
版权所有,未经授权,不得转载、摘编本刊文章,不得使用本刊的版式设计。
除非特别申明,本刊刊出的所有文章不代表中华医学会和本刊编辑委员会的观点。
本刊为电子杂志,以光盘形式出版。本册应读者需求按需印刷,随光盘免费赠阅,光盘如有质量问题,请向编辑部调换
此病例是上海交通大学附属瑞金医院报道的一例克罗恩病合并非常复杂的脓肿和瘘管病例,旨在探讨克罗恩病合并腹腔脓肿治疗过程中的关键点和难点,同时也强调了多学科协作诊治克罗恩病的重要性。
患者男性,36岁,因"间断腹痛腹泻4年伴腰骶部疼痛1年余"入院。患者于2011年因左腹绞痛在当地医院诊断为肠梗阻并行小肠部分切除术,术后病理提示克罗恩病。术后反复出现腹痛、腹泻,间断口服美沙拉嗪治疗。2014年因腹痛、腹泻症状加重,当地医院予糖皮质激素口服。1个月后出现腰骶部不适,结合腹部CT结果诊断腰骶部脓肿,行脓肿切开引流术,同时予抗感染治疗,效果欠佳。2015年5月因腰骶部疼痛加重影响行走,伴有反复高热,来上海交通大学医学院附属瑞金医院进一步就诊。
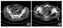
入院后查体:体温39 ℃,消瘦(体重指数16.65 kg/m2),中下腹轻压痛,腰骶部可见3处皮肤瘘口伴脓性分泌物。血白细胞计数8.51×109/L,中性粒细胞比例84.2%,血红蛋白69 g/L,血小板计数335×109/L。白蛋白24 g/L,红细胞沉降率87 mm/h,C反应蛋白120 mg/dl。腰骶部脓性分泌物培养结果示肺炎克雷伯菌、光滑假丝酵母菌阳性。结肠镜进镜至距肛缘约60 cm见结肠内瘘口,局部肉芽组织增生,降结肠及脾曲见另两处瘘口形成(图1)。窦道造影可见水溶性造影剂经皮进入窦道,中下腹部多发窦道显影,与小肠、横结肠相通(图2)。小肠CT示克罗恩病术后改变,空肠、盆组回肠克罗恩病活动期改变伴小肠-结肠管内瘘形成,病变肠管与双侧髂肌、右侧闭孔内肌、骶前区多发瘘管形成;骶骨周围、左侧坐骨直肠窝蜂窝织炎及脓肿;双侧臀大肌多发脓肿;右侧输尿管下段与病变肠管粘连,右侧输尿管积水(图3)。磁共振尿路造影示右侧输尿管下段狭窄伴右肾及输尿管中上段扩张积水(图4)。








入院诊断考虑克罗恩病(回肠+上消化道型,穿透型,活动期),并发肠内瘘、肠皮瘘、腹腔蜂窝织炎、腰大肌及软组织感染、右侧输尿管狭窄。
消化内科:结合该患者病史、体征、辅助检查以及病理诊断结果综合考虑克罗恩病诊断成立。患者既往依从性欠佳、诊治不规范,入院时克罗恩病疾病活动,且合并复杂瘘管、广泛感染等。仅使用美沙拉嗪、引流与抗感染治疗显然不够;但合并感染又是激素、生物制剂等药物的使用禁忌,需要多科医师共同讨论下一步治疗方案。
胃肠外科:患者处于克罗恩病并发症期,从影像学检查中可见腹腔感染伴复杂性瘘管形成,同时炎症累及输尿管、骶骨、骶前软组织。仅使用内科药物治疗无法有效控制疾病,故具有外科手术指征。手术目的旨在处理并发症,为内科进一步升级抗炎药物提供治疗机会。但该患者目前炎症活动明显,同时存在中度贫血、低蛋白血症;建议短期内改善患者全身营养情况、降低炎症活动,为手术创造基本条件。
营养科:通过营养支持治疗不仅可改善该患者全身营养状态,同时具有降低肠道炎症反应的作用;可采用肠外、肠内联合营养治疗。
经抗感染(亚胺培南联合氟康唑静滴,甲硝唑联合呋喃唑酮冲洗窦道)与肠内肠外营养支持(肠外营养700 kcal/d+口服全肠内营养500 kcal/d,1 kcal=4.184 kJ)治疗6周后,患者体温恢复正常、瘘道渗出明显减少,腰骶部疼痛症状改善,复查血常规提示:白细胞计数7.67×109/L,中性粒细胞比例80.2%,血红蛋白63 g/L,血小板计数295×109/L,白蛋白28 mg/L。于2015年7月行"剖腹探查+双侧输尿管支架置入+肠粘连松解+肠内瘘修补+部分小肠切除+末端回肠造瘘术"。术中见腹腔内广泛粘连,未见明显脓液集聚,清亮腹腔积液约300 ml,见两处原小肠切除吻合口(分别位于距屈氏韧带100 cm和回盲瓣近端10 cm);距屈氏韧带160 cm病变小肠与横结肠中段形成回肠-横结肠内瘘(图5),于骶前包裹固定,并向后穿透腰大肌形成肠皮瘘;病变小肠粘连成团,侵及侧腹膜,包绕并压迫右侧输尿管。术中切除22 cm病变小肠及受累阑尾,近端小肠于右下腹行单腔造口,远端小肠封闭后旷置;楔形切除受累横结肠肠壁组织,于骶前置入双套管引流;术中探查残余小肠共180 cm。术后病理提示:"部分小肠、横结肠"黏膜水肿,局部黏膜糜烂、脱落、灶性出血及息肉状增生,全层炎细胞浸润,黏膜下非干酪样肉芽肿形成,黏膜下淋巴管扩张,局部浆膜面血管扩张、淤血,符合克罗恩病。


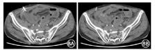
术后持续低压双套管冲洗引流10 d后拔出内套管,留置外管继续引流,口服全肠内营养(1 500 kcal/d,1 kcal=4.184 kJ)近1个月。患者体温正常,体重增长3 kg,白蛋白升高至35 g/L,营养状况明显改善,手术切口及皮肤瘘口恢复良好(图6)。术后1个月复查腹部磁共振(magnetic resonance,MR)提示:两侧后腹膜、盆壁、骶尾前区、双侧臀大肌仍有窦道及多发脓肿形成,但较术前明显好转(图7)。遂开始口服硫唑嘌呤25 mg/d,改全肠内营养为半肠内营养。




术后2个月余患者突发高热,体温42 ℃,骶尾部查体可及无波动感包块,经皮行穿刺术,未见脓液引出。CT引导下穿刺引流术,术中可见回结肠肠壁增厚,肠管周围积液,腹膜及肠系膜增厚伴盆腔渗出,未见脓液成分,穿刺后未留置引流管(图8)。血培养示脑膜败血伊丽莎白黄金杆菌阳性。经积极抗感染(亚胺培南联合甲硝唑静脉滴注)治疗后,患者体温始终波动于38~40 ℃。因患者病情再次加重,故进行第二次多学科讨论。


放射科:仔细阅读术前与术后1个月的影像学检查结果,可见患者术后虽然两侧后腹膜、盆壁、骶尾前区、双侧臀大肌仍有窦道与感染,但总体较术前好转。提示第一次外科手术疗效明确,而残余感染仍需进一步积极控制。
胃肠外科:患者于2个月前行手术治疗克罗恩病并发症,术后患者腹腔感染得到有效控制,肠内瘘已修补、肠皮瘘明显改善,软组织感染亦有好转。但现在感染加重,可能与残余感染灶有关。
消化内科:患者经手术治疗后腹腔感染得到控制;因顾虑过早使用生物制剂可能造成残余感染加重,故仅加用小剂量免疫抑制剂控制原发病。而术后2个月患者感染症状再次加重,败血症诊断明确;除停用免疫抑制剂外,应根据药敏结果积极抗感染治疗,若内科抗感染疗效欠佳、感染灶定位明确,则应再次考虑手术治疗处理感染灶。
患者经抗感染(亚胺培南联合甲硝唑静脉滴注)、营养支持(肠外营养+肠内营养)治疗后体温仍反复增高,骶尾部疼痛明显,一般情况持续恶化,出现全身多脏器功能障碍。患者与家属放弃进一步诊治,要求自行出院。
克罗恩病早期炎症以肠壁系膜侧受累居多,后期累及范围较广并由此产生出血、梗阻、瘘管、穿孔等各种并发症,其1年、5年、10年和30年的累计手术率分别为16.6%、35.4%、53.0%和94.5%[1]。克罗恩病外科治疗的手术适应证包括肠梗阻、急性穿孔、药物无法控制的消化道大出血等急性并发症;腹腔脓肿、瘘管形成和癌变等慢性并发症;激素、免疫抑制剂治疗无效或效果不佳的重度克罗恩病同样是手术的对象[2]。手术方案根据并发症类别不同分为急诊手术与择期手术[3],如何选择合适的手术时机是复杂的临床问题。本病例,优化术前治疗方案是提高手术成功率的保障。
为降低术后并发症风险,在术前应对患者营养状况、激素与免疫抑制剂的使用与剂量、腹腔感染状况进行综合判断。术前积极抗感染治疗、引流以及强化营养支持治疗是降低手术并发症的有效方案。术前使用完全性肠内营养支持治疗的患者,其平均手术时间减少、术后并发症包括脓肿形成和吻合口瘘均有下降[4]。目前认为围手术期营养支持需包括:(1)对围手术期不能从食物中获取足够的能量和(或)蛋白质的患者,应鼓励采取口服营养补充;(2)自然食物加口服营养补充仍不能满足需要时采取置管式营养;(3)对于存在营养不良的择期手术患者,术前予1~2周的营养支持,即使推迟手术也是必要的;(4)对于急诊手术,如肠道完全梗阻、出血不止、中毒性巨结肠或急腹症,手术时已存在营养不良或预计术后7 d不能常规饮食者,应术后早期采取肠内营养或静脉营养治疗[4]。本例术前综合治疗相对充分。
克罗恩病并发肠皮瘘在排除禁忌后仅依靠生物制剂促进瘘管闭合的患者不超过10%[5],因此往往需要内外科联合治疗。肠瘘最常用的手术方法是切除包括瘘管在内的病变肠管,如瘘管两侧肠管均有明显炎症或瘢痕应同时切除。如瘘口一侧炎症或溃疡明显,而另一侧为原发灶侵袭所致,本身病变轻微或无病变,则对无病变的一侧肠管或脏器可进行修补,不必切除。本例患者术后症状逐渐恢复,表明第一阶段的多学科联合治疗是有成效的。
然而克罗恩病术前已有腹腔感染者术后感染很难局限,容易形成腹腔残余感染,加强术后肠内营养、充分引流、必要时分期手术都是控制残余感染可采用的策略。目前文献中关于克罗恩病术后确切给予留置引流时间尚无明确规范,临床多根据引流量与脓液性状结合不同外科医师临床经验决定。延长主动引流时间可能对根除残余病灶有帮助,但仍不能排除在主动引流期间增加外源性感染风险的可能性,如何权衡利弊与风险、制订规范化诊疗路径有待进一步探索。
瘘及脓肿在克罗恩病(CD)患者发生率高,常常让临床医师陷于是否手术治疗、手术时机、治疗克罗恩病药物选择的困境。这篇多学科综合诊治病例报告提供了一个克罗恩病合并非常复杂的脓肿和多发瘘管的病例,突出展示了这些难点问题。
多学科合作和术前优化治疗,促使第一次手术后患者病情好转。术后需要药物控制疾病活动,但同时又面临残余感染灶加重的风险,何时开始选用何种药物是临床医师面临的难题。硫唑嘌呤是克罗恩病维持治疗和高危患者预防术后复发的一线药物,但平均起效时间3~6个月;在感染没有根除的情况下使用生物制剂,感染加重的风险很大。在这种两难境地时,完全禁食、应用全肠内营养(EEN)不但可以纠正营养不良、改善免疫功能,还可以诱导克罗恩病活动缓解,是最佳选择。为尽可能提高依从性和改善胃肠道吸收,推荐采用持续泵注的鼻饲方式,建议维持治疗时间8~12周,直到维持治疗药物起效。该例患者术后2个月病情加重,应该与残余脓肿相关。如果术后双套管多冲洗引流一段时间、EEN持续时间更长些,同时不急于给予硫唑嘌呤治疗,或许有助于减少残余脓肿形成的可能性。
控制感染最终依赖患者自身的抗感染能力,外科医师所能做的,是帮助患者把机体超过自身抗感染能力的负荷清除掉。因此,手术本身无法彻底清除感染灶,还要依赖术后持续冲洗引流;但术中去除感染源,即病变肠管至关重要,同时应充分显露并引流脓腔和瘘道。术后积极纠正营养不良,改善患者免疫功能,调动机体自身的抗感染能力,使感染得到及时的包裹和局限是抵御外科感染的主要措施。外科治疗是控制感染的主要手段,抗生素只是辅助治疗措施,该患者最终没有选择手术,而是在药物治疗失败的情况下选择了放弃,令人惋惜。





















