
探讨腓骨近端骨肉瘤手术治疗方式、术后并发症及处理策略。
回顾分析2007年1月—2016年1月解放军东部战区总医院骨科收治腓骨近端骨肉瘤18例,其中男11例、女7例,年龄8~38岁(中位年龄17岁)。18例患者均主诉疼痛,伴有腓总神经麻痹症状8例、包块3例;病程1~24周。Enneking外科分期ⅡB期17例,Ⅲ期1例。18例患者中,15例给予新辅助化疗后行腓骨近端骨肉瘤切除术,其中Malawer type Ⅰ型切除13例、Ⅱ型切除2例;2例患者外院切除不完整,入院后选择截肢手术;1例患者(Ⅲ期)入院时已发生肺转移,给予2个疗程化疗后原发肿瘤继续生长,疼痛无缓解,予以截肢手术。术后3个月采用骨骼肌系统肿瘤协会(MSTS)评分系统评价15例保肢患者膝关节功能。
18例患者术后均获得随访,随访时间7~120个月。发生肺转移8例,死亡5例(包括3例截肢患者)。15例行腓骨近端骨肉瘤切除保肢手术的患者中复发4例,均行截肢术;1例出现术后伤口感染,给予积极加强换药,伤口正常愈合;5例出现腓总神经损伤,其中2例分别于术后3、7个月自行恢复,1例遗留轻度跛行,2例出现足下垂需佩踝关节支具行走。15例患者接受保肢手术后皆未出现膝关节不稳症状,术后3个月MSTS功能评分,11例良好、2例一般、2例差。
对于腓骨近端骨肉瘤的治疗,选择正确的手术方式至关重要;根据肿瘤侵犯范围决定手术方式,腓骨近端骨肉瘤术后并发症患者可接受。术中膝关节外侧副韧带及股二头肌外侧头原位缝合即可获得膝关节稳定。
版权归中华医学会所有。
未经授权,不得转载、摘编本刊文章,不得使用本刊的版式设计。
除非特别声明,本刊刊出的所有文章不代表中华医学会和本刊编委会的观点。
骨肉瘤是儿童和青少年最常见的原发恶性骨肿瘤,其中腓骨近端骨肉瘤发病率低,鲜有报道。美国Mayo Clinic报道腓骨骨肉瘤占原发骨肉瘤2%[1]。日本Tohoku Musculoskeletal Tumor Society报道腓骨近端骨肉瘤发病率约4.3%[2]。由于腓骨近端特殊的解剖结构,腓骨近端骨肉瘤目前尚无统一手术治疗策略,且手术并发症多[3]。解放军东部战区总医院骨科于2007年1月—2016年1月收治骨肉瘤332例,其中18例位于腓骨近端,占5.4%。本研究中,对18例患者的手术方式、复发率、并发症等资料进行回顾性分析,并结合文献复习,旨在探讨腓骨近端骨肉瘤患者正确的治疗方法及并发症的预防和处理。
采用回顾性横断面研究方法。
纳入标准:(1)经病理诊断明确为骨肉瘤患者;(2)原发部位为腓骨近端。排除标准:未能获得随访患者。
纳入2007年1月—2016年1月解放军东部战区总医院骨科腓骨近端骨肉瘤患者18例,其中男11例、女7例,中位年龄17(8~38)岁;左侧10例、右侧8例,Enneking外科分期ⅡB期17例、Ⅲ期1例。入院后均行患肢X线片、CT、MRI及胸部CT检查。X线片和CT可见腓骨近端骨质破坏,髓腔内浸润,多数患者可见日光样或放射状骨膜反应,伴有软组织肿块,其内可见高密度瘤骨。MRI可见腓骨近端被肿瘤浸润破坏后信号增高、骨皮质菲薄、中断,破坏区软组织占据。T1WI呈中低信号,T2WI呈中等偏高信号,瘤周水肿T2WI为高信号。
本研究符合《赫尔辛基宣言》的要求。患者或其监护人均签署知情同意书。
2例外院行单纯腓骨近端肿瘤切除术,术后病理诊断为骨肉瘤,随后即转诊我院;术后3周复查MRI提示肿瘤残留,立即行截肢手术。1例入院时即发现已有肺转移,入院穿刺病理明确诊断后立即给予吡柔比星60 mg、顺铂50 mg 2 d,2周后再次给予甲氨蝶呤(methotrexate, MTX) 8 g化疗;两个疗程化疗后患者局部肿块继续生长,疼痛无缓解,给予截肢手术。余15例患者均经穿刺活检或切开活检确诊后,给予3个疗程的新辅助化疗(MTX 8~12 g/m2,顺铂80~100 mg/m2+吡柔比星40~60 mg/m2,异环磷酰胺10~12 g/m2分4日输注),然后行腓骨近端骨肉瘤瘤段切除术,其中Malawer type Ⅰ型切除13例、Ⅱ型切除2例,术后继续化疗8~12疗程。
全身麻醉,切口起自腓骨头上方5~8 cm纵行下行至腓骨头后,弧形向前至胫骨结节外缘向下至腓骨病变下缘5~10 cm。上胫腓关节未受累的13例患者于肿瘤移行部切开腓总神经纤维鞘膜,将腓总神经游离后保护。离断股二头肌腱和外侧副韧带止点,包膜外分离肿瘤,暴露至胫前动脉分叉处。参考患者术前MRI选取截骨平面,一般在腓骨髓内病变下缘3~4 cm离断腓骨干,然后掀起肿瘤,暴露上胫腓关节,给予关节内切除,即Malawer type Ⅰ型切除。2例患者采用Malawer type Ⅱ型切除:由于肿瘤巨大并侵犯腓总神经,于肿瘤远近两端2 cm处离断腓总神经,并切除部分正常胫前肌,于上胫腓关节外切除肿瘤并结扎胫前动脉。15例患者皆在膝关节屈曲20°状态下,将股二头肌腱和外侧副韧带原位缝合至上胫腓关节囊周围软组织,严格缝合封闭关节囊。术后均佩戴踝关节、膝关节支具维持功能3周,3周后逐渐恢复负重。
所有患者治疗和随访过程中每3个月行局部X线片和胸部CT检查一次。膝关节稳定性评估:术后3个月,膝关节屈曲30°状态下侧方应力下行X线片检查,膝关节间隙增加大于5 mm为不稳。所有保肢患者术后3个月采用骨骼肌系统肿瘤协会(Musculoskeletal Tumor Society, MSTS )评分系统[4]评价膝关节功能:23分以上为优良,15~22分为一般,15分以下为差。
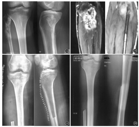
18例患者全部获得随访,随访时间7~120个月。8例出现肺部转移,死亡5例,另外3例患者截止末次随访时仍带瘤生存,皆进行口服阿帕替尼靶向治疗中。5例死亡患者中:1例入院即发生肺部转移,给予术后MTX化疗一次后患者肿瘤继续生长,2周后给予截肢手术,术后7个月死于肺衰竭;2例外院行非标准手术,导致局部间室污染,入院即行截肢手术,术后继续给予辅助化疗,分别于术后5、10个月发生肺部转移,并分别于术后8、12个月死于呼吸衰竭;2例接受Malawer type Ⅰ手术患者分别于术后18、36个月死于广泛肺转移引起的呼吸衰竭。15例保肢患者中1例出现术后伤口感染,给予积极加强换药,伤口正常愈合。复发4例皆为Malawer type Ⅰ手术患者,发现复发后均立即给予膝上截肢术。5例出现腓总神经损伤:其中2例患者术后2周神经麻痹症状逐渐自行好转,分别于术后3、7个月主诉症状基本消失;1例轻度跛行;2例Ⅱ型切除患者出现足下垂需佩踝关节支具行走。15例保肢手术患者无一例出现术后膝关节不稳症状表现,术后3个月MSTS功能评分显示术后膝关节功能良好11例、一般2例、差2例。患者具体资料见表1。典型病例见图1。



18例腓骨近端骨肉瘤患者临床病理特征、手术方式及预后等资料
18例腓骨近端骨肉瘤患者临床病理特征、手术方式及预后等资料
| 病例 | 性别 | 年龄(岁) | 首发症状 | 病程(周) | Enneking外科分期 | 手术方式 | 复发 | 转移 | 预后 | 随访时间(月) |
|---|---|---|---|---|---|---|---|---|---|---|
| 1 | 女 | 14 | 疼痛、神经麻痹 | 24 | Ⅲ | 截肢 | - | + | 死亡 | 8 |
| 2 | 男 | 17 | 疼痛、肿块 | 12 | ⅡB | Malawer Ⅰ型 | - | - | 存活 | 120 |
| 3 | 男 | 38 | 疼痛 | 4 | ⅡB | MalawerⅠ型 | + | - | 存活 | 117 |
| 4 | 男 | 18 | 疼痛 | 12 | ⅡB | Malawer Ⅱ型 | - | - | 存活 | 117 |
| 5 | 女 | 17 | 疼痛、神经麻痹 | 8 | ⅡB | MalawerⅡ型 | - | - | 存活 | 98 |
| 6 | 女 | 17 | 疼痛、肿块 | 2 | ⅡB | Malawer Ⅰ型 | - | - | 存活 | 92 |
| 7 | 女 | 9 | 疼痛 | 4 | IIB | Malawer Ⅰ型 | - | + | 死亡 | 36 |
| 8 | 男 | 18 | 疼痛、神经麻痹 | 1 | ⅡB | Malawer Ⅰ型 | - | + | 死亡 | 18 |
| 9 | 男 | 18 | 疼痛 | 4 | ⅡB | Malawer Ⅰ型 | - | - | 存活 | 72 |
| 10 | 男 | 14 | 疼痛、神经麻痹 | 4 | ⅡB | 截肢 | - | + | 死亡 | 12 |
| 11 | 女 | 20 | 疼痛 | 12 | ⅡB | MalawerⅠ型 | - | - | 存活 | 62 |
| 12 | 女 | 17 | 疼痛、神经麻痹 | 4 | ⅡB | MalawerⅠ型 | - | - | 存活 | 55 |
| 13 | 男 | 19 | 疼痛、神经麻痹、肿块 | 20 | ⅡB | MalawerⅠ型 | + | - | 存活 | 50 |
| 14 | 男 | 18 | 疼痛 | 8 | ⅡB | MalawerⅠ型 | - | + | 存活 | 39 |
| 15 | 男 | 8 | 疼痛、神经麻痹 | 3 | ⅡB | MalawerⅠ型 | + | + | 存活 | 42 |
| 16 | 男 | 19 | 疼痛、肿块 | 8 | ⅡB | 截肢 | - | + | 死亡 | 7 |
| 17 | 男 | 20 | 疼痛 | 4 | ⅡB | MalawerⅠ型 | - | 存活 | 63 | |
| 18 | 女 | 15 | 疼痛、神经麻痹 | 16 | ⅡB | MalawerⅠ型 | + | + | 存活 | 10 |
腓骨近端骨肉瘤总体发病率较低[5]。本研究收集的322例骨肉瘤患者中,病变位于腓骨近端者18例,占5.4%(18/332),与日本Tohoku Musculoskeletal Tumor Society报道4.3%[2]相当,高于美国Mayo Clinic报道2%[1],可能由于人种差异所致。由于其特殊解剖位置,腓骨近端骨肉瘤手术一直是外科医师的挑战,不恰当的手术往往导致很差的预后[6]。本组患者中2例外院患者由于医生缺乏对骨近端骨肉瘤认识,行简单囊内切除,造成局部污染,纵然给予截肢手术,皆出现肺部转移,患者最终死于呼吸衰竭。
Malawer[7]1984年报道了腓骨近端肿瘤两种手术方法,即为Ⅰ型和Ⅱ型切除。Ⅰ型为边缘切除,保留腓总神经,胫前血管很少需要结扎切断,关节内切除上胫腓关节;Ⅱ型切除腓总神经、胫前血管、胫腓关节行关节外切除,为广泛切除。目前腓骨近端骨肉瘤仍无统一的手术方式,主要因为其涉及到一些重要结构。由于本组Ⅱ型切除只有2例,无法比较两种手术方式复发率差异。Ⅱ型切除可能会降低复发率,但其带来严重并发症不容忽视。首先,Ⅱ型切除常规切除腓总神经,术后必然出现足下垂,患者需佩戴踝关节支具才可行走。Raghav等[8]报道通过将胫前肌及伸肌腱近端牵拉铆钉固定至胫骨干解决足下垂问题,短期可见效果,中长期效果不佳。其次,胫前动脉切除虽然对大多数患者下肢血供的影响不大,但是对于胫后动脉缺如的患者(约占5%)[9],若肿瘤侵犯胫前动脉时,往往只能选择截肢手术。
关于韧带重建问题,笔者与以往观点不尽相同。为了达到安全的手术切除范围,保肢手术中往往损伤到外侧副韧带、弓状韧带、股二头肌止点及髂胫束止点。狄亚龙等[10]认为,外侧副韧带是屈曲膝关节保持膝关节稳定重要的稳定结构,所以有必要在肿瘤切除后行上述韧带的重建;往往选择将外侧副韧带和股二头肌止点固定胫骨近端进行重建[11] 。然而本组患者肿瘤切除后而未重建韧带,膝关节仍保持稳定。笔者认为其主要原因是保持膝关节稳定的其他稳定结构,如十字交叉韧带仍然存在;Einoder和Choong得出同样的结论[12]。
据文献报道,腓骨近端恶性肿瘤切除往往带来诸多并发症[13],除了上述腓总神经损伤和膝关节不稳定外,还会出现滑膜囊漏、皮肤坏死、伤口感染及胫后动脉血栓形成等[14]。本组18例中只出现1例术后伤口感染,经积极换药治疗伤口自然愈合,这可能与本组多数患者选择Malawer Ⅰ型切除有关。Abdel等[15]报道112例腓骨近端恶性肿瘤切除,14例(12.5%)出现术后并发症的患者皆行Malawer Ⅱ型切除;其中6例伤口感染,给予加强换药,最终4例愈合、1例通过背阔肌游离皮瓣转移治愈、1例反复感染行膝上截肢;2例出现胫后动脉血栓,其中1例通过动脉移植+交感神经切除治疗成功,1例最后截肢;2例出现腓总神经损伤,通过佩戴踝关节支具可行走。Saini等[8]报道1例术后出现滑膜液漏的患者,通过伤口持续引流3周后自然愈合;提示我们在术中应严密闭合膝关节外侧囊腔。
关于腓骨近端骨肉瘤预后报道较少,燕太强等[16]报道12例患者5年生存率约72.7%,Takahashi等[2]报道13例患者5年生存率高达76%,均高于股骨远端、胫骨近端及肱骨近端等部位骨肉瘤患者50%的5年生存率[17]。各家报道差异较大,可能原因一方面是腓骨近端骨肉瘤手术方式目前无统一标准,另一方面报道的样本量有限。这都提示需要进行多中心合作,统一治疗方案、手术标准及预后评价标准,只有这样方能得出更准确的预后情况的数据。本组病例由于部分近期发生肺转移的患者采取靶向药物(阿帕替尼)介入治疗,使肺转移患者生存期较早先发病的患者大大提高,故本组患者生存率与早期文献报道的生存率间缺乏可比性。
总之,关于腓骨近端骨肉瘤患者,首先治疗前活检是必不可少的,应采取小腿外侧间隙入路取材[18]。遇到以下情况,笔者建议行截肢手术:(1)肿瘤已经侵犯胫骨;(2)肿瘤多间隙侵犯,尤其已经累及小腿后深筋膜间隙;(3)术前不恰当活检或切除导致多间隙污染,胫后动脉缺如等血管异常患者,肿瘤已经侵犯膝关节内的患者。年轻患者尽量在膝关节屈曲20°状态下将外侧副韧带(lateral collateral ligament, LCL)及股二头肌外侧头铆钉固定至胫骨外侧进行重建[19]。对于腓骨近端骨肉瘤手术方式如何选择,笔者的经验提示:无胫后动脉缺如及肿瘤较大者尽量选择Ⅱ型切除,而只有那些病理提示恶性度不高且侵袭范围不大的(如ⅠA期患者)可考虑行Ⅰ型切除。


本研究的局限在于腓骨近端骨肉瘤患者数量有限,且手术方式未采用统一标准,无法对比不同术式术后复发率,所有患者随访时间较短,无法得出有效预后。今后尚需对更多病例进行更长时间的随访观察。
所有作者均声明不存在利益冲突





















