
Repeated intracranial hemorrhages caused by cardiac myxoma is very rare. It is essential for physicians to be aware of such uncommon clinical feature of myxoma.
We report a-49-year-old female patient complained of repeated multiple intracranial hemorrhages, with no sign of cardiac dysfunction or cerebral infarction before admission. Cavernous angioma (CA) was misdiagnosded due to the clinical and magnetic resonance (MR) presentation. A sudden ischemic event after admission led to the finding of a left atrial myxoma.
Repeated intracranial hemorrhages can be the early and primary clinical presentation of cardiac myxoma, probably caused by its metastasis, without obvious ischemic stroke or cardiac symptoms.
© 2016 Wang et al. Open Access This article is distributed under the terms of the Creative Commons Attribution 4.0 International License (http://creativecommons.org/licenses/by/4.0/), which permits unrestricted use, distribution, and reproduction in any medium, provided you give appropriate credit to the original author(s) and the source, provide a link to the Creative Commons license, and indicate if changes were made. The Creative Commons Public Domain Dedication waiver (http://creativecommons.org/publicdomain/zero/1.0/) applies to the data made available in this article, unless otherwise stated.
Cardiac dysfunction often present as the primary complain of atrial myxoma and patients may end up with sudden death [12]. Without cardiac symptoms, the variety of clinical features, involving neurologic or cutaneous symptoms, could make the diagnosis of atrial myxoma very difficult [4,6,14]. Even up to 10% of patients with atrial myxoma may not present with any symptoms [4,8,12,16].
Cardiac myxoma may be found incidentally while screening the source of intracranial embolus. However, physicians rarely include atrial myxomas on differential diagnosis list for intracranial hemorrhages. Thereby, we would like to present a case of cardiac myxoma inducing multiple hemorrhagic intracranial lesions mimicking CAs.
A-49-year-old female patient was admitted to local emergency department in November 2012 and August 2013, suffered from acute headache and dizziness, without any neurologic deficit. No history of hypertension or familiar CAs was recorded. In both time, Emergency head Computer Tomography (CT) has showed three hemorrhagic intracranial lesions in the left parietoccipital lobe (Fig. 1). Routine head MR scan also showed three small hemorrhagic lesions, with low signal on T1-weighted and high signal on T2-weighted images, without marked enhancement. A significant hypointese ring outside the lesion represents hemosiderosis, supporting diagnosis of CA. No acute infarction was detected in diffusion weighted imaging (DWI) (Fig. 1). Considering the good recovery afterwards and the risk of operation, she accepted the wait-and-see treatment.


In February 2014, she experienced recurrent symptoms. This time, she decided to accept intracranial lesions resection. She was admitted to our hospital in March 2014 for futher examination and surgical plan without any complaints of head or chest discomfort at that time.
In the next morning of hospitalization, she lost consciousness suddenly. Emergent CT indicated the third episode of hemorrhagic within the lesions. However, after regaining her consciousness, complete contralateral paralysis, facial palsy and aphasia -without prior seizure-, occured. Those symptoms could not be explained by the lesions.
Supportive treatment and intensive monitoring was initiated for her, and she did not deteriorate. The Susceptibility Weighted Imaging (SWI) revealed numerous hypointense foci, in addition to the first known lesions, mimicking CAs in the brain and indicating previous hemorrhages (Fig. 2). Additional DWI detected multiple minor acute infarction throughout the left hemisphere, including left basal ganglia, thalamus and cortex (Fig. 2).


To identify the cause of embolism, a MR angiography and echocardiogram was performed. No abnormalities were detected in the large intracranial arteries by MR angiography, but a suspicious small aneurysm next to one of the CA like lesions (Fig. 2). Echocardiogram demonstrated a 55*28 mm left atrial myxoma, blocking blood flow through the mitral valve. After several days of conservative treatment and rehabilitation, she was able to speak slowly and the muscle strength of the right limb improved to Grade 4.
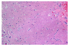
During harboring the atrial myxoma, the risk of perioperative complications, such as acute cardiac dysfunction, ischemic stroke or sudden death, are highly increased. Thus, we cancelled our surgical plan and consulted to the department of cardiac surgery. The patient was scheduled for atrial myxoma removal after recovery. The post-operative pathology confirmed the diagnosis of cardiac myxoma (Fig. 3).


Classic presenting manifestations of cardiac myxoma include constitutional, obstructive, and embolic symptoms [5]. Cerebral ischemia may be the most significant complaint despite cardiac dysfunction symptoms In patients with left atrial myxoma, 11%–45% of ischemic strokes could be induced by a small emboli which is detached from the myxoma [5,6]. Cerebral infarction was the most common manifestation in up to 89% among myxoma patients with neurologic symptoms [6]. Therefore, myxoma is less likely to be ignored in case of repeated ischemic stroke.
However, only a small fraction of patients with myxoma was found due to intracranial hemorrhages [6,8]. Single hematoma or multiple scattered microbleeds, also subarachnoid hemorrhage might be present. These hemorrhages are usually related to previous cerebral infarction caused by myxoma [6,8,14,16]. However, it is quite rare that repeated intracranial hemorrhages without definitive history of ischemic stroke or cardiac symptoms, could be the first and primary clinical presentation. The radiological finding in routine MR imaging, especially the hemosiderin signal around the lesions, strongly support the diagnosis of CA. Therefore, multiple CAs was misdiagnosed according to the clinical and MR features before admission.
Even SWI features of this patient imitate CAs. It is well known that SWI is crucial to diagnose multiple CAs, because it is very sensitive in detecting previous microbleeds according to the remaining hemosiderin with ferromagnetic composition [3,10]. But in this case, SWI might be confusing. The presence of hemorrhagic lesions combined with numerous microbleeds in SWI indicated multiple CAs. However, considering embolic stroke afterwards, the visible microbleeds is also likely to be caused by unnoticed previous minor asymptomatic lacunar stroke, probably due to micro embolus detached from cardiac myxoma.
Embolic stroke after admission led us to diagnose cardiac myxoma eventually. But how did myxoma cause repeated hemorrhages without an obvious ischemic stroke before admission? It was reported that myxomatous aneurysms might be an alternative source of bleeding [7,13,16]. About 1/3 of patients treated for atrial myxoma may present with a cerebral aneurysm [17]. In this case, the head MR angiography showed a suspicious aneurysm, but it is not responsible for all hemorrhages apparently. After reviewing previous literatures, it seems that intracranial hemorrhages of atrial myxoma are relatively rare, and may be repeated multiple hemorrhages, some bleeding co-exist with subarachnoid hemorrhage without angiographic evidence of aneurysms [2,13]. Another explanation is that cardiac myxoma may break down and travel along the blood stream, and the metastasis can bleed inside [11]. In this case, we believe that these intracranial hemorrhagic lesions may be mainly myxoma metastasis.
Although in this case, the patient did not have irreversible poor prognosis after repeated intracranial hemorrhages and ischemic event after admission, it should alert the clinicians to pay more attention to such various clinical features of myxoma. The repeated hemorrhagic signals in CT due to myxoma may hinder the clinicians to make a correct diagnosis of cerebral ischemia. However, if mxyoma cannot be detected in time, the hemostatic treatment according to the CT presentation may exacerbate cerebral ischemia and catastrophic results, such as acute cardiac dysfunction, ischemic stroke or sudden death, during anesthesia or around the perioperative period. Therefore, cardiac examination, such as echocardiography, should be performed as an alternative screening tool for cardiac myxoma, in case of unclear repeated multiple intracranial hemorrhages, markedly unmatched symptoms. Especially with unmatched symptoms.
There are no definite therapeutic guidelines about further intervention for this disease. Resection of the cardiac myxoma firstly is useful to eliminate the original sources of metastastic lesion, however which cannot completely abolish the risk of delayed cerebral aneurysm formation [17]. However, because cerebral aneurysm from cardiac myxoma are probably multiple and rarely associated with intracranial hemorrhage, most of the patients can be managed conservatively [18]. Antifibrinolytic drug such as aminomethylbenzoic acid can be used to prevent rebleeding [13]. If severe intracranial hemorrhage due to myxoma do occur, excision of large intracranial hematoma and metastatic lesions remains supportive, and is useful in eliminating early neurologic symptoms [13]. For this case, we believe that further intracranial lesions resection is more suitable than consevative therapy. Some authors also suggest that chemotherapy in combination with low-dose radiation for multiple lesions, but there are only four reported cases that received 25-60Gy brain radiation in previous studies,and one of these patients died of enlarging intracranial masses [1,9,13,15].
In summary, the neurosurgical community should be aware that repeated multiple intracranial hemorrhages can be the primary cerebral presentation of cardiac myxoma, probably due to myxoma metastasis, despite no significant ischemic stroke for a period. Routine CT, MR and SWI of intracranial hemorrhagic lesions induced by cardiac myxoma may mimics CAs. Therefore, cardiac examination should be performed in case of unusual multiple intracranial hemorrhages, in order to determine the presence of cardiac myxoma.
CA: Cavernous angioma; CT: Computer tomography; DWI: Diffusion weighted imaging; MR: Magnetic resonance; SWI: Susceptibility weighted imaging
The authors sincerely thank Dr. zakaria shahab for editorial assistance, and this study was sponsored by the National Natural Science Foundation of China (Nos. 81400962 (JS),81571102(WZ)).
The manuscript does not include any new software, databases or all relevant raw data.
JS and YM conceived the project and designed the study. KQ collected patient’s data. WZ and LC provided technical assistance in the study. ZP and PL prepared the illustration. JS and KQ analyzed data and wrote the paper. All authors approved the paper for the submission.
The authors have no personal financial or institutional interest in any of the drugs, materials, or devices described in this article.
Informed consent was obtained from patient for the publication of this report and any accompanying images. A copy of the written consent is available for review upon request.
The manuscript has had ethics approval and consent to participate by medical ethics committee of huashan hospital.
























