
维拉帕米敏感性室性心动过速(verapamil sensitive ventricular tachycardia,VSVT)相关的心动过速性心肌病(tachycardia induced cardiomyopathy,TICM)少见,以心原性休克起病时容易误诊。本文报告一例以“QT间期延长继发心室颤动和心原性休克”为首发表现的VSVT导致的TICM,并通过文献回顾,总结该病的临床特点和治疗原则。
版权归中华医学会所有。
未经授权,不得转载、摘编本刊文章,不得使用本刊的版式设计。
除非特别声明,本刊刊出的所有文章不代表中华医学会和本刊编委会的观点。
患者男性,14岁,主因“反复心悸2年,胸闷、气短2周,意识丧失1次”于2019年11月25日入院。2年前开始,患者反复于活动时出现心悸,持续1~3天不等,数十天发作一次,因日常生活不受限而未诊治。2周前心悸再发,后因受凉出现胸闷、气短,日常活动耐量明显下降。2天前于县医院就诊,超声心动图提示:全心扩大(具体不详)。1天前转入市医院,住院期间反复发作室性心动过速(室速),胺碘酮治疗效果不佳,电复律3次不成功,于当夜突发意识丧失,心电监护提示心室颤动(室颤),电除颤后转为窦性心律,急诊转入我院。入院查体:体温36.5 ℃,脉搏84次/分,血压107/65 mmHg(1 mmHg=0.133 kPa)(多巴胺5 μg·kg-1·min-1)。右下肺呼吸音低。心尖搏动位于左侧第5肋间锁骨中线外3 cm处,心界叩诊向左下扩大。各瓣膜听诊区未闻及杂音。双下肢无水肿。入院心电图(图1A)提示:窦性心律,心率84次/分,胸前导联R波递增不良,Ⅱ、Ⅲ、aVF导联T波倒置,校正QT间期(corrected QT interval,QTc)502 ms。生化检查示:N末端B型利钠肽前体(N terminal-pro B type natriuretic peptide,NT-proBNP)9 322pg/mL;超敏心肌肌钙蛋白T(high sensitivity cardiac troponin T,hs-cTnT)0.021 ng/mL(参考值范围0~0.014 ng/mL);心肌酶:肌酸激酶(creatine kinase,CK)311 U/L(参考值范围50~310),肌酸激酶同工酶(CKMB)25 U/L(参考值范围0~24);肝功能:谷丙转氨酶(alanine aminotransaminase,ALT)170 U/L,谷草转氨酶(aspartate aminotransferase,AST)76 U/L;肾功能:血肌酐55 μmol/L。血电解质:血钾3.51 mmol/L,血钠136 mmol/L,血镁0.94 mmol/L。初步诊断考虑为重症心肌炎可能,不排除心肌病。



患者历次超声心动图检查结果
患者历次超声心动图检查结果
| 检查日期 | 左心房 前后径 (mm) | 左心室舒张 末期内径 (mm) | 左心室射 血分数 (%) |
|---|---|---|---|
| 第一次住院 | |||
| 2019-11-26(住院第2天) | 39 | 55 | 39 |
| 2019-11-29(住院第5天)床旁 | - | 47 | 42 |
| 2019-12-4(出院当日)床旁 | - | 47 | 49 |
| 2020-1-4(出院后1月) | 27 | 48 | 62 |
| 2020-5-25(出院后6月) | 24 | 49 | 68 |
| 第二次住院 | |||
| 2020-7-8 | 24 | 48 | 74 |
入院后1小时室速发作,心电图(图1B)示:心室率127次/分,QRS波形呈右束支传导阻滞(right bundle branch block,RBBB)伴电轴左偏,QRS波宽度146 ms。给予维拉帕米5 mg静脉注射后转为窦性心律。给药后半小时患者胸闷、气短,血压下降至74/38 mmHg,多巴胺加量至8 μg·kg-1·min-1。2小时后室速再发,维拉帕米5 mg静脉注射后再次转为窦性心律,后以3 mg/h静脉泵入维持。
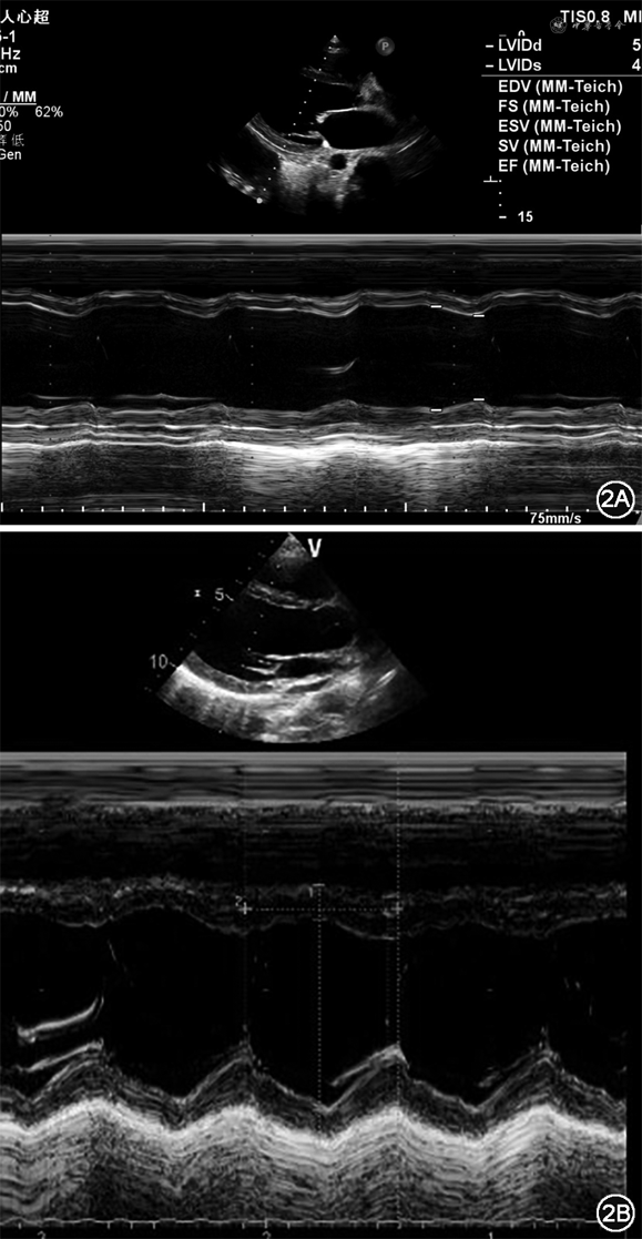
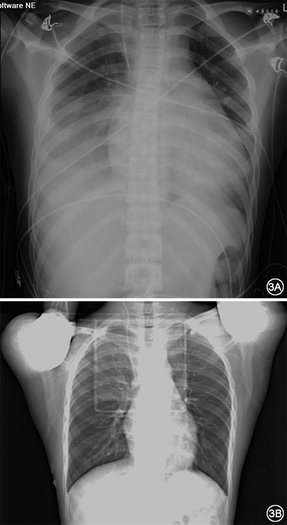
住院第2天(11月26日)超声心动图示:左心房前后径(left atrial diameter,LAD)39 mm,左心室舒张末期内径(left ventricular end-diastolic diameter,LVEDD)55 mm,左心室射血分数(left ventricular ejection fraction,LVEF)39%。超声心动图结论:符合心肌受累疾患超声改变,全心增大伴二三尖瓣少量返流,轻度肺动脉高压,少量心包积液(图2A)。床旁胸片提示:全心增大伴双侧胸腔积液(图3A)。26日上午室速再发,心室率130次/分,在静脉基础上加用口服维拉帕米80 mg,3次/d。夜间出现频发室性期前收缩(室早),R on T,随即演变为室颤(图1C和图4),患者抽搐,电除颤1次转为窦性心律,仍见频发R on T室早,后以利多卡因50 mg静脉注射,后以4 mg/min静脉泵入,室早明显减少;即刻查血钾3.84 mmol/L,血钠133 mmol/L,血镁0.99 mmol/L。当天查心电图提示:QTc=541 ms(心率78次/分)。






住院第3天(11月27日)仍有室速发作,心室率111次/分,再次给予维拉帕米5 mg静脉注射,半小时后患者觉胸闷、气短明显,伴全身湿冷及双下肢花斑,血压70/50 mmHg,多巴胺加量10 μg·kg-1·min-1,口服维拉帕米停服一次;当日下午患者再次出现全身湿冷,血压下降,给予静推多巴胺,加用去乙酰毛花苷注射(西地兰)强心,维拉帕米调整为60 mg 4次/d。复查心电图:QTc=458 ms(心率85次/分),利多卡因2 mg/min持续泵入。
住院第4天(11月28日)仍有室速,心室率110次/分,数小时后自行转复。28日患者血压开始回升,逐步停用多巴胺。复查心电图:QTc=429 ms(心率69次/分),利多卡因2 mg/min持续泵入。
住院第5天(11月29日)心电监护提示有长13 s的尖端扭转性室速(Torsade de pointes,Tdp)发作,但自行转复,患者无意识丧失,仅有头晕不适。复查心电图:QTc=528 ms(心率80次/分)。当日复查血钾4.0 mmol/L,血钠135 mmol/L,血镁1.09 mmol/L。加用美西律200 mg,4次/d口服,停用利多卡因,加用酒石酸美托洛尔12.5 mg,2次/d,沙库巴曲缬沙坦25 mg,2次/d。床旁超声心动图提示:LVEDD 47 mm,LVEF 42%。
住院第6天(11月30日)仍有室速,心室率105次/分,持续3小时自行转复,维拉帕米减量至40 mg,4次/d。此后室速未再发作,于12月2日维拉帕米减量至40 mg,3次/d。复查心电图:QTc=481 ms(心率60次/分)。美西律减量至200 mg,3次/d。
住院第10天(12月4日)安排患者出院,出院时心电图(图1D):QTc=483 ms(心率49次/分)。复查胸片(图3B)提示:双侧胸腔积液消失,心影明显回缩。复查床旁超声心动图示:LVEDD 47 mm,LVEF 49%。NT-proBNP 154.8pg/mL。
出院医嘱:沙库巴曲缬沙坦25 mg,2次/d,酒石酸美托洛尔25 mg,2次/d,维拉帕米40 mg,2次/d,美西律200 mg,3次/d。
因患者心电图QT延长,后通过高通量测序遗传性基因检测结果示:在长QT综合征11型相关的AKAP9基因上检出1个与受检者临床表型相关的意义未明变异(AKAP9;NM_005751.4:c.6765+18A>G)。患者母亲验证有相同基因突变,其父亲正常。家庭史中无猝死病例记载。
出院后患者病情稳定,无心悸发作。1个月时复查超声心动图提示:LAD 27 mm,LVEDD 48 mm,LVEF 62%。2个月时停用维拉帕米,美西律逐渐减量,美托洛尔及沙库巴曲缬沙坦不变。6个月时动态心电图可见室早二联律,室早共11个,未特殊处理。6个月时复查超声心动图提示:LAD 24 mm,LVEDD 49 mm,LVEF 68%。
出院后7个月时患者心悸再发,症状同前,复查心电图为室速(图5A),口服维拉帕米80 mg后维持窦性心律(图5B)。为行射频消融术收入院。复查超声心动图示:LAD 24 mm,LVEDD 48 mm,LVEF 74%。复查NT-proBNP 19.92 pg/mL,hs-cTnT 0.010 ng/mL。行电生理标测为左心室间隔偏前室速,频率170bpm,三维标测下送大头电极于左心室间隔偏心尖处消融成功(图6)。术后当天心电图为RBBB(图5C),第二天RBBB消失(图5D),但静息时心率90次/分,出院时继续口服美托洛尔治疗,停用沙库巴曲缬沙坦。




该患者为青少年男性,受凉后出现“急性心衰、心原性休克、QT间期显著延长继发室颤”,虽病程初期反复发作的VSVT具有指向性,但既往史缺乏快速性心律失常证据,早期难以确定室速与心肌病的因果关系。经治疗室速消失后,心功能在1月内迅速恢复正常,停用维拉帕米数月后室速再次发作,回顾性分析,TICM诊断成立。
VSVT是常见的左心室特发性室速类型,其发生机制为左束支浦肯野分支内或临近区域的折返。好发于10~40岁的男性[1],通常表现为运动相关。发作时QRS波呈RBBB形和电轴左偏。VSVT导致的TICM少见,通过文献回顾[2, 3, 4, 5, 6, 7, 8],总结临床特点如下:(1)男女均可发病,以青少年多见,室速时心室率波动范围大,116~214次/分[2, 3]。(2)常有受凉感冒等诱因,以急性心衰、肺水肿起病常见,超声心动图检查除了LVEF减低、全心增大、瓣膜反流,可出现心包积液、胸腔积液、腹腔积液等影像学表现[4, 5]。心包积液随着心功能改善可消失,但本病例中随访半年持续存在。(3)心电图可出现QT间期延长,并诱发多形室速、室颤发生[2,6]。QT间期延长可能与心肌重构、电重构相关,因此在射频消融成功、心肌逆重构后,QT间期应当恢复正常。但在病例报道中,恢复正常的QT间期经异丙肾上腺素诱发后却再次延长[2],不排除患者合并先天性长QT综合征。而在本患者中,基因检测确实发现LQT 11型相关的意义不明突变,此基因突变是否参与了该患者急性期QT延长和恶性心律失常的发生,尚不清楚。本文患者发病后QT间期明显延长,在电解质正常情况下,继发Tdp和室颤,静脉利多卡因有效,后序贯口服美西律,未再发生恶性心律失常。(4)经维拉帕米或射频消融术终止室速后,LVEF可在短期内明显上升,不同于原发性扩张型心肌病。(5)射频消融成功后的心电图,在其下壁导联可出现新发q波,常代表手术成功[4]。(6)维拉帕米虽敏感,但单纯静脉用药作用不长久,室速易反复发作,常需要静脉持续泵入及联合口服用药。但对于心功能明显下降的患者,大剂量维拉帕米会导致低血压,同时会抑制心脏收缩功能,诱发心原性休克,因此,预防性使用升压药是必要的[2]。若血流动力学难以维持,体外膜肺氧合保护下行射频消融亦可行[7]。(7)若早期诊断不明,或诊断明确但有射频禁忌证,如合并心室血栓形成,单纯口服药物治疗是合理的,择期再行射频消融术[3]。值得注意的是,上述很多发病特点,如发病年龄、诱因、症状、心肌酶学升高等与均与重症心肌炎的临床表现相同,因此可能误诊,导致不能及时诊断和射频治疗,但具有特征的室速心电图对本病的诊断具有决定意义。(8)该患者早期启用了沙库巴曲缬沙坦治疗,在心功能恢复正常、室速射频消融后停用,该药物的使用时机和适应征是否合适,该药物是否促进了心功能的恢复,均是不明确的,本文仅提供个体化的治疗经验供读者参考;但值得注意的是,该患者在室速射频术后多次复查动态心电图,可见到房性早搏(最多101个/24小时)及不同形态的室早(最多51个/24小时),在美托洛尔治疗基础上,加用贝那普利 5 mg,1次/d后,房性和室性早搏均明显减少,提示心肌重构和电重构可能长期存在,抗重构治疗在TICM中的应用需要更多患者长期随访数据,该患者目前还在随访中。综上,本文通过文献回顾,总结该病特点,有助于临床医师参考。
所有作者均声明不存在利益冲突





















