
分析成人与儿童髓母细胞瘤的MRI表现,提高对髓母细胞瘤的认识。
回顾性分析2009年1月—2017年12月广东省农垦中心医院经手术病理证实的髓母细胞瘤36例的影像学资料。将其分为两组:儿童组(<18岁)25例,成人组(≥18岁)11例。36例患者术前行MRI平扫及增强扫描,观察并对比分析两组患者肿瘤的发生部位、瘤体最大径线、边界、囊变、实性部分强化程度、瘤周水肿、梗阻性脑积水、室管膜种植转移等影像学特征。
36例髓母细胞瘤均发生于幕下,儿童常见于小脑蚓部(21/25),成人病灶多位于小脑半球(9/11),差异有统计学意义(P=0.000)。儿童肿瘤最大径为(4.50±0.58) cm,其中17例肿瘤最大径超过4 cm;成年人瘤体最大径为(5.24±1.36) cm,其中8例肿瘤最大径超过4 cm;两者比较差异无统计学意义(Z=-0.895, P>0.05)。成人组和儿童组囊变分别有16例和11例,瘤周水肿分别有4例和7例,差异均有统计学意义(P=0.034、0.008);而边界、梗阻性脑积水及室管膜种植转移方面组间差异均无统计学意义(P值均>0.05)。36例患者髓母细胞瘤实性部分均表现为T2WI及T2WI-FLAIR稍高信号,T1WI等偏低信号。12例做了弥散加权成像检查(5例儿童、7例成人),瘤体实性部分均表现为弥散受限;增强后,两组肿瘤实性区域均表现为轻度至中度强化。
儿童髓母细胞瘤好发于小脑蚓部,成人以小脑半球多见;儿童肿瘤囊变及瘤周水肿相对于成年人少。儿童与成人髓母细胞瘤均常表现为边界清楚肿块,实性区域轻度至中度强化,易发生梗阻性脑积水,可发生室管膜种植转移。
版权归中华医学会所有。
未经授权,不得转载、摘编本刊文章,不得使用本刊的版式设计。
除非特别声明,本刊刊出的所有文章不代表中华医学会和本刊编委会的观点。
髓母细胞瘤(medulloblastoma)是后颅窝常见小圆细胞型的原始神经外胚层恶性肿瘤[1,2],15岁以下儿童多见,占儿童颅内原发肿瘤25%[3];而成人少见,约占成人颅内肿瘤1%左右[4,5]。髓母细胞瘤恶性度极高,可发生脑脊液转移,预后较差,临床上易被误诊为室管膜瘤、胶质瘤等;因此,早期准确诊断对患者治疗方案的选择和预后起重要作用。笔者收集广东省农垦中心医院医学影像科2009年1月—2017年12月经术后病理证实的髓母细胞瘤36例,对比分析成人组与儿童组的MRI特征,旨在提高对髓母细胞瘤的认识。
纳入36例髓母细胞瘤患者资料进行回顾性横断面研究。病例纳入标准:(1)经手术切除及术后病理检查证实为髓母细胞瘤;(2)术前MRI检查资料完整。排除标准:MRI检查前行颅内减压、放疗或化疗者。按年龄将患者分为两组:儿童组(<18岁)25例,男15例,女10例;成人组(≥18岁)11例,男8例,女3例。两组患者性别构成比差异无统计学意义(P=0.708)。患者有不同程度头晕、头痛、恶心呕吐、双眼视力下降、视物歪斜、共济运动失调、行走不稳、闭目难立等临床症状,病程2周~2年。
所有患者行头颅MRI检查。MRI检查采用德国Siemens Magnetom Essenza 1.5 T超导型MR。MRI检查包括平扫[横断位T1WI、T2WI,矢状位T2WI,冠状位或横断位T2WI-液体衰减反转恢复(fluid attented inversion recovery, FLAIR)序列]和增强扫描(横断位、矢状位及冠状位T1WI),其中12例加做DWI。成像序列及参数:自旋回波T1WI(TR 500 ms、TE 9.7 ms)、FSE T2WI(TR 5 620 ms、TE 90 ms)、T2WI-FLAIR(TR 2 000 ms、TE 80 ms,TI 750 ms),层厚5 mm,层间距1.5 mm,视野24×24 cm,矩阵320×256;DWI采用平面回波序列,TR/TE=6 000 ms/80 ms,b=0 s/mm2、1 000 s/mm2。MRI增强扫描:肘静脉注射对比剂钆喷酸葡胺注射液(德国拜耳公司),剂量为0.2 mL/kg,注射完进行横断位、矢状位及冠状位T1WI扫描,参数同平扫。
MRI图像采用双盲法由2位3年以上放射诊断工作经验的住院医生在图像工作站上阅读共同进行图像分析,经讨论达成一致性意见。评价内容包括:肿瘤发病部位,测量最大径线,边界是否清晰,是否有囊变,实性部分弥散特征及强化程度,有无瘤周水肿,是否合并梗阻性脑积水、室管膜种植转移。测量项目如下:(1)肿瘤最大径。于横断位、冠状位及矢状位图像分别测量肿瘤最大径线,选取3个值中最大者作为肿瘤最大径。(2)肿瘤边界。只要肿瘤边缘锐利,可勾画出边界,为边界清晰。(3)囊变。表现为平扫时呈长T1长T2信号,增强扫描无强化。(4)实性部分弥散特征。DWI呈高信号,ADC为低信号,为弥散受限。实性部分强化程度:强化程度低于邻近脑组织为低强化,高于周围脑组织低于海绵窦静脉为中等强化,与海绵窦静脉强化程度相近为明显强化。(5)瘤周水肿。肿瘤邻近脑组织见长T1长T2信号,T2WI-FLAIR呈高信号,DWI无弥散受限,增强没有强化区域,即为瘤周水肿。(6)梗阻性脑积水。肿瘤邻近脑室受压、变窄,其上方脑室扩张,即为梗阻性脑积水。(7)室管膜种植转移。除正常结构外,任何一脑室内发现有强化且弥散受限结节,为室管膜种植转移。
应用SPSS 11.5软件进行数据分析。服从正态分布的计量资料以
±s表示。性别、发病部位、肿瘤边界、囊变、实性部分强化程度、瘤周水肿、梗阻性脑积水、室管膜种植转移的比较采用Fisher确切概率法;瘤体最大径的比较采用Wilcoxon秩和检验。以P<0.05为差异有统计学意义。
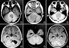
36例髓母细胞瘤均发生于幕下,儿童病灶位于小脑蚓部21例(图1)、小脑半球4例,成人病灶位于小脑半球9例(图2)、小脑蚓部2例,儿童与成年人髓母细胞瘤发生部位差异有统计学意义(P=0.000)。儿童肿瘤最大径为(4.50±0.58)cm,有17例最大径超过4 cm;成年人瘤体最大径为(5.24±1.36)cm,有8例最大径超过4 cm;两组差异无统计学意义(Z=-0.895, P>0.05)。两组患者肿瘤囊变及瘤周水肿情况不同,两组差异均有统计学意义(P=0.034、0.008);而边界、梗阻性脑积水及室管膜种植转移方面组间差异均无统计学意义(P值均>0.05)。见图3,图4,图5,图6及表1。



儿童与成人髓母细胞瘤MRI表现特征比较(例)
儿童与成人髓母细胞瘤MRI表现特征比较(例)
| 组别 | 例数 | 边界清晰 | 囊变 | 瘤周水肿 | 梗阻性脑积水 | 室管膜种植转移 |
|---|---|---|---|---|---|---|
| 儿童 | 25 | 19 | 16 | 4 | 20 | 3 |
| 成人 | 11 | 4 | 11 | 7 | 8 | 1 |
| P值a | 0.056 | 0.034 | 0.008 | 0.678 | 1.000 |
注:a为确切概率法
本组36例患者髓母细胞瘤实性部分均表现为T2WI及T2WI-FLAIR稍高信号,T1WI等偏低信号。其中12例做了DWI检查(5例儿童、7例成人),瘤体实性部分均表现为弥散受限。增强后,两组肿瘤实性区域均表现为轻度至中度强化。
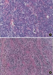
36例患者均手术切除肿瘤,术中见肿瘤质软,血供丰富。术后病理:标本切面呈灰红或灰白鱼肉样;8例促纤维增生型(图7),28例为经典型(图8);本组中未见弥散结节型、间变型、大细胞型。


幕下的神经外胚层肿瘤称为髓母细胞瘤[6,7,8],2007年WHO新的肿瘤分类[8],将髓母细胞瘤归属于原始神经外胚层肿瘤Ⅳ级。
髓母细胞瘤的好发部位与起源存在一定关系。四脑室顶后髓帆神经上皮细胞的残余,随年龄生长向上向外移行,形成小脑外颗粒层,在移行部位均可发生髓母细胞瘤。大多数学者认为,儿童髓母细胞瘤起源于四脑室顶后髓帆神经上皮细胞的残余,成人髓母细胞瘤起源于小脑外颗粒层,小脑胚胎外颗粒层细胞在出生后18个月开始逐渐退化[10,11,12,13,14,15]。因此,成人发生髓母细胞瘤较儿童少见。本研究中,成人11例,儿童25例;其中儿童髓母细胞位于小脑蚓部者居多(21/25),成人则多见于小脑半球(9/11),与Millard和De Braganca[16]观点一致。郭睿等[17]报道,成人髓母细胞瘤多发生于小脑表面,与硬脑膜或小脑幕相邻。
髓母细胞瘤的影像学多表现为圆形或不规则形,无论发生于小脑蚓部还是小脑半球,因其具有胞质含量少、细胞核大、细胞致密的典型病理特征,所以MRI上T1WI呈等偏低信号,T2WI及T2WI-FLAIR呈稍高信号。增强扫描其实质部分呈片状、环状、结节状轻至中度强化,囊变、坏死区未见强化。因本研究中只有促纤维增生型和经典型髓母细胞瘤,所以未对不同病理分型的肿瘤强化方式和强化程度进行分析。病变位于小脑半球近脑表面时,可出现邻近的脑膜增生明显强化,亦可出现脑膜尾征[15]。
髓母细胞瘤生长快且不平衡,易发生囊变,据林炳权等[9]报道,囊变率约80%。在不同年龄阶段发生的髓母细胞瘤,出现坏死、囊变的比例不一。儿童髓母细胞瘤坏死、囊变少见,成人髓母细胞瘤常出现大小不一坏死、囊变区[1]。本研究中有27例患者发生不同程度囊变,囊变率约75.00%(27/36),其中儿童组发生囊变16例(64.00%、16/25),成人组11例均发生囊变,成人囊变率高于儿童,与文献报道[1]相符。髓母细胞瘤囊变范围一般比较大,表现为中央区大囊变或边缘不规则、片状、裂隙样、卵圆形。此囊变特征性表现与其他肿瘤中央缺血坏死不同,考虑肿瘤除生长迅速,血供不足导致囊变坏死外[18],还具有分泌功能[11,12],或部分病灶向四脑室内生长,四脑室内脑脊液夹杂存在。肿瘤内出血、钙化少见,本研究两组病例中均未观察到。
由于肿瘤细胞密度高,细胞外间隙小,且细胞质少,核质比例大,导致水分子弥散受限[19,20,21]。在本研究两组病例中,有12例行DWI序列,均可见肿瘤实性成分水分子弥散受限,DWI呈稍高或高信号,表观弥散系数图呈稍低或低信号,与文献报道[1,3,10,21]一致,这一征象在鉴别诊断中具有一定意义。肿瘤周围一般无水肿或轻度水肿,本研究中有11例有瘤周水肿(30.56%、11/36),其中儿童4例(16.00%、4/25),成年人7例(7/11),成人髓母细胞瘤周围更易发生水肿,其原因有待进一步研究。
小脑位于后颅窝,前隔四脑室与桥脑及延髓相邻,上髓帆是形成第四脑室顶前部分的薄层脑白质,并邻近上丘和小脑蚓部。发生于小脑特别是其蚓部的髓母细胞瘤,易突向前方第四脑室生长,压迫第四脑室,引起梗阻性脑积水。本研究36例患者中,有28例合并脑积水,其中儿童20例、成人8例。理论上,儿童髓母细胞瘤更多发生于蚓部,因而更易引起梗阻性脑积水;但本研究两组梗阻性脑积水无明显差异性,可能是因为两组肿瘤体积较大,多数病灶最大径线大于4 cm,占位效应明显而导致。髓母细胞瘤多数边界清楚,36例患者中有23例瘤体边界清楚;但当肿瘤向前突向第四脑室生长时,难与第四脑室内肿瘤鉴别。此时,利用上髓帆向上移位征象判断小脑中线髓母细胞瘤尤为重要,卜春晓等[22]报道依据该征象作出诊断的正确率为90.5%。髓母细胞瘤的肿瘤细胞可脱落并随脑脊液流动种植播散,发生室管膜种植转移。本研究中4例发生室管膜种植转移。
髓母细胞瘤鉴别诊断应根据肿瘤不同生长部位进行鉴别。如发生在小脑蚓部肿瘤,应与室管膜瘤鉴别;发生在小脑半球的肿瘤,应与毛细胞星形、血管母细胞瘤、脑膜瘤和胶质细胞瘤等相鉴别。
(1)室管膜瘤:室管膜瘤以脑室底常见,自下向上侵入四脑室壁内,影像上可见脑脊液位于肿瘤后方,矢状位可见脑脊液位于肿瘤与小脑蚓部之间;而发于小脑蚓部的髓母细胞瘤,起源于四脑室顶部,向下侵入四脑室内,脑脊液位于肿瘤前方和侧方,矢状位可见脑脊液位于脑干与肿瘤之间。室管膜瘤钙化多见。(2)毛细胞星形细胞瘤:在小儿好发于幕下小脑蚓部或小脑半球,肿瘤囊变区常较大,多大于瘤体直径的一半,囊壁可伴或不伴壁结节。更具有鉴别意义的是毛细胞星形细胞瘤瘤体DWI呈低信号,弥散系数值呈高信号。(3)血管母细胞瘤:好发于小脑半球,常有大囊小结节征象,瘤内可见流空血管,增强扫描结节和囊壁明显强化。(4)脑膜瘤:发生于小脑半球小脑面的肿瘤,需要与脑膜瘤相鉴别,特别是出现脑膜强化时,不要轻易诊断为脑膜瘤。鉴别关键在于定位,脑膜瘤为脑外肿瘤,广基且与颅骨突面硬脑膜紧贴,可引起颅骨的增生或吸收。其信号多较均匀,发生囊变较少,钙化多见,增强扫描呈较均匀明显强化。(5)胶质细胞瘤:成人多见,形态多不规则,囊变区多位于肿瘤中央,增强后呈不规则环状强化,水肿较为显著。(6)听神经鞘瘤:可见内听道扩大,鉴别不难。
本研究中病例数较少,且不是所有病例行DWI序列扫描。今后,在工作中如发现颅内病变,应将DWI序列作为常规扫描系列,并继续收集更多相关病例。
儿童及成人髓母细胞瘤的影像学特征有一定的共性,但也存在较多差别。在工作中,掌握儿童及成人髓母细胞瘤的MRI影像学共性,并充分认识两者间的差别,可提高髓母细胞瘤的准确诊断率。





















