
探讨正常膝关节后外侧角(PLC)解剖的MRI表现及其临床应用价值。
采用前瞻性研究方法。2016年5—6月在苏州大学附属第三医院招募16名青年志愿者进行双膝关节MR检查,其中男9名、女7名,年龄22~30岁;两侧膝关节无手术史及外伤史,且体格检查正常。受试体位:仰卧、膝关节伸直并轻度外旋10°~15°;扫描序列:斜矢状位快速自旋回波T1WI、T2WI,冠状位、斜矢状位及轴位质子密度加权成像(PDWI);观察分析组成PLC的腓侧副韧带、腘肌腱、腘腓韧带、豆腓韧带、弓状韧带的形态、止点、走行、信号强度及其与毗邻结构的位置关系。
PDWI可以清晰显示呈低信号强度的正常PLC的特殊结构,主要包括腓侧副韧带、腘肌腱、腘腓韧带、弓状韧带、豆腓韧带,显示率分别为100%(32/32,侧)、100%(32/32,侧)、87.5%(28/32,侧)、81.3%(26/32,侧)和37.5%(12/32,侧)。腓侧副韧带、腘肌腱位置及走行固定。腓侧副韧带全长(50.88±4.72)mm,中点宽(4.72±0.33)mm、厚(2.55±0.40)mm;腘肌腱全长(45.31±1.66)mm,腘肌裂孔处宽(3.26±0.39)mm、厚(3.15±0.26)mm;腘腓韧带全长(11.66±0.78)mm,中点宽(3.24±0.32)mm、厚(1.24±0.11)mm;弓状韧带及豆腓韧带显示率不高、变异较多,韧带起止点、大小、形态因个体差异可有所不同。左右侧腓侧副韧带、腘肌腱、腘腓韧带的长度、宽度、厚度比较,差异均无统计学意义(P值均>0.05);男女性腓侧副韧带长度及厚度、腘肌腱长度及宽度比较,差异有均有统计学意义(P值均<0.05)。
熟悉PLC的正常解剖结构能够帮助我们发现该区域的细微异常改变,了解其正常及损伤的磁共振表现,提高放射科医师对PLC损伤的诊断能力。
版权归中华医学会所有。
未经授权,不得转载、摘编本刊文章,不得使用本刊的版式设计。
除非特别声明,本刊刊出的所有文章不代表中华医学会和本刊编委会的观点。
膝关节后外侧角(posterolateral corner,PLC)是由膝关节后外侧区域的肌肉、肌腱、韧带、关节囊等组成的解剖及功能复杂结构的总称[1],又称膝关节后外侧复合体、膝关节后外侧结构等。PLC通过防止膝关节内翻、外旋和后外侧旋转,从而对保持膝关节的稳定性和正常功能起着重要作用[2,3]。近几年,随着交通事故、运动损伤的患者增多,PLC损伤亦越来越多见;但是,长期以来由于临床医生对PLC正常解剖及MRI表现认识不足,常常忽视该区域结构的损伤,导致损伤后的诊断及治疗不及时,造成伤后膝关节不稳,甚至出现残疾、软骨退化、交叉韧带重建失败及腓神经损伤等严重后果[4,5,6]。MRI对诊断膝关节的韧带、肌肉、软骨等损伤有着独特的优势,因此,本研究对正常人群PLC的MR影像进行研究,旨在帮助我们熟悉正常PLC的解剖及其MRI表现,提高发现PLC损伤的能力,为及时、准确诊断和治疗PLC损伤提供帮助。
本研究为前瞻性研究,经医院伦理委员会批准[批文号:(2017)科第014号]。志愿者均被告知研究内容、MR检查注意事项等,并均签署知情同意书。
志愿者纳入标准:(1)年龄18~34岁,性别不限;(2)无膝关节疼痛、肿胀、交锁、畸形和功能障碍等临床表现;(3)膝关节临床体格检查均正常。排除标准:(1)膝关节手术史;(2)膝关节外伤史。
2016年5—6月,对苏州大学附属第三医院招募的符合纳入标准的16名青年志愿者,分别进行双侧膝关节MR检查,其中男9名、女7名,年龄22~30岁、中位年龄25岁。
采用德国Siemens Verio 3.0 T MR扫描仪。所有志愿者取仰卧位,膝关节取伸直位并轻度外旋10°~15°,置于膝关节专用8通道表面线圈并固定,以膝关节为中心,足先进。扫描序列及参数:常规斜矢状位快速自旋回波T1WI扫描参数TR 6 251 ms、TE 20 ms、层厚3 mm、层间距0.3 mm、FOV 180 mm×180 mm,T2WI扫描参数TR 4 000 ms、TE 110 ms、层厚3 mm、层间距0.3 mm、FOV 180 mm×180 mm;冠状位质子密度加权成像(proton density weighted image, PDWI),扫描参数TR 3 500 ms、TE 32 ms、层厚3 mm、层间距0.3 mm,FOV 180 mm×180 mm;斜矢状位PDWI,扫描参数TR 3 500 ms、TE 36 ms、层厚3 mm、层间距0.3 mm、FOV 180 mm×180 mm;轴位PDWI,扫描参数TR 3 500 ms、TE 36 ms、层厚3 mm,层间距0.3 mm,FOV 150 mm×150 mm。各序列扫描激励次数均为2,检查时间约20 min。
16名志愿者均完成双侧膝关节MR扫描,扫描过程中均未见明显运动伪影,各序列图像均传送至Siemens Syngo(MMWP VE40A)软件上进行图像观察及分析。
(1)观察项目:观察PLC腓侧副韧带、腘肌腱、腘腓韧带、豆腓韧带及弓状韧带的MRI形态、止点、走行、信号强度及其与毗邻结构的位置关系,并分别测量腓侧副韧带、腘肌腱、腘腓韧带的长度、宽度、厚度。(2)测量方法:在冠状位PDWI选取连续显示韧带长径层面,以该层面韧带两端分别为起点及止点,连续测量各层面腓侧副韧带、腘肌腱及腘腓韧带起点至止点的距离,各层面测量结果相加总和记为韧带全长;以冠状位为定位相在轴位PDWI图像上选取腓侧副韧带中点、腘肌腱腘肌裂孔水平处及腘腓韧带中点层面,分别测量该层面各韧带宽度及厚度;观察并记录各韧带或肌腱的信号强度,以同层面中等信号的肌肉信号为标准,低于肌肉信号记为低信号,与肌肉信号相似记为中等信号,高于肌肉信号则记为高信号。所有扫描图像均由2名经验丰富、熟悉骨关节MRI的放射科副主任医师进行观察及测量,每人每个定量指标均测量2次,取均值为最终结果;每个定性指标当两位医师意见一致时则做出统一诊断,两位医师意见不一致时,则与高年资主任医师协商作出诊断。
应用SPSS 23.0软件进行统计学分析。计量数据采用Shapiro-Wilk检验进行正态性分析,服从正态分布以
±s表示。左右侧PLC各观测指标比较采用配对t检验。采用Kappa系数分析观察者对定性指标观察结果的一致性:Kappa值≥0.75为一致性较好,0.4<Kappa值<0.75为一致性中等,Kappa值<0.40一致性差;采用组内相关系数(intraclass correlation coefficients, ICC)评价观察者之间测量数据的可靠性:ICC>0.9可靠性优,ICC 0.7~0.9可靠性一般,ICC<0.7可靠性差。以P<0.05为差异有统计学意义。
观察者对本组志愿者的定性指标观察结果的一致性检测结果显示Kappa值=0.85,一致性较好。观察者自身及观察者间ICC值均>0.9,提示测量值可靠性优。
PDWI可以清晰显示呈低信号强度的正常PLC的特殊结构,主要包括腓侧副韧带、腘肌腱、腘腓韧带、豆腓韧带、弓状韧带,各韧带显示率及其清晰显示的MR序列及方位见表1。

16名志愿者32侧膝关节MR PDWI可识别的PLC 特殊结构及其清晰显示的扫描方位
16名志愿者32侧膝关节MR PDWI可识别的PLC 特殊结构及其清晰显示的扫描方位
| 结构名称 | 侧数 | 显示[侧(%)] | 信号强度 | 扫描方位 |
|---|---|---|---|---|
| 腓侧副韧带 | 32 | 32(100.0) | 低 | 冠状位/轴位 |
| 腘肌腱 | 32 | 32(100.0) | 低 | 冠状位/轴位 |
| 腘腓韧带 | 32 | 28( 87.5) | 低 | 冠状位/斜矢状位 |
| 弓状韧带 | 32 | 26( 81.3) | 低 | 冠状位 |
| 豆腓韧带 | 32 | 12( 37.5) | 低 | 冠状位 |
注:PLC为膝关节后外侧角;PDWI为质子密度加权成像
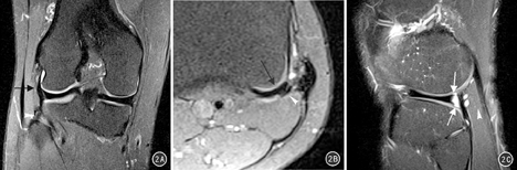
腓侧副韧带位于PLC最浅层,为关节囊外结构,MR冠状位及轴位PDWI序列可清晰显示其形态及走行。腓侧副韧带起于股骨外侧髁后方、腓肠肌外侧头股骨附着处前方,远端斜向后外下附着于腓骨头外侧面和腓骨茎突的前下方;冠状面表现为从股骨远端后外侧到腓骨近端的条带状低信号结构,股骨及腓骨两端附着处较实质部分稍增粗;横断面面表现为类似卵圆形的低信号结构,在附着于腓骨前均加入股二头肌肌腱形成联合腱共同附着于腓骨头。见图1。


腘肌、腘肌腱的形态及走行较复杂,空间上呈螺旋状结构,冠状位及连续轴位PDWI序列图像上可清晰显示。腘肌起于胫骨近端的后内侧面,呈中等信号,向上向外延伸形成低信号的肌腱,经豆腓韧带及弓状韧带的深面,附着于股骨外侧髁腘肌沟的前方、腓侧副韧带股骨止点的前下方(图1、图2)。在斜矢状位PDWI序列观察到腘肌腱另发出细线状低信号的腘肌半月板纤维束到外侧半月板后角(图2C),与外侧半月板后角连接、关系密切。


冠状位、斜矢状位PDWI序列MRI可清晰显示其走行,腘腓韧带连接腘肌及腓骨头,起自腘肌肌肉肌腱连接部附近,向远外侧延伸,止于腓骨茎突内侧前下方接近胫腓关节处。MRI表现为自腘肌肌肉肌腱连接部向远外侧延伸,至腓骨茎突内侧前下方或腓骨头的扁平扇形低信号结构(图2),本组出现弓状韧带及豆腓韧带的膝关节均显示腘腓韧带行于其深面(图3);冠状面显示腘肌与腘腓韧带呈一锐角(图2A),这与PLC的其他结构均近乎垂直走向的特点有所不同,可以作为辨识该韧带的一个特征。


左右侧腓侧副韧带、腘肌腱、腘腓韧带的长度、宽度、厚度比较,差异均无统计学意义(P值均>0.05),见表2。男女性腓侧副韧带长度及厚度、腘肌腱长度及宽度比较,差异有均有统计学意义(P值均<0.05),见表3。

16名志愿者左右侧PLC的腓侧副韧带、腘肌腱、腘腓韧带长、宽、厚度比较(mm,
±s)
16名志愿者左右侧PLC的腓侧副韧带、腘肌腱、腘腓韧带长、宽、厚度比较(mm,
±s)
| 侧别 | 侧数 | 腓侧副韧带 | 腘肌腱 | 腘腓韧带 | ||||||
|---|---|---|---|---|---|---|---|---|---|---|
| 长度 | 宽度 | 厚度 | 长度 | 宽度 | 厚度 | 长度 | 宽度 | 厚度 | ||
| 左侧 | 16 | 50.98±4.70 | 4.75±0.38 | 2.55±0.40 | 45.25±1.60 | 3.28±0.38 | 3.16±0.27 | 11.65±0.80 | 3.23±0.37 | 1.21±0.10 |
| 右侧 | 16 | 50.78±4.88 | 4.68±0.28 | 2.54±0.41 | 45.36±1.76 | 3.24±0.42 | 3.15±0.27 | 11.66±0.78 | 3.26±0.28 | 1.26±0.12 |
| 均值 | 32 | 50.88±4.72 | 4.72±0.33 | 2.55±0.40 | 45.31±1.66 | 3.26±0.39 | 3.15±0.26 | 11.66±0.78 | 3.24±0.32 | 1.24±0.11 |
| t值 | 1.077 | 1.381 | 0.169 | 0.698 | 0.573 | 0.194 | 0.188 | 0.460 | 1.936 | |
| P值 | >0.05 | >0.05 | >0.05 | >0.05 | >0.05 | >0.05 | >0.05 | >0.05 | >0.05 | |
注:PLC为膝关节后外侧角

16名志愿者不同性别PLC的腓侧副韧带、腘肌腱、腘腓韧带长、宽、厚度比较(mm,
±s)
16名志愿者不同性别PLC的腓侧副韧带、腘肌腱、腘腓韧带长、宽、厚度比较(mm,
±s)
| 性别 | 侧数 | 腓侧副韧带 | 腘肌腱 | 腘腓韧带 | ||||||
|---|---|---|---|---|---|---|---|---|---|---|
| 长度 | 宽度 | 厚度 | 长度 | 宽度 | 厚度 | 长度 | 宽度 | 厚度 | ||
| 女性 | 14 | 47.40±2.42 | 4.66±0.30 | 2.33±0.33 | 44.19±1.41 | 3.03±0.30 | 3.13±0.26 | 13.36±0.54 | 3.15±0.34 | 1.28±0.09 |
| 男性 | 18 | 53.58±4.29 | 4.76±0.37 | 2.72±0.37 | 46.17±1.30 | 3.44±0.36 | 3.17±0.27 | 13.89±0.86 | 3.32±0.30 | 1.21±0.12 |
| t值 | -4.816 | -0.822 | -3.098 | -4.120 | -3.431 | -0.422 | -2.014 | -1.500 | 1.818 | |
| P值 | <0.01 | >0.05 | <0.01 | <0.05 | <0.01 | >0.05 | >0.05 | >0.05 | >0.05 | |
注:PLC为膝关节后外侧角
PLC的组成结构呈空间立体排列,解剖结构多而复杂,部分结构间还有相互融合,这给PLC的解剖形态描述、损伤后的诊断及治疗带来了困难。特别是合并交叉韧带损伤时,常规的体格检查常常容易忽略PLC损伤,造成漏诊;而这些未识别的PLC损伤常常延误治疗,导致膝关节外旋、内翻以及胫骨近端后向不稳[2]。慢性膝关节不稳可加速关节软骨退行性病变,造成关节功能障碍,甚至发生肢体残疾,也常常成为交叉韧带重建失败的重要原因[4,6,7,8];然而,目前国内研究、描述和总结正常PLC MRI表现的信息较少。以往研究常常没有提供完整的MRI表现来描述PLC的各组成结构或识别可能需要进行手术修复的相关结构,而这对于可能需要手术修复PLC的患者至关重要。
人体PLC的组成一直以来都存在争议。以往文献将PLC分为三层:浅层包括外侧筋膜、髂胫束和股二头肌,中间层包括腓侧副韧带、髌骨外侧支持带和外侧髌骨股骨韧带,深层包括腘肌肌腱复合体、腘腓韧带、豆腓韧带和弓状韧带[4,6]。近年来,随着对PLC的进一步研究,大多学者认为PLC主要由腓侧副韧带、腘肌腱、腘腓韧带、弓状韧带、豆腓韧带,以及位于深层的后外侧关节囊组成,这些静态稳定结构共同作用,防止膝关节内翻、外旋和后外侧旋转[2,9,10,11]。
腓侧副韧带也就是我们常说的外侧副韧带,其位置及走行恒定,术中可作为PLC的解剖定位标志,在其后侧及深面显露其他结构[12]。腓侧副韧带起于股骨外侧髁后方、腓肠肌外侧头股骨附着处前方,远端斜向后外下附着于腓骨头外侧面和腓骨茎突的前下方。生物力学研究显示,腓侧副韧带主要限制膝关节内翻,也与腘肌腱、腘腓韧带共同作用限制膝关节外旋及胫骨后移,同时还与前交叉韧带共同作用限制胫骨前移[13,14]。有研究报道,经手术证实的后外侧不稳患者中,23%有腓侧副韧带损伤[15]。本组研究发现,腓侧副韧带于冠状位、轴位PDWI系列显示其形态、走行及连续性最佳;故当临床高度怀疑其损伤时,应着重观察冠状位、轴位T2WI或PDWI韧带的形态及信号改变。MRI常常表现为股骨止点的软组织撕脱、韧带部分或完全撕裂所致增厚或连续性中断、韧带周围的水肿、腓骨小头撕脱骨折及慢性损伤所致的韧带增厚等[16]。
腘肌、腘肌腱及腘腓韧带共同组成腘肌腱复合体。腘肌腱作为膝关节的第五个主要韧带,是膝关节后外侧的主要稳定结构之一,主要限制外旋[17]。在一组经手术证实的后外侧不稳患者中,约68%伴腘肌腱损伤[17]。腘肌及腘肌腱损伤可发生于全程各处,但最常累及肌腹肌腱连接部[18],此处位于关节囊外,对关节镜检查医师来说是个挑战。本研究中冠状位、轴位、斜矢状位PDWI序列均可清晰显示腘肌及腘肌腱的形态、走行及信号强度,结合不同方位的MRI可准确发现腘肌及腘肌腱的异常,对诊断及治疗高度损伤的腘肌腱十分重要。腘肌及肌腱损伤MRI常常表现为肌腱与肌肉内信号不均匀增高、腘肌腱部分或完全撕裂所致的连续性不完整、肌腹增大等。腘肌腱另发出前下、后上、后下腘肌半月板纤维束,围绕腘肌裂孔与外侧半月板后角形成牢固的连接防止其在伸膝过程中过度前移[19],对维持外侧半月板的稳定起到重要作用。本研究结果显示,斜矢状位PDWI系列可清晰显示腘肌半月板纤维束,表现为自腘肌腱至外侧半月板后角的带状低信号结构,这与杨敏[20]所述相同。
腘腓韧带是同腘肌腱等宽或略宽的短而牢固的肌腱束,是大多数膝关节都存在的维持PLC静态稳定的一个重要结构[13,21,22],起自腘肌肌肉肌腱连接部附近,向远外侧延伸,止于腓骨茎突内侧前下方接近胫腓关节处。尽管腘腓韧带的尸体解剖识别率为93%~100%[23],但常规MRI却常常难以固定显示,本组腘腓韧带显示率87.5%。Wadia等[21]尸体解剖结果显示,腘腓韧带长11.08 mm、厚11.06 mm,腘肌与腘腓韧带夹角平均约60°,与本组研究结果相似。腘腓韧带损伤常见于PLC损伤,本研究显示冠状位、斜矢状位PDWI序列可清晰显示腘腓韧带的形态及信号强度,可帮助临床准确发现腘腓韧带的异常并及时制定合理的治疗方案。
弓状韧带及豆腓韧带的尸体解剖及MRI显示率及大小多变[6,24]。本研究显示,弓状韧带起自腓骨头尖,向上走行从后面越过腘肌腱,然后在腓肠肌外侧头起点下方与股骨外侧髁后外侧的关节囊相融合。另有尸体解剖显示,弓状韧带更细微的分为内、外侧支似"Y"形,外侧支(或垂直支)向上沿关节囊延伸至股骨外侧髁,内侧支(弓形支)向内上跨过腘肌腱与后关节囊融合[12,25];然而,本研究未观察到此更细微的结构,可能因MRI对微小结构的显示还存在一定限制。Raheem等[24]研究报道,豆腓韧带出现率35.7%(5/14),与本组显示率(37.5%)相似;同时,Raheem等还认为部分豆腓韧带与弓状韧带融合时其强度要比两者独立存在时大大加强。弓状韧带及豆腓韧带损伤后诊断常常较为困难,临床上绝大部分被其他膝关节损伤所掩盖而无法检出,而MR冠状位PDWI序列可观察两者的形态及信号而提示其损伤的可能性,当后外侧关节囊周围信号增高可提示损伤,弓状韧带腓骨茎突止点撕脱经常与股二头肌短头直接臂的撕脱同时发生[26],故当合并腓骨茎突或股二头肌等更多后外侧关节囊周围结构损伤时则更易诊断。
股二头肌肌腱虽不归入PLC,但就如前面提到的,股二头肌肌腱常常加入腓侧副韧带形成联合腱共同附着于腓骨头,其损伤时常常涉及PLC损伤;故当出现股二头肌肌腱损伤时,应高度怀疑是否合并其周围相关后外侧角结构的损伤。
PLC解剖组成多而复杂、排列立体,当如此复杂又细微的结构损伤时,仅依靠临床体格检查大多难以诊断,特别是合并交叉韧带或其他骨损伤等疼痛剧烈而体格检查受限时,诊断更为困难[27,28]。PLC损伤最常于膝关节过伸时暴力直接作用于胫骨近端前内侧所致。孤立的PLC损伤少见,其重度损伤时多并交叉韧带、半月板及内侧韧带等其他关节周围结构的损伤[2]。当PLC出现较高级别的损伤时,其手术方式的选择如重建或修复常常对预后起到关键的作用;而若忽视此处结构损伤,很有可能给联合其他膝关节损伤,尤其是合并交叉韧带损伤且仅重建或修复撕裂的交叉韧带的患者带来重建失败或关节炎等后果。近年来随着基础研究的发展,特别是对PLC功能解剖和生物力学研究的深入,目前的研究重点是解剖重建PLC[23,29]。故正确理解PLC相关结构的解剖形态、附着点、长度、生物力学特点,尤其是其MRI表现等,是及时发现、诊断PLC损伤的重要基础,也是临床合理选择治疗方法的前提,可为切口的选择和解剖结构的重建提供重要参考。
总之,MRI可以为发现、诊断PLC损伤提供客观、明确的诊断依据,能够帮助我们发现该区域的细微异常改变,减少误诊漏诊,提高放射科医师对PLC损伤的诊断能力,有助于提高诊断的准确性,从而为临床医生决定治疗方案和手术方式提供参考。





















