
探讨不同月龄新西兰兔建立桡骨骨缺损模型时骨缺损大小的选择。
选取3月龄(幼龄兔)及6月龄(成年兔)健康雄性新西兰兔各20只,根据兔龄分为A组(3月龄)和B组(6月龄),每组兔前肢采用数字表法随机分为2亚组制备桡骨骨缺损模型,每组20侧。其中A1组、B1组桡骨骨缺损长度为15 mm,A2组、B2组骨缺损长度为20 mm。分别于模型制备术后第4、8、12周行X线检查,并应用X线Lane-Sandhu评分标准评估骨愈合情况。术后12周处死所有实验动物,取桡骨标本进行大体及组织学观察,分析骨愈合情况。
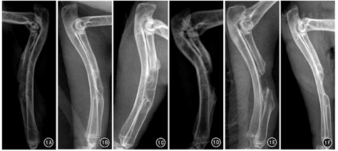
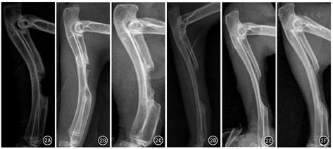
制备骨缺损模型术后,所有实验兔均存活。X线检查显示:术后第8周A1组骨缺损基本愈合,至第12周新生骨塑形完全,与正常桡骨形态类似;其余3组至第12周骨缺损均未完全修复,断端及邻近尺侧有少量新骨生成,髓腔封闭。术后各时间点X线Lane-Sandhu评分结果示:组内比较,A1组评分均高于A2组,差异均有统计学意义(P值均<0.05);B1组与B2组评分比较,差异均无统计学意义(P值均>0.05)。组间缺损尺寸相同的亚组间比较:A1组、A2组评分分别高于B1组、B2组,差异均有统计学意义(P值均<0.05)。术后12周标本大体观察显示:A1组断端形成骨性桥接,新生骨塑形良好,其余3组断端髓腔封闭,缺损区由纤维组织填充。组织学结果示A1组修复完全,新生骨骨板排列规则;其余3组缺损空腔可见纤维组织填充。
兔龄和骨缺损大小对于术后骨缺损愈合情况有重要影响,在构建兔桡骨骨缺损模型的动物实验中,幼龄兔(3月龄)骨缺损长度宜选择20 mm,成年兔(6月龄)宜选择15 mm。
版权归中华医学会所有。
未经授权,不得转载、摘编本刊文章,不得使用本刊的版式设计。
除非特别声明,本刊刊出的所有文章不代表中华医学会和本刊编委会的观点。
临床中因严重创伤、骨髓炎清创、骨肿瘤切除术等原因造成的骨缺损并不少见[1]。传统治疗方法存在诸多缺陷:自体骨移植被认为是治疗骨缺损的"金标准",但其供量有限,需额外手术而造成取骨部位慢性疼痛、骨折、神经损伤等并发症;同种异体骨移植有报道存在诱发免疫反应,骨整合、重塑缓慢等不足[1,2]。近年来,骨组织工程技术已应用于制造骨组织替代物,并有望成为治疗骨缺损的一种新型方案[2,3];随着实验研究的不断深入,建立标准化的骨缺损动物模型十分必要。在动物骨缺损实验研究中,新西兰兔是应用较为广泛的实验动物[4,5],但既往动物实验研究在制备桡骨骨缺损模型时,对动物月龄及骨缺损大小的选择存在一定争议,有选择6周~9月龄新西兰兔作为实验动物[4,6,7,8],骨缺损大小选择10~20 mm不等[2,4,9],尚无明确的选择标准。
本实验通过选择不同月龄雄性新西兰兔,于桡骨中段构建不同长度骨缺损,观察骨缺损愈合状态,以期在制备兔桡骨骨缺损模型时,为兔龄和骨缺损大小的选择提供参考。
分别选取3月龄及6月龄健康雄性新西兰兔各20只,由徐州医科大学实验动物中心提供[动物合格证:SYXK(苏)2015-0030],X线检查双侧桡骨,排除生长发育畸形等疾病。3月龄兔体质量2.2~2.5 kg,6月龄兔体质量2.8~3.2 kg。所有兔单笼饲养,自由进食、活动。本实验获得徐州医科大学动物伦理委员会批准,实验过程中对动物处置严格遵守国家科学技术部2006年《关于善待实验动物的指导性意见》的要求。
根据兔龄分为A组(3月龄,20只)、B组(6月龄,20只),每组兔前肢采用数字表法随机分为2个亚组为A1、A2、B1、B2组,每组20侧。其中A1组、B1组骨缺损大小为15 mm,A2组、B2组骨缺损大小为20 mm。
参考李东亚等[4]建模方法制备骨缺损模型。3%戊巴比妥钠(30 mg/kg)耳缘静脉麻醉后,双侧前肢术区备皮,仰卧位固定于手术台,术区消毒、铺巾。分别于双侧前肢桡侧中段纵行切开皮肤及皮下组织,分离深筋膜及肌肉,暴露桡骨干。以桡骨干弧顶为中心,仔细剥离表面部分骨膜,使用小型摆锯按术前分组于兔双侧桡骨中段分别制作15 mm、20 mm骨缺损。截骨时,保持锯片与桡骨横截面平行,截断后使用尖刀片由两侧断端向干骺端剥离3 mm骨膜,骨膜管不予缝合。无菌生理盐水彻底冲洗断端周围骨屑及积血,逐层缝合、关闭切口。术后3 d所有动物每天肌内注射40万单位青霉素预防感染,分笼喂养,自由进食水、活动。
观察术后动物精神状态、饮食活动等一般状况,以及切口有无感染、渗出等表现。术后第12周,处死所有实验兔后,经原切口进入取出尺桡骨标本,肉眼观察各组标本断端骨痂生成量及是否出现骨性桥接等情况。
术后第4、8、12周,分别拍摄双侧前肢X线正侧位片。X线检查参数:电压45 kV,电流50 mA,曝光时间0.2 s。观察术后第4、8、12周X线图像断端骨痂生长、骨桥接情况,应用X线Lane-Sandhu评分标准从骨形成、骨连接和骨塑性三个方面定量分析对比各组实验动物骨愈合情况[2]。
术后第12周,将取出的尺桡骨标本以骨缺损区为中心,断端两侧各保留约5 mm正常骨组织,垂直于骨干纵轴截断尺桡骨,10%甲醛溶液固定24 h,盐酸-甲酸-冰醋酸-甲醛混合脱钙液脱钙、乙醇逐级脱水、石蜡包埋,然后沿标本纵轴制成厚度为5 μm的组织学切片,HE染色观察断端骨痂生长及桥接情况。
应用SPSS 16.0软件行统计学分析。服从或近似服从正态分布的计量资料以
±s表示,组内不同亚组间比较采用配对t检验,组间比较采用独立样本t检验。以P<0.05为差异有统计学意义。
兔麻醉清醒后,精神一般,饮食及活动较少。术后第1天,各组兔精神好转,自由觅食饮水。术后切口周围软组织均有不同程度肿胀,至第3~5天渐消退。术后1周恢复基本活动,术后10 d左右切口愈合,观察期间所有动物均存活。
术后第12周大体标本观察:A1组桡骨断端新生骨痂均已桥接完全,表面光滑,与自身桡骨形态基本一致;其余3组标本断端有不同程度锥形骨痂生成,邻近尺骨侧亦可见部分新生骨痂,表面不规则,中央空腔由纤维组织填充。
X线图像显示,术后第4周:A1组、A2组桡骨断端有大量不均匀低密度新生骨痂影,且A1组断端基本充满新生骨,A2组桡骨断端尚存在缺损空腔;B1、B2组桡骨断端仅有极少量新生骨生成。术后第8周:A1组桡骨断端有连续性骨痂通过,轮廓欠规则,密度低于正常骨皮质;A2组缺损面积较前稍减小,部分髓腔闭塞;B1、B2组桡骨断端低密度新生骨量增多,缺损空腔面积变化不明显。术后第12周:A1组标本均愈合,髓腔再通;A2、B1、B2组桡骨断端硬化,髓腔闭合,中央为软组织影。见图1、图2。




术后各时间点X线Lane-Sandhu评分显示:组内缺损面积不同的亚组间比较,A1组评分均高于A2组,差异均有统计学意义(P值均<0.05);B1组与B2组评分比较,差异均无统计学意义(P值均>0.05)。组间缺损面积相同的亚组间比较:A1组、A2组评分分别高于B1组、B2组,差异均有统计学意义(P值均<0.05)。见表1。

术后X线Lane-Sandhu评分结果比较(分,
±s)
术后X线Lane-Sandhu评分结果比较(分,
±s)
| 组别 | 侧数 | 术后第4周 | 术后第8周 | 术后第12周 | |
|---|---|---|---|---|---|
| A组 | |||||
| A1 | 20 | 7.600±0.598 | 9.700±0.733 | 11.400±0.940 | |
| A2 | 20 | 2.550±0.510 | 2.700±0.470 | 2.750±0.444 | |
| t值 | 29.749 | 36.469 | 44.206 | ||
| P值 | <0.001 | <0.001 | <0.001 | ||
| B组 | |||||
| B1 | 20 | 0.800±0.410a | 1.600±0.503a | 1.700±0.470a | |
| B2 | 20 | 0.700±0.470b | 1.350±0.489b | 1.550±0.510b | |
| t值 | 0.698 | 1.561 | 0.900 | ||
| P值 | >0.05 | >0.05 | >0.05 | ||
注:与A1组比较,aP<0.05;与A2组比较,bP<0.05
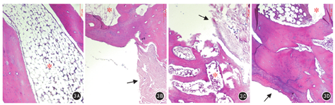
术后第12周组织学观察结果显示:A1组新生骨细胞排列规则,以成熟板状骨为主,髓腔再通(图3A);A2组缺损断端髓腔闭塞,有成熟板状骨向缺损中心生长,缺损区为部分纤维组织(图3B);B1、B2组断端主要为新生编织骨及少量成熟板状骨,骨细胞排列杂乱,缺损中央有较多纤维组织(图3C、图3D)。


理想的骨缺损动物模型是进行骨组织工程动物实验研究的基础。兔具有与人体相似的骨哈弗系统,尺桡骨由骨间膜紧密连接,桡骨制造骨缺损后,邻近尺骨可起代偿性支撑作用,不需植入内固定物,可避免术后负重及内固定物对断端骨愈合的影响;而且,手术易于暴露,操作简单,是最为常用的动物骨缺损模型之一[3,4,10]。有研究发现,动物骨形态结构及骨胶原纤维走向与其性别有关,且雌性动物的性激素周期也会影响骨愈合过程[11]。因此,在本研究中采用雄性新西兰兔作为实验动物,以避免性别因素对动物骨缺损愈合过程的影响。
Bodde等[12]认为,动物年龄是影响骨缺损愈合的重要因素;他们的实验选取4月龄新西兰兔分别构建15 mm及20 mm桡骨骨缺损,术后第12周影像学及组织学结果显示,两组间骨愈合结果并无差异,鉴于此,他们推荐选择更为成熟的6月龄兔作为骨再生研究的实验动物。
还有研究报道,在6周龄新西兰兔股骨干骨缺损模型中,术后第5~6周的骨缺损断端即有新生骨痂生成,至7~9周形成骨性连接[6];而在4~5月龄新西兰兔股骨干骨缺损模型中,至术后第12周断端才形成骨痂桥接[7]。Meimandi等[2]选取了更大的10~12月龄雄性新西兰兔制造10 mm桡骨骨缺损,术后第60天组织学结果证实骨缺损并未愈合,断端仅存在纤维连接,且生物力学实验结果显示其稳定性较正常骨组织差。本研究结果也显示,幼龄兔具有更好的骨修复能力。
骨缺损大小是动物骨缺损模型的重要参数,当骨缺损达到一定长度,超出动物自行愈合的最大能力,该长度即为临界性骨缺损(critical size defect,CSD)[5]。一般认为,动物长骨CSD大小为骨干直径1.5~2.5倍以上或为其长度的10%以上[3]。目前国内外研究对兔桡骨CSD大小有选择10~20 mm等不同尺寸[2,4,8]。李东亚等[4]选择6月龄雄性新西兰兔制备不同尺寸桡骨骨缺损,对桡骨CSD大小进行对照研究,术后12周CT图像显示:10 mm组断端愈合,与自身桡骨形态基本一致;15 mm及20 mm组均未愈合,且CT-Hedberg评分证实二者愈合结果并无差异性。基于该结果,李东亚等[4]认为,6月龄雄性新西兰兔桡骨骨缺损模型的缺损长度宜选择15 mm。在本实验中,6月龄兔组15 mm及20 mm均未愈合,这与李东亚等[4]实验结果相似;然而,本实验中3月龄兔组15 mm骨愈合良好。这也说明,实验动物年龄不同,其骨愈合能力也不同。研究显示,骨形态发生蛋白(bone morphogenetic protein, BMP)诱导的成骨活性及前体成骨细胞数量与动物年龄有关[13]。结合文献和本研究结果,笔者分析,上述不同月龄新西兰兔骨缺损愈合时间及CSD大小不同可能与BMP分泌有关。
本研究局限性在于:(1)未选择多个年龄组,主要考虑到诸如1月龄、2月龄等幼兔饲养困难,且目前多数实验研究选择的最小月龄多为3月龄幼兔,因而未设置1月龄及2月龄组进行更详细的年龄因素分析。(2)为便于手术操作及控制缺损尺寸误差,未细化设置12、14、16、18 mm等骨缺损尺寸。(3)仅基于X线影像学及组织学结果探讨骨缺损愈合情况,未进一步分析成骨相关生化指标。本研究后期将围绕不同月龄兔骨愈合差异的相关机制,如BMP、骨钙素等水平的差异及免疫组织化学的相关改变等进行更深入的探讨。
综上所述,兔龄和骨缺损大小对于骨缺损愈合情况有重要影响。在构建兔桡骨骨缺损模型时,3月龄兔骨缺损长度以20 mm为宜,6月龄兔骨缺损长度以15 mm为宜。





















