
门体静脉分流是一种罕见的门静脉与体静脉之间存在异常吻合的血管异常,临床表现多样,可累及多系统,常在产前明确诊断或偶然发现。本文报道1例以多发性血管瘤为主要表现伴EPHB4基因变异的新生儿门体静脉分流病例,以提高临床医生对该病的认识。
版权归中华医学会所有。
未经授权,不得转载、摘编本刊文章,不得使用本刊的版式设计。
除非特别声明,本刊刊出的所有文章不代表中华医学会和本刊编委会的观点。
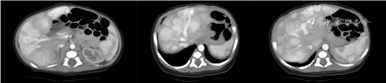
患儿女,因“生后肤色发绀25 min”入院。患儿系第2胎第1产,胎龄37+5周因“胎儿发育异常”剖宫产娩出,生后无窒息,出生体重3 310 g。母孕22周发现胎盘绒毛膜血管瘤、胎儿肝内门体静脉分流Ⅳ型。入院查体:肤色发绀,全身可见散在红色斑疹,头部、左侧肩胛骨、右前臂、背部等可见大小不等片状不规则黑色斑记,最大6 cm×3 cm,其上可见少量毛发附着,见图1A。心肺腹查体无异常,肌张力可。入院时血小板98×109/L,逐渐恢复正常。肝功能、凝血功能、血氨等无异常。肝脏超声提示肝内门体静脉分流Ⅳ型,肝脏实质回声不均。上腹部CT平扫+增强考虑门体静脉分流(Ⅳ型),腹腔干梭形膨大,肝内多发结节及斑片状异常密度影,考虑多发血管内皮细胞瘤,见图2。皮肤镜示浅表血管瘤样改变。诊断:先天性门体静脉分流(congenital portosystemic shunts,CPSS)Ⅳ型。经吸氧发绀缓解;缓慢加奶可耐受;多磺粘多糖乳膏局部护理皮肤,效果不佳,且皮疹进行性增多、增大,见图1B。日龄16 d在首都儿科研究所就诊,皮肤活检提示血管瘤,经皮肤科、介入科、儿外科综合评估后,给予口服普萘洛尔治疗,治疗3个月血管瘤数量和范围有增多、增大趋势,治疗6个月后血管瘤明显减少,见图1C、D,监测血氨、肝功能均正常。生后30 d全外显子基因回报:患儿及其父亲EPHB4基因chr7:100416271存在c.1298-5C>T杂合变异,母亲EPHB4基因chr7:100416271为野生型,见图3。






CPSS是一种罕见的门静脉与体静脉之间存在异常吻合的血管异常,体静脉可为肝静脉、下腔静脉、肾静脉、脾静脉或其他静脉[1],我国新生儿发病率为1/25 000~1/10 000[2]。CPSS因先天性胚胎血管发育异常、肝内肿块、胆汁淤积、静脉导管未闭所致,根据异常吻合的位置可分为肝内、肝外分流[3],肝内门体静脉分流根据分流部位可分为4型:Ⅰ型为门静脉右支通过单一的大血管与下腔静脉沟通,最常见;Ⅱ型为局限于一个肝段的门静脉分支向肝静脉分流;Ⅲ型为瘤样扩张的门静脉分支向肝静脉分流;Ⅳ型为多个肝段门静脉分支向肝静脉分流[4]。CPSS肝内分流常无症状,多在产前诊断或偶然发现。肝外分流常发现较晚并伴随并发症。CPSS临床表现多样,新生儿期常见并发症有半乳糖血症、胆汁淤积、肝功能异常、高氨血症、高胆汁酸血症、肺动脉高压、先天性心脏病、肝结节等,少见并发症有低血糖、皮肤血管瘤等[5]。本例患儿以皮肤及肝脏多发血管瘤为主,血小板一过性降低,肝功能、血氨及凝血功能等均正常,产前诊断CPSS,结合生后肝脏超声及上腹部CT结果,CPSS Ⅳ型诊断明确。
近年来有人提出CPSS可能存在基因或先天发育异常[6]。本例患儿检出EPHB4基因变异,该基因变异与毛细血管畸形(capillary malformation,CM)-动静脉畸形(arteriovenous malformation,AVM)综合征2有关,也为预测及发现高流量脉管畸形提供了重要依据。CM-AVM是一种以皮肤多灶性CM伴或不伴高流量血管病变为特征的常染色体显性遗传性疾病,2017年被分为RASA1基因变异导致的CM-AVM 综合征1和EPHB4基因变异导致的CM-AVM综合征2[7],目前尚无统一诊断标准,文献检索未发现新生儿CM-AVM综合征2的报道。本例为首次报道新生儿门体静脉分流、皮肤血管瘤与EPHB4之间存在联系,考虑混合型脉管畸形,EPHB4基因杂合变异来自父亲,该基因相关疾病为常染色体显性遗传,不能排除EPHB4基因变异导致多发血管畸形的可能,但患儿家长拒绝进一步行家系验证。既往有报道多发性皮肤和肝血管瘤接受受体阻滞剂治疗2年后完全恢复,随即出现CPSS和脑动静脉畸形,但基因筛查未见阳性结果[8]。
CPSS的治疗包括保守治疗、经导管栓塞、分流血管结扎和肝移植,主要根据分流类型、分流比、患者年龄和并发症选择治疗方案。部分肝内CPSS可在2岁前自然关闭,但其他分流,尤其是肝外门体分流可能持续终生,还有严重危及生命并发症的风险[9]。本例患儿口服普萘洛尔治疗3个月时血管瘤无好转,可能因为处于增殖期,治疗6个月疗效明显,但仍需长期随访观察。
薛蕊, 张娟娟, 汪瑜, 等. 新生儿门体静脉分流伴多发性血管瘤合并EPHB4基因变异1例[J]. 中华新生儿科杂志, 2023, 38(5): 301-302. DOI: 10.3760/cma.j.issn.2096-2932.2023.05.009.
所有作者声明无利益冲突





















