
探讨常规MRI结合弥散加权成像(DWI)中表观扩散系数(ADC)在低、高级别脑膜瘤的鉴别诊断中的临床应用价值。
回顾性分析中国科学技术大学附属第一医院2018年1月—2019年8月68例脑膜瘤患者的临床资料,男29例、女39例,年龄24~78(48.62±10.28)岁。其中WHOⅠ级脑膜瘤52例(低级别组),WHO Ⅱ级12例、WHO Ⅲ级4例(高级别组)。患者术前均行常规MRI结合DWI检查。观察两组患者的MRI征象以及DWI特点;比较两组患者脑膜瘤实质和瘤周水肿部位ADC值以及肿瘤实质与对侧脑白质的相对表观扩散系数(rADC),利用ROC曲线分析最佳rADC值对低、高级别脑膜瘤的诊断效能。
两组患者基线资料差异均无统计学意义(P值均>0.05)。高级别组脑膜瘤边缘不规整、强化不均匀、边缘水肿区、脑膜尾征和囊变、坏死、钙化区等影像学征象发生率明显高于低级别组脑膜瘤,差异均有统计学差异(P值均<0.05)。52例低级别组脑膜瘤中,有38例DWI、ADC均呈等信号,14例DWI呈稍高信号、ADC呈稍低信号;16例高级别组脑膜瘤实质部分DWI呈高信号、ADC呈低信号,而囊变、出血坏死、钙化区呈高信号。低级别组、高级别组脑膜瘤肿瘤实质部分ADC值分别为(0.94±0.14)×10-3、(0.73±0.11)×10-3 mm2/s,rADC值分别为(1.16±0.18)×10-3、(0.95±0.14)×10-3 mm2/s,低级别组脑膜瘤实质部分ADC和rADC值均明显高于高级别组脑膜瘤,差异均有统计学意义(t=5.491、4.277, P值均<0.01);低级别组、高级别组脑膜瘤的瘤周水肿区域ADC分别为(1.82±0.19)×10-3、(1.88±0.21)×10-3 mm2/s,rADC值分别为(2.29±0.24)×10-3、(2.38±0.29)×10-3 mm2/s,差异均无统计学意义(P值均>0.05);以rADC值诊断低级别组、高级别组脑膜瘤的最佳临界点为1.035×10-3 mm2/s,其灵敏度为88.5%,特异度为87.5%。
常规MRI结合DWI中ADC值的测量对低、高级别脑膜瘤的鉴别诊断具有重要临床应用价值。
版权归中华医学会所有。
未经授权,不得转载、摘编本刊文章,不得使用本刊的版式设计。
除非特别声明,本刊刊出的所有文章不代表中华医学会和本刊编委会的观点。
脑膜瘤是颅内最常见的原发性肿瘤之一,尽管大多数为良性,但少数具有恶性肿瘤的生长特性[1]。WHO根据脑膜瘤病理分级,将低级别脑膜瘤称为WHO Ⅰ级脑膜瘤,而WHO Ⅱ~Ⅲ级脑膜瘤为高级别脑膜瘤,也统称为恶性脑膜瘤[2]。常规MRI在脑膜瘤诊断并无困难,但对高、低级别脑膜瘤的鉴别诊断有一定的局限性。近年来,随着MRI影像技术和多种新的功能成像方法的不断发展,扩散加权成像(diffusion weighted imaging, DWI)的临床应用为高、低级别脑膜瘤的鉴别诊断提供了新的思路。MRI结合DWI利用表观扩散系数(apparent diffusion coefficient, ADC)值量化分析活体水分子扩散运动状况,可判断组织病变的特性[3],是一种无创的检测技术。然而,由于脑膜瘤多为良性肿瘤,预后较好,应用ADC值对脑膜瘤病理分级的鉴别诊断研究相对较少[1]。为此,本研究对68例脑膜瘤患者的临床资料进行回顾性分析,旨在探讨MRI结合DWI测量ADC值在低、高级别脑膜瘤鉴别诊断中的临床应用价值。
纳入标准:(1)术前常规MRI资料完整,ADC图显示清晰,无严重伪影,瘤周见水肿区;(2)术后病理明确诊断为脑膜瘤。排除标准:(1)术前MR扫描前已接受肿瘤相关治疗;(2)术后复发病例;(3)临床资料不完整或丢失。
回顾性研究。纳入中国科学技术大学附属第一医院2018年1月—2019年8月术前行MR结合DWI检查并经术后病理证实为脑膜瘤的患者共68例,其中男29例、女39例,年龄24~78(48.62±10.28)岁,临床表现有头晕头痛、恶心呕吐、视力视野障碍、癫痫和肢体麻木等。其中WHOⅠ级脑膜瘤52例(低级别组),WHOⅡ级脑膜瘤12例、WHO Ⅲ级4例(高级别组)。本研究符合《赫尔辛基宣言》的要求,纳入的研究对象均知情同意并签署术后病理组织医学研究同意书。
采用Philips 3.0 T超导型MR扫描仪(荷兰)。患者仰卧位,头颅正交线圈,检测扫描序列为自旋回波序列的T1WI(矢状位、轴位)和快速自旋回波序列的T2WI(轴位),DWI是采用自旋回波-回波平面成像(spin-echo echoplanar imaging,SE-EPI)序列,扩散敏感系数b为0、1 000 s/mm2。然后行轴位、矢状位和冠状位增强扫描,序列为T1WI,使用钆喷酸葡胺注射液(Gd-DTPA)对比剂,流速为2 mL/s,剂量为0.1 mmol/kg。成像参数:视野FOV 22 cm×22 cm、矩阵192×256、层距1 mm、NEX 1;矢状位TR 400 ms、TE 14 ms、层厚6 mm,轴位TR 185 ms、TE 4.2 ms、层厚7 mm,冠状位TR 500 ms、TE 16 ms、层厚7 mm。
由2位经验丰富的主治及以上职称的放射科医生采取盲法,对脑膜瘤病例图像进行分析测量,结果取平均值。将DWI原始图像输入工作站获得ADC图,对照常规平扫及增强扫描图像进行综合分析,界定肿瘤实质区、坏死(囊变)区及瘤周水肿区,测量正常脑白质及肿瘤的ADC值。ADC的测量方法:选取肿瘤3个不同层面,在每个层面选取5个感兴趣区域(region of interest,ROI),大小约为50 mm2,规避囊变、出血坏死、钙化区域,取其平均值为ADC值;对侧正常白质需避开侧脑室白质疏松、水肿及缺血区域;瘤周水肿区域ADC均在肿瘤边缘10 mm范围内选取,ROI大小为30~50 mm2,取平均值。以对侧正常脑白质ADC值为对照标准,得到相对ADC(relative apparent diffusion coefficient,rADC)。
比较低级别和高级别脑膜瘤患者的MRI征象、观察DWI特点,比较两组患者脑膜瘤实质和瘤周水肿部位ADC值和rADC,应用ROC曲线分析最佳rADC值对低、高级别脑膜瘤的诊断效能。
采用SPSS 23.0软件进行统计学处理。服从正态分布计量资料用
±s表示,组间比较采用独立样本t检验;分类资料组间比较采用χ2检验。以ADC值诊断低级别和高级别脑膜瘤做ROC曲线,得到理想诊断ADC值的最佳临界点,计算诊断的灵敏度和特异度。以P<0.05为差异有统计学意义。
低级别组与高级别组脑膜瘤患者的性别、年龄、肿瘤位置等基线资料比较差异均无统计学意义(P值均>0.05)。见表1。

低级别组与高级别组脑膜瘤患者的基线资料比较
低级别组与高级别组脑膜瘤患者的基线资料比较
| 临床资料 | 低级别组 | 高级别组 | 统计值 | P值 | |
|---|---|---|---|---|---|
| 例数 | 52 | 16 | |||
| 性别(例) | |||||
| 男 | 23 | 6 | χ2=0.227 | >0.05 | |
| 女 | 29 | 10 | |||
年龄(岁, ±s) | 45.48±9.56 | 50.82±10.54 | t=1.908 | >0.05 | |
| 肿瘤位置(例) | |||||
| 颅底 | 9 | 5 | χ2=1.455 | >0.05 | |
| 非颅底 | 43 | 11 | |||
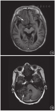
低级别组脑膜瘤大多形态规则,呈团块状或结节状,部分可呈边界清楚的浅分叶状;高级别组脑膜瘤形态多呈不规则,边缘不清楚。低、高级别组脑膜瘤的肿瘤边缘不规整、强化不均匀、边缘水肿区、脑膜尾征和囊变、坏死、钙化区的发生率差异均有统计学差异(P值均<0.05)。见图1、表2。

低、高级别组脑膜瘤患者MRI征象的比较(例)
低、高级别组脑膜瘤患者MRI征象的比较(例)
| 组别 | 例数 | 边缘不规整 | 强化不均匀 | 边缘水肿区 | 脑膜尾征 | 囊变、坏死、钙化区 |
|---|---|---|---|---|---|---|
| 低级别组 | 52 | 12 | 18 | 20 | 17 | 21 |
| 高级别组 | 16 | 11 | 14 | 13 | 10 | 12 |
| χ2值 | 11.403 | 13.735 | 8.968 | 4.541 | 5.869 | |
| P值 | <0.01 | <0.01 | <0.01 | <0.05 | <0.05 |


52例低级别组脑膜瘤中有38例DWI、ADC均呈等信号,14例DWI呈稍高信号、ADC呈稍低信号;16例高级别组脑膜瘤实质部分DWI均呈高信号、ADC均呈低信号,而囊变、出血坏死、钙化区均呈高信号。见图2,图3,图4。


低级别组脑膜瘤瘤体实质部分ADC和rADC值均明显高于高级别组脑膜瘤,差异均有统计学意义(P值均<0.05);瘤周水肿区域ADC和rADC值两组间比较差异均无统计学意义(P值均>0.05)。见表3。

低、高级别组脑膜瘤ADC值和rADC值 比较(×10-3 mm2/s,
±s)
低、高级别组脑膜瘤ADC值和rADC值 比较(×10-3 mm2/s,
±s)
| 组别 | 例数 | 肿瘤实质 | 瘤周水肿 | ||
|---|---|---|---|---|---|
| ADC | rADC | ADC | rADC | ||
| 低级别组 | 52 | 0.94±0.14 | 1.16±0.18 | 1.82±0.19 | 2.29±0.24 |
| 高级别组 | 16 | 0.73±0.11 | 0.95±0.14 | 1.88±0.21 | 2.38±0.29 |
| t值 | 5.491 | 4.277 | 1.105 | 1.248 | |
| P值 | <0.01 | <0.01 | >0.05 | >0.05 | |
注:ADC为表观扩散系数,rADC为相对表观扩散系数
以肿瘤实质部位的rADC值作为诊断指标进行ROC曲线分析,显示rADC值的最佳临界点为1.035×10-3 mm2/s,AUC为0.951,其95%置信区间0.892×10-3 mm2/s~1.000×10-3 mm2/s,诊断的灵敏度为88.5%,特异度为87.5%。见图5。


脑膜瘤约占颅内原发肿瘤的20%,根据《2016 WHO中枢神经系统肿瘤分类》将其分为3级,15个病理亚型。其中WHOⅠ级脑膜瘤为低级别脑膜瘤(良性),占脑膜瘤的90%~95%,生长缓慢,手术切除后不易复发。少数为WHOⅡ、Ⅲ脑膜瘤,是高级别脑膜瘤(非典型性或间变性脑膜瘤),具有恶性侵袭性生长行为,术后易于复发,且易发生脑内或远处转移[4]。因此,术前判定低级别与高级别脑膜瘤对临床治疗方案的制定具有重要指导意义。然而,高、低级别脑膜瘤的常规MRI表现有一定的重叠[5],在鉴别诊断方面存在局限性。国外学者发现胶质瘤的ADC值与肿瘤细胞密度、病理级别明显相关[6]。因此,本研究探讨了常规MRI结合ADC检查在低、高级别脑膜瘤鉴别诊断中的临床应用价值。
MR DWI是目前体内测量水分子运动唯一的成像方法,其主要反应水分子活动的自由度,经ADC值可反应水分子的弥散系数。肿瘤实质ADC值的影响因素主要有:(1)肿瘤细胞密度,即肿瘤细胞密集和特殊的空间结构均可限制水分子扩散[7];(2)肿瘤细胞的异型性:异型性越高,细胞器越丰富,则降低细胞内水分子的扩散;(3)瘤内囊变、出血、坏死、钙化等均可改变水分子扩散运动;(4)T2穿透效应[8]。因此,ADC值越低,水分子受限程度越强。在乳腺癌、肝癌等肿瘤中已证实低级别肿瘤在DWI上的信号比高级别肿瘤低,ADC值较高级别肿瘤高[9,10,11]。本研究显示低级别脑膜瘤瘤体ADC和rADC值明显高于高级别脑膜瘤,原因可能是高级别脑膜瘤异型性高、排列密集、细胞密度高,细胞核大而深染,核仁显著,核浆比例增大,细胞器丰富,且有丝分裂活跃导致细胞外间隙缩小等限制水分子自由扩散,ADC值减低。而本研究中低、高级别脑膜瘤瘤周水肿部分ADC和rADC值差异无统计学意义,原因是脑膜瘤瘤周水肿与病理学类型有关,低级别脑膜瘤中的血管瘤型、分泌型、上皮型与高级别脑膜瘤中的非典型及间变型脑膜瘤的瘤周水肿较其他病理学类型脑膜瘤瘤周水肿明显[12,13]。本研究中未对低级别脑膜瘤的病理学类型进一步细分比较。此外,高级别脑膜瘤生长速度快,除了直接向周围组织浸润侵袭,引起邻近脑组织缺血缺氧,分泌致水肿分子如血管通透因子外,会对周围脑组织产生机械性压迫性水肿,是单纯的细胞外水分子的聚集,不是非细胞毒性水肿。
不同病理级别的脑膜瘤生物学行为和肿瘤质地存在差异,其MRI各序列信号表现有所不同,术前通过这些信号特征的差异可间接判断肿瘤的病理结构,区分脑膜瘤的低、高级别病理分型,甚至脑膜瘤的某些特殊病理亚型。但是,低、高级别脑膜瘤常规MRI影像学表现有一定的重叠,根据MRI常规序列区分脑膜瘤低、高级别存在一定困难。然而,低、高级别脑膜瘤瘤体实质的ADC值不同,且低级别脑膜瘤ADC值明显高于高级别脑膜瘤[14]。因此,通过测量脑膜瘤的ADC值可更好地预测肿瘤的性质及做鉴别诊断。本研究结果显示,高级别脑膜瘤的DWI表现为高信号、ADC图表现为低信号,其rADC值显著低于低级别脑膜瘤,低、高级别脑膜瘤ADC值差异有统计学意义。近年来研究发现,rADC较ADC值在颅脑肿瘤的鉴别诊断中有更高的敏感性和特异性[15]。我们进一步对低、高级别脑膜瘤瘤体实质rADC值进行ROC曲线分析,结果显示,诊断高级别脑膜瘤的最佳临界点为1.035×10-3 mm2/s,AUC为0.951,灵敏度为88.5%,特异度为87.5%。在鉴别低、高级别脑膜瘤上具有较高的灵敏度和特异度,可作为临床上鉴别低、高级别脑膜瘤重要的辅助诊断方法。
本研究主要存在的局限性:(1)样本量尚显不足,高级别脑膜瘤仅为16例,其中间变型(WHOⅡ级)4例,高级别病例偏少是本研究难以克服的局限性问题;(2)测量ADC值的肿瘤实质和瘤周水肿部位与组织病理切片的部位难以完全匹配,因此测得的ADC值与病理分级可能存在差异;(3)近期研究表明将b值提高到4 000 s/mm2,区分脑膜瘤病理分级更具优势,本研究采用既往大部分研究的b值为1 000 s/mm2[16],得出的结果可能有所差异。今后,我们需设计多项高b值进行ADC诊断脑膜瘤的临床研究,并确定最有利于鉴别脑膜瘤级别的最佳b值,进一步对脑膜瘤常见类型、脑膜淋巴瘤和转移瘤等进行鉴别和比较分析。
综上所述,MRI结合DWI的ADC值测量可无创评估脑膜瘤病理分级,以rADC值1.035×10-3 mm2/s为临界点对高、低级别脑膜瘤术前的鉴别诊断具有较高的效能,与常规MRI检测联合应用,可提高鉴别高、低级别脑膜瘤的精准率,有助于临床手术治疗方案选择和患者预后评估,适合临床术前常规使用。
所有作者均声明不存在利益冲突

±s)



















