
结蛋白肌病主要表现为下肢对称性远端肌无力,部分病例累及心肌和心脏传导系统。本文报道1例少见的结蛋白肌病病例,双侧心室心肌受累导致心力衰竭以及传导系统受累导致束支传导阻滞。
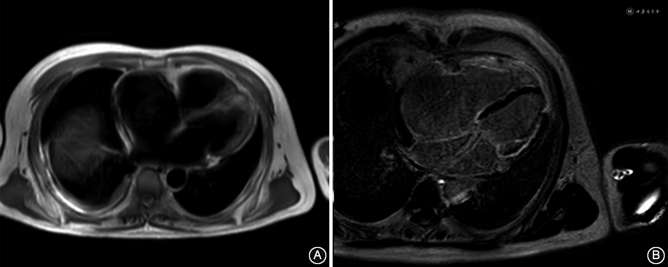
患者男性,48岁,因“间断呼吸困难8年,双下肢水肿2年,加重3月”于2020年6月11日就诊于吉林大学第一医院。既往因双下肢无力伴小腿肌肉萎缩30年,行肌电图检查提示肌源性损害,肌肉活检病理为肌营养不良改变。基因测序结果提示结蛋白(Desmin,DES)基因第8外显子区域纯合错义突变(c.1366G>A),编码氨基酸p.G456R(甘氨酸>精氨酸)。先证者父母为非近亲婚配,均为该位点杂合变异携带者,无肌无力等临床表现。辅助检查:血清肌酸激酶(creatine kinase,CK)223 U/L。N末端B型利钠肽前体(N terminal-pro B type natriuretic peptide,NT-proBNP)1 770 pg/mL。心肌肌钙蛋白I(cardiac troponin I,cTnI)正常范围。血气分析示:氧分压89 mmHg(1 mmHg = 0.133 kPa),二氧化碳分压34 mmHg。心电图示:窦性心律,不完全性右束支传导阻滞,左前分支传导阻滞,房性期前收缩和室性期前收缩(图1)。核素肺通气-灌注显像未见异常。肺功能检查示:用力肺活量占预计值的48%,提示限制性通气功能障碍。超声心动图示:左心室射血分数(left ventricular ejection fraction,LVEF)46%(M型Teichholz法),右心室内径26 mm,右心房径54 mm×64 mm,右心室壁搏动弥漫性减弱,三尖瓣环收缩期位移(tricuspid annular plane systolic excursion,TAPSE)12 mm,三尖瓣重度返流。心脏磁共振成像(magnetic resonance imaging,MRI)(图2)示:左心房、左心室内径正常,右心房前后61 mm,右心室横径43m,延扫扫描示:左心室侧壁、心尖部、右心室壁弥漫条形强化,部分呈透壁样强化,LVEF 35%,心输出量2.61 L/min。临床诊断:结蛋白肌病心肌损害、右心扩张、全心衰竭、心功能3级(NYHA分级)、心律失常、右束支传导阻滞、左前分支传导阻滞、房性期前收缩、室性期前收缩。给予利尿(呋塞米、螺内酯口服)、强心(地高辛口服)治疗,沙库巴曲/缬沙坦50 mg 2次/d口服,患者呼吸困难缓解,夜间阵发性呼吸困难和双下肢水肿消失。2个月后复查NT-proBNP 1 090 pg/mL。而后患者因“心悸1天”于2020年12月18日再次就诊于我院。体格检查:脉搏98次/min,呼吸19次/min,血压112/70 mmHg。颈静脉无怒张,双肺呼吸音粗,未闻及啰音。心率98次/min,律不齐,剑突下可闻及2/6级收缩期吹风样杂音。双侧腓肠肌萎缩。肌力检查:双下肢远端Ⅳ级,双足背伸Ⅱ级。辅助检查:B型钠尿肽(B type natriuretic peptide,BNP)934 pg/mL。地高辛浓度:0.43 ng/mL。血清离子及cTnI水平正常范围。动脉血气分析(鼻导管吸氧,氧流量3L/min)示氧分压103 mmHg,二氧化碳分压37 mmHg。患者心悸发作时未做心电图,入院后心电图示:异位心律,阵发性心房扑动(2∶1传导),非特异性室内传导阻滞、QT间期延长(图3)。超声心动图示:LVEF 29%(M型Teichholz法),右心室前后径34 mm,右心房径55 mm×68 mm,TAPSE 8 mm,右心功能减低,三尖瓣中度返流。心房扑动诊断明确,入院第5天患者行心脏射频消融术+临时起搏器植入术:术前食管超声心动图及左心房CT未见左心房及左心耳血栓,术中应用星形标测电极,标测结果为三尖瓣峡部逆钟样折返心房扑动,沿三尖瓣峡部行线性射频消融(图4),心房扑动终止恢复窦性心律,间断出现交界性心律,给予心脏临时起搏,术后HV间期69 ms。患者术后心电图示窦性心律,非特异性室内传导阻滞,QT间期延长。术后第2天拔除临时起搏器,出院后给予利尿(呋塞米口服)、抗凝(利伐沙班口服)、辅酶Q10治疗,因血压较低,沙库巴曲/缬沙坦减量为25 mg,2次/d口服,嘱患者定期随访复查。








结蛋白肌病(desmin myopathy)是肌原纤维肌病的一种亚型,其致病基因——DES基因位于染色体2q35,含有9个外显子[1]。结蛋白肌病发病年龄2~48岁,男女均可患病,家族病例主要呈常染色体显性遗传[2]。本例患者父母均为变异基因的携带者且均未发病,先证者为纯合子,符合常染色体隐性遗传的特征。该病主要表现为下肢对称性远端肌无力,部分病例累及心肌和心脏传导系统[3]。本病例患者肌无力伴肌萎缩,血清CK升高,肌电图和肌肉活检病理均符合肌病的临床特征。有报道,结蛋白尾部参与中间丝动力的调节,其突变多引起心肌损伤[4]。本例患者DES基因突变位点为编码结蛋白尾部结构的区域(c.1366G>A),导致甘氨酸被精氨酸取代,致使该结构域构象发生改变,肌细胞对与收缩有关的机械力敏感性增加,引发心肌和骨骼肌的收缩功能障碍,并促发心肌重塑。
超声心动图、心脏MRI可明确心肌病变范围和程度以及定量评估心脏功能。结蛋白肌病相关的心肌病目前以扩张型心肌病或限制型心肌病最常见。本例患者入院多以体循环淤血为主要临床表现,超声心动图提示右心损害为重,符合限制型心肌病相关表现,但心脏MRI提示左心室心肌亦受累,LVEF值明显减低,故本例患者为双侧心室心肌受累,这在结蛋白肌病导致的心肌损害中较为少见。本病例患者右心房扩张,导致右心房重构,有利于形成折返环路,致使心房搏动过快,最终导致心房扑动的发生。相反,由于心房扑动时心房失去辅助泵功能以及心房、心室运动失同步性,可进一步诱发和加重心力衰竭,两者形成恶性循环,可明显降低活动耐量。此外,结蛋白还表达于蒲肯野纤维及闰盘,因此,结蛋白肌病常引起传导阻滞型心律失常[5]。本病例患者心电图表现为非特异性室内传导阻滞,提示了心脏传导系统受累。如病变加重,则可发生分支水平的完全性房室传导阻滞,导致患者出现晕厥或心原性猝死。
目前结蛋白肌病心肌损害缺乏特异性的治疗。临床治疗仅可借鉴心力衰竭的指南[6]。对于心力衰竭合并心房扑动的患者,给予积极的射频消融术治疗心房扑动,使房室同步性运动,有利于改善心力衰竭患者的预后。本病例患者应用强心、利尿药物而未应用β受体阻滞剂,考虑其负性肌力作用可能加重右心衰竭。本例患者应用抗心力衰竭药物治疗后症状缓解,NT-proBNP水平降低。但是发作心房扑动后复查超声心动图提示心功能较前减低,提示心房扑动导致的房室失同步可降低抗心力衰竭药物疗效。而心力衰竭合并心房扑动患者行射频消融术的长期疗效有待进一步观察。慢性心力衰竭晚期患者可考虑心脏移植[7],然而肌病导致的呼吸肌损害并发呼吸衰竭仍可导致死亡,因此心脏移植的获益可能有限。由于结蛋白肌病存在线粒体功能的异常,因此给予辅酶Q10、曲美他嗪等改善能量代谢的药物可能有益[8]。由于心脏传导系统弥漫性病变,若患者出现严重的缓慢型心律失常,指南推荐植入永久起搏器[9]。
结蛋白肌病心肌损害导致的心力衰竭、严重心律失常以及呼吸肌受累并发呼吸衰竭是患者预后不良的直接因素。本病例患者表现为全心衰竭、束支传导阻滞和心房扑动,限制性通气功能障碍提示已经存在呼吸肌受累,因此,推测远期预后不佳。
所有作者均声明不存在利益冲突





















