
PURA综合征是一种以智力障碍和言语、运动发育迟缓为特征的常染色体显性遗传病。新生儿期主要表现为喂养困难、肌张力低下、呼吸功能不全、精神运动发育严重迟缓等。国内目前未曾报道。本文报道1例PURA综合征新生儿期的临床表现、基因测序结果,以加强临床医生对本病的认识。
版权归中华医学会所有。
未经授权,不得转载、摘编本刊文章,不得使用本刊的版式设计。
除非特别声明,本刊刊出的所有文章不代表中华医学会和本刊编委会的观点。
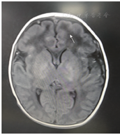
患儿男,生后4 d余,因"吸吮力弱、吃奶差3 d伴皮肤黄染1 d"入院。患儿系第2胎第2产,胎龄41周顺产娩出,无窒息史,出生体重3 900 g。生后吸吮力弱,吃奶少,第3天出现皮肤黄染,遂收入院。父母非近亲结婚,无特殊疾病家族史。入院查体:生命体征平稳,体重3 610 g,头围34.5 cm,身长52 cm,哭声低,皮肤中度黄染,心肺腹查体无异常。四肢肌张力低,原始反射减弱。入院时血清总胆红素262.5 μmol/L。入院2 h患儿出现呼吸减慢,经皮血氧饱和度低于0.90,予以鼻导管吸氧。血常规、C反应蛋白正常,血氨、血乳酸正常,TORCH-IgM阴性,甲状腺功能正常,胸部X线片、头颅B超、心脏B超正常,脑脊液及血尿串联质谱检测正常。头颅磁共振成像回报T1像发现额部稍低信号影(图1)。入院后行遗传病全外显子组家系检测,结果回报:父母基因检测均无异常,患儿为PURA(NM-005859.4)Exon1:c.98dupG;p. (Gly34fs)移码突变,提示5号染色体长臂3区1带PURA基因发生了移码突变,诊断PURA综合征。住院期间患儿吸吮力进行性减弱,需管饲喂养,呼吸浅慢、不能离氧,少哭少动,四肢肌张力尤其双下肢肌张力明显低下,家长考虑预后差,自动出院。出院后电话随访,曾在外院行高压氧治疗,但效果不明显,于生后1个半月余死亡。


PURA蛋白指富含嘌呤的元素结合蛋白A,由PURA基因编码,从细菌到人类高度保守。该蛋白具有多种作用,包括控制基因的活性并帮助修复DNA,参与神经细胞的生长和分裂、髓鞘的形成及成熟,促进神经冲动的有效传递,对正常的大脑发育尤为重要[1]。PURA综合征即PURA基因变异导致的一系列临床症状。PURA基因位于5q31区带q31.3位点,5q31.3微缺失可导致PURA综合征相关症状[2]。本病新生儿期主要表现为喂养困难,肌张力低下,呼吸功能不全,随后出现精神运动发育严重迟缓等。本病罕见,目前国内未曾报道。全球大约有70例PURA综合征报道。Reijnders等[3]对32例PURA综合征(含22例先前报道发病的病例)进行分析,显示新生儿期症状包括肌张力减退(96%)、喂养困难(77%)、过度嗜睡(66%)、呼吸系统疾病(57%)、夸大的惊恐反应( 44%)和体温过低(35%),该研究对32例患儿面部照片进行计算分析,显示微妙的面部畸形,认为新生儿期"肌病面容"可能有助于临床诊断,但未发现基因型-表型之间的强相关性。本例患儿无明显异常面部特征。英国Hunt等[4]对1 000多例不明原因的智力障碍患儿进行全外显子测序,发现4例PURA基因突变,导致严重的神经发育迟缓和学习障碍,患儿新生儿期肌张力减低和喂养困难,其中1例出生1周时头颅磁共振成像出现不均匀斑片状衰减信号影,额部尤为明显。本例患儿头颅磁共振成像亦在额部有信号减低影。如临床发现新生儿生后无诱因出现肌张力减低、喂养困难、呼吸功能不全,除与Prader-Willi综合征、先天性脊肌萎缩症、肌营养不良等相鉴别外,可考虑PURA综合征,尽早行遗传学全外显子检测以明确诊断。
所有作者均声明不存在利益冲突





















