
阿德福韦酯是常用的抗乙型肝炎病毒药,本文报道两例长期口服低剂量阿德福韦酯后引起的低磷性骨软化症伴腰痛病例,并对此类案例进行经验总结与文献复习,以指导疼痛临床诊疗工作。
版权归中华医学会所有。
未经授权,不得转载、摘编本刊文章,不得使用本刊的版式设计。
除非特别声明,本刊刊出的所有文章不代表中华医学会和本刊编委会的观点。
阿德福韦酯(adefovir)是一种常用的乙型病毒性肝炎(下称乙肝)感染广谱抗病毒药,于2005年在中国上市。据世界卫生组织表示我国每年有33万多例癌症死亡与慢性乙肝病毒感染有关,为预防这些后果,一些患者需要长期服用阿德福韦酯。既往资料显示此药低剂量10 mg/d治疗慢性乙肝病毒感染比较安全,但随着用药时间的延长,长期服用阿德福韦酯对骨代谢的影响可导致各种慢性疼痛,已开始引起临床的关注。现就来我科就诊的两例由此引起的低血磷性骨软化症伴腰痛病例做如下报道。
病例1,男,48岁,逐渐出现左踝关节、左下肢、左髋部疼痛2年后,来疼痛科就诊。疼痛以左侧髋关节处疼痛为主,为活动痛,呈持续性痛,VAS>7,有跛行,左髋叩痛(+),左下肢4字试验(+),骨盆X线片发现左髂骨、左股骨局部骨密度明显降低。骨盆CT未见异常,髋关节CT显示左股骨头及双侧股骨近端骨质密度不均匀,见图1。肿瘤全套检查显示甲胎蛋白13.32 ng/ml,余均正常。碱性磷酸酶317 U/L(正常值为15~112 U/L),尿酸125 μmol/L(男性正常值为210~430 μmol/L),磷0.46 mmol/L(正常值为0.80~1.60 mmol/L),尿素8.2 mmol/L(正常值为2.5~6.4 mmol/L),尿蛋白++++,尿隐血+++。骨髓瘤血液学检测(-),ECT显示:全身多发肋骨、关节骨代谢活跃,见图2。结合SPECT/CT及血磷明显降低,考虑低磷软骨症可能性大。追问既往史,患者有慢性乙型肝炎,服用阿德福韦酯10 mg,1次/d,5年,结合患者低尿酸、高碱性磷酸酶等异常,考虑为阿德福韦酯所致低血磷性骨软化症[1,2],并引起下腰痛。遂嘱患者停用阿德福韦酯,用口服拉米夫定(lamivu-dine)代替,并口服骨化三醇(calcitriol)和碳酸钙D3,促进钙,磷的吸收。疼痛逐渐好转,3个月后,疼痛完全消失,下肢活动恢复正常,血磷,尿酸等各项指标均在正常范围内,见表1。

病例1患者血生化及骨密度变化
病例1患者血生化及骨密度变化
| 指标 | 治疗前 | 治疗后3个月 | 参考值 |
|---|---|---|---|
| 血钙(m m ol/L) | 2.4 | 2.3 | 2.1~2.6 |
| 血磷(m m ol/L) | 0.46 | 1.3 | 0.8~1.6 |
| 血碱性磷酸酶(U/L) | 317 | 97 | 15~112 |
| 血肌酐(μ m ol/L) | 132 | 87 | 30~110 |
| 血尿酸(μ m ol/L) | 126 | 287 | 210~430 |
| 骨密度(左股骨颈T值) | ~2.9 | ~0.3 | -1~+1 |




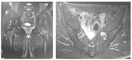
病例2,男,53岁,左髋疼痛半年至疼痛科就诊,活动痛,无法正常行走,VAS为8。左髋关节处叩击痛(+),跛行。曾在其他医院、其他学科就诊,被诊断为"腰椎间盘突出"和"髋关节炎"进行治疗,未见好转,且疼痛逐渐加重,转诊至我科。腰椎磁共振显示为腰椎轻度膨隆,髋关节和骨盆磁共振未见异常,见图3。追问既往史患者有慢性乙肝病史15年,前10年服用拉米夫定(lamivudine)10年,每次10 mg,1次/d;近5年拉米夫定10 mg联合阿德福韦酯10 mg,1次/d。吸取病例1的经验教训,进行血液学生化检测显示血磷0.72 mmol/L(正常值为0.80~1.60 mmol/L),尿酸110 μmol/L(男性正常值为210~430 μmol/L),尿素4.8 mmol/L(正常值为2.5~6.4 mmol/L),24 h尿钙9.73 mmol/24h(正常值为1.3~6.3 mmol/24h),尿蛋白+,尿隐血+++。血沉、碱性磷酸酶均正常,其余检查未见特殊异常。骨密度显示左股骨颈T-score-3.0,Z-score-2.3。排除其他诊断,考虑该患者也是阿德福韦酯致低血磷性骨软化症并伴下腰痛。嘱患者停用阿德福韦酯,继续服用拉米夫定,并口服骨化三醇和碳酸钙D3。1个月后,VAS评分降至1,活动良好。复查血磷0.81 mmol/L,尿酸185 μmol/L,其余化验结果均在正常范围内,见表2。继续治疗随访。

病例2患者血生化及骨密度变化
病例2患者血生化及骨密度变化
| 指标 | 治疗前 | 治疗后1个月 | 参考值 |
|---|---|---|---|
| 血钙(m m ol/L) | 2.36 | 2.41 | 2.08~2.6 |
| 血磷(m m ol/L) | 0.72 | 0.81 | 0.8~1.6 |
| 血碱性磷酸酶(U/L) | 52 | 54 | 15~112 |
| 血肌酐(μ m ol/L) | 99 | 92 | 30~110 |
| 血尿酸(μ m ol/L) | 110 | 185 | 210~430 |
| 骨密度(左股骨颈T值) | -3.0 | -1.6 | -1~+1 |


抗乙肝病毒药阿德福韦酯主要通过肾脏进行代谢,作用于肾脏近曲小管,以原型排泄。随着阿德福韦酯在近端肾小管的不断蓄积,逐渐出现肾小管的功能障碍,于是蛋白、葡萄糖、尿酸盐、碳酸氢盐、磷等从中漏出,出现肾小管性酸中毒,肾脏重吸收磷减少,磷流失绝对量逐渐增多,体内磷总量不断减少。张婷等[3]指出,此可导致低磷血症,同时使骨组织中羟基磷酸钙含量减少,轻者表现为骨量减少,重者表现为骨质疏松,临床称为"低磷性骨软化症"或"低磷性骨质疏松症" 。临床主要表现为骨痛、低磷、低尿酸、骨密度降低,严重者可发生骨折[4,5]。低磷性骨软化症的表现大都比较隐匿,骨痛主要开始于负重部位如下肢及腰骶部,逐步发展到骨盆、脊柱、肋骨和胸廓等。如果未被及时诊断和治疗,疼痛会逐渐加重,由间歇性发作发展为持续性疼痛,并伴活动受限,无法长距离行走,蹲下或起身困难,继之走路摇摆、呈鸭步、行走困难,最严重时甚至无法自己翻身。骨质疏松症诊治指南[6]中指出,此症还可表现为肌肉无力,主要以骨盆周围肌肉明显,常见于上楼梯和坐下时困难。实验室检查主要为血磷降低,血钙正常,血碱性磷酸酶升高,骨代谢指标异常,成骨代谢指标明显升高,破骨指标正常或轻度升高。并且大多伴有尿酸的降低。张楠[2]报道阿德福韦酯致低磷性骨软化症6例,他指出,因为肾小管功能损伤,造成近端肾小管对尿酸的重吸收减低或/和分泌功能增加时,均可导致血尿酸水平降低而致肾性低尿酸血症。
对于长期服用阿德福韦酯的骨痛和下腰痛患者,应同时关注其电解质、肾功能情况,需注意骨软化症的发生,并与骨肿瘤、原发性骨质疏松、风湿免疫性疾病、强直性脊柱炎、腰椎间盘突出症等相鉴别。通过病史、ECT、磁共振等检查可与骨肿瘤和腰椎间盘突出进行区分;通过骨密度、磁共振和血液检查可以同风湿免疫性疾病和强直性脊柱炎进行鉴别。阿德福韦酯引起的骨软化症与原发性骨质疏松相鉴别有一定的难度,有时两者可同时存在。Tana-ka等[7]报道阿德福韦酯引起的骨软化症因肾损害而特征性地表现为血肌酐升高;Kahn等[8]指出,因此可出现低磷血症,从而可导致低血磷性骨软化症[9,10]。张楠等[11]认为骨软化症常以膝、踝关节疼痛为首发表现,并呈向心性、进行性加重,X线表现以骨小梁模糊、假骨折线为特征,抗骨质疏松药及降钙素治疗无效,据此可与骨质疏松症鉴别。
苏淼[12]研究显示长期服用阿德福韦酯的慢性乙型病毒性肝炎患者低磷血症的发生率为27.8%,在已发生低磷血症患者中骨密度异常发生率为60.7%。颜淑敏等[13]与Wu等[14]报道,经总结国内外文献对于阿德福韦酯引起的低磷软骨症进行了分析,发现服药时间、患者年龄、种族因素、遗传因素,嗜酒史等与此病密切相关。刘秀坤等[15]报道阿德福韦酯引起低磷性骨软化的病程进展较为缓慢,一般在用药后3~5年之间出现,患者首次症状出现时间的平均值为(37±17)个月,极小值为6个月,极大值为94月,时间段主要集中在13~48个月,占86.4%。发病年龄主要集中在40~60岁之间,男性多于女性,并且以亚裔居多[16,17]。郑燕等[18]收集上海第六人民医院骨质疏松科在2012年3月至2013年1月期间收治的12例确诊为阿德福韦酯导致的低血磷性骨软化症中有10例曾被误诊,其中3例被误诊为转移性骨肿瘤,2例被误诊为原发性骨质疏松症,2例被误诊为强直性脊柱炎,2例被误诊为骨性关节炎,1例被误诊为腰椎间盘突出症。该病误诊率高,容易被误诊为原发性骨质疏松症、转移性骨肿瘤、强直性脊柱炎等,误诊率高达83.3%。其容易被误诊的原因可能与阿德福韦酯导致低血磷性骨软化症疼痛的多变性、非特异性以及影像学的非特异性、隐匿性等有关。国内药品生产企业的药品说明书中,对其可能引发低血磷症,进而可能导致严重骨软化症的不良反应描述缺失,以及医务工作人员对其可能引发的不良反应认识不足,更加导致了此类病例的误诊和漏诊。
一旦发现为口服阿德福韦酯引起的低磷性骨软化症性骨痛,应立刻停用阿德福韦酯,替换其他抗病毒药,并给予磷剂和维生D3及钙剂等治疗。经过上述治疗后一般3个月左右下腰痛明显缓解,关节活动功能逐渐恢复正常,血磷等生化指标和肾功能亦恢复至正常范围内。
本文报道的两例患者比较典型,都是超过5年长期服用阿德福韦酯的慢性乙型肝炎患者,有下腰痛并伴低磷血症、尿酸降低、骨密度明显呈骨质疏松等骨代谢异常,符合低血磷性骨软化症的临床诊断。而且停用阿德福韦酯、调节骨代谢治疗,明显改善了患者的疼痛和骨代谢指标。因此,考虑是长期使用阿德福韦酯所导致的异常结果。本文的两例患者年龄在45~55岁之间,都以左侧髋关节处疼痛为主。在本科就诊前均出现了误诊的情况,此类病例之前在疼痛科报道较少,通过对此两例患者的分析和报道加深了对阿德福韦酯引起的下腰痛的认识。
本病例报道的目的是提醒疼痛科医师在诊断下腰痛的患者时,除了常规诊断,还应该关注患者的既往史和用药史,以免误诊和漏诊,也提示我们疼痛科医生在日常工作中需要更多地了解各种药物的副反应。





















