR详细解剖结构的报道。双反转恢复黑血高清(high-resolution black-blood double inversion-recovery, HR-DIR)MRI技术是高清序列,采用指脉门控及双反转黑血技术,能很好的显示血管壁及其周围结构。本文拟采用3D-SPACE及HR-DIR-MRI技术,观察DDR精细解剖结构及周围组织结构特点,为临床鉴别诊断床突旁硬膜下或硬膜外动脉瘤提供更有价值的信息。
2015年4—10月,招募健康志愿者20名进行前瞻性研究,男11名,女9名;年龄19~35岁,平均27岁。纳入标准:年龄18~44岁,无神经、心血管系统异常。排除标准:颅内肿瘤、颅脑损伤、脑血管疾病、颅内感染性疾病、颅脑先天性畸形及发育异常、脑变性疾病者。本研究经解放军火箭军总医院医学伦理委员会批准备案,志愿者均在接受检查前签署知情同意书。
采用德国Simens公司Skyra 3.0 T超导型MR成像系统。使用20通道头颈联合线圈。扫描序列:冠状位3D-SPACE-T2WI,矢状位及冠状位HR-DIR-T2WI。3D-SPACE-T2WI扫描参数:TR 1 300 ms,TE 121 ms;激励次数1.5;层厚0.9 mm,后处理至2 mm;层间距0 mm;FOV 182 mm×220 mm;层数40;矩阵212×256;扫描时间2 min 42 s。HR-DIR-MRI序列,利用双反转黑血技术和脉搏门控技术,HR-DIR-T2WI扫描参数:TR 618 ms,TE 63 ms;激励次数2;层厚2 mm;层间距0.2 mm;FOV 130 mm×130 mm;层数3;矩阵256×256;扫描时间1 min 20 s。
定位标准:定义冠状位、矢状位DDR为海绵窦与鞍上池的分界,在双侧颈内动脉穿隔处进行评定[3]。
冠状位3D-SPACE-T2WI扫描范围:轴位前缘定位至眶尖,后缘定位至脑干区。扫描方法:在矢状位定位像上旋转定位线使之沿脑干走行,轴位定位像上旋转定位线使之垂直于中轴线。
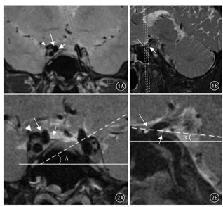
HR-DIR-T2WI扫描范围:以颈内动脉床突段为中心,DDR内缘至DDR外缘。扫描方法:(1)DDR矢状位扫描。冠状位3D-SPACE-T2WI显示DDR内侧、外侧,旋转定位线使之垂直于内外侧隔的连线,并使3层定位线的中间层位于DDR中心点位置(图1A)。(2)DDR冠状位扫描:矢状位HR-DIR-T2WI显示旋转定位线垂直于DDR前后缘连线平面扫描,并使3层定位线的中间层面位于DDR中心点位置(图1B)。


将3D-SPACE-T2WI图像传至3D工作站(MMWP, Simens),后处理层厚为2 mm。在3个垂直平面进行分析。
在3D-SPACE-T2WI和HR-DIR-T2WI序列上观察DDR的形态、走行以及颈动脉窝结构,并测量DDR双侧的外内侧平面倾斜角、前后侧平面倾斜角及矢状位颈动脉窝的深度。
在3D-SPACE-T2WI和HR-DIR-T2WI序列上进行比较测量。外内侧平面倾斜角的测量:冠状位选取颈内动脉床突段穿隔层面,以颅底为标志做水平线,DDR外缘和内缘穿隔点的连线即为外内侧平面,外内侧平面与水平线的夹角即为外内侧平面倾斜角(图2A)。前后侧平面倾斜角的测量:矢状位选取颈内动脉床突段穿隔层面,以颅底为标志做水平线,DDR前缘和后缘穿隔点连线即为前后侧平面,前后侧平面与水平线的夹角即为前后侧平面倾斜角(图2B)。需分别测量DDR右侧及左侧的外内侧平面倾斜角及前后侧平面倾斜角,并进行比较。
颈动脉窝解剖形态分型及深度测量。(1)冠状位上进行颈动脉窝的分型[3]:A型,即平直型,无凹;B型,即浅凹型,小凹的深度小于邻近颈内动脉的半径;C型,即深凹型,小凹深度超过了颈内动脉的半径。(2)矢状位上测量颈动脉窝的深度:在矢状位上沿鞍隔高点划一水平线,沿颈动脉窝最低点划一水平线,测量两条水平线的距离,即颈动脉窝的深度。
DDR信号强度(signal intensity, SI)测量[6]:分别在3D-SPACE-T2WI序列及HR-DIR-T2WI序列相同层面测量DDR信号强度,在2种序列同一层面图像的对应位置放置相同形状和大小的兴趣区,获得相应序列DDR的(SIDDR),测量同层胼胝体SI(SI胼)及背景噪声标准差(standard deviation, SD),相同位置测量3次,取平均值。注意避开搏动伪影,SD背景测量位置位于相位编码内。信噪比(signal-to-ratio,SNR)=SIDDR/SD背景,对比噪声比(contrast-to-noise ratio, CNR)=SIDDR-SI胼/SD背景。
按图像质量评分标准[3]评价3D-SPACE-T2WI与HR-DIR-T2WI图像质量:3分,DDR显示清晰边缘锐利;2分,DDR显示不够清晰边缘模糊;1分,DDR显示模糊但可见。由两位主任医师在不知分组情况下进行评分;如出现分歧,则由两者共同协商决定。
应用SPSS 19.0统计软件对数据进行分析。对服从或近似服从正态分布的计量资料以
±s表示,并进行方差分析。3D-SPACE-T2WI与HR-DIR-T2WI的SNR、CNR比较及双侧冠状位、矢状位倾斜角比较分别采用独立样本t检验和配对t检验;DDR冠状位、矢状位平面倾斜角左侧与右侧比较采用t检验,DDR显示图像质量评分比较采用秩和检验。以P<0.05为差异有统计学意义。
在3D-SPACE-T2WI和HR-DIR-T2WI序列上,20例(40侧)志愿者中冠状位DDR外内侧平面均呈外高内低型(图2A);矢状位DDR前后侧平面36侧呈前高后低型(图2B),4侧呈前低后高型。HR-DIR-T2WI序列显示DDR与颈内动脉边缘更为锐利,显示更多细节,从而使测量更加准确;3D-SPACE-T2WI可多平面、多角度全面观察DDR结构。
冠状位3D-SPACE-T2WI、HR-DIR-T2WI显示同层面DDR图像(图3):两种扫描序列均能显示出DDR内外缘,前床突及鞍隔的硬膜延续与颈内动脉床突段之间,分别形成DDR外侧隔及内侧隔。3D-SPACE- T2WI序列能较为直观的观察DDR结构,但硬膜隔结构显示边缘模糊(图3A)。HR-DIR-T2WI序列显示硬膜隔更为清晰锐利,右侧DDR内侧隔与颈内动脉床突段管壁紧密连接,并见内侧隔形成小凹样结构,即颈动脉窝(图3B及图4)。


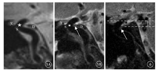
矢状位3D-SPACE-T2WI、HR-DIR-T2WI显示同层面DDR图像(图5):两种扫描序列均能显示出DDR前后缘,视神经、视柱的硬膜延续与颈内动脉床突段间形成DDR前缘,鞍背的硬膜延续与颈内动脉床突段间形成DDR后缘。3D-SPACE-T2WI序列DDR后缘显示欠清晰,未能清晰锐利地显示出硬膜的细节(图5A)。HR-DIR-T2WI序列显示硬膜隔更为清晰锐利,显示DDR后缘形成小凹样结构(图5B及图6)。


3D-SPACE-T2WI、HR-DIR-T2WI不同序列间DDR左右两侧的外内侧平面倾斜角和前后侧平面倾斜角比较,差异均无统计学意义(P值均>0.05)。而在同一序列中,DDR左右两侧的外内侧平面倾斜角和前后侧平面倾斜角比较,差异均无统计学意义(P值均>0.05)。见表1。

3D-SPACE-T2WI、HR-DIR-T2WI中DDR左、右侧的外内侧、前后侧平面倾斜角比较(°,
±s)
3D-SPACE-T2WI、HR-DIR-T2WI中DDR左、右侧的外内侧、前后侧平面倾斜角比较(°,
±s)
| 序列 | 例数 | 外内侧平面倾斜角 | 前后侧平面倾斜角 | ||||||
|---|---|---|---|---|---|---|---|---|---|
| 左侧 | 右侧 | t值a | P值 | 左侧 | 右侧 | t值a | P值 | ||
| 3D-SPACE-T2WI | 20 | 17.55±7.65 | 17.60±6.65 | 0.022 | >0.05 | 14.75±7.197 | 12.15±9.719 | 0.961 | >0.05 |
| HR-DIR-T2WI | 20 | 17.30±7.72 | 17.80±6.24 | 0.225 | >0.05 | 14.65±7.57 | 11.58±9.60 | -1.125 | >0.05 |
| t值 | - | 0.103 | -0.098 | - | - | 0.043 | 0.188 | - | - |
| P值 | - | >0.05 | >0.05 | - | - | >0.05 | >0.05 | - | - |
注:3D-SPACE:3D可变翻转角快速自旋回波成像;HR-DIR: 双反转恢复黑血高清;DDR:远端硬膜环;a为配对t检验值
20例(40侧)志愿者中,3D-SPACE-T2WI序列上,观察到颈动脉窝23侧,其中B型16侧、C型7侧;颈动脉窝深度1.0~7.5 mm,平均(2.07±1.31)mm。HR-DIR-T2WI序列上,观察到颈动脉窝19侧,其中B型13侧、C型6侧;颈动脉窝深度1.1~7.5 mm,平均(2.13 ±1.33)mm。结果显示,颈动脉窝区结构细小且模糊,HR-DIR-T2WI序列对于颈动脉窝的显示更为清晰,增加了分型及测量的准确性;两种序列颈动脉窝深度比较,差异无统计学意义(t=0.144, P>0.05)。
HR-DIR-T2WI序列冠状位、矢状位DDR成像SNR及CNR均高于3D-SPACE-T2WI序列,差异均有统计学意义(P值均<0.05)。见表2。HR-DIR-T2WI序列冠状位、矢状位图像质量评分均优于3D-SPACE-T2WI序列,差异均有统计学意义(P值均<0.05)。见表3。

3D-SPACE-T2WI与HR-DIR-T2WI序列DDR成像质控参数比较(
±s)
3D-SPACE-T2WI与HR-DIR-T2WI序列DDR成像质控参数比较(
±s)
| 序列 | 例数 | 冠状位 | 矢状位 | ||
|---|---|---|---|---|---|
| SNR | CNR | SNR | CNR | ||
| 3D-SPACE-T2WI | 20 | 145.434±58.217 | 59.632±33.391 | 133.136±78.871 | 25.926±20.442 |
| HR-DIR-T2WI | 20 | 279.995±80.467 | 93.093±44.184 | 231.115±91.526 | 67.820±32.932 |
| t值 | - | -8.569 | -3.309 | -5.129 | -5.295 |
| P值 | - | <0.01 | <0.01 | <0.01 | <0.01 |
注:3D-SPACE:3D可变翻转角快速自旋回波成像;HR-DIR: 双反转恢复黑血高清;DDR:远端硬膜环;SNR:信噪比;CNR:对比噪声比

3D-SPACE-T2WI与HR-DIR-T2WI序列DDR 成像质量评分比较(侧)
3D-SPACE-T2WI与HR-DIR-T2WI序列DDR 成像质量评分比较(侧)
| 序列 | 侧数 | 冠状位成像质量(分) | 矢状位成像质量(分) | ||||
|---|---|---|---|---|---|---|---|
| 3 | 2 | 1 | 3 | 2 | 1 | ||
| 3D-SPACE-T2WI | 40 | 18 | 12 | 10 | 2 | 18 | 10 |
| HR-DIR-T2WI | 40 | 25 | 14 | 1 | 14 | 17 | 9 |
| Z值 | - | -2.184 | -2.140 | ||||
| P值 | - | <0.05 | <0.05 | ||||
注:3D-SPACE:3D可变翻转角快速自旋回波成像;HR-DIR:双反转恢复黑血高清;DDR:远端硬膜环
颅内硬膜分深浅两层,二者贴合紧密。颈内动脉床突段穿海绵窦顶壁硬膜处形成环样结构,分深浅两层环:DDR是海绵窦外侧壁硬脑膜浅层的延续,其紧紧环绕颈内动脉并与血管外膜融合;近端硬膜环则是硬膜深层的延续[1,5,7]。DDR向外覆盖前床突,向内与鞍隔相延续,向前延续为视神经鞘下缘,覆盖视柱上缘,向后延续为海绵窦后壁,覆盖鞍背[1,7,8,9]。当颈内动脉床突段动脉瘤位于DDR远侧时为硬膜下动脉瘤;位于其近侧时视为硬膜外动脉瘤。两者的治疗选择及预后有本质区别。所以显示正常DDR的影像解剖及DDR与动脉瘤之间的位置关系有重要的临床意义。
研究显示,颈动脉窝是DDR后内侧的硬膜形成的小凹,是硬膜下小囊袋,并有蛛网膜突入,DDR向后向内附着在与颈内动脉对应的颈动脉沟上,附着疏松,形成颈动脉窝结构[1,8,9]。解剖学研究显示,颈动脉窝出现率为68%~77%[1,10],而Watanabe等[3]报道,MRI观察颈动脉窝出现率为50%。本文在冠状位显示DDR内侧颈动脉窝小凹样结构有23侧(B型+C型),出现率为57.5%,与文献报道接近。颈动脉窝是立体环形结构,为绕颈内动脉后内侧的硬膜结构,因此,不同的扫描角度显示的颈动脉窝的形态及深度均有所不同。动脉瘤好发于B型及C型颈动脉窝,且当小动脉瘤起源于颈动脉窝,位置低于前床突及鞍隔水平时,易误诊为硬膜外动脉瘤[1],而A型颈动脉窝动脉瘤的发生率及误诊率则大大降低。观测不同的颈动脉窝类型及深度,可准确认识颈动脉窝及DDR正常结构,同时有助于快速排除颈动脉窝小动脉瘤的存在。本文仅描述了内侧及后侧颈动脉窝表现,与Joo等[10]报道的内后侧完整颈动脉结构存在一定差距,其MRI完整解剖结构仍需进一步研究。位于颈动脉窝的动脉瘤破裂可引起硬膜下出血,由于此处属于精细解剖,存在疏松组织重叠,MR对于硬膜环的显示存在难度,使鉴别动脉瘤位于硬膜下或硬膜外比较困难[2]。
DDR向外附着于前床突,向前紧密地附着于与颈内动脉邻近的视柱。由于视柱与颈内动脉前壁之间间隙狭小,DDR前缘覆盖视柱,几乎呈融合状[7,8,9],故MRI未显示前隔时,可以视柱上缘为DDR前缘的解剖标志。解剖学研究表明,DDR并非沿着一个完全的水平面走行,而是呈外高内低、前高后低倾斜;外高内低倾斜角位平均为21.8° ,前高后低倾斜角平均为20.3° [2,7]。在本研究中,DDR在冠状位呈外高内低倾斜,倾斜角度(左侧平均值17.3°,右侧平均值17.8°)略低于既往解剖测量结果;在矢状位首次采用MRI方法测量DDR倾斜角及形态,所测DDR倾斜面方向为前高后低,与既往解剖学研究基本相同,但倾斜角度(左侧平均值14.65°,右侧平均值11.58°)低于既往解剖研究。笔者分析,DDR倾斜角度的测量有一定差异,可能是研究采用的测量方法差异所致。颈动脉窝位于DDR后内侧,是远端硬膜环末端形成的囊袋样结构,其底端含有丰富的疏松结缔组织,有时与蛛网膜下腔相沟通,容易造成蛛网膜下腔出血[1,2,5,10]。既往解剖学研究显示,颈动脉窝深度的测量结果各不相同。Oikawa等[2]测量颈动脉窝深度平均值1.6 mm(0.5~3.2 mm);而Joo等[10]解剖学研究显示,颈动脉窝深度平均值2.4 mm(1.5~5 mm)。本研究在3D-SPACE-T2WI及HR-DIR-T2WI两种序列上,矢状位后侧颈动脉窝深度平均值分别为(2.07±1.313)mm(1~7.5 mm)和(2.13 ±1.332)mm(1.10~7.5 mm)。本研究结果与文献[10]报道的解剖学研究数据存在一定差距,笔者分析,本次研究着重后侧及内侧颈动脉窝的测量,与文献报道后内侧颈动脉窝测量角度不同,故颈动脉窝的测量方法有待进一步完善。颈动脉窝内动脉瘤位于DDR的远侧,属于硬膜下动脉瘤。当颈动脉窝较深而动脉瘤又位于颈动脉窝内时,由于动脉瘤位置较低,可能位于眼动脉水平以下[11],而误诊为硬膜外动脉瘤,因此观察颈动脉窝深度有重要的临床意义。
以往可采用DSA和CTA鉴别床突旁(硬膜下)和海绵窦段(硬膜外)动脉瘤,但DSA和CTA是以眼动脉起源与前床突结构作为鉴别的解剖标志,当存在变异时这些标志可能误导诊断。因此,这些标志只能作为诊断的间接征象,而缺乏特异性[4,5,11,12,13]。能区分床突旁动脉瘤位于硬膜下或硬膜外的MR技术有3D-CISS技术、CE-3D-CISS技术、3D-CISS与MRA融合技术、3D-SPACE技术等。CE-3D-CISS图像显示DDR虽较清晰[5],但需要使用对比剂,使其在临床中的应用受限。3D-SPACE技术是目前公认的比较有价值的诊断技术,已应用于临床,能较清晰显示DDR,并在鉴别诊断硬膜内外动脉瘤中发挥了作用[3,14,15]。HR-DIR-MRI技术属于高清序列,采用指脉门控技术及双反转黑血技术,用于显示血管壁及其周围结构[16,17]。
本研究应用HR-DIR-MRI序列并采用指脉门控技术,实验结果表明HR-DIR-MRI序列DDR成像SNR及CNR均高于3D-SPACE(P值均<0.05),图像质量评分优于3D-SPACE。虽然3D-SPACE在清晰度上不如HR-DIR-MRI,但3D-SPACE可进行3D重建,旋转任意角度,最大程度显示并确定DDR的精确位置。笔者认为,由于HR-DIR-MRI扫描层数受时间限制,层数越多时间越长(本研究采用3层扫描法),在3D-SPACE图像上可为HR-DIR-MRI扫描提供精确定位,保证在仅为3层HR-DIR-MRI图像上能充分显示DDR及其相关解剖结构,故二者互补具有更大应用价值。
HR-DIR-MRI技术显示DDR的优势:(1)采用T2WI序列,脑脊液与海绵窦均呈高信号,DDR硬膜结构更容易被识别。黑血技术的应用使流空的颈内动脉、高信号的海绵窦及脑脊液对比明显,低信号的DDR易识别[3]。(2)添加预饱和脉冲及双反转黑血技术,黑血技术使用成像平面内双反转恢复序列,是目前血管壁成像研究最多而且是效果比较确切的方法,其血管壁成像软组织对比度好[18],抑制血流信号的同时可以很好地显示软组织。(3)指脉门控利用指脉探测夹夹套手指末节,来探测脉搏心动周期的变化波,操作简便易行。脉搏波最大的优点是容易记录,其频率和心脏一致,强度和波形可以反映心脏活动,可以抑制心脏和大血管运动所造成的伪影。MR信号的采集是在舒张中末期,这个时段心脏血管运动相对静止[19]。海绵窦区结构细微,组织重叠难以观察,DDR很容易受颈内动脉搏动的影响,加之DDR及其隔结构较薄,后内侧颈动脉窝区结构疏松,较多组织折叠,尤其紧贴动脉壁的部分很难显示清晰;而HR-DIR-MRI恰恰克服了这一点,与心率一致的触发扫描,极大程度上避免了血管搏动造成的模糊影,极大地提高了锐利度。HR-DIR-MRI也存在不足之处,HR-DIR-MRI非3D扫描,每次扫描仅3~5层,对准确定位要求较高,实际操作过程需反复探索角度,寻找显示DDR的最佳位置。笔者建议,对3D-SPACE发现的可疑颈内动脉床突段动脉瘤者,利用3D-SPACE定位,加扫HR-DIR-MRI序列,有助于动脉瘤的精确定位诊断。
(1)本研究3D-SPACE与HR-DIR-MRI所显示的DDR是一个理论上的边界,显示的仅是DDR周围结构。缺乏影像与病理包括手术所见或尸检的对照研究。(2)本研究仅进行了DDR的MR解剖研究,没有进行DDR与相邻动脉瘤关系的临床研究。(3)DDR的后内侧约90%存在颈动脉窝结构[1,2,13]。颈动脉窝的后内侧区为颈动脉窝的中心区,而本研究设计扫描只显示颈动脉窝内侧或后侧形态,缺乏对颈动脉窝后内侧的完整性的描述。笔者在研究过程中发现,高清序列扫描时间长,患者难以坚持,且稍有运动时图像会因伪影难以判断,给DDR的识别带来困难。因此,研发新的高分辨率MRI优选序列,进一步改善噪声率、空间分辨率、图像的信噪比以及采集速度,将是未来的发展方向。
综上所述,高分辨MRI多序列技术相结合,能够较为准确的定位DDR,进而识别动脉瘤,对病情评估及治疗方式的选择具有良好的临床价值。在MR的3D-SPACE基础上应用HR-DIR-MRI序列可以清晰地显示DDR及颈动脉窝周围精细解剖。HR-DIR利用双反转黑血技术和脉搏门控技术,使DDR图像得以优化。





















