
恶性胸、腹腔积液在晚期恶性肿瘤患者的治疗多不理想,本科采用医用三氧水(臭氧水)灌注引流的方法对恶性胸、腹腔积液各1例做治疗,即使用100 ml浓度为18~20.4 μg/ml的医用三氧水灌注引流胸腹腔积液,每日1次,经过治疗,恶性胸、腹腔积液明显减少,其中1例无新生的胸腔积液出现,取得了良好效果。
版权归中华医学会所有。
未经授权,不得转载、摘编本刊文章,不得使用本刊的版式设计。
除非特别声明,本刊刊出的所有文章不代表中华医学会和本刊编委会的观点。
恶性胸、腹腔积液是晚期恶性肿瘤患者中一种常见的并发症,不仅严重影响患者的生活质量,而且由于大量蛋白和电解质渗漏到积液中,加速了患者体能的耗竭,是导致患者死亡的原因之一。其常见的症状包括腹胀、憋气、食欲减退等,有效的治疗可以改善患者的预后。刘毅等[1]研究显示,积液控制患者的中位生存时间为9.0个月,而积液进展的患者仅为2.5个月,积液控制情况是影响患者预后的独立因素。目前治疗方法效果不甚理想,多为化学治疗药物腔内灌注为主线延伸的一系列方法[2];也有生物治疗,但费用昂贵[3]。我科采用医用三氧(medical ozone,O3,简称三氧)水灌注引流治疗恶性胸、腹腔积液,现报告如下。
我科采用的是德国卡特医用三氧设备(智能型),有配套的三氧水制备设备。按机器上的设定模式,用灭菌注射用水与浓度为60 μg/ml的三氧气体充分混合10 min,制成浓度为18~20.4 μg/ml的三氧水,一次可制作800 ml。制备及储存的容器均经过高压灭菌消毒,制备好的三氧水常温下在4 h内使用。在尝试使用医用三氧水灌注引流治疗恶性胸、腹腔积液之前,该项技术已经医院伦理委员会论证通过。两例患者在进行三氧水灌注引流治疗之前,仅进行过胸、腹腔穿刺术进行持续引流,均未应用过恶性膜腔积液公认的治疗方法。
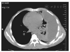
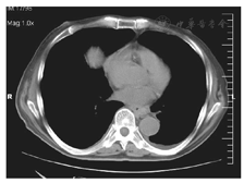
病例1尚某,男,69岁,退休干部,因晚期肝癌合并全身多发性转移,胸部CT示右侧胸腔大量积液入院,见图1。2014年12月16日入院时携带外院已行的"右侧胸腔引流管",每日控制引流胸水1 000 ml,生命征平稳,虚弱卧床,生活自理困难。入院后给予常规的支持治疗,于入院后第2日开始做胸腔三氧水灌注引流,每次注入100 ml,保留2 h后开放引流,每日2次。2 d后胸水开始明显减少,连续5 d。第5日以后24 h引流量仅有10 ml,CT检查报告为微量的积液,见图2。观察2 d无新生的胸水出现,于入院后第10日拔管,再两日患者好转出院。




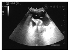
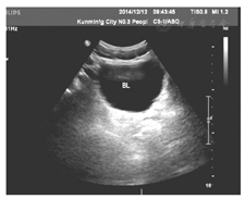
病例2王某,女,71岁,因卵巢癌晚期合并大量腹水于2014年11月25日入院。患者约于1年前被诊断为卵巢癌,行腹腔镜手术(术式不详),经过6次化学药物治疗。于4个月前出现腹腔积液。本次入院主要是因为大量腹水至卧床、呼吸困难,时有腹部疼痛,见图3。入院后的第5日,我们给予腹部穿刺、置入微管持续引流,每日控制引流1 500 ml,引流半月腹水无减少情况,多为渗出性,腹水中有癌细胞检出,患者虚弱。于入院后第20日开始给予三氧水腹腔内灌注引流,每日2次,每次100 ml,灌注后闭管2 h后开放引流。3 d后引流量开始减少,连续7 d后,每日开放引流,24 h腹水量减少至200 ml,渗出液中癌细胞数、红细胞数明显减少。于引流后第9日患者夜间活动时引流管脱落,未再引流。隔日复查B型超声仅为少量腹腔液体,好转出院,见图4、图5。






我们将两例作为个案报告,更多的原因是希望探讨这种方法的科学性和可行性。恶性胸、腹腔积液在临床上是一个困难的治疗,也是癌症姑息治疗中经常面对的临床问题。针对晚期患者,尤其全身情况差时,许多化学治疗药物、手术方法均难以实现,方法选择不当时会严重影响患者的生存。虽然未查阅到相关文献报告过这种方法,但临床疗效给我们鼓舞;这或许是一种简单、而又能解决此难题的方法。
对于三氧的临床应用,我们一直注意了解三氧的作用机理。三氧应用于临床的历史由来已久。第一次世界大战期间德国将三氧用于治疗厌氧菌感染所致的气性坏疽,1935年奥地利的Powles T在德国外科协会年会首次进行了关于三氧应用于外科治疗的演讲,使得三氧真正用于临床[4],从1958年德国人Jaquim Hansler发明可控制浓度的三氧发生器后,三氧在医学领域得到了广泛的应用。在学习了国内外文献后,我们注意到三氧对恶性肿瘤的作用,进而思考如何在临床应用三氧。恶性胸、腹腔积液是临床经常面临的困难,而三氧水能直接作用于肿瘤,可能会有疗效。因此,我们尝试在临床上使用。三氧有很强的氧化性,一遇到组织即发生反应,产生内源性的过氧化氢,过氧化氢可以直接作为细胞毒性因子杀死癌细胞[5]。另外,还可以诱导机体释放肿瘤坏死因子,杀灭肿瘤,抑制肿瘤生长,还可以调节体内抗肿瘤抗体的活性,增强机体的抗肿瘤功能[6]。此外,三氧能促进红细胞的代谢,提高红细胞的携氧能力,增加氧的释放,改善局部组织中缺氧环境,加速创面的愈合[7]。对局部炎性和癌性组织导致溃破的表皮,我们曾用三氧水做局部换药,已经看到了明显的作用。更多的作用机理有待进一步的研究。





















