
探讨超声引导深静脉置管技术在经外周置入中心静脉导管(peripherally inserted central catheter,PICC)失败新生儿中的应用价值和安全性。
回顾性选取2011年1月至2016年10月我院常规PICC置管失败、改为超声引导下深静脉置管的新生儿,分析置管成功率、并发症发生率及预后情况。
共纳入常规PICC置管失败改超声引导下深静脉置管的新生儿16例,均成功(16/16),平均置管时间(64.4±42.5) min,导管留置时间为(21.8±8.5) d。术后发生导管脱落1例,导管相关性感染2例,皮肤淤血2例。中位随访时间622(22~1 082) d ,患儿均未出现水肿、血肿、神经损伤等并发症,超声复查示穿刺处血管轻度狭窄2例(2/10),中度狭窄1例(1/10)。
超声引导深静脉置管技术成功率高,安全性较好,可成为PICC置管困难新生儿的替代方案。
版权归中华医学会所有。
未经授权,不得转载、摘编本刊文章,不得使用本刊的版式设计。
除非特别声明,本刊刊出的所有文章不代表中华医学会和本刊编委会的观点。
经外周置入中心静脉导管(peripherally inserted central catheter,PICC)应用于新生儿中心静脉压监测、肠外营养支持或中心静脉给药,在新生儿重症监护病房已广泛应用[1,2,3]。但新生儿常规法PICC置管术一次性穿刺成功率为67.6%~83.3%[4,5],且可导致穿刺点出血、水肿、感染、静脉狭窄、血栓等并发症[6,7]。对于早产儿,尤其是极低出生体重儿,成功建立中心静脉通路尤为困难,一次穿刺成功率仅为43%~52%[8,9]。因此,如何为PICC置管失败的新生儿成功建立中心静脉通路,是新生儿重症医学中的难题之一。有研究显示在超声引导下直接穿刺深静脉并经鞘置入PICC导管作为PICC置管失败的替代方案,技术成功率高,安全性较好[10]。本研究选取本院常规PICC置管失败采用超声引导下深静脉置管术的新生儿,对其置管成功率、相关并发症及预后进行回顾性分析。
选取2011年1月至2016年10月本院新生儿重症监护病房常规法PICC置管失败后改为超声引导下穿刺置管的新生儿进行回顾性分析。纳入标准:(1)预计需要两周及以上肠道外营养;(2)尚未建立胃肠道营养;(3)无其他中心静脉通路;(4)常规法PICC置管失败。
(1)患儿性别、胎龄、出生体重、Apgar评分、入院诊断、出院体重、置管前静脉通路情况;(2)置管部位、置管处深静脉直径、导管头位置、操作时间、导管留置深度及留置时间;(3)相关并发症,包括血肿、局部感染、导管相关性感染、血栓形成等。
患儿平卧,先用超声仪(MyLab50,意大利百胜公司)观察双侧股静脉和颈内静脉,首选右股静脉穿刺。常规皮肤消毒、铺巾,采用超声平面外法穿刺深静脉,超声下取静脉的横断面,并使静脉位于图像正中,采用Seldinger技术使套管针穿至目标血管,退出针芯保留外套管,在0.018′′导丝(日本Termu公司)导引下使外套管完全进入目标静脉,再将导管送入,超声监视下调整导管头端并使之位于腔房交界处,回血通畅后撕脱外套管,并固定导管。置管前家属均签署知情同意书。
(1)主要观察指标:①置管成功:能将导管插入深静脉,并将导管头端送至右心房与腔静脉交界处;②置管时间:从超声引导穿刺深静脉至超声确认导管头端位于右心房与腔静脉交界处所需时间;③导管留置时间:导管留置患儿体内的时间。(2)次要指标:相关并发症,包括出血、肢体水肿、感染、血栓形成等。若合并感染或怀疑导管相关感染者,拔除导管后取导管头端进行细菌培养。(3)随访:患儿出院前及随访时观察肢体有无水肿、血肿、感染等,并通过超声观察穿刺部位深静脉是否狭窄或闭塞。
应用SPSS 11.0统计软件进行分析。符合正态分布的计量资料以
±s表示,组间比较采用t检验;非正态分布的计量资料以中位数(范围)表示;计数资料以例(%)表示。P<0.05为差异有统计学意义。
研究期间本院共收治7 468例新生儿,行PICC置管1 059例,常规法PICC置管失败16例,占1.51%(16/1 059),其中男8例,女8例;胎龄25~33周;出生体重750~2 200 g,平均(1 211±370) g;重度窒息4例,轻度窒息3例;低出生体重儿4例,极低出生体重儿5例,超低出生体重儿7例,呼吸衰竭8例,新生儿窒息5例,新生儿呼吸窘迫综合征4例,新生儿肺炎11例,低血糖2例。置管前静脉通路为脐静脉7例,外周静脉9例。PICC置管失败原因为外周静脉纤细穿刺失败12例,穿刺成功但导管头端不能到位4例。
16例患儿经超声引导下深静脉置管均成功。其中13例行右侧股静脉穿刺成功,3例右侧股静脉穿刺失败后行左侧股静脉穿刺2例、行右侧颈内静脉穿刺1例。穿刺处股总静脉平均直径(1.7±0.3) mm,1例行右颈内静脉置管患儿静脉直径3.9 mm。平均置管时间(64.4±42.5) min,平均留置时间(21.8±8.5) d。16例中前5例与最后5例平均置管时间分别为(90.0±17.7) min和(39.0±7.4) min ,差异有统计学意义(P=0.010);但穿刺处深静脉直径差异无统计学意义(P=0.497)。
超声引导置管术中均未出现动脉损伤、神经损伤、穿刺部位血肿、血栓形成及下肢水肿等并发症。2例穿刺部位皮肤淤血,未经特殊处理自行恢复;1例患儿术后8 d因烦躁致导管脱出;6例行导管头端培养,其中1例(左侧股静脉置管)患儿为铜绿假单胞菌阳性,置管后19 d出现穿刺部位皮肤红肿,予拔管并局部外敷左氧氟沙星软膏后恢复正常。
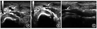
16例患儿因坏死性小肠结肠炎合并多器官衰竭死亡2例,死亡时间分别为置管后35 d和66 d;4例电话随访,10例门诊随访,中位随访时间622(22~1 082) d ,门诊随访病例均行穿刺部位彩超检查。所有随访患儿两侧下肢对称,无水肿、感觉或运动障碍等异常;彩超复查2例右股静脉穿刺患儿出现穿刺处血管轻度狭窄(图1);1例右股静脉出现中度狭窄,表现为局部管壁增厚,管径减小(图2)。其中,深静脉中度狭窄患儿置管术耗时95 min,导管留置时间为19 d;余患儿相应部位深静脉血流均通畅,无静脉血栓形成。




新生儿尤其是早产儿因血管纤细导致PICC置管失败率高[11,12],首次穿刺成功率仅37%~60%[13,14],且并发症发生率较高[15]。胎龄小和出生体重低被认为是新生儿PICC穿刺失败的独立危险因素[16]。较大患儿常规PICC穿刺失败时,直接穿刺深静脉并置入导管的"非典型"方法常用于临床[10]。但新生儿PICC常规法穿刺失败应用超声引导下行深静脉置管的安全性,以及对血管的远期影响尚未见报道。
本院近4年行PICC置管共1 059例,失败16例。这些常规法穿刺失败患儿主要原因为外周静脉条件差,穿刺针进入静脉后导丝跟进困难并致静脉痉挛,但深静脉(股静脉、颈内静脉)与其他患儿差异不大,因此本组患儿采取超声定位下直接穿刺深静脉,并置管成功,成功率为100%。但因新生儿深静脉管径小(股总静脉仅为1.7 mm左右)、操作空间有限、操作人员技术欠熟练等原因,此项技术初始置管时间较长,但经过学习后置管时间明显缩短。本组后5例患儿较前5例置管时间明显缩短,差异有统计学意义。
有研究表明,超声引导能够对穿刺部位血管进行准确评估、显示血管走行并实时监控针尖位置,能明显提高穿刺的准确度并避免损伤相邻动脉、神经等[17,18,19]。本组病例采用超声引导深静脉置管技术的主要难点在于穿刺针穿刺深静脉成功但难以置入导丝,可能因为穿刺鞘管和静脉的角度大,导丝引入困难,建议将穿刺针尽量与皮肤水平,进入血管点位于股总静脉距离皮肤最浅表处,且导丝应在无阻力状态下前进,否则易损伤血管、或置于血管鞘内。本组有3例首次超声引导下穿刺置管失败,更换穿刺部位后获得成功。
新生儿静脉细,直接穿刺是否会造成远期狭窄或闭塞是目前关注的问题。穿刺血管狭窄及栓塞的发生率随穿刺次数增多、导管留置时间过长而增高[20,21]。本组病例出院时(包括2例死亡患儿)穿刺部位与穿刺侧肢体体格检查均无异常,随访时彩超复查穿刺处深静脉有3例(3/10)出现轻-中度狭窄,表现为局部管壁增厚、管径减小,但血流通畅,远期预后还有待随访。
综上,超声引导下深静脉置管对于常规PICC难以成功的新生儿特别是早产儿及低体重儿成功率较高,且安全性较好。但本研究为回顾性研究,缺乏对照组,病例数较少,无长期随访结果,病例均由同一医生操作,研究结果依赖于医生的熟练技巧,还应进一步行前瞻性、大样本研究。





















