
探讨肾嗜酸细胞腺瘤(RO)CT及MRI的表现特点,为RO的临床诊断提供参考。
回顾性分析2011年2月—2017年7月解放军福州总医院经术后病理检查确诊为RO的24例患者的临床资料,其中男12例、女12例,年龄36~71(55.2±10.4)岁。患者术前行CT平扫及增强三期扫描,或行MRI平扫及增强扫描,观察病灶的部位、大小、形态、边界,坏死、囊变及星状瘢痕,平扫及多期增强扫描病灶强化情况,以及有无肾周组织侵犯及淋巴结转移。
24例患者中22例行CT检查,5例行MRI检查。共发现25个病灶,23例为单侧单发,1例为双侧单发;9例位于右肾,16例位于左肾;病灶最大径(3.4±1.2)cm。CT检查22例23个病灶,平扫13例病灶呈等密度,2例可见钙化,3例见囊状低密度影,12例见星状瘢痕;增强扫描均强化明显,动态增强曲线呈"速升缓降"型。MRI检查5例5个病灶,平扫5例T1WI呈等、低信号,T2WI呈混杂稍高信号,DWI呈混杂高信号;增强扫描1例见囊状低密度影,1例见星状瘢痕。所有病例肾周脂肪间隙清晰,肾静脉及下腔静脉内均未见瘤栓,肾门及腹主动脉旁均未见肿大淋巴结。
RO的CT及MRI表现具有一定的特征性,术前提高对RO的认识,可减少不必要的根治性肾切除术,具有重要的临床应用价值。
版权归中华医学会所有。
未经授权,不得转载、摘编本刊文章,不得使用本刊的版式设计。
除非特别声明,本刊刊出的所有文章不代表中华医学会和本刊编委会的观点。
肾嗜酸细胞腺瘤(renal oncocytoma, RO)是一种起源于肾集合管的少见良性肿瘤,占肾实性肿块的3%~7%[1]。RO的临床特征不明显,术前极易误诊为肾细胞癌而行肾脏切除。如何提高RO临床诊断的准确性,是泌尿外科临床有待解决的难题之一。影像学检查是临床诊断肿瘤的有效手段之一。张立进等[2]研究表明,通过影像学检查能有效提高RO的术前诊断率,避免对患者正常肾单位的切除,提高了患者的预后。明确RO的影像学表现,并掌握肾细胞癌的鉴别要点对RO的确诊、治疗具有重要意义。但目前有关RO影像学特征表现的研究较少,且多数研究仅采用一种影像学手段检查,对RO患者病灶的影像学特征描述不足。本研究中笔者回顾分析RO患者CT及MRI的影像学表现,总结RO的影像学特点,旨在为RO的临床影像学诊断提供参考。
病例纳入标准:(1)接受手术治疗,术后病理确诊为RO;(2)治疗前行CT平扫及增强三期扫描,或行MRI平扫及增强扫描;(3)临床资料完整。病例排除标准:(1)影像图片运动伪影较重;(2)有肾内、外其他肿瘤史的患者。
回顾性分析2011年2月—2017年7月解放军福州总医院经术后病理检查确诊为RO的24例患者的临床资料。24例患者中,男12例,女12例;年龄36~71(55.2±10.4)岁。1例患者发现腹部包块就诊,其余患者体检发现。24名患者均行手术治疗,其中肾部分切除术11例、肾癌根治术13例。
采用荷兰Philips Brilliance 64排螺旋CT及荷兰Philips Brilliance256层螺旋CT扫描仪。扫描范围从膈顶到髂骨翼水平。扫描参数:管电压120 kV,管电流100 mA,层厚5 mm,层距5 mm。行平扫及肾皮髓质期、实质期和排泄期三期增强扫描。采用高压注射器经肘静脉以2.0 ~2.5 mL/s的流率注射非离子碘对比剂碘伏醇(含碘350 mg/mL) 75 ~100 mL,于注射对比剂后30 s行皮髓质期扫描、70~80 s行实质期扫描及3 ~5 min行排泄期扫描。扫描期间嘱患者于平静呼吸状态下屏气。
采用德国Siemens Magnetom Trio Tim 3.0 T及德国Siemens Skyra 3.0 T超导型MR仪,体部相控阵线圈。扫描序列:T1WI TR 3.42 ms、TE 1.25 ms;T2WI脂肪抑制TR 3 000 ms、TE 80 ms;DWI轴面成像,TR 6 000 ms、TE 61 ms、b值800 s/mm2。采用高压注射器注射对比剂扎喷酸葡胺0.2 mmol/kg,流率2.0 ~2.5 mL/s;然后注入15 ~20 mL生理盐水。注射后25 s、60 s、5 min开始三期增强扫描。动态增强扫描采用3D容积式内插值屏气检查序列(three-dimensional volumetric interpolated breath-hold examination,3D-VIBE):层厚3.0 mm,层间距3.0 mm,TR 3.00 ms,TE 1.28 ms。检查前需训练患者屏气呼吸。
由影像科1名副主任医师及1名主治医师采用双盲法共同阅片,意见不同时协商达成一致。图像分析包括肿瘤的部位、大小、形态、边界,有无囊变、出血及钙化、星状瘢痕,分析平扫及三期增强扫描病灶强化情况,是否存在肾周侵犯、淋巴结转移等。
应用SPSS 21.0统计软件进行分析。服从或近似服从正态分布的计量资料以
±s表示。采用Kappa检验评价2名影像科医师间观察结果的一致性:Kappa值≥0.75,一致性较好;0.40≤Kappa值<0.75,一致性中等;Kappa值<0.40,一致性差。
2名影像医师间观察结果一致性检测显示Kappa值均>0.75,有较好的一致性。
24例患者中22例行CT检查,5例行MRI检查;共发现25个病灶,23例为单侧单发(右肾8例、左肾15例),1例为双侧单发;病灶均起自肾实质,向外膨胀性生长,边界较清晰;病灶最大径线0.9 ~9.1(3.4±1.2)cm;4例病灶可见囊变,2例病灶可见钙化,13例病灶可见星状瘢痕,所有病灶未见出血。所有病例肾周脂肪间隙清晰,肾静脉及下腔静脉内均未见瘤栓,肾门及腹主动脉旁均未见肿大淋巴结。
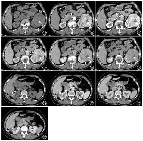
CT检查22例23个病灶(图1、图2)。CT平扫:13个为均匀等密度,10个为略低密度(图1A);23个病灶中可见12个星状瘢痕,3个液性低密度区(图2A),2个点状钙化(图2A)。增强扫描均强化明显,呈"速升缓降"型。皮髓质期病灶实性部分明显强化,其中16个病灶实性部分强化程度低于肾皮质(图2B),7个稍高于肾皮质;实质期8个病灶强化程度近似于肾皮质,15个病灶强化程度低于肾皮质(图1E);12个病灶见"星芒状"瘢痕,呈延迟强化趋势;排泄期21个病灶强化程度低于肾皮质(图1F),2个接近于肾皮质强化。


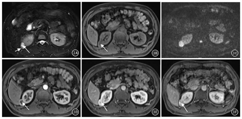
MRI检查5例5个病灶。MRI平扫:T1WI病灶呈等、低信号,T2WI病灶呈混杂稍高信号,DWI病灶呈混杂高信号;1例见囊状低密度影。见图3A,图3B,图3C。增强扫描:皮髓质期病灶明显强化,实质期及排泄期强化程度低于肾皮质;1例病灶内见"星芒状"瘢痕,并呈延迟性强化(图3D,图3E,图3F)


RO是以嗜酸细胞为特征的管状腺瘤,Zipple[3]于1942首次报道,1976年Klein等[4]通过电镜观察及免疫组织化学检查证实肾嗜酸细胞腺瘤来源于肾近曲小管上皮。RO的发病年龄多在50岁左右,男女比例(1.5~1.7)∶1,患者大多无任何症状,少数出现血尿、腹痛、高血压、腹部肿块等[5]。本研究中男女比例约1∶1,可能与本组样本量少,存在一定的偏差有关;研究中仅1例患者自己发现腹部包块,其余患者均因体检偶然发现,与既往文献报道相符。
CT影像学表现星芒状低密度区及中央或偏心性低密度瘢痕是RO诊断与鉴别诊断的关键点:组织学上中央纤维带融合区和受压的血管在CT上表现为星芒状低密度区,早期观点认为中央星状瘢痕是RO的特征性表现,后来发现嫌色细胞癌和少部分透明细胞癌也可有此特征[6]。Eiss等[7]认为当肿块>3 cm时,约63%的患者肿块可见中央或偏心性低密度瘢痕。国内也有研究报道,瘢痕的出现与RO病灶的大小具有一定的相关性,随着病灶的增大,其组织形态及成分也越复杂,出现瘢痕的概率也越大[8,9]。本研究中共14个病灶>3 cm,其中9个病灶见明显瘢痕,较Eiss等[7]报道偏高,考虑为样本量较小所致。还有文献报道,中心瘢痕处偶尔可因为退行性变而形成囊肿[10,11],亦可发生钙化[12]。在本研究中,1个病灶中央见点状钙化,周围以低密度区环绕,相对少见。笔者分析该病灶点状钙化及周边环绕的低密度区,有可能为中央瘢痕退变所形成的囊肿伴中央瘢痕自身的钙化。关于肿块内的偏心囊变区,笔者认为是肿瘤组织成分的复杂性造成了局部组织的液化坏死,而非疤痕的退变。Kim等[13]报道,节段性增强反转为RO较为特征性的增强方式,其定义为肿瘤的不同节段在皮髓质期呈不同程度的增强,皮髓质期相对高增强的节段在排泄早期表现为较低增强,而相对低增强的节段在排泄早期表现为较高增强。但本研究中患者CT影像学表现未出现节段性增强反转表现,笔者考虑与本组病例数少有关。
近年来,国内外有关RO在MRI的特点研究较多,这些研究均显示,RO的MR表现特点为T1WI均匀或略低信号,中央瘢痕为更低信号;T2WI为均质略高信号,中央瘢痕表现为高信号;T1WI增强扫描皮髓质期肿块明显强化,实质期低于肾实质,中央瘢痕延迟强化[8,13,14,15]。还有研究显示,RO增强MRI及DWI有较高的表观扩散系数值,而嫌色细胞癌、透明细胞癌等其他肾脏肿瘤的表观扩散系数值较低,这一特点有助于RO与其他肾脏肿瘤的鉴别[16,17,18,19]。本研究中,RO在MRI平扫及增强扫描表现与既往研究相符,且1例出现中央瘢痕;关于表观扩散系数值,在本研究中未做统计,需在今后的研究中进一步观察比较。
(1)肾透明细胞癌。肾透明细胞癌是最常见的肾恶性肿瘤,占恶性肾肿瘤的85%,可伴有周围浸润及转移征象。肾透明细胞癌位于肾实质内,可突出于肾轮廓,以囊实性病变为主,边缘多不清晰,且包膜多不完整;因恶性程度高,易发生囊变、坏死及出血。而RO多边界清晰,包膜完整,少见分叶、囊变、出血及钙化。尽管两者均为富血供肿瘤,但CT或MRI影像学特点表现不同:肾透明细胞癌皮髓质期显著强化,接近或超过肾皮质,强化方式呈"快进快出",实质期及排泄期强化程度明显减低,延迟扫描时中央坏死的低密度区不强化;RO表现出的星芒状低密度区及中央或偏心性低密度瘢痕,增强扫描则呈延迟性强化;DWI对二者的鉴别有一定的潜力,RO的表观扩散系数值明显高于肾透明细胞癌,但在对肾透明细胞癌Ⅰ级与RO鉴别时有一定难度[19]。(2)肾嫌色细胞癌。肾嫌色细胞癌位于髓质,可突向肾窦,坏死、囊变及出血少见,与RO的临床特点、影像学表现以及病理特征较为相似,两者鉴别诊断较困难。由于肾嫌色细胞癌血供不及RO血供丰富,故CT或MRI增强扫描时肾嫌色细胞癌多呈轻度或中度强化,强化程度不如RO明显[17,18];尽管部分体积较大的肾嫌色细胞癌也能出现中央瘢痕,但此征象较RO少见。还有研究表明,肾嫌色细胞癌的表观扩散系数值明显低于RO,有助于二者的鉴别诊断[16,17]。(3)肾血管平滑肌脂肪瘤。CT或MRI显示血管平滑肌脂肪瘤境界清楚,密度或信号多不均匀,其内可见脂肪成分,较易鉴别;MR化学位移成像,正反相位对脂肪显示敏感。这些特点有助于肾血管平滑肌脂肪瘤与RO进行鉴别,但当肾血管平滑肌脂肪瘤体积较小,或为乏脂肪的肾血管平滑肌脂肪瘤时,与RO的鉴别诊断则有一定难度。
本研究病例数少,仅有5例行MRI检查,研究存在一定的偏差,有待积累更多的病例资料,完善影像学检查,进一步研究RO的影像学特点。
综上所述,RO影像学表现多样,并且与肾细胞癌之间存在较多的共同点,给诊断造成一定的难度;但RO影像表现仍具有一定的特征性,术前提高对本病的认识,可减少不必要的根治性肾切除术,具有重要的临床应用价值。





















