
限制型心肌病(RCM)是一种混合型心肌病,主要表现为心室壁僵硬度升高伴限制性舒张功能障碍。而心肌淀粉样变(CA)是导致RCM的常见病因之一。部分CA患者,尤其是免疫球蛋白轻链型(AL型)CA可以合并多发性骨髓瘤(MM)。本文报道1例MM合并AL型CA,临床表现为RCM的病例。
版权归中华医学会所有。
未经授权,不得转载、摘编本刊文章,不得使用本刊的版式设计。
除非特别声明,本刊刊出的所有文章不代表中华医学会和本刊编委会的观点。
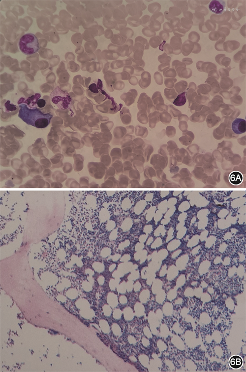
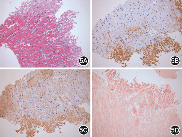
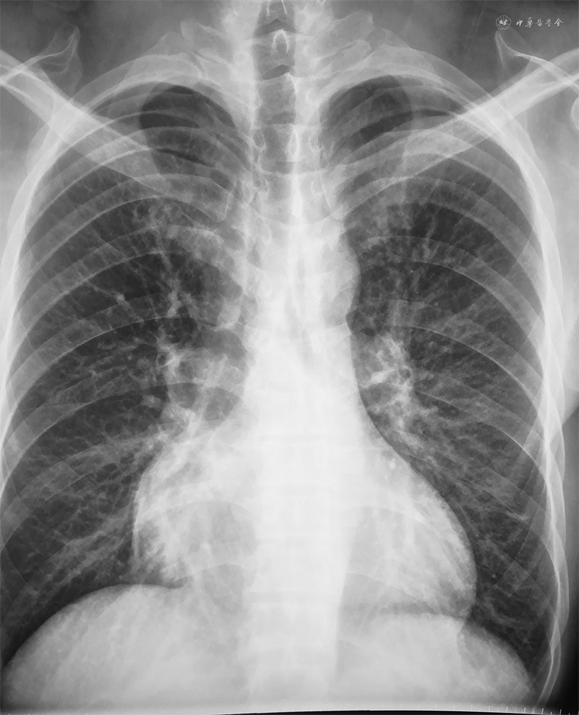
患者男性,41岁,主因“劳力性气短1月,加重1周”于2019年7月17日入院。2019年6月初活动后出现气短,不伴胸闷、胸痛、咽喉部紧缩感及肩背部放射痛,稍事休息可缓解,未诊治。7月10日起气短加重,劳动耐量较前下降,稍活动即感气短,平卧位时亦有气短发作,坐起后可缓解,不伴尿量减少、腹胀及双下肢水肿,为明确诊治来诊。既往史:否认高血压、糖尿病史。2019年4月15日因发热、咳嗽,最高体温为38.4 ℃,于外院行胸部CT示右肺中叶及左肺下叶炎性病灶,部分纤维化,少量心包积液,予抗感染、止咳等治疗后发热、咳嗽缓解。5月10日因左侧头疼伴左半身麻木、呃逆、呕吐行头颅磁共振成像(magnetic resonance imaging,MRI)检查提示急性脑梗死,经改善脑循环、脑保护、稳斑等治疗,无明显后遗症。个人史:吸烟史20年,平均20支/日。入院查体:神志清楚,半卧位,血压100/60 mmHg(1 mmHg=0.133 kPa),颈静脉无怒张,双肺呼吸音清,未闻及干、湿性啰音。心率105次/分,律齐,P2>A2,各瓣膜听诊区未闻及病理性杂音,移动性浊音阴性,双下肢无水肿。心电图:心率96次/分,V1-V4导联R波递增不良(图1)。胸片:双肺纹理增重,心界扩大(图2)。血常规、肝肾功能、电解质、凝血正常范围。心肌肌钙蛋白I(cardiac troponin I,cTnI)0.06 ng/mL,N末端B型利钠肽前体(N terminal-pro B type natriuretic peptide,NT-proBNP)6645.9 pg/mL。动脉血气分析:酸碱度(pH)7.409,二氧化碳分压(PCO2)33.5 mmHg,氧分压(PO2)70.4 mmHg。冠状动脉造影示:未见斑块及有意义狭窄。超声心动图示(图3):双心房增大,左心室、右心室稍大,左心室壁稍增厚,右心室壁厚约3.5 mm。二尖瓣舒张期血流频谱呈双峰,E/A>2。估测肺动脉收缩压约为37 mmHg,左心室射血分数32%,缩短分数15%,左心室舒张末期容积128mL,左心室收缩末期容积87mL,每搏量41mL,心输出量3.18L/min。心脏MRI检查示(图4):双心房增大,左心室壁稍厚,心肌首过灌注示未见明显异常灌注减低或缺损,延迟扫描示室间隔中段可见壁间线状强化,左心室下壁、侧壁及右心室游离壁可见广泛心内膜下强化。心内膜活检及心肌免疫组化示(图5):心肌细胞轻度肥大,心肌细胞间可见淀粉样物质沉积,刚果红染色(+),轻链λ(+),甲状腺素转运蛋白(transthyretin,TTR)(+)。血清免疫球蛋白测定示血清游离轻链(serum free light chain,sFLC)κ 7.67 mg/mL,λ 97.5 mg/mL↑,λ/κ比值(12.7)明显升高。尿本周蛋白:轻链κ 6.63 mg/L,轻链λ 3.66 mg/L。骨髓象及活检(图6):间质内浆细胞散在或灶性浸润(CD138+,κ-,λ+,VS38c+,MUC1散在+,约占15%),局灶可疑有淀粉样物质沉积(刚果红染色弱阳性)。骨髓流式:CD38+CD138+CD27+,轻链λ限制性表达。全身低剂量CT平扫示:颅骨、肩胛骨、肱骨、肋骨、颈、胸椎椎体、骶骨、髂骨、股骨等部位骨皮质变薄,骨小梁稀疏。据上述结果最后确诊为“多发性骨髓瘤、限制型心肌病(心肌淀粉样变)、心功能Ⅳ级(NYHA分级)”。入院后予口服螺内酯20 mg,1次/d,呋塞米10 mg,1次/d,贝前列素钠40 μg,3次/d,比索洛尔片5 mg,1次/d,辅酶Q10,10 mg,3次/d及重组人B型利钠肽治疗,气短症状明显缓解,夜间平卧位休息。后行BD方案(硼替佐米、地塞米松)化疗,化疗第3日患者心功能突发恶化,不能平卧,伴腹胀及双下肢浮肿,遂停止化疗,再次予重组人脑利钠肽及利尿治疗后心能明显改善,可耐受日常活动及平卧位,后症状好转后出院。院外患者规律口服贝前列素钠、螺内酯、呋塞米、比索洛尔等药物治疗,但2020年3月15日于院外猝死。












限制型心肌病(RCM)是一种室壁僵硬度升高导致心室舒张功能显著下降为特点的心肌疾病,属混合型心肌病,可分为特发性、家族性或继发于不同的系统性疾病。其诊断依据为:心室限制性舒张功能障碍,伴一侧或双侧心室舒张末期容积或收缩末期容积正常或缩小,室壁厚度正常,并除外缺血性心肌病、心脏瓣膜病、心包疾病和先天性心脏疾病[1]。临床表现为左和(或)右心衰竭,如乏力、气短、体力活动受限、水肿、晕厥、栓塞或各种心律失常等。心电图可有巨大P波、传导阻滞、低电压或R波递增不良表现。超声心动图是最重要的检查手段之一,二维超声心动图其特点为心房增大,心室正常或缩小,部分患者表现为巨大心房。M型超声表现为室壁偏厚,活动明显减低,舒张期左心室内径变小,容积减小,射血分数及短轴缩短率明显减小。多普勒超声可见二尖瓣、三尖瓣关闭不全,二尖瓣口血流呈限制性充盈障碍表现,E峰高尖,E/A>2,E波减速时间缩短,等容舒张时间缩短等。心脏MRI检查是超声心动图的重要补充,除有助于同缩窄性心包炎鉴别外,结合钆显像可明确RCM的分类[2]。本例患者以劳力性气短、不能平卧就诊,化验NT-proBNP水平升高,符合左心功能不全表现。心电图提示左房增大,伴V1-V4导联R波递增不良,超声心动图提示双心房增大、E/A>2,符合限制型充盈障碍表现。超声心动图提示左心室壁可见点状强回声,结合心脏MRI晚期钆增强,心肌活检刚果红染色阳性可确诊RCM、心肌淀粉样变(cardiac amyloidosis,CA)。
根据淀粉样蛋白前体物质的化学性质不同,CA可以分为:①原发性:又称免疫球蛋白轻链型(AL型)CA,以免疫球蛋白轻链沉积为主,90%患者sFLC升高;②继发性:血清淀粉样蛋白A(AA型)沉积;③遗传性:TTR基因突变致TTR突变体沉积;④老年性:野生型TTR沉积;⑤单纯心房性:心房利钠肽沉积[3]。本例患者虽然心肌组织免疫组化提示免疫球蛋白轻链λ与TTR染色均呈阳性,但考虑不除外TTR免疫组化假阳性,结合其他化验检查结果,考虑为AL型CA。
据中国多发性骨髓瘤(multiple myeloma,MM)诊疗指南(2015修订版),本例患者满足:①骨髓活检示浆细胞比例≥10%,②血浆免疫球蛋轻链λ单克隆增高,③全身多发骨质疏松,且骨髓流式检测CD38+CD138+CD27+,λ轻链限制性表达,可确诊MM。MM是一种恶性浆细胞疾病,常伴多器官功能障碍,如贫血、感染、肾功能障碍、骨质破坏、淀粉样变性等。MM致淀粉样变性常累及舌、皮肤、心脏、胃肠道等,累及心脏者可表现为继发性RCM[4]。CA患者预后较差,心衰恶化和恶性心律失常是常见死因,其中位生存率与血清cTnI及NT-proBNP等标志物水平相关。依据AL型CA患者的Mayo 2004预后分期系统(表1),该患者cTnI 0.06 ng/mL,NT-proBNP 6645.9 pg/mL,评为Ⅲ期[5],其中位生存期为3.5月,预后差。本病的治疗主要针对病因及心衰的控制,马法兰、硼替佐米、地塞米松、泼尼松常用于MM治疗,但本例患者心功能差,不能耐受BD方案化疗。针对心衰的控制,因血压低下,不能耐受血管紧张素转化抑制剂、血管紧张素Ⅱ受体1型阻断剂药物。因合并脑梗死予阿司匹林抗血小板治疗,呋塞米利尿减轻水钠储留,螺内酯及比索洛尔纠正心衰,辅酶Q10改善心肌代谢治疗后气短症状仍间断发作。本例患者于院外突发猝死,推测发生恶性心律失常室速、室颤可能。

Mayo 2004预后分期系统
Mayo 2004预后分期系统
| 评价指标及阈值 | 分期 | 中位生存期(月) |
|---|---|---|
1. NT-proBNP>332 ng/L 2. cTnT>0.035 μg/L或cTnI >0.01 μg/L | Ⅰ期:2个指标均低于阈值 | 26.4 |
| Ⅱ期:1个指标高于阈值 | 10.5 | |
| Ⅲ期:2个指标高于阈值 | 3.5 |
注:NT-proBNP为N末端B型利钠肽前体,cTnT为心肌肌钙蛋白T,cTnI为心肌肌钙蛋白I
所有作者均声明不存在利益冲突





















