
心力衰竭(心衰)患者脑卒中、肺栓塞和周围动脉栓塞事件比一般人群高,但窦性心律心衰患者的抗凝治疗存在争议。本文报告一例窦性心律扩张型心肌病心衰患者,住院期间出现急性大面积脑梗塞的治疗及抢救过程,结合文献介绍窦性心律心衰患者抗凝治疗策略,以期在临床工作中更为规范管理心衰患者的抗凝治疗,避免住院期间严重栓塞事件的发生。
版权归中华医学会所有。
未经授权,不得转载、摘编本刊文章,不得使用本刊的版式设计。
除非特别声明,本刊刊出的所有文章不代表中华医学会和本刊编委会的观点。
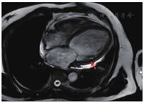
患者男性,57岁,因"胸闷、气短5年,再发加重一周"于2019年4月29日入院。患者5年前(2014年)开始出现胸闷、气短不适,体力活动较前稍有下降,当地医院诊断为"扩张型心肌病",给予对症处理后症状好转,长期口服培哚普利、螺内酯、琥珀酸美托洛尔缓释片。2016年症状再发,当地医院行超声心动图检查:左心室舒张末期内径(left ventricular end-diastolic diameter, LVEDD)63 mm,左心室射血分数(left ventricular ejection fraction, LVEF)44%。冠状动脉造影示:冠状动脉硬化,继续药物治疗,未规律复查。一周前患者感冒后咳嗽、咳痰,胸闷、气短逐渐加重,稍重体力活动即感胸闷,夜间可平卧入睡,偶有阵发性呼吸困难,双下肢无水肿,为进一步诊治就诊我院门诊,门诊以"扩张型心肌病"收治入院。既往发现血压高10年,最高150/120 mmHg(1 mmHg = 0.133 kPa),目前口服培哚普利,血压控制不详。入院体格检查:体温36.5 ℃,脉搏106次/min,呼吸频率21次/min,血压145/97 mmHg。神志清楚,颈软,颈静脉无怒张;双肺呼吸音清,双肺未闻及干湿性啰音;心界不大,心率106次/min,律不齐,可闻及早搏,约15次/min,各瓣膜听诊区未闻及杂音;腹平软,无压痛及反跳痛,肝脾肋下未及;双下肢无水肿,双侧足背动脉搏动对称、良好。辅助检查:血常规:中性粒细胞百分率52.90 %,白细胞计数、红细胞计数、血红蛋白水平、血小板计数均正常;凝血功能:凝血酶原时间17.4 s,活化部分凝血活酶时间(activated partial prothrombin time, APTT)25.9 s,凝血酶原时间国际标准化比值(international normalized ratio, INR)1.15;血生化:血钾4.42 mmol/L,血清肌酐99 μmol/L,肾小球滤过率73 mL/min,血清尿酸631 μmol/L;N末端B型利钠肽前体(N terminal pro-B type natriuretic peptide, NT-pro BNP)2430.00 pg/mL;心肌酶谱:心肌肌钙蛋白T 18 ng/L(参考范围0~14 ng/L);血浆D-二聚体0.34 mg/L。心电图:窦性心动过速,心率103次/min,QRS 142 ms,室内传导延迟,室性期前收缩(室早)。超声心动图:左心房前后径55 mm,右心房前后径52 mm,LVEDD 68 mm,LVEF 36%,左心扩大,右房扩大,室间隔、左室壁运动幅度普遍减低,二、三尖瓣轻-中度返流,肺动脉高压(轻度),左心收缩功能减低,心包少量积液。胸片:肺淤血,肺无实变,右膈光整,左侧胸腔少量积液。主动脉结宽,肺动脉段平,左心房、室增大。心胸比率:0.56。综上诊断:1.扩张型心肌病,心功能Ⅲ级(NYHA心功能分级);2.心律失常,室性期前收缩;3.高血压病3级(极高危)。患者入院后给予沙库巴曲缬沙坦、美托洛尔、呋塞米及螺内酯口服。患者入院后频繁发作室性期前收缩(室早),并发作室性心动过速(室速),给予静脉泵入尼非卡兰可转复为窦性心律,同时加用口服胺碘酮治疗室性心律失常,静脉24 h持续泵入左西孟旦改善心功能。入院第9天(2019年5月8日)行心脏磁共振成像检查(图1)示:LVEDD 71 mm,左心室收缩末期内径(left ventricular end-systolic diameter, LVESD)66 mm,LVEF 15%,右心室射血分数(right ventricular ejection fraction, RVEF)27%,左心室扩大,左心室收缩功能明显减低,右心室收缩功能减低,左心室血栓形成,大小分别为2.2 cm×1.2 cm及2.2 cm×0.7 cm,心肌灌注显像显示心肌未见明显缺血,心肌延迟显像显示室间隔及左室下壁基底段至中间段心肌中层纤维化形成。当日复查超声心动图示:LVEDD 71 mm,LVEF 28%,1、左心扩大,右心房扩大;2、左心室血栓形成(室间隔处可见稍高回声团附着,范围约5.3 cm×1.2 cm);3、室间隔、左室壁运动幅度普遍明显减低;4、二、三尖瓣轻度反流;5、肺动脉高压(轻度);6、左心收缩功能减低;7、心包少量积液。立即给予肝素抗凝治疗,APTT维持40~60s。患者入院后经规范药物治疗,心功能仍为Ⅲ~Ⅳ级,且存在频发室早,短阵室速,抗心律失常药物治疗效果不佳,猝死风险高,遂于入院后第10天(2019年5月9日)行心脏再同步治疗-除颤起搏器(cardiac resynchronization therapy-defibrillator, CRT-D)植入术,术后继续肝素抗凝治疗,术后第3天(2019年5月11日)患者突发失语,右侧肢体偏瘫,肌力0级,考虑急性脑血管意外,急诊行头颈部CTA检查(图2)示:左侧大脑中动脉起始部及以远闭塞,左侧大脑前动脉A2段以远闭塞可能。复查超声心动图提示未见心室血栓,考虑心室血栓脱落所致,神经内科急会诊后建议急诊取栓手术,于发病后约2小时行急诊取栓术,术后患者神志清楚、四肢肌力恢复正常,但仍失语。患者脑梗塞急性期,出血风险高,多次复查心脏彩超未见心室血栓,神经内科会诊建议低剂量抗凝预防血栓形成,术后给予利伐沙班片15 mg,1次/d,口服抗凝治疗,行血浆抗Xa活性测定为0.27IU/L,考虑抗凝有效。取栓术后第2天(2019年5月12日)复查头颈部CTA(图3)提示原左侧大脑中动脉起始部及左侧大脑前动脉A2段以远均显影良好,原闭塞已通畅。患者于2019年5月23日康复出院。随访6个月(见表1),患者LVEDD显著缩小,LVEF及NT-pro BNP水平恢复正常,遗留吐词不清。







随访6个月患者心脏结构和功能变化及用药情况
随访6个月患者心脏结构和功能变化及用药情况
| 指标 | 住院 | 1个月 | 3个月 | 6个月 | |
|---|---|---|---|---|---|
| 血压(mmHg) | 145/97 | 125/72 | 116/70 | 112/65 | |
| 心率(次/min) | 106 | 80 | 72 | 70 | |
| 室性心律失常 | 室早,室速 | 无 | 无 | 无 | |
| 超声心动图指标 | |||||
| 左心室舒张末期内径(mm) | 71 | 73 | 67 | 57 | |
| 左心室射血分数(%) | 28 | 33 | 37 | 50 | |
| 心室血栓 | 有 | 无 | 无 | 无 | |
| 口服药物 | |||||
| 沙库巴曲缬沙坦 | 25 mg,2次/d | 50 mg,2次/d | 100 mg,2次/d | 100 mg,2次/d | |
| 琥珀酸美托洛尔缓释片 | 23.75 mg,1次/d | 47.5 mg,1次/d | 47.5 mg,1次/d | 95 mg,1次/d | |
| 螺内酯 | 20 mg,1次/d | 20 mg,1次/d | 20 mg,1次/d | 无 | |
| 利伐沙班 | 15 mg,1次/d | 15 mg,1次/d | 15 mg,1次/d | 无 | |
| 胺碘酮 | 200 mg,1次/d | 200 mg,1次/d | 无 | 无 | |
从全球范围来看,心力衰竭(心衰)正成为一个越来越严重的临床问题,其发病率和死亡率较高。慢性心衰(chronic heart failure, CHF)患者常常处于高凝状态,容易导致左心室附壁血栓形成及血管栓塞事件(包括脑卒中、心肌梗死、肺栓塞及深静脉血栓等)的发生,其血栓形成可能机制包括:(1)CHF患者心腔扩大、舒张及收缩功能降低、局部室壁运动异常和合并心房颤动(房颤)都会使心腔内血流缓慢淤滞导致血栓形成;(2)严重CHF患者激活了凝血系统,引起血浆粘滞度、纤维蛋白原、凝血酶-抗凝血酶Ⅲ复合物、血纤维蛋白肽A和D-二聚体水平升高。(3)CHF患者神经内分泌系统被激活,导致内皮损害/功能不全,内皮功能不全可促进单核细胞和血小板轴附在内皮组织上,诱发血栓形成;(4)CHF患者微循环血流缓慢致组织缺氧,造成组织与血管一系列损伤,促其释放大量组织因子如肿瘤坏死因子和其他细胞因子,从而导致促血小板活化因子增加,增加了血小板的聚集、趋化,并可激活凝血系统,促进或导致血栓形成。因此,CHF患者进行充分有效的抗凝对于预防和治疗血栓事件的发生至关重要。目前对于合并房颤的CHF患者抗凝治疗已成共识,推荐常规抗凝治疗。但对于窦性心律且既往无血栓事件发生的CHF患者抗凝治疗仍存在争议。HELAS研究[1]显示窦性心律血栓事件发生率低(2.2%/年),抗栓治疗不能获益。WASH试验[2]、WATCH研究[3]均未能证实抗凝治疗在合并窦性心律的CHF患者中有获益。另有一项窦性心律CHF患者抗凝治疗的meta分析结果显示,对于窦性心律CHF患者,通过口服抗凝药物,改善血液高凝状态并不能改善患者的死亡率,抗凝治疗可能降低血栓栓塞风险,但是出血风险明显增加[4]。这可能是窦性心律的CHF患者未能通过抗凝治疗获益的主要原因之一。《中国心力衰竭诊断和治疗指南2014》[5]指出:CHF出现血栓栓塞事件发生率较低,每年1%~3%,一般无需常规抗凝或抗血小板治疗。SAVE研究[6]显示,心衰患者LVEF越低,脑卒中风险越高;LVEF每下降5%,脑卒中风险就增高18%。NOMAS研究[7]证实,LVEF下降是缺血性脑卒中的危险因素,心衰患者血栓栓塞事件随LVEF降低而进一步升高。因此,对于窦性心律合并LVEF值极低的患者,可考虑抗凝治疗预防血栓形成。另外,对于窦性心律心衰患者进行血栓风险预测评估,可以指导抗凝治疗。CHA2DS2-VASc评分一直用于房颤患者的卒中和血栓栓塞风险,而Melgaard等[8]的研究显示,该评分也可用于心衰患者的卒中和血栓栓塞风险评估。研究发现,心衰患者不管是否伴有房颤,其缺血性卒中、血栓栓塞和死亡风险均随着CHA2DS2-VASc评分的增加而增加。对于一般房颤人群而言,卒中风险>1%/年常被作为确定患者长期口服抗凝治疗获益可能大于出血风险的分界点。在心衰人群中,CHA2DS2-VASc评分≥2分且无房颤患者,其卒中风险高于1%/年。因此,CHA2DS2-Vasc评分≥2分的患者,可以考虑抗凝治疗。
此外,关于口服抗凝药物的选择,由于应用华法林需频繁监测INR,使患者的依从性降低。然而,既往评估窦性心律CHF患者的抗凝试验没有包括新型口服抗凝药。目前COMMANDER研究[9]结果显示,低剂量利伐沙班不能降低射血分数降低、合并冠心病,但无房颤的CHF恶化患者的复合终点事件。MARINER研究[10]尽管未达到症状性静脉血栓栓塞(venous thromboembolism, VTE)和VTE相关死亡的主要复合终点,但利伐沙班显著减少了非致命性症状性VTE的发生。此外,该研究再次证实了利伐沙班的安全性。两个研究均显示,新型口服药物抗凝治疗不能改善窦性心律心衰患者的结局,但全因死亡中多数为心衰死亡,而血栓事件导致的死亡发生相对较少。因此,在窦性心律CHF患者中应用新型抗凝药物的益处仍有待于进一步证实。
综上所述,基于本案例,针对窦性心律CHF患者,不常规抗凝治疗,但合并既往血栓栓塞史、左心室血栓形成、极低LVEF值、左心室室壁瘤、显著心腔扩大之一者,可以考虑抗凝治疗。无论是否伴有房颤,对心衰患者进行CHA2DS2-Vasc评分,评分≥2分的患者,可以考虑抗凝治疗;新型口服抗凝药物能否使窦性心律CHF患者的获益,需进一步研究。
所有作者均声明不存在利益冲突





















