
探讨自体颅骨超低温保存并回植在颅骨缺损修补术中的临床应用价值。
回顾性分析2010年1月—2016年1月蒙城县第一人民医院神经外科收治的25例去骨瓣术后颅骨缺损患者的临床资料。其中男10例,女15例;年龄15~72岁,平均39岁。患者均采取自体颅骨超低温保存并回植的方法治疗,观察术后修补效果及并发症发生情况。
液氮保存后的自体颅骨外观如新鲜骨瓣,钻孔所得骨屑细菌培养均为阴性,病理检查可见成骨细胞及骨小梁。25例患者均顺利完成手术,术后未出现脑脊液漏、切口感染、排异反应、自体颅骨松动凹陷、硬膜外积液等并发症。患者切口均一期愈合,头颅外形均美观对称。25例患者术后随访3~12个月,平均9.4个月。术后定期复查CT显示均有骨缝结合部骨质生长,有骨瓣内板及板障骨质被吸收情况,外板完好,没有影响其骨架作用。
采用超低温保存的自体颅骨回植修复颅骨缺损,可恢复颅腔正常生理解剖结构,具有术后外形完美、材料保存简单等特点,具有一定的临床应用价值。
版权归中华医学会所有。
未经授权,不得转载、摘编本刊文章,不得使用本刊的版式设计。
除非特别声明,本刊刊出的所有文章不代表中华医学会和本刊编委会的观点。
近年来,重型颅脑损伤及高血压脑出血患者呈逐年增多趋势,为缓解患者颅高压,需开颅清除血肿及去骨瓣减压治疗,需待病情平稳、颅内压下降后再行颅骨缺损修补,恢复正常的颅腔封闭状态[1,2]。颅骨缺损修补材料有骨水泥、有机玻璃、硅胶、钛网及自体颅骨等[3]。目前,钛网修补术因其独特优势,研究和报道较多;而自体颅骨修补报道相对较少。笔者团队在前期实验研究中对大耳灰兔的颅骨瓣进行超低温保存并回植,获得可靠效果[2]。在此基础上,2010年1月—2016年1月蒙城县第一人民医院神经外科采用超低温保存并回植自体颅骨的方法行颅骨缺损修补术25例,现进行回顾性分析,旨在探讨其临床应用价值。
病例纳入标准:骨窗头皮凹陷者;无颅内感染或头皮切口局部感染者;行初次减压术后3~6个月颅内压正常者;家人同意使用自体颅骨者。病例排除标准:骨窗头皮未见明显凹陷或膨出者;原切口愈合不佳者;骨瓣碎裂3片以上或者3片对合后影响复位牢固者;家人要求使用其他材料者。
2010年1月—2016年1月蒙城县第一人民医院神经外科共收治需行颅骨缺损修补术的患者97例,依据纳入和排除标准选取25例,其中男10例、女15例,年龄15~72岁、平均39岁。颅脑损伤患者11例,脑出血14例。患者骨窗位于左额颞部13例,右额颞8例,顶枕部4例。骨瓣完整22例,骨折呈2瓣2例、3瓣的1例。颅骨缺损面积5 cm×6 cm~12 cm×13 cm。其中,定向力及记忆力障碍12例,计算力障碍11例,语言功能障碍6例。
自体颅骨在初次术后取下,在无菌条件下去除骨瓣表面的软组织。生理盐水反复冲洗,0.1%庆大霉素盐水浸泡30 min。无菌敷料包裹并放入乳胶手套内,重复交替包裹3层。包扎完好,标记姓名、年龄、性别、左右侧,放入(-196~-198 ℃)液氮中保存备用,并在专用记录本上作对应登记。修补术前取出骨瓣在37 ℃生理盐水中解冻(图1),复合碘浸泡5~10 min,再次用生理盐水冲洗干净。骨瓣中央钻孔若干个,直径2 mm,钻下骨组织进行培养,并送病理检查。对于骨折成2片或3片者,对合骨折处,于骨折线两侧颅骨钻孔处对称及交叉穿入丝线,并对应打结,即可复位骨折片且不影响骨瓣的稳固。


25例患者均在初次术后3~6个月给予颅骨回植,采用气管插管、静脉复合麻醉。沿原切口进入,自帽状腱膜下分离皮瓣,仔细将颞肌与硬脑膜分离,若有硬脑膜破损处则用骨膜或颞肌筋膜修补,显露前、上、后及颅底部分骨窗缘。用磨钻磨除骨窗周缘陈旧增生的骨痂,使骨面新鲜。把骨瓣植入原骨窗,四周用颅骨锁固定(图2)。术中电凝止血时需辅助生理盐水降温,减轻对大脑皮层的热传导。悬吊硬脑膜或假膜于骨瓣钻孔处,以减少骨窗下死腔及硬膜外血肿形成可能。头皮下置负压引流管1根,逐层缝合头皮并固定引流管。


术后24~48 h内拔除引流管,常规更换辅料,12天左右拆线后可出院。术后定期随访,观察患者有无头疼头晕,有无癫痫发生,大脑功能改善情况,观察术后患者头部外观是否对称完美、颅骨是否牢固、有无松动及凹陷等。CT影像检查骨质吸收及生长的情况,骨瓣有无凹陷等。
液氮保存后的自体颅骨外观如新鲜骨瓣(图1)。钻孔所得患者骨屑细菌培养均为阴性,病理检查可见成骨细胞及骨小梁(图3)。


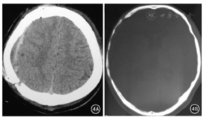
25例患者均顺利完成手术,术中无异常情况。手术时间为1.5~2.5 h,平均1.86 h。术中出血量300~450 mL,平均为320 mL。术后未出现脑脊液漏、切口感染、排异反应、自体颅骨松动凹陷、硬膜外积液等并发症。患者切口均一期甲级愈合,头颅外形均美观对称。2例患者术后出现硬膜外少量血肿,予以保守治疗方式处理,出院半月后复查CT见血肿吸收。25例患者术后均获随访,随访时间3~12个月,平均9.4个月。术后6例患者有头痛症状、2例患者出现癫痫症状,均予对症处理后缓解。术后定期复查CT显示均有骨缝结合部骨质生长,有骨瓣内板及板障骨质被吸收情况,外板完好,没有影响其骨架作用。典型病例见图4。


颅骨缺损修补术的目标是恢复颅内与颅外的解剖结构,达到外观轮廓的完美;提供对头部软组织的支撑,保护脑组织;缓解患者因颅骨缺损带来的心理负担[4]。导致颅骨缺损的原因较多,如脑出血、脑外伤、脑肿瘤等。颅骨修补材料虽然较多,但自体颅骨仍被认为是较为理想的修补材料[5]。
金属或多分子化合物以及骨水泥等人工颅骨修补材料,必须塑型后方可使用,在临床应用中存在稳定性、排异性、美观等方面问题,目前已基本被淘汰[6]。钛网是目前临床应用较为广泛的颅骨修补材料,具有取材方便、塑型简单、无需刻意保存等优点,但术后恢复颅腔生理解剖结构不如自体颅骨,易对患者的心理造成影响,有发生排异反应可能,且价格昂贵[7]。
冷藏自体骨瓣起始于上世纪50年代,并成功应用于颅骨修补,但是具体保存温度及保存时间一直未有定论。埋藏于腹壁皮下、帽状腱膜下、大腿内侧的自体颅骨,保存方法虽简单可靠,但存在二次手术问题,增加患者痛苦和精神负担;且长期埋藏会有不同程度的自溶、吸收变小,以及修补时与骨窗部吻合性差等问题[3]。近年来,有研究者采用酒精浸泡自体颅骨的保存方法,对骨组织起到一定的固定和消毒作用,为骨组织再植后的成活提供了必要条件;但因保存条件的限制,也带来了感染或丧失骨组织生物活性的可能[8,9]。采用液氮超低温冷藏保存自体颅骨,低温使细胞代谢活动停止,复温后可恢复骨组织的生物活性[10]。因此,笔者认为,采用液氮超低温冷藏保存的自体颅骨是理想的颅骨缺损修补材料。
自体颅骨临床应用范围包括:在初次减压术后3~6个月颅内压正常患者;骨窗头皮凹陷患者;无颅内感染或头皮切口局部感染患者;家人要求使用自体颅骨的患者等。应用超低温保存的自体颅骨修补颅骨缺损具有以下优势:(1)回植后可恢复患者生理解剖结构,减轻患者不良心理影响;(2)无排异反应,无需额外塑形,且经济实惠;(3)可以与周围组织融为一体、外形完美。当然,自体颅骨回植也有不足之处:属于嵌入式手术,骨窗头皮未见明显凹陷或膨出者不适用;骨瓣碎裂3片以上或者3片对合后影响复位牢固者不适用。
通过临床手术及实验结果的分析,笔者总结应用自体颅骨需注意以下事项:(1)对初次手术取下的自体颅骨,需要在无菌操作下清除表面残存软组织,做好标记,并严密包装及抗生素处理后,保存在液氮中。(2)自体颅骨植入是嵌入式,所以一定要等到减压窗凹陷方可手术,否则易导致脑组织受压,引起相应症状。(3)修补术前取出骨瓣在37 ℃生理盐水中解冻,复合碘浸泡5~10 min,再次用生理盐水冲洗干净。术中严格无菌操作,使用双氧水、活力碘冲洗术区,最后生理盐水冲洗干净,降低感染可能。(4)修补前先在自体颅骨瓣上用克氏针打孔若干枚,并留取骨屑以备培养和病理检查。将硬脑膜或假膜悬吊于自体颅骨上,减少硬膜外死腔及硬膜外血肿形成。前期的实验动物证明,这些小孔有肉芽组织穿过,使头皮与硬脑膜和骨瓣紧密相连,所以骨瓣钻孔可诱使软组织肉芽向骨孔内生长,既固定骨瓣又为其供血。(5)在骨窗周缘用磨钻磨除陈旧增生的骨痂,使骨面新鲜,诱导骨组织生长;骨瓣四周用颅骨锁固定。(6)本组患者术后6例有头痛症状、2例出现癫痫症状,考虑为术中电凝止血时热传导伤及大脑皮层所致,在此后的手术中电凝止血时采用反复生理盐水冲洗降温的方式,这类症状明显减少。
综上所述,液氮中保存的自体颅骨骨瓣具有不变形缩小、无排异反应、能存活且费用低廉、保存方便、患者心理易接受等优势,临床应用超低温保存自体颅骨瓣回植是一种具有前景的治疗颅骨缺损的方法。但由于本研究时间短、样本数少,其远期效果有待进一步观察,有关颅骨保存具体温度及手术修补时机的选择需扩大样本量,进一步深入研究。





















