
介绍1例行体外受精-胚胎移植(in vitro fertilization and embryo transfer, IVF-ET)、出现宫角妊娠合并宫腔粘连并成功活产的病例。
对本院1例重度宫腔粘连分解术后行IVF-ET病例发生宫角妊娠合并宫腔粘连的临床资料进行分析,并对相关文献进行系统性回顾。
该病例于孕36+3周行子宫下段剖宫产术,成功活产一男婴。
宫角妊娠是可能危及生命的妇产科急症,但对于妊娠困难的患者,严密监测及期待治疗可获得良好的妊娠结局。
版权归中华医学会所有。
未经授权,不得转载、摘编本刊文章,不得使用本刊的版式设计。
除非特别声明,本刊刊出的所有文章不代表中华医学会和本刊编委会的观点。
宫角妊娠是胚胎种植在接近子宫与输卵管开口交界处的子宫内妊娠。因宫角肌层组织薄弱,又是子宫、卵巢及输卵管血管吻合处,血运丰富,随孕周增长,有可能肌层破裂,引起失血性休克而危及患者生命。宫角妊娠和间质部妊娠的致死率为2.0%~2.5%,占异位妊娠导致死亡的20%[1,2] ,因此提倡早发现早诊断早治疗,传统多为手术治疗。随着体外受精-胚胎移植(IVF-ET)及宫腔环境不良患者逐年增多,严密监测及期待疗法为该类患者提供了生育可能。本文回顾性分析本中心重度宫腔粘连分解术后行IVF-ET致宫角妊娠合并宫腔粘连,而后成功分娩的病例,以期为临床提供借鉴。
患者, 25岁,原发不孕4年,平素月经规则, 2011年于本院行排卵监测及卵巢功能检查均正常,男方精液正常,本院子宫输卵管造影示:双侧输卵管不通,子宫缩小,考虑宫腔粘连(不排除结核所致)。2012年8月在湖北省人民医院三维彩色超声检查示:宫腔粘连并双侧输卵管积水。2012年9月于本院生殖中心行IVF,采卵18个,获冷冻胚胎4枚,囊胚1枚,未移植,术前子宫内膜诊刮未见结核改变。2012年10月本院三维彩色超声示宫腔粘连, 11月在本院行宫腹腔镜手术:腹腔镜下见盆腔粘连严重,子宫后位,偏小,双侧宫角部膨大向外突出,双侧卵巢外观无异常,双侧输卵管发育欠佳,右侧积水,左侧呈慢性炎症改变,施行左侧输卵管离断,右侧输卵管切除术。宫腔镜下见子宫下段粘连带,右侧宫腔封闭,分解粘连后可见右侧宫角及输卵管开口,基本恢复正常形态。术后给予抗炎,补佳乐(德国拜耳公司)修复内膜治疗。
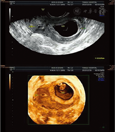
患者于2013年11月15日在本院生殖中心行冻融胚胎移植(FET), 2枚胚胎移植后22 d因阴道出血住院保胎治疗15 d, ET 34 d行B超检查示宫内1个孕囊, 20 mm ×15 mm,胚芽8 mm×3 mm,原始心管搏动好。2013年12月30日三维彩色超声复查示:宫腔左侧角部妊娠[宫腔左侧3.1 cm×2.0 cm孕囊无回声,头臀长(CRL)1.8 cm,可见心管搏动。左侧肌壁厚度0.27 cm, 图1],胚胎存活,宫腔粘连(宫腔右侧可见单层厚度0.2 cm内膜显示,与宫腔不连续)。入院观察, 2014年1月6日三维彩色超声检查示:宫腔左侧角部妊娠(宫腔左侧4.4 cm×3.1 cm孕囊, CRL2.6 cm,左侧肌壁厚度0.34 cm),胚胎存活,宫腔粘连(宫腔右侧可见0.5 cm内膜与宫腔不连续,内可见宽度0.7 cm带状低回声分隔)。患者要求出院观察。2014年2月10日三维彩色超声检查示:左宫角妊娠,左角部肌壁厚0.24 cm,胎盘附着子宫左角部全周及左底部。单活胎(相当于孕14+6周)。入院观察1周,期间向患者交代子宫破裂大出血危及生命风险,患者要求出院继续保胎。孕期门诊常规产检及严密观察。


En示与宫腔不连续内膜; GS示孕囊;绿箭头示左宫角肌层厚度
2014年7月9日患者因停经36+3周,咳嗽4 d伴阴道流水1 d入院。7月10日在腰麻下行子宫下段剖宫产术,左枕前(LOA)位娩出一活男婴, Apagar评分8~9分。术中见胎盘致密粘连子宫壁上,人工剥离胎盘后,见子宫前壁,底部及左侧角部呈皮囊样,出血较多,子宫收缩差,给予欣母沛(美国法玛西亚普强制药公司)0.25 mg宫体部注射,行双侧子宫动脉上行支结扎,并给予宫腔球囊压迫止血,检查胎盘,胎膜凌乱,脐带附着于胎膜。术中输浓缩红细胞4 U,血浆200 mL,术后给予抗炎及促子宫复旧处理,术后第1日拔出水囊,术后5 d,阴道出血少,切口愈合好,新生儿饮食、大小便及精神正常,出院。
宫角妊娠指受精卵于子宫角部着床、生长和发育。英文文献中常用cornual pregnancy表示宫角妊娠,但常将cornual pregnancy和输卵管间质部妊娠混为一谈[3,4],也有学者将双角子宫妊娠,或纵隔子宫妊娠称为cornual pregnancy[5,6]。直到1982年Maher和Grimwade指出着床位于正常子宫的一角也应该称为cornual pregnancy, 23版威廉姆斯产科学支持该定义[7]。由于容易引起歧义,有学者提出摒弃cornual pregnancy的说法,采用angular pregnancy表示宫角妊娠[8]。早在1898年, Kelly首先提出了angular pregnancy的概念:胚胎着床位于子宫与输卵管连接部的中间,即子宫外侧角[9]。直到90年后, 1981年Jansen和Elliot在腹腔镜辅助下提出了宫角妊娠(angular pregnancy)的诊断标准: ①临床表现为子宫不对称性增大伴患侧疼痛,后流产或分娩; ②直视下子宫一侧增大,破裂或未破裂,伴随圆韧带横向移位; ③胎盘滞留在子宫角[10],该标准目前还缺乏直接的临床评价,需进一步证实及完善。
宫角妊娠和间质部妊娠在早期难鉴别,易混淆,严格区分两者,对治疗方案及结局是关键。1992年, Timor-Tritsch等[11]提出了超声诊断输卵管间质部妊娠的3个标准(特异性88%~93%,灵敏度40%): ①宫腔内未见孕囊, ②孕囊独立位于子宫一侧,距离宫腔>1 cm, ③孕囊周围包绕的子宫肌层<5 mm。1993年, Ackerman等[12]描述了输卵管间质部妊娠诊断标准(特异性98%,灵敏度80%):宫角部回声线接近孕囊中部,孕囊位于子宫内膜之外。相反的,宫角妊娠最重要的特征是孕囊位于子宫内膜之中。三维彩色超声技术的发展,为早期明确妊娠部位提供了可能。经阴道三维彩色超声灵敏度更高,可以更清楚地显示完整的子宫内膜回声线及子宫肌层[13,14],有文献报道[15],采用三维彩色超声确诊而二维彩色超声未提示输卵管间质部妊娠的病例。如果三维彩色超声无法明确,还可以采用核磁共振成像(MRI)辅助诊断[16]。因为钆可以通过胎盘,因此在孕期采用非增强MRI[17,18]。如突出子宫外侧包块被相对T2低信号肌层包绕,和/或者显示极低T2信号的结合带在包块和T2高信号子宫内膜之间,可以确诊间质部妊娠[5,19,20]。如突出子宫外侧包块主要被T2高密度子宫内膜包绕,则提示为宫角妊娠,因难与正常妊娠区分,相邻子宫肌层薄和/或者胎盘侵入子宫肌层可作为辅助证据支持宫角妊娠[5]。在手术中,国内学者通常将妊娠包块位于圆韧带内侧者诊断为子宫角妊娠,而将妊娠包块位于圆韧带外侧者,诊断为输卵管间质部妊娠[21]。
间质部妊娠和宫角妊娠的处理及结局是不同的。曾报道过1例间质部妊娠活产,这是极其罕见的情况[22],但普遍认为间质部妊娠活产的可能性小[23]。有报道输卵管间质部膨胀至妊娠16周,若继续妊娠,一般均会发生破裂,对胎儿及母体都有致命的危险,致死率是其他输卵管妊娠的2倍[24]。通常采用手术治疗,包括开腹手术、腹腔镜手术、宫角造口术、输卵管切开术、腹腔镜下宫角切除术、宫角楔形切除、微宫角切除和子宫切除术等[25]。未破裂的间质部妊娠在有症状但生命体征稳定的情况下也可以选择药物终止妊娠[26]。药物治疗包括氨甲喋呤(MTX)[4,27,28],和超声引导下MTX注射或KCl注射异位孕囊,前者对于早期妊娠更好。未破裂且无症状的输卵管间质部妊娠伴随b-hCG值下降提示自然流产可能也可行观察治疗[27,29]。
Parker等[5]在综述中指出,宫角妊娠着床的位置在子宫内膜中,有正常生产可能,属于宫内妊娠。一篇Meta分析报道了39例宫角妊娠的结局[10], 38.5%的患者出现了自然流产和稽留流产,对宫角妊娠,粗略估计子宫破裂者占13.6%。考虑到子宫破裂的严重后果,宫角妊娠的处理通常考虑治疗性流产。传统治疗方式为经腹子宫角楔形切除术,为了更好地保护患者生育能力,开展了宫腔镜下清宫术,腹腔镜手术, B超引导下行介入治疗、药物治疗等等。或者依据患者对继续妊娠的企盼度,及权衡风险后可选择严密观察、期待治疗。如出现严重的腹痛,一般需行手术排除间质部妊娠[30],但若超声检查确认疼痛是由宫角妊娠引起的,可待孕中期缓解[31]。
宫角妊娠与其他异位妊娠的一般危险因素相似,包括盆腔炎,盆腔手术史以及辅助生殖技术(assisted reproductive technology, ART)的广泛使用[32]等等。在ART中,移植胚胎时移植导管培养液过多,压力过大,导管朝向输卵管开口以及刺激子宫收缩,或炎性分泌物导致胚胎逆行移向输卵管[33],均可导致胚胎着床偏于宫角部。
本病例慢性盆腔炎、重度宫腔粘连手术史、IVF-ET术后受孕、早孕先兆流产症状及三维彩色超声征象均符合宫角妊娠的诊断。由于患者妊娠艰难,宫腔环境差,再次妊娠机会渺茫,充分沟通病情后,采取期待观察疗法,定期严密随访整个孕期,最终在医患密切配合下成功分娩一评分良好的男婴。这一成功案例,给部分妊娠困难、宫腔环境差的宫角妊娠患者带来了希望,也为妇科医生对宫角妊娠的诊治提供参考。





















