
探讨重症缩窄性心包炎外科治疗策略。
回顾性分析2007年1月—2017年6月蚌埠医学院第一附属医院心脏外科收治的37例重症缩窄性心包炎患者的临床资料,其中男26例、女11例,年龄22~73(38.42±17.21)岁,病程3个月~5年。37例中,心源性恶液质12例,低心排血量综合征5例,严重贫血、低蛋白血症12例,严重肾功能不全2例、肝功能不全8例。术前中心静脉压16~35 cmH2O(1 cmH2O=0.018 kPa),其中≥20 cmH2O 28例。心功能NYHA分级:Ⅲ级15例,Ⅳ级22例。患者均行心包剥脱术治疗。术后观察患者心功能恢复情况。
本组37例,术中死亡2例,其余患者均顺利完成手术。手术时间1.5~3 h,平均2 h。患者术后中心静脉压均<20 cmH2O,其中26例<14 cmH2O。35例患者中,术后并发低心排血量综合征5例,予强心、利尿处理,1例治疗无效死亡,4例好转;并发心律失常6例、急性肾功能不全3例、呼吸功能不全4例,予相应处理后,患者均好转。患者术后心功能均不同程度改善,出院时心功能NYHA分级Ⅰ级24例、Ⅱ级9例、Ⅲ级1例。34例获随访,随访时间0.5~10年,平均4.6年。术后3个月复查胸部CT示:心包手术区有无组织增生、钙化。随访期间患者无复发,基本恢复日常工作、生活。
重症缩窄性心包炎病情重,并发症多,应尽早确诊,积极手术治疗。同时,需加强围术期管理,制定合理治疗方案,术中精准把控心包切除顺序和范围,以提高手术成功率、降低术后并发症发生率。
版权归中华医学会所有。
未经授权,不得转载、摘编本刊文章,不得使用本刊的版式设计。
除非特别声明,本刊刊出的所有文章不代表中华医学会和本刊编委会的观点。
缩窄性心包炎是由于累及心包的慢性炎症引起心包纤维板增厚并逐渐挛缩、粘连、钙化和压迫心脏及大血管根部,致心脏舒张与收缩功能受限,从而引起右心房增大、腔静脉压增高及心排出量降低等一系列循环功能障碍[1]。缩窄性心包炎患者容易误诊、误治,病程越长,手术难度及风险越大,且治疗效果越差,因此应及早手术治疗[2,3]。目前,缩窄性心包炎最有效的治疗方式是行心包剥脱术,相关报道较多;但有关其病情程度的划分标准,查阅文献未见相关报道。本课题组在缩窄性心包炎外科治疗的研究中,对重症缩窄性心包炎的诊断标准进行界定[1]。并在临床实践中加以完善。2007年1月—2017年6月蚌埠医学院第一附属医院心脏外科收治重症缩窄性心包炎37例,获得良好的治疗效果;现对其临床资料进行回顾性分析,旨在探讨重症缩窄性心包炎的治疗策略。
本研究中重症缩窄性心包炎的诊断标准:确诊为缩窄性心包炎的患者,在采用刘学刚等[1]重症缩窄性心包炎5项诊断标准的基础上增加7项,共12项诊断标准,符合2项以上者诊断为重症缩窄性心包炎。具体如下:(1)心功能Ⅲ~Ⅳ级;(2)有严重心律失常;(3)心包严重钙化;(4)肝、肾功能损害;(5)心包剥除术后再缩窄;(6)病程2年以上;(7)有大量胸水、腹水;(8)严重呼吸功能不全;(9)严重贫血、低蛋白血症;(10)低心排血量综合征;(11)心源性恶液质;(12)心包剥除时心脏急性膨胀。
病例纳入标准:符合本课题组最新完善的重症缩窄性心包炎的诊断标准。病例排除标准:先天性心脏病;心脏瓣膜病;冠心病;恶性肿瘤;免疫性缺陷疾病;结核性重症缩窄性心包炎,未正规抗结核治疗;患者及家属拒绝手术。
纳入37例,其中男26例,女11例;年龄22~73岁。病程3个月~5年,其中病程<1年6例,1~<2年16例,病程≥2年15例。临床表现:发热6例,胸痛、胸闷18例,咳嗽、咳痰16例,腹胀、纳差11例。查体颈静脉怒张8例,大量胸水、腹水22例,双下肢水肿29例。37例中,心源性恶液质12例,低心排血量综合征5例,严重贫血、低蛋白血症12例,肾功能不全2例,肝功能不全8例。中心静脉压16~35 cmH2O(1 cmH2O=0.018 kPa),其中≥20 cmH2O 28例。按照纽约心脏协会(New York Heart Association,NYHA)心功能分级标准:Ⅲ级15例,Ⅳ级22例。患者术前均行心电图检查示:心房颤动16例,右束支传导阻滞8例,室性心律失常11例。心脏彩超检查提示:左心室壁舒张中晚期运动受限,呈平直状,室间隔运动异常,舒张期出现异常后向运动,其中心包增厚、钙化31例,心包积液6例。腹部彩超检查提示:严重淤血性肝硬化8例,大量腹水12例。胸部CT检查提示:心包增厚、钙化,其中心包积液6例,大量胸水10例。对于年龄大于50岁的25例患者,行冠状动脉造影检查提示冠状动脉未见明显异常。
术前积极对症支持治疗,改善营养状况,治疗心源性恶液质和严重贫血、低蛋白血症;大量胸水、腹水患者予胸腔、腹腔穿刺置管引流,解除胸腹腔压迫;强心、利尿治疗低心排血量综合征,改善心功能。
患者均采用气管插管静脉复合麻醉,术前常规行桡动脉穿刺和中心静脉穿刺。
采用胸骨正中切口,逐层切开,劈开胸骨进胸。以升主动脉与肺动脉间隙为突破口常规剥离心包。心包剥离的顺序为:首先是主动脉根部、左心室流出道及心尖部,其次为肺动脉根部及右心室流出道,然后是右心房及上下腔静脉入口,最后清除心包腔内组织,切除心包。心包切除范围:左右心室面,左侧达膈神经1.5 cm,右侧至右心缘,上方剥除主动脉肺动脉根部,下抵膈面;心尖部,将心肌与膈面心包的粘连分开,充分游离即可。剥离过程中见23例岛状钙化灶,钙化灶嵌入心肌内,其中12例心包内有干酪样组织,用刮匙搔刮嵌入心肌的钙化区;11例术中见心脏较小,心肌暗红,在剥除缩窄的房室环纤维板后心脏扩大,仅解除左右心室面及心尖部缩窄即可;27例心脏上下腔静脉入口处见纤维板或缩窄环,将纤维板或缩窄环切开。3例行心包剥离术游离钙化灶导致心房或心室破裂,于升主动脉插供血管,分离出右心耳插单管或腔房管引流;右心耳游离困难可于右心房外侧插管引流,建立体外循环。不降温、不阻断升主动脉,应用毛毡片褥式三明治法缝合心房或心室破裂口,确切止血。缝合时需注意避免冠状动脉损伤。对病程>1年的31例患者,因其心包组织钙化不易剥离,仅解除左右心室面及心尖部的压缩。术中监测中心静脉压,对于中心静脉压≥20 cmH2O的28例患者,术中中心静脉压下降<20 cmH2O即达到治疗标准。术毕,心包、纵隔各放置引流管1根,常规关胸。
术后于重症监护病房严密监测心、肺、肝、肾功能。记录24 h出入量,维持液体量平衡。予抗感染、补充适量的热能和营养素等对症、支持治疗,同时限制晶体入量,维持酸碱平衡及内环境稳定。予强心、利尿,观察心功能改善情况。予少量多次输血和白蛋白纠正贫血及低蛋白血症,保肝、利尿等措施治疗肝肾功能不全。观察胸腹水引流情况,24 h引流量<50 mL,拔除胸腔、腹腔引流管。心包、纵隔引流管术后72 h拔除。
本组37例,术中死亡2例,其中1例同时存在心源性恶液质、低心排血量综合征、严重贫血低蛋白血症、肝功能不全,内环境及代谢紊乱,术中出现血管舒张性休克,抢救无效死亡;1例患者病灶嵌入左心室膈面,剥离心包时左心室破裂大出血死亡。术中剥离心包时,心房穿破出血2例,右心室穿破出血2例,均成功修补破裂口。其余患者均顺利完成手术,手术时间1.5~3 h,平均2 h。患者术后中心静脉压均<20 cmH2O,其中26例<14 cmH2O。
35例患者中,术后并发低心排血量综合征5例,予强心、利尿处理,1例治疗无效,术后第3天心功能衰竭死亡,4例好转;并发心律失常6例,予相应处理后好转;肾功能不全3例,2例加强利尿后好转,1例发生利尿剂抵抗给予腹膜透析好转;并发呼吸功能不全4例,给予呼吸机辅助通气治疗,其中1例同时合并右心功能不全行气管切开,延长呼吸机辅助通气治疗时间,4例均好转。其余17例患者术后临床症状逐渐好转,未出现明显手术并发症。出院时患者症状缓解,肝脏缩小,无颈静脉怒张,无胸水、腹水,双下肢水肿消失,心功能NYHA分级:Ⅰ级24例、Ⅱ级9例、Ⅲ级1例。病理检查提示:心包组织慢性增生性改变,12例伴有干酪样坏死。
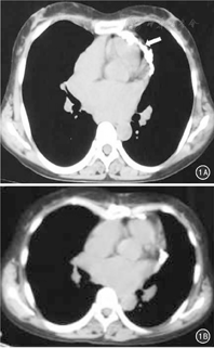
术后34例获随访,随访0.5~10年,平均4.6年。术后3个月复查胸部CT:手术区无心包增生、钙化。随访期间患者无复发。34例基本恢复日常工作、生活。典型病例见图1。


缩窄性心包炎病因多样,结核、细菌感染、风湿、心脏术后和外伤等均可导致缩窄性心包炎。缩窄性心包炎发病缓慢、隐匿,症状无特异性,易漏诊、误诊,患者往往因胸闷行心脏超声或胸部CT检查,发现心包增厚确诊[4,5,6,7,8]。缩窄性心包炎随着病程的延长,可导致心肌萎缩、肝肾功能不全以及右心衰竭,甚至出现心源性恶液质,患者预后较差[1]。临床医生尤其应重视病情严重的缩窄性心包炎患者的治疗。
目前,依据病史、体征,以及心脏彩超、X线、CT等影像学检查可明确诊断缩窄性心包炎。但对于缩窄性心包炎病情轻重的界定,无明确的划分标准。本课题组于1994年提出了重症缩窄性心包炎的5项诊断标准[1]。在临床应用过程中,随着病例量的积累,我们发现还有一些缩窄性心包炎患者病情较重,治疗尤为棘手;因此,课题组对其进行了分析总结,对重症缩窄性心包炎的诊断标准进行了完善,在原有5项诊断标准的基础上,增加以下7项:(1)病程2年以上;(2)大量胸水、腹水;(3)低心排血量综合征;(4)严重呼吸功能不全;(5)严重贫血低蛋白血症;(6)心源性恶液质;(7)心包剥除时心脏急性膨胀。共12项,对于缩窄性心包炎诊断明确的患者,具备2项以上典型症状,即可诊断为重症缩窄性心包炎。本研究中37例患者,即按此标准纳入。
缩窄性心包炎确诊后最有效的治疗方式是心包剥脱术[2],切除增厚心包,解除心脏机械压迫,增加心室充盈,恢复正常血流动力学,从而改善临床症状[9]。有研究者认为,急性心包炎形成缩窄后3~6个月最适宜手术[10]。如果病程过短,纤维层不成熟,心外膜与心包纤维层之间解剖层次不清楚,易致术中出血和术后复发;病程过长,心肌损害严重,心包钙化、粘连重,不仅术中易出血,术后心功能恢复差,同时损害肝肾功能,增加手术风险[10]。近年来的研究显示,对于缩窄性心包炎一经确诊即应尽早手术[11,12]。本研究中,31例患者病程>1年,术中心包组织钙化不易剥离的,仅解除左右心室面及心尖部的压缩;本组患者术中死亡2例、术后死亡1例,病程均大于2年。笔者体会,病程在1年之内的5例重症缩窄性心包炎患者的病变心包组织术中较易剥离,且手术并发症少,预后相对较好。因此,重症缩窄性心包炎患者病情较重,预后较差,一经确诊应积极改善患者状态,尽早手术治疗。
对于重症缩窄性心包炎患者,并发症多,手术难度及风险大,围手术期的处理尤为重要。术前充分准备,改善心功能,纠正低蛋白血症和加强利尿、脱水,力求达到最佳状态时手术;术后严密监护,及时处理并发症,以保证手术成功,降低患者死亡率。
目前,有研究报道心源性恶液质是营养不良、胃肠道改变代谢失衡、免疫-神经激素激活等多因素综合影响所致[13,14]。国内学者徐志云早在1994年提出并发心源性恶液质患者要着重改善心功能,纠正低蛋白血症和加强利尿、脱水,口服小剂量激素改善全身情况[15]。罗春生等[16]提出,对于心脏病合并心源性恶液质患者可给予深静脉营养治疗。本研究中,心源性恶液质12例,同时存在严重贫血、低蛋白血症,围手术期给予少量多次输注新鲜全血、红细胞悬液以及血浆或白蛋白,纠正贫血、低蛋白血症;静脉泵入多巴胺联合应用利尿剂调整心功能,改善胃肠道功能;加强肠内、肠外营养,改善营养状况。本组1例心源性恶液质患者术中死亡,分析其原因:该患者术前虽然给予相应治疗,待患者症状好转后手术,但患者内脏器官、血液系统代偿能力差,术中低血压造成组织低灌注,发生代谢性酸中毒,进而引起血管舒张性休克死亡。
低心排血量综合征是心排血量下降及外周脏器灌注不足的一组综合征[17]。重症缩窄性心包炎严重限制心脏舒缩,造成心脏的低排出量和水钠潴留,静脉系统处于高容量状态,动脉系统处于低心排高阻力反应状态[1]。对于低心排血量综合征的治疗,2017年中国专家共识指出,应积极纠正低心排血量综合征的可逆因素,优化前负荷,增加心肌收缩力,应用扩血管的药物降低心脏后负荷[18]。本研究结果显示,5例低心排血量综合征患者,术前应用硝酸甘油联合强心和扩张血管药物减轻心脏前后负荷,促进心脏收缩力恢复,改善外周脏器灌注不足,患者病情缓解后手术;术后继续相应治疗,4例得到纠治,1例因心肌废用性萎缩,心功能衰竭,低心排血量综合征无法纠治死亡。
重症缩窄性心包炎心包增厚,严重束缚心脏舒缩活动,肝脏长期慢性淤血引起心源性肝硬化;同时肾脏等重要脏器血流灌注不足,引起肾功能不全。对于心源性肝硬化患者,保肝治疗应避免使用损伤肝功能的药物。本组8例肝功能不全患者,其中1例同时存在心源性恶液质、低心排血量综合征、严重贫血、低蛋白血症,术中出现血管舒张性休克,抢救无效死亡;其余7例保肝治疗后好转。而对于肾功能不全患者,可予增加肾脏血流灌注、利尿等相应处理,改善肾功能。徐志云等[16]提出,心脏病术后及时处理肾功能不全,如果患者血肌酐连续2 d>200 mmol/L或呈上升趋势,即使24 h尿量>2 000 mL,也应积极行腹膜透析,防止肾功能衰竭。本组术后肾功能不全3例,2例加强利尿后好转,1例发生利尿剂抵抗给予腹膜透析后好转。
笔者总结,对于重症缩窄性心包炎,术中操作应注意以下事项。(1)心包切除的范围:即要防止因过分切除心包所导致心脏急性膨胀,又要避免因解除不彻底而影响疗效。对于心功能Ⅳ级全身情况差,术中发现心包缩窄严重,心脏较小,心肌变薄,萎缩呈暗红色者,剥除心包后心脏有扩大趋势,只要能解除左右心室面及心尖部的狭窄,即可获得较好的疗效。(2)心包剥离顺序:本课题组在前期的治疗中,按照
的顺序进行心包剥离,其中1为左心室及心尖,2为升主动脉及主肺动脉,3为右室及下腔静脉入口,4为右房及上腔静脉入口[1]。在临床应用过程中,随着手术病例数的增加,发现从左心室及心尖开始剥离心包,因大部分患者心包增厚钙化的主体位于左心室与心尖,从这里寻找手术突破口尤其困难。如果手术突破口选择在升主动脉及主肺动脉根部间隙,手术操作较为容易。故本课题组对心包剥离的顺序进行了改进,按
进行,1为主动脉根部,2为左心室及心尖部,3为肺动脉根部右心室流出道,4为右心房及上下腔静脉入口。笔者认为,心包剥离顺序改进后,明显降低操作难度,减少术中损伤,增加手术成功率,并可降低术后并发症的发生率。(3)心包严重钙化者,钙化灶嵌入心肌,可用刮匙搔刮清除岛状钙化灶,避免过度剥离心包引起心脏破裂大出血。(4)剥开的心包一般不要急于切除,以备心肌撕裂大出血时可以缝合周围心包组织止血。(5)对于心房心室壁穿破者,应用毛毡片褥式三明治法缝合止血较为可靠,同时防止冠状动脉的损伤;如无法直接缝合者,需在体外循环下缝合心房或心室破裂口。
总之,对于重症缩窄性心包炎患者,应及时明确诊断,制定合理治疗方案,并予以充分地术前评估和准备;术中严密监测重要脏器功能,精准把控心包切除顺序和范围;心房、心室一旦破裂大出血往往因心肌萎缩修补困难,可立即选择体外循环下修补破裂口;术后严密监护,确保患者循环和内环境稳定,防治并发症,以提高手术成功率。本研究存在不足之处在于收集的病例数量少,缺乏长期随访资料,今后应扩大样本量,进一步积累临床治疗经验,提高重症缩窄性心包炎患者的手术成功率。





















