
版权归中华医学会所有。
未经授权,不得转载、摘编本刊文章,不得使用本刊的版式设计。
除非特别声明,本刊刊出的所有文章不代表中华医学会和本刊编委会的观点。
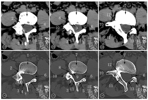
患者女,36岁,因"间断性右侧腰腿痛8年余,再次发作3个月",于2016年8月1日来海军总医院骨科就诊。曾在外院行腰椎平片及CT检查示腰骶椎隐裂(原始影像资料丢失),难以找到病痛的原因。查体:约平L4~5棘突间隙右侧压叩痛,向右下肢放射,右股神经牵拉试验阳性,右小腿内侧感觉减退,呈L4神经根受损体征。患者在我院行腰椎X线摄片检查报告示:L4~5椎间隙变窄,L5及S1隐裂。笔者阅读我院X线片,发现腰椎区域实际有以下多处形态及结构异常:正位片(图1A)示腰椎呈S形弯曲;L1~3以L2为顶椎右侧凸,似姿势性侧凸,但L3右椎板及下关节突发育肥大;右L3~4椎板间隙降至右L4椎弓根上界高度;以L4~5椎间隙为顶椎左侧凸,有多处解剖畸形。解剖畸形包括:(1)椎弓根,L4右侧椎弓根低于左侧;L4~5右侧椎间孔高度明显小于左侧。(2)横突,右侧L4横突发育小且低于左侧。(3)椎板,右侧L4及L5椎弓根向内共同发出一椎板结构,即L4~5椎板融合体,无右L4~5椎板间隙;右L4~5椎板融合体向中线上方移行,在棘突中线同左侧L4椎板融合,而左侧L5椎板游离,在中线略偏右同L4~5椎板融合体隔一左上斜向右下的裂隙,易误判为L5隐裂;右侧L4~5关节突关节辨不清。侧位片(图1B)示L4~5椎间隙变窄,L4~5椎间孔下方似有骨样突起。左斜位片(图1C)能辨出L4~5关节突关节;右斜位(图1D)示L4~5关节突关节结构消失。过伸过屈位片(图1E、图1F)示L4~5节段无活动度。腰椎CT检查及重建影像报告仅提及腰骶椎隐裂。笔者阅读CT横断面图像,未见到L3~S1节段有椎间盘突出;但对L4~5椎间隙节段的横断面连续CT图像观察发现L4~5右侧椎间孔前后径变小,自L5椎体右后缘有骨性隆起使椎间孔呈迂曲状,右侧L4~5椎板融合体宽度明显为厚(图2)。矢状位CT重建见右侧L4~5椎间孔周径明显变小,L4~5关节突关节融合(图3)。冠状位CT重建图像证实右L4~5关节突关节融合,右侧L4椎弓根平面下降,右侧L4横突发育不良,右侧L4~5椎板融合(图4)。患者经卧床休息、脱水及激素冲击治疗,右侧下肢放射痛减轻。建议行腰椎MR或腰椎管造影了解神经根走行有无异常,患者因症状缓解拒绝再行进一步检查。随访3个月,期间右侧下肢放射痛复发1次,但未达到3个月前强度,口服镇痛消肿药物及卧床休息后,症状再次好转。患者暂未手术,继续随访观察中。






下肢神经根性放射痛最常见原因为腰神经根机械受压,但非受压状态下也可出现类似症状,如带状疱疹[1]。致压因素中椎间盘突出最常见[2]。其他不论何种因素,只要致腰神经根在其行径上受压,均可出现类似症状[3]。
腰椎管狭窄是常见病,根据解剖部位分为中央、侧隐窝和椎间孔狭窄[4]。椎间孔狭窄亦可导致下肢放射痛,与受压神经根分布范围一致,有时很顽固[5]。症状缓解与受压神经及致压物水肿减轻有关[6],有时致压物会自行吸收[7]。治疗上可先尝试采用药物、神经根阻滞等方法进行为期4~12周的保守治疗。保守治疗无效可手术治疗[5]。与常见的动态[5]及软性椎间孔狭窄[6]不同,本例患者属椎间孔骨性狭窄,且为环形狭窄,前方为L4~5椎间盘后方膨隆钙化带,后方为融合的L4~5关节突关节,上下为靠近的L4及L5椎弓根,导致由此穿过的L4神经根受压;其L1~3右侧凸属代偿性。此类畸形罕见报道。笔者判断该畸形为先天性,因为后天性不可能同时发生L4~5关节突关节融合并椎板融合,椎间孔也不会呈环形骨性狭窄。
研究显示,并非每个椎间孔内均有神经根通过,Neidre-Macnab-ⅡA型神经根畸形时,某一椎间孔通过2个神经根,而相邻上或下方椎间孔则无神经根[8]。神经根畸形时可无骨性解剖异常;同样,骨性结构异常可合并或不合并神经根走行异常。CT或MR检查可能漏诊神经根异常,因此,不能作为绝对的判定依据[8]。
本例患者仅是影像检查发现骨性椎间孔狭窄,而无神经根受压表现,或许可用椎间孔无神经根通过或通过的神经根细小得以解释。但该患者有典型的右侧L4神经根受压表现和体征,影像学除了发现右侧L4~5椎间孔狭窄外,并未找到其他部位有压迫的任何证据,而L4~5椎间孔恰好是正常L4神经根通过的区域。笔者分析,此处应有神经根通过,且其受压是右下肢放射痛的唯一能找到的原因。从患者横断面CT可见,在L4~5椎间孔偏外侧可隐约见到条状的软组织结构,不排除此软组织结构就是从此经过的神经根。由于直接影像学证据并不充分,笔者曾建议患者行MR检查或者椎管造影明确右侧L4~5椎间孔是否有神经根通过,但未获得患者同意,这也为临床研究面临的实际困难。
笔者分析,患者28岁时才首发症状,考虑是行经其中的L4神经根激惹水肿引起,但不排除行经此椎间孔的L4神经根较正常神经根细或耐受阈值较高,导致早期无症状。笔者推测,本例患者发病是由于各种因素导致L4神经根短时间水肿,超出了其承受阈值而出现症状。如果症状由L4神经根水肿引起,脱水治疗可使L4神经根水肿减轻,疼痛缓解。本例患者脱水治疗有效,进而证明了笔者的判断。由于患者保守治疗有效,随访期间虽有轻度反弹,但再次治疗有效,故未手术。如患者以后病情反复或加重,考虑行右侧L4~5椎间孔扩大术治疗。一旦手术,可直视下观察到L4~5椎间孔内的情况,判断笔者的推测是否正确。
本例患者的普通X线片,极似常见的L5及S1隐裂,影像报告未描述到真正的畸形,提示影像科室医师也可能漏诊[9]。影像科医师通常对CT图像主要关注CT横断面上有无椎间盘突出、侧隐窝狭窄、黄韧带肥厚等,而对冠状面、矢状面重建图像关注度不足。对于本例患者,如果影像科医师注意观察CT重建图像,就会发现右侧L4~5椎间孔骨性狭窄,L4~5关节突关节融合及椎板融合,而不至漏诊。这也提示我们,影像报告仅供参考,临床医师一定要亲自读片,注意对每个脊椎的椎体、附件及毗邻关系进行逐一细致观察,相互借鉴,避免漏诊。





















