
探讨剑突下单孔胸腔镜手术(S-UVATS)胸腺扩大切除术治疗胸腺瘤的可行性与临床疗效。
回顾性分析2016年1月—2018年12月徐州市中心医院胸外科采用S-UVATS手术治疗的20例胸腺瘤患者的临床资料。其中男12例,女8例;年龄24~66岁,中位年龄49岁。其中,术前合并重症肌无力的胸腺瘤患者2例。全组患者均在全身麻醉、双腔气管插管下行S-UVATS全胸腺切除并前纵隔脂肪清扫术(胸腺扩大切除术)。观察患者手术时间、出血量、胸腔引流管留置时间与总引流量、手术并发症、术后住院时间,以及术后1~3 d的切口疼痛VAS评分。
本组20例患者,术中有3例患者因无名静脉显示不清晰,中转剑突下三孔胸腔镜手术;无中转开胸。另17例患者顺利完成手术,手术时间50~125 (85.0±20.2) min,术中出血量10~50 (24.5±11.1) mL,术后胸管引流时间1~7(3.0±1.5)d,胸腔引流量50~400 (212.5±109.9)mL,术后住院时间1~11(3.6±2.1)d。术后均无胸腔感染、肺漏气、皮下气肿或静脉栓塞,无喉返神经或膈神经损伤表现,无胸腔内出血二次手术。术后发生肌无力危象1例,心律失常3例,均对症治疗后恢复正常。术后第1、2、3天,S-UVATS手术的患者切口疼痛VAS为(3.4±1.0)、(3.2±0.9)与(2.4±0.6)分。20例患者均获随访,随访时间3~24个月,平均11个月。术后1~2个月常规复查胸部CT显示,无纵隔脂肪软组织影残留。
采用S-UVATS手术治疗胸腺瘤是安全、可行的,患者术后疼痛轻、恢复快,值得进一步探索。
版权归中华医学会所有。
未经授权,不得转载、摘编本刊文章,不得使用本刊的版式设计。
除非特别声明,本刊刊出的所有文章不代表中华医学会和本刊编委会的观点。
纵隔肿瘤是胸外科较常见疾病,目前手术是其最佳的治疗方式[1]。传统的手术方式是前正中切口开胸切除胸腺,对患者的创伤大。胸腺瘤的微创切除原则包括无肋骨牵拉或胸骨切开,完整切除前纵隔所有胸腺与脂肪软组织(胸腺扩大切除术),无静脉或膈神经损伤,无包膜破裂等[2],其目标是尽可能降低胸腺瘤复发的风险。近年来,随着腔镜技术的发展,传统的开胸切除胸腺已逐渐被出血少、恢复快的经侧胸肋间入路电视胸腔镜手术(video-assisted thoracoscopic surgery,VATS)替代[3]。随着临床经验积累与配套器械改进,VATS的术式逐步由多孔向单孔过渡。但侧胸肋间入路手术不可避免损伤肋间神经,因此,剑突下入路三孔或单孔VATS胸腺瘤切除术开始逐步开展。其中,剑突下单孔VATS(subxiphoid uniportal VATS,S-UVATS)胸腺扩大切除术避免了肋间组织损伤,与经肋间VATS比较,理论上可进一步降低手术应激、促进患者康复[4]。2016年1月—2018年12月,徐州市中心医院胸外科采用S-UVATS胸腺扩大切除术治疗胸腺瘤患者20例,现对其临床资料进行回顾性分析,旨在探讨该治疗方法的可行性和临床疗效。
纳入标准:(1)依据术前CT、术后病理明确诊断为胸腺瘤;(2)胸腺瘤部位均位于前上纵隔区域,胸部轴向增强CT显示病灶边界清晰,无转移,预期可一次性切除;(3)术前凝血功能无异常,心、肺功能符合手术要求,预期可耐受全身麻醉、单肺通气;(4)合并重症肌无力,Osserman分型Ⅰ(眼肌型)、ⅡA(轻度全身型),及经口服药物、血浆置换可满意控制症状的ⅡB(中度全身型);(5)无活动性结核或全身性感染。
排除标准:(1)病变侵袭邻近的无名静脉、上腔静脉、心包或邻近肺叶等组织,需行血管置换、心包切除或联合肺叶切除等复杂手术;(2)剑突下切口操作困难,预期手术时间长,应激损伤大。本研究符合《赫尔辛基宣言》的要求,患者均签署知情同意书。
纳入患者20例,其中男12例,女8例;年龄24~66岁,中位年龄49岁。MBI为17.9~29.1 kg/m2,平均23.8 kg/m2。术前无症状18例;重症肌无力2例,其中Osserman Ⅰ型患者1例,口服溴吡斯的明治疗期间睁眼无异常,Osserman ⅡB型1例,在术前1 d行血浆置换,呼吸、咳嗽与吞咽症状改善后手术。术前合并高血压2例,予厄贝沙坦氢氯噻嗪或苯磺酸氨氯地平片治疗,血压控制在120~140/75~95 mmHg(1 mmHg=0.133 kPa)。合并糖尿病1例,予二甲双胍缓释片、伏格列波糖分散片治疗,调整餐前血糖6~8 mmol/L、餐后2 h血糖8~10 mmol/L。术前胸部增强CT扫描显示,纵隔内病变局限,肿瘤长径1.2~7.9 cm,平均3.9 cm。依据WHO胸腺瘤分型:A型4例、AB型5例、B1型10例、B2型1例。依据Masaoka胸腺瘤分期:Ⅰ期16例,Ⅱa期3例,Ⅱb期1例。不论患者是否合并重症肌无力,所有胸腺瘤患者围手术期用药均遵循重症肌无力相关禁忌证,镇痛泵、镇定剂、吗啡、阿托品等均不予应用。
全身麻醉、双腔气管插管并双肺通气,常规配备单肺通气的设施。患者"大"字仰卧位。应用德国Storz 26003BA型30°角胸腔镜、超声刀、电刀、胸腔操作器械等进行手术。S-UVATS操作步骤[5]:取剑突下方、腹直肌上方区域的正中线做一长3.0~3.5 cm横切口,钝性分离剑突后间隙内软组织,形成3~5 cm的空间。如剑突指向下后方,阻碍手术入路的构建,可切除之。从切口置入1.1 cm Torcar,置入胸腔镜。Torcar外接CO2持续注入,保持压力8~10 mmHg[6]。应用2 mL注射器制作简易切口保护套,与Torcar并列放置,手术操作器械经自制保护套置入胸腔内。胸腔镜下用超声刀切开纵隔胸膜,沿纵隔胸膜自下而上,推开双侧肺组织,暴露无名静脉、膈神经与心包之间的区域。切除心包旁、膈肌上方、双侧膈神经至无名静脉之间的脂肪软组织。镜下识别、保护上腔静脉、无名静脉与膈神经。切断胸腺静脉与甲状腺下静脉后,再行全胸腺切除。较粗的胸腺滋养血管用钛夹或Hemo-lock夹闭。切除标本纳入取物袋或手套内取出。术毕放置20号胸腔引流管1根,经剑突下切口引出,连接负压水封瓶或便携式负压引流器。
合并重症肌无力的患者术后监护3 d,观察有无重症肌无力危象并及时处理。术后均以深静脉置管输液治疗。常规应用头孢类或青霉素类抗生素2 d (避免氨基糖甙类、四环素类或喹诺酮类);如体温>38.5 ℃持续1 d以上,同时血常规显示中性粒细胞绝对值与百分比显著上升,则依据痰或胸水细菌培养和药物敏感性试验结果调整抗生素。术后24 h常规进食,拔尿管、离床活动,练习吹气球或咳嗽排痰;拍摄胸部X线片,明确有无积气或积液、肺不张、纵隔气肿与膈肌异常。合并重症肌无力的患者,密切观察呼吸、咳嗽、进食咀嚼与吞咽,以及肢体活动情况;并请神经内科协助调整治疗重症肌无力的用药。患者拔除胸腔引流管指征:患者体温正常,24 h引流量≤100 mL,复查胸部X线片无积气或积液。出院标准:拔除胸腔引流管后,患者无呛咳、误吸或明显胸闷,听诊呼吸音清晰;合并重症肌无力的患者口服药物后吞咽、咀嚼、呼吸与咳嗽正常,生活基本自理。
记录手术时间、术中出血量、胸腔引流管引流时间与总引流量、术后1~3 d患者的切口疼痛VAS、住院时间以及术后并发症发生情况。患者出院后定期随访,术后1~2个月复查胸部CT,观察前纵隔区域有无肿瘤或脂肪软组织残留;合并重症肌无力的患者,随访期间观察术后肌无力的改善情况,如睁眼、饮食咀嚼与饮水的表现,口服溴比斯的明等药物剂量是否减少等。
应用SPSS 19.0统计软件对数据进行分析。服从正态分布的计量资料以
±s表示,不服从正态分布的以中位数表示。
本组20例,均未切除剑突。术中有3例患者因无名静脉与邻近软组织粘连、显示不清晰,解剖分离困难,中转三孔法手术(增加了双侧肋弓下0.5 cm大小的辅助操作切口);无一例中转开胸。余17例顺利完成S-UVATS胸腺扩大切除术患者,手术时间50~125 (85.0±20.2) min,术中出血量10~50 (24.5±11.1) mL,术后胸管引流时间1~7(3.0±1.5) d,胸腔总引流量50~400 (212.5±109.9) mL,术后住院时间1~11 d (3.6±2.1) d。术后第1、2、3天,切口区疼痛VAS分别为(3.4±1.0)、(3.2±0.9)与(2.4±0.6)分。术后第1天发生重症肌无力危象1例(1次),予床边气管插管,在重症监护室血浆置换后吞咽、咳嗽与四肢肌力恢复,拔除气管插管后继续口服溴吡斯的明、甲泼尼龙片治疗。术后发生心房颤动2例、室上性心动过速1例,患者经吸氧、对症治疗后恢复正常。20例患者住院期间无一例死亡,术后均无胸腔感染、肺漏气、皮下气肿或静脉栓塞,无喉返神经或膈神经损伤表现,无胸腔内出血二次手术的患者。所有患者肿瘤均获R0切除,术后病理诊断胸腺瘤。
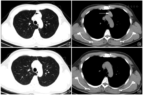
20例患者术后均获随访,随访时间3~24个月,平均11个月。术后1~2个月常规复查胸部CT,均无纵隔脂肪软组织影残留。随访期间2例合并重症肌无力的胸腺瘤患者,肌力恢复满意,日常生活可自理;1例术后3~6个月,口服溴比斯的明剂量逐渐减至术前1/2,1例术后12个月,口服药物剂量较术前减少1/3。典型病例见图1。


胸腺肿瘤是一种罕见的肿瘤,其中胸腺瘤是最常见的亚型,手术是其主要的治疗方式[7]。对于合并重症肌无力的患者,胸腺切除不全、异位胸腺组织残留可能导致手术无效[8]。胸腺切除术可选择胸骨正中劈开入路、胸腔镜单侧或双侧经肋间入路与剑突下入路[9]。胸骨正中切口仍是胸腺切除术的金标准,但创伤大、并发症多,患者恢复慢。VATS胸腺切除术治疗早期胸腺瘤是安全、有效的[10];较胸骨正中切口出血少,患者术后疼痛轻,恢复快。单侧经胸壁肋间入路VATS对于手术对侧的胸腺以及心包旁脂肪的切除并不满意,因此双侧经肋间单孔VATS的切除可能更彻底。随着经验积累与手术器械的改进,经侧胸肋间入路UVATS已广泛用于纵隔病变切除术[11]。目前胸骨正中劈开术仅用于胸腺瘤侵袭或包绕周围组织纵隔血管,VATS无法清晰暴露或完整切除的患者[1,12]。
UVATS胸腺切除术也有一些缺点:难以暴露手术对侧的膈神经,以及不可避免损伤肋间神经。患者术后可能出现肋间神经麻痹,或持续数月甚至更长时间的神经痛。Aramini与Fan[13]综述了剑突下入路手术治疗重症肌无力的研究进展,认为该术式最显著的优势是避免直接损伤肋间神经,由此可能降低患者术后疼痛程度。Zieliński等[14]系统地阐述了Zakopane肺科医院采用VATS经剑突下入路切除胸腺的手术经验,手术选取剑突下横行切口长约4~7 cm,应用双拉钩悬吊胸骨构建操作空间,可彻底清扫前纵隔脂肪组织;该研究纳入147例患者,平均手术时间109.1 min(75~150 min),无手术死亡病例,提示剑突下入路胸腺扩大切除术是安全可行的。最新的研究显示,与经侧胸壁肋间入路VATS比较,三孔剑突下VATS(剑突下、双侧肋弓下切口)根治性胸腺切除的患者手术应激损伤轻,具有良好的美容效果,更适应胸外科快速康复的要求[15]。而近期一系列研究表明,剑突下入路胸腺扩大切除术安全可行,具有创伤小、双侧膈神经和双侧胸腺上极的暴露良好、不需经肋间进胸、疼痛轻、术后恢复快等优点[16,17,18,19]。剑突下入路VATS操作切口也逐渐减少,Suda等[20]报道,S-UVATS切开双侧纵隔胸膜,可满意暴露心包前区、纵隔脂肪软组织与双侧膈神经,手术操作与胸管引流均避免肋间神经损伤或压迫,具有更优的美容效果。但开展剑突下入路胸腺扩大切除的术者需要积累VATS操作经验[21]。此外,剑突下入路操作器械不可避免会压迫、误伤膈肌、心包与心脏,术后心律失常可能与此相关。Shiomi等[22]报道,S-UVATS手术过程中,在侧胸壁肋间增加1个5 mm的辅助切口,可以更好地暴露双侧膈神经、无名静脉和胸腺上方区域。笔者总结,在S-UVATS开展的初期,如误伤血管如无名静脉分支、胸腺静脉或甲状腺下静脉,建议迅速增加经肋间切口或者开胸,有效地止血,尽可能保证患者的生命安全;对于胸腺瘤侵及膈神经、心包或无名静脉,手术操作复杂的病例,则不建议开展S-UVATS[23]。
本研究结果显示,S-UVATS可以清晰地暴露胸腺和双侧膈神经;患者术后疼痛轻,均可耐受。但要注意的是,本研究1例术后出现肌无力危象,笔者分析可能与手术时间长,在局限的空间内持续压迫纵隔病变组织,导致激素异常释放有关,但因缺少血浆乙酰胆碱受体抗体水平等数据,其原因有待进一步探讨。笔者认为,应注意S-UVATS可能增加手术的复杂性与患者风险,其相对于经肋间VATS的临床优势不宜夸大。本研究仅是小样本的回顾性分析,患者的心理因素(认为单孔、剑突下手术更美容、创伤更小)也干扰疼痛评分的准确性;手术时间、术中出血量等指标并不能全面地反映不同术式的微创效果。S-UVATS胸腺扩大切除术治疗胸腺瘤的长期临床疗效仍需要多中心协作、大样本的前瞻性研究来评估。
综上所述,S-UVATS胸腺扩大切除术治疗胸腺瘤是可行的;在保证根治性切除的前提下,剑突下入路手术值得进一步探索。
所有作者均声明不存在利益冲突





















