
探讨国人健康成人颈椎和腰椎体积骨密度值(vBMD)分布情况。
采用横断面研究方法。2014年12月—2016年1月北京积水潭医院招募770名健康志愿者,其中男329名,女441名,年龄21~59岁。志愿者按年龄分为4组:A组(21~30岁)142人,B组(31~40岁)262人,C组(41~50岁)263人,D组(51~60岁)103人。采用日本TOSHIBA 128排CT机对志愿者行颈椎和腰椎定量CT扫描,并使用Mindways骨密度测量软件测量C2~C7、L2~L4椎体的vBMD值。采用单因素方差分析分别比较颈、腰椎中vBMD在不同性别、年龄组、节段的分布情况,男性、女性颈腰椎间各椎体vBMD的相关性采用Pearson相关分析。
男性志愿者C2~C7和L2~L4椎体vBMD分别为(288.40±60.63)、(275.71±56.33)、(283.91±59.62)、(278.95±53.76)、(253.38±49.99)、(217.94±44.96)和(151.64±31.74)、(145.22±31.77)、(147.16±35.81)mg/cm3,女性志愿者分别为(329.24±74.34)、(313.88±67.86)、(328.54±73.40)、(323.22±72.53)、(286.44±66.36)、(251.53±58.63)和(168.50±37.10)、(160.78±37.00)、(162.81±37.10)mg/cm3。无论男性还是女性,颈椎及腰椎的体积骨密度值均随着年龄增长而逐渐下降,差异均有统计学意义(P值均<0.05)。男性志愿者同一年龄组内比较:C2~C7不同椎体的vBMD均呈下降趋势,差异均有统计学意义(P值均<0.05);而L2~L4不同椎体的vBMD差异均无统计学意义(P值均>0.05)。女性志愿者同一年龄组内比较:C2~C7不同椎体的vBMD均呈下降趋势,差异均有统计学意义(P值均<0.05);D组L2~L4各椎体的vBMD均呈下降趋势,差异有统计学意义(P<0.05),其他年龄组vBMD差异均无统计学意义(P值均>0.05)。无论是男性或女性志愿者,在任何年龄组,颈椎vBMD均>200 mg/cm3,腰椎vBMD值均<200 mg/cm3,颈椎vBMD值均高于腰椎(P值均<0.01)。男性、女性颈腰椎不同椎体间vBMD值均具有显著的相关性(r男性=0.509~0.968, r女性=0.658~0.976, P值均<0.01);男性中,r颈椎间=0.667~0.928,r腰椎间=0.850~0.968,r颈椎与腰椎间=0.509~0.675;女性中,r颈椎间=0.754~0.933,r腰椎间=0.956~0.973,r颈椎与腰椎间=0.658~0.752;颈椎间或腰椎间vBMD相关系数均高于颈腰椎之间相关系数。
颈椎和腰椎vBMD在不同性别、年龄、节段分布存在差异,但各椎体vBMD均存在中-强相关性。本研究结果可为临床监测骨质疏松、评估骨折风险提供参考数据。
版权归中华医学会所有。
未经授权,不得转载、摘编本刊文章,不得使用本刊的版式设计。
除非特别声明,本刊刊出的所有文章不代表中华医学会和本刊编委会的观点。
骨质疏松症是最常见的骨代谢疾病,中国人群的患病率高达27.96%[1]。骨质疏松症会导致骨强度降低、骨折风险增加,女性骨质疏松性骨折的终生风险为40%~50%,男性为13%~22%[2]。骨密度(bone mineral density, BMD)测量可用于诊断和监测人类骨质疏松症,是骨质疏松性骨折的有效预测因子[3]。在骨质疏松症的诊断中,常用的方法有双能X射线吸收法(dual energy x-ray absorptiometry, DXA)和定量CT检测。DXA是一种二维成像方法,其准确度受到骨骼大小和周围组织(如主动脉钙化、椎体退行性变)影响[4]。而定量CT测量的是体积骨密度值(volumetric bone mineral density, vBMD),其检测结果不受骨骼大小影响,且能分别测量皮质骨和松质骨的vBMD,被认为是一种好于且可取代DXA的测量方法。椎骨承受上身的重量并承受相当大的体压,由骨质疏松症引起的骨折通常发生在椎骨中[5]。因此,研究脊柱椎体不同节段、不同年龄段的vBMD分布,不仅有利于监测骨质疏松、评估骨折风险,还可为外科医生施行脊柱手术、研究人员开发医疗器械提供有益的信息。在本研究中,采用定量CT测量健康成年国人颈椎和腰椎vBMD,探讨颈、腰椎中vBMD在不同性别、年龄及脊柱不同节段的分布情况。
纳入标准:(1)经过问卷调查、体格检查及血液生化、胸部X线片、心电图、腹部CT等检查,筛选无冠心病、糖尿病、肝病、肾病及其他系统疾病的志愿者。(2)年龄20~60岁;(3)颈椎及腰椎定量CT检查脊柱正常、无畸形。排除标准:(1)既往有脊柱外伤史、手术史及骨代谢疾病。(2)服用影响骨代谢药物者;(3)长期卧床达1个月以上;(4)长期饮酒者。
采用横断面研究方法。收集2014年12月—2016年1月在北京积水潭医院开展的"骨科退行性疾病防控研究"项目中健康志愿者的定量CT资料,共纳入符合条件的770名志愿者为研究对象,其中男329名,女441名;年龄21~59岁。按年龄分为4组:A组(21~30岁)142人,男50人,女92人;B组(31~40岁)262人,男131人,女131人;C组(41~50岁)263人,男109人,女154人;D组(51~60岁)103人,男39人,女64人。
本研究经北京积水潭医院伦理委员会批准(伦科审字第201210-08号),研究对象均已签署知情同意书。
采用日本TOSHIBA Aquilion 128排螺旋CT行颈椎、腰椎定量CT扫描。志愿者仰卧位,行颈椎扫描时将美国Mindways校准体模放置于检查者颈部下方,双手放置于身体两侧;行腰椎扫描时则将校准体模置于检查者腰部下方,双手举高抱头。CT床高经美国Mindways质控体模校准。扫描范围:C1椎体上缘至C7椎体下缘,L1椎体上缘至L5椎体下缘。扫描参数:电压120 kV、电流250 mA,层厚5 mm,视野500 mm。扫描完毕,容积重建:层厚1 mm,窗宽400,窗位40,标准算法,视野500 mm。
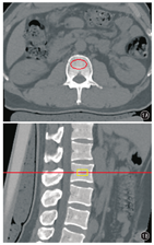
将CT扫描数据传至定量CT PRO工作站,测量C2~C7、L2~L4各椎体的vBMD:采用美国Mindways定量CT PRO 5.0.3软件,进入"New 3D spine exam anylasis"模块,读取志愿者的影像图像。在横断面图像中,选定要测量椎体松质骨中央椭圆形区域的中心为测量区域,避开皮质骨、椎静脉丛及骨岛,确定ROI(图1A);在矢状位图像中,将椎体方向调整至与水平参考线平行,由软件自动得到该区域的vBMD(图1B)。由2名有3年以上放射科工作经验并经过骨密度测量培训的医师分别独立完成各志愿者颈椎及腰椎vBMD测量,测量结果取平均值。


观察颈、腰椎中vBMD在不同性别、不同年龄组、不同节段的分布情况,并分别分析男性、女性颈腰椎间各椎体vBMD的相关程度。
应用SPSS 25.0统计学软件对数据进行分析。服从或近似服从正态分布的计量资料以
±s表示,组间比较采用单因素方差分析,组间两两比较采用SNK-q检验。男性、女性颈腰椎间各椎体vBMD相关性采用Pearson相关分析:r<0.3为弱相关,0.3~0.8为中等相关,>0.8为强相关。应用组内相关系数(intraclass correlation coefficient, ICC)评价2名观察者之间测量结果的一致性:ICC>0.90为可靠性优,0.75~0.90为可靠性一般,ICC <0.75为可靠性差。以P<0.05为差异有统计学意义。
2名医师测量结果的一致性ICC 0.93~0.99,提示测量结果可靠性优。
770名志愿者基线资料见表1。男性志愿者中,C2~C7、L2~L4椎体vBMD分别为(288.40±60.63)、(275.71±56.33)、(283.91±59.62)、(278.95±53.76)、(253.38±49.99)、(217.94±44.96)、(151.64±31.74)、(145.22±31.77)、(147.16±35.81)mg/cm3,女性志愿者分别为(329.24±74.34)、(313.88±67.86)、(328.54±73.40)、(323.22±72.53)、(286.44±66.36)、(251.53±58.63)、(168.50±37.10)、(160.78±37.00)、(162.81±37.10)mg/cm3。

770名志愿者的基线资料(
±s)
770名志愿者的基线资料(
±s)
| 性别 | 例数 | 年龄(岁) | 身高(cm) | 体质量(kg) | BMI(kg/m2) |
|---|---|---|---|---|---|
| 男性 | 329 | 39.4±8.5 | 172.2±5.9 | 78.0±11.9 | 26.3±3.6 |
| 女性 | 441 | 39.8±9.2 | 160.3±7.2 | 61.6±10.0 | 24.3±8.1 |
注:BMI为体质量指数
男性志愿者中,同一年龄组内比较,C2~C7不同椎体的vBMD均呈下降趋势,差异均有统计学意义(P值均<0.05);而L2~L4不同椎体的vBMD差异均无统计学意义(P值均>0.05)。不同年龄组相同椎体间比较,C2~C7、L2~L4椎体的vBMD均呈下降趋势,差异均有统计学意义(P值均<0.05)。见表2。

329名男性志愿者颈椎、腰椎不同年龄组不同椎体间vBMD的比较(mg/cm3,
±s)
329名男性志愿者颈椎、腰椎不同年龄组不同椎体间vBMD的比较(mg/cm3,
±s)
| 年龄组(岁) | 例数 | 颈椎 | |||||||
|---|---|---|---|---|---|---|---|---|---|
| C2 | C3 | C4 | C5 | C6 | C7 | F值 | P值 | ||
| A组 | 50 | 304.56±54.76 | 291.00±45.92 | 299.95±45.65 | 295.11±43.61 | 265.58±44.68cdef | 226.6±38.60cdefg | 20.996 | <0.01 |
| B组 | 131 | 295.31±61.52 | 287.49±61.00 | 296.59±64.57 | 286.69±56.57 | 261.59±51.36cdef | 227.4±43.76cdefg | 29.217 | <0.01 |
| C组 | 109 | 278.82±62.50ab | 262.94±52.95abc | 271.50±55.82ab | 270.12±53.47ab | 245.70±49.51abcdef | 208.5±45.67abcdefg | 25.550 | <0.01 |
| D组 | 39 | 271.24±52.36ab | 252.24±46.44ab | 255.41±51.97ab | 256.94±46.36ab | 231.58±43.74abcdef | 201.1±45.82abcdefg | 10.522 | <0.01 |
| F值 | 3.793 | 7.708 | 8.240 | 5.815 | 5.740 | 6.242 | |||
| P值 | <0.05 | <0.01 | <0.01 | <0.01 | <0.01 | <0.01 | |||
| 年龄组(岁) | 例数 | 腰椎 | ||||
|---|---|---|---|---|---|---|
| L2 | L3 | L4 | F值 | P值 | ||
| A组 | 50 | 169.77±24.50 | 161.76±24.70 | 162.50±24.48 | 1.624 | >0.05 |
| B组 | 131 | 162.10±29.13 | 155.72±27.67 | 157.67±29.20 | 1.702 | >0.05 |
| C组 | 109 | 141.43±27.62hi | 135.08±29.86hi | 138.73±39.89hi | 1.023 | >0.05 |
| D组 | 39 | 121.81±28.79hij | 117.06±30.34hij | 115.80±30.88hij | 0.435 | >0.05 |
| F值 | 32.829 | 29.210 | 22.488 | |||
| P值 | <0.01 | <0.01 | <0.01 | |||
注:vBMD为体积骨密度;A组年龄21~30岁;B组年龄31~40岁;C组年龄41~50岁;D组年龄51~60岁;不同年龄组间比较,a为与A组比较,b为与B组比较,P值均<0.05;颈椎:同一年龄组内比较,c为与C2比较,d为与C3比较,e为与C4比较,f为与C5比较,g为与C6比较,P值均<0.05;腰椎:不同年龄组间比较,h为与A组比较,i为与B组比较,j为与C组比较,P值均<0.05
女性志愿者中,同一年龄组内比较,C2~C7不同椎体的vBMD均呈下降趋势,差异均有统计学意义(P值均<0.05);L2~L4不同椎体的vBMD,仅41~50岁年龄组vBMD均呈下降趋势,差异有统计学意义(P<0.05),其他年龄组vBMD差异均无统计学意义(P值均>0.05)。不同年龄组相同椎体间比较,C2~C7、L2~L4椎体的vBMD均呈下降趋势,差异均有统计学意义(P值均<0.05)。见表3。

441名女性志愿者颈椎、腰椎不同年龄组不同椎体间vBMD的比较(mg/cm3,
±s)
441名女性志愿者颈椎、腰椎不同年龄组不同椎体间vBMD的比较(mg/cm3,
±s)
| 年龄组(岁) | 例数 | 颈椎 | |||||||
|---|---|---|---|---|---|---|---|---|---|
| C2 | C3 | C4 | C5 | C6 | C7 | F值 | P值 | ||
| A组 | 92 | 323.88±56.10 | 315.38±53.71 | 334.77±61.32d | 329.33±64.72 | 292.76±58.27cdef | 254.1±48.21cdef | 25.840 | <0.01 |
| B组 | 131 | 352.41±71.12a | 334.78±66.83ac | 352.85±71.86d | 345.29±72.61 | 306.90±65.75acdef | 270.22±58.03acdefg | 30.343 | <0.01 |
| C组 | 154 | 336.41±78.00 | 319.65±67.79bc | 332.16±69.63b | 327.00±66.03b | 291.30±60.91bcdef | 254.32±57.13bcdefg | 34.526 | <0.01 |
| D组 | 64 | 272.29±65.27ab | 255.03±55.74ab | 261.11±61.90ab | 260.26±64.00ab | 223.77±54.24abcdef | 202.83±51.11abcdefg | 13.122 | <0.01 |
| F值 | 19.604 | 23.768 | 27.288 | 23.631 | 28.123 | 22.115 | |||
| P值 | <0.01 | 0.01 | <0.01 | <0.01 | <0.01 | <0.01 | <0.01 | ||
| 年龄组(岁) | 例数 | 腰椎 | ||||
|---|---|---|---|---|---|---|
| L2 | L3 | L4 | F值 | P值 | ||
| A组 | 92 | 184.17±33.92 | 177.50±32.84 | 179.23±32.50 | 1.007 | >0.05 |
| B组 | 131 | 181.33±30.92 | 174.65±30.01 | 177.57±30.91 | 1.566 | >0.05 |
| C组 | 154 | 165.51±32.45hi | 156.74±31.74hik | 158.31±31.43hik | 3.314 | <0.05 |
| D组 | 64 | 126.91±30.60hij | 118.07±31.37hij | 119.80±30.70hij | 1.474 | >0.05 |
| F值 | 50.674 | 57.474 | 59.122 | |||
| P值 | <0.01 | <0.01 | <0.01 | |||
注:vBMD为体积骨密度;A组年龄21~30岁;B组年龄31~40岁;C组年龄41~50岁;D组年龄51~60岁;不同年龄组间比较,a为与A组比较,b为与B组比较,P值均<0.05;颈椎:同一年龄组内比较,c为与C2比较,d为与C3比较,e为与C4比较,f为与C5比较,g为与C6比较,P值均<0.05;腰椎:不同年龄组间比较,h为与A组比较,i为与B组比较,j为与C组比较,P值均<0.05;同一年龄组内比较,k为与L2比较,P值均<0.05
在任何年龄组的男性或女性志愿者,颈椎vBMD平均值均>200 mg/cm3,腰椎vBMD平均值均<200 mg/cm3,颈椎vBMD平均值均高于腰椎。男性、女性间同一年龄组、同一椎体间比较,除了D组中C6椎体,女性各椎体vBMD值均大于男性。
男性、女性颈腰椎不同椎体间vBMD值均具有显著的相关性(r男性=0.509~0.968,r女性=0.658~0.976, P值均<0.01);男性中,r颈椎间=0.667~0.928,r腰椎间=0.850~0.968,r颈椎与腰椎间=0.509~0.675;女性中,r颈椎间=0.754~0.933,r腰椎间=0.956~0.976,r颈椎与腰椎间=0.658~0.752。结果显示,颈椎间或腰椎间vBMD相关系数均高于颈椎、腰椎之间相关系数,提示颈椎间或腰椎间vBMD相关程度更高。见表4、表5和图2、图3。



329例男性志愿者颈腰椎不同椎体间vBMD值相关关系r值
329例男性志愿者颈腰椎不同椎体间vBMD值相关关系r值
| C2 | C3 | C4 | C5 | C6 | C7 | L2 | L3 | |
|---|---|---|---|---|---|---|---|---|
| C3 | 0.841 | |||||||
| C4 | 0.791 | 0.928 | ||||||
| C5 | 0.763 | 0.894 | 0.916 | |||||
| C6 | 0.727 | 0.838 | 0.878 | 0.920 | ||||
| C7 | 0.667 | 0.765 | 0.795 | 0.822 | 0.875 | |||
| L2 | 0.571 | 0.632 | 0.630 | 0.648 | 0.675 | 0.673 | ||
| L3 | 0.563 | 0.621 | 0.613 | 0.637 | 0.667 | 0.664 | 0.968 | |
| L4 | 0.509 | 0.597 | 0.578 | 0.596 | 0.637 | 0.618 | 0.850 | 0.865 |
注:vBMD为体积骨密度;P值均<0.01

441例女性志愿者颈腰椎不同椎体间vBMD值相关关系r值
441例女性志愿者颈腰椎不同椎体间vBMD值相关关系r值
| C2 | C3 | C4 | C5 | C6 | C7 | L2 | L3 | |
|---|---|---|---|---|---|---|---|---|
| C3 | 0.875 | |||||||
| C4 | 0.845 | 0.933 | ||||||
| C5 | 0.805 | 0.891 | 0.918 | |||||
| C6 | 0.761 | 0.855 | 0.886 | 0.928 | ||||
| C7 | 0.754 | 0.843 | 0.866 | 0.886 | 0.923 | |||
| L2 | 0.682 | 0.719 | 0.741 | 0.748 | 0.752 | 0.751 | ||
| L3 | 0.670 | 0.713 | 0.734 | 0.740 | 0.742 | 0.744 | 0.976 | |
| L4 | 0.658 | 0.710 | 0.736 | 0.747 | 0.748 | 0.752 | 0.956 | 0.973 |
注:vBMD为体积骨密度;P值均<0.01
骨质疏松症是最常见的代谢性骨疾病,随着人口预期寿命的延长,骨质疏松症愈发成为一个日益严重的问题[4]。对于脊柱来说,椎体BMD降低可能伴随椎体骨折、退行性椎体滑脱、椎管狭窄等疾病。因此,适用于骨质疏松诊断、易骨折个体识别、药物治疗效果监测的影像学成像方法的研究至关重要。目前广泛应用于临床的成像方式主要有DXA及定量CT。DXA脊椎成像是二维图像,其包括椎体、后部附件、皮质骨和松质骨的叠加,并受到软组织体积及BMI大小的影响[6]。而定量CT测量的原理则克服了DXA上述缺点,提供更准确的3D vBMD,避免了影响DXA测量结果的混杂因素[7]。与DXA相比,定量CT对年龄、疾病和治疗相关BMD值变化更敏感,同时能更好地辨别脊柱骨折。另外,CT检查是临床实践中使用最广泛的诊断成像模式,基于颈部、腹部或骨盆CT图像的定量CT来量化BMD具有成本效应并能减少辐射暴露,拓宽了定量CT的使用范围,具有机会性筛查的巨大潜力[3]。
Yu等[8]采用定量CT测量189例男性和254例女性L1~L4的BMD值,结果显示男性、女性的腰椎BMD在10~19岁年龄段最高,随着年龄增长BMD逐渐下降,70~79岁年龄段达最低;不同性别同年龄段BMD比较,10~49岁各年龄段均为女性BMD值大于男性,但在50~79岁年龄段则是男性大于女性,这可能与绝经后女性激素水平下降有关。陈文清等[9]在定量CT检测国人L1~L4椎体vBMD的研究中,共纳入450例男性,630例女性,结果显示:随着年龄增长男性、女性vBMD均逐渐下降,男性各年龄组(30~39岁至70~79岁)的L1~L4椎体vBMD由(164.49±27.12 )mg/cm3逐渐降为(99.98±29.65)mg/cm3;女性各年龄组vBMD由(175.41±36.82)mg/cm3逐渐降为(75.58±23.79)mg/cm3。贾鹏等[10]采用定量CT测量了南京地区960例健康志愿者L2、L3椎体vBMD,结果显示:随着年龄增长男性、女性vBMD也逐渐下降,男性各年龄组(21~30岁至71~80岁)的vBMD由(181.63±21.40)mg/cm3逐渐降为(108.50±21.30)mg/cm3;女性各年龄组vBMD由(187.50±22.66)mg/cm3逐渐降为(78.77±29.56)mg/cm3。在既往研究中,国内相关研究主要观察腰椎vBMD的分布情况,而颈椎vBMD的测量国内未见报道。在本研究中,笔者采用定量CT测量了颈椎和腰椎的vBMD,弥补了健康国人颈椎vBMD研究的空白。本研究结果显示,男性、女性vBMD均随着年龄增长而降低、同年龄段女性vBMD大于男性,与既往研究结果相似;在51~60岁年龄组,男性、女性同一椎体间BMD差值已明显减小,女性在该年龄段BMD下降更为显著,其原因是否与女性绝经后激素水平下降有关,需进一步研究观察。
2007年国际临床密度测量学会建议[11]:采用定量CT测量脊柱松质骨BMD,BMD>120 mg/cm3(相当于DXA T评分-1.0 SD),表示骨质正常;BMD 80~120 mg/cm3表示骨质减少;BMD<80 mg/cm3(相当于DXA T评分为-2.5 SD)表示骨质疏松。本研究结果显示,男女性任何年龄组颈椎vBMD值总是远高于腰椎vBMD值。笔者认为,该标准可能不适用于颈椎,颈椎或许需要有新的标准,临床医生在实施颈椎手术和设计治疗方案时应注意这一点。
本研究结果显示,在同一年龄组,除B组男性和A组女性外,男女性颈椎均以C2椎体vBMD为最高,C4~C7椎体vBMD值依次下降。Yoganandan等[12,13]采用定量CT测量椎体BMD研究也报道了C2椎体是颈椎中BMD最高者。而在Anderst等[14]和Weishaupt等[15]的研究中,颈椎中以C5为BMD最高者。Anderst等[16]的研究则发现C1的BMD最高,C7最低。Bogduk等[17]研究显示,颈椎不同节段椎体BMD差异较腰椎显著,C1及C2承担着颈部约60%的旋转和40%的屈曲-伸展运动,这可能是C2椎体BMD高的原因。
本研究结果显示,与颈椎不同的是,虽然男性及女性L2 vBMD值均为最高,但同一年龄组内L2~4椎体间vBMD值差异均无统计学意义。2015年国际临床密度测定学会官方指南推荐,如果应用单层定量CT,扫描椎体应为L1~3,而应用3D定量CT,扫描椎体则为L1~2[18]。既往研究证实,临床中常用的L1~2平均vBMD值与其他腰骶椎骨的vBMD值之间存在高度相关性,能成为整体腰骶椎vBMD值的代表[19]。本研究结果显示,腰椎中男性为L3椎体(r=0.968)、女性为L2椎体(r=0.976)相关系数最高。因此,笔者认为,监测L2椎体的vBMD值变化,更能提示腰椎整体vBMD的变化情况。
据目前已发表的文献,本研究是国内最大规模的使用定量CT测量健康人群颈腰椎vBMD年龄分层及性别分层分布的研究。但本研究也存在不足之处:(1)缺少60岁以后人群的颈腰椎vBMD分布资料;(2)研究没有进一步调查志愿者的饮食习惯、生活习惯、运动情况、吸烟史、饮酒史等可能影响骨密度的因素。在今后的研究中,需进一步增加60岁后人群的数据,并进行多地区多中心研究,同时详细调查可能影响志愿者骨密度的信息。
综上所述,颈椎和腰椎vBMD值在不同性别、年龄段、不同节段分布存在差异,颈椎vBMD明显高于腰椎,女性颈椎和腰椎vBMD高于男性;无论男性还是女性,颈椎及腰椎的vBMD均随着年龄增长而逐渐下降;各椎体vBMD值均存在中-强相关性。该研究结果可为临床监测骨质疏松、评估骨折风险提供参考数据。
所有作者均声明不存在利益冲突





















