
近年来,EB病毒(EBV)感染性肠道疾病越来越受大家重视。我们结合文献报道对EBV感染性肠道疾病的相关问题进行了分析和讨论,以期提高临床和病理医生对该类疾病的认识。主要内容包括:EBV感染性肠道疾病的分类,EBV阳性淋巴增殖性疾病的分类,慢性活动性EBV感染累及肠道的临床病理特征及其与EBV阳性淋巴增殖性疾病的关系,炎症性肠病与EBV感染,肠道EBV感染的病理学检查,EBV感染性肠道疾病的治疗等。
版权归中华医学会所有。
未经授权,不得转载、摘编本刊文章,不得使用本刊的版式设计。
除非特别声明,本刊刊出的所有文章不代表中华医学会和本刊编委会的观点。
EB病毒(Epstein-Barr virus,EBV)主要感染B淋巴细胞,在某些情况下也可感染T淋巴细胞、NK细胞和上皮细胞。EBV有复制性感染和潜伏性感染两种方式。在复制性感染期间病毒DNA转录、成熟病毒颗粒产生,并伴宿主细胞的溶解和死亡。肠黏膜存在丰富的淋巴组织,是EBV感染相关性疾病的好发部位之一。近年来,EBV感染性肠道疾病越来越受大家重视。我们结合文献报道探讨EBV感染性肠道疾病的相关问题,特别是慢性活动性EBV感染、EBV阳性淋巴增殖性疾病的诊断,以期提高临床医生对该类疾病的认识。
结合文献报道我们将非免疫缺陷的EBV感染性肠道疾病分为以下6类[1]:(1)EBV隐性感染;(2)急性EBV感染性肠炎;(3)慢性活动性EBV感染(伴有系统性症状);(4)肠道局限性EBV感染,不伴有系统性症状(多数为机会性感染);(5)肠道EBV感染伴噬血细胞综合征;(6)肠道EBV相关恶性肿瘤。
原发性EBV感染多数为无症状的隐性感染,健康人感染EBV后,病毒存在于B淋巴细胞中,呈休眠状态。
在肠炎活检标本上有时候我们可以检测到EBV编码的小RNA(EBER)原位杂交检测阳性淋巴细胞,目前还不清楚每个高倍镜下见到多少个阳性细胞可以定义为隐性感染。部分学者认为仅见到个别阳性细胞(一个高倍显微镜下1 ~ 2个)可能为隐性感染,这与肠炎病变本身无关[2]。对部分病例可以检测外周血中EBV抗体和DNA含量辅助诊断。
EBV急性感染以儿童和青少年多见,少数见于成人,表现为传染性单核细胞增多症,以发热、咽峡炎、淋巴结大为主要临床特征,胃肠道累及较少见[1]。
急性EBV感染病程多在1个月以内,临床过程呈自限性,预后良好,但病毒随后终生潜伏于B淋巴细胞中。在个别免疫功能正常个体,EBV可由潜伏感染再次进入裂解感染期,病毒不但感染B淋巴细胞,还可感染T淋巴细胞或NK细胞,临床上出现慢性或复发性发热、肝脾肿大、淋巴结肿大等系统性症状,以及病毒复制活跃导致不同脏器组织损伤,称为慢性活动性EBV感染。部分病例累及肠道且表现出肠道症状,即慢性活动性EBV感染累及肠道(伴有系统性症状),在缺乏恶性淋巴增殖性疾病依据时,也可称之为慢性活动性EBV感染性肠炎。
聚合酶链式反应(polymerase chain reaction,PCR)方法可以检测到正常肠道黏膜感染的EBV-DNA,但是很少能用原位杂交方法检测到EBV感染。少数肠道溃疡性疾病患者的肠黏膜组织内可以见到EBV原位杂交阳性淋巴细胞,有时阳性的细胞数量还较多[3,4],此类病例常缺乏发热、淋巴结肿大、肝脾肿大等系统性症状,可能是一种非系统性的局限性EBV感染,此类感染多为原有肠道病变(如溃疡性结肠炎等)基础上的机会性感染。
EBV阳性淋巴增殖性疾病分为NK/T细胞淋巴增殖性疾病和B细胞淋巴增殖性疾病。广义的EBV阳性NK/T细胞淋巴增殖性疾病包括:(1)EBV相关噬血细胞综合征;(2)慢性活动性EBV感染型NK/T细胞淋巴疾病(即狭义的肠道EBV阳性淋巴增殖性疾病[5]),包括系统性慢性活动性EBV感染、皮肤型慢性活动性EBV感染(包括种痘样水疱病、蚊叮超敏反应);(3)恶性NK/T细胞疾病,包括系统性EBV阳性T细胞淋巴瘤、结外NK/T细胞淋巴瘤鼻型、鼻外NK/T细胞淋巴瘤、侵袭性NK细胞白血病和EBV阳性淋巴结NK/T细胞淋巴瘤[6]。依据组织病理诊断的NK/T细胞淋巴增殖性疾病多为狭义范畴。EBV阳性B细胞淋巴增殖性疾病包括传染性单核细胞增多症、慢性活动性EBV感染(B细胞型)、EBV阳性弥漫大B细胞淋巴瘤、EBV黏膜皮肤溃疡和淋巴瘤样肉芽肿等[7]。仅部分EBV阳性淋巴增殖性疾病见于肠道。
慢性活动性EBV感染属于EBV阳性淋巴增殖性疾病,存在良性、交界性和恶性等不同类型[8]。我们建议把慢性活动性EBV感染性肠炎合并存在恶性淋巴瘤称为"慢性活动性EBV感染性肠炎伴有恶性淋巴瘤"。慢性活动性EBV感染性肠炎,病理若诊断为"交界性EBV阳性淋巴增殖性疾病",临床诊断可以为"慢性活动性EBV感染性肠炎伴交界性EBV阳性淋巴增殖性疾病"。
慢性活动性EBV感染主要见于儿童和青少年,少数情况下也可见于成人。其诊断标准包括:(1)系统性症状(发热、淋巴结肿大、肝脾肿大等)持续或反复发作3个月以上;(2)EBV感染引起组织病理损害的证据;(3)异常的EBV抗体滴度或受累组织和外周血中检测到EBV基因载量升高;(4)临床表现无法用其他疾病解释[1]。
根据上述标准明确诊断慢性活动性EBV感染的患者,若合并消化道症状和肠道病变且不能用其他疾病解释,同时有肠道EBV感染的证据,可以作出慢性活动性EBV感染累及肠道的诊断。
诊断慢性活动性EBV感染累及肠道,从病理形态角度要求有肠黏膜活动性炎伴EBV阳性淋巴细胞,但尚无EBV阳性淋巴细胞数量的诊断标准。我们统计了12例肠道慢性活动性EBV感染病例,活检标本EBV阳性淋巴细胞数都大于30个阳性细胞/高倍以上,多数病例在50个阳性细胞/高倍以上,手术标本一般在100个阳性细胞/高倍以上[4]。
EBV阳性淋巴增殖性疾病主要是从病理学角度来定义的。EBV感染淋巴细胞,常会引起淋巴细胞增生。慢性活动性EBV感染一般都会有淋巴组织增生,可以见到淋巴网组织细胞丰富的器官增生肥大,包括淋巴结肿大、肝脾肿大,也会引起肠道淋巴组织增生。因此,慢性活动性EBV感染在病理组织学上表现为淋巴增殖性疾病,WHO把其归类为EBV相关的淋巴增殖性疾病;再进一步根据感染的淋巴细胞类型的不同,分为B细胞型和NK/T细胞型[7]。
但是,慢性活动性EBV感染其实是一种需要临床综合诊断的疾病,其诊断标准并不是单一的病理形态学概念。
慢性活动性EBV感染累及肠道是指在肠道病变的基础上,有EBV感染的组织学依据,但不一定需要"EBV阳性淋巴增殖性疾病"的病理诊断依据。我们经常见到慢性活动性EBV感染患者的肠黏膜活检标本中存在淋巴组织增生,但病理医师很难据此诊断"EBV阳性淋巴增殖性疾病",有时因活检组织少甚至无法看到淋巴组织增生,即使这样也不能排除慢性活动性EBV感染。
2008年日本学者Ohshima等[8]根据形态和细胞克隆性将EBV阳性NK/T淋巴细胞增殖性疾病分为3级:1级,多形性组织学特征/多克隆T细胞增生;2级,多形性组织学特征/单克隆T细胞增生;3级,单形性组织学特征/单克隆T细胞增生。
此类分级标准有助于我们认识EBV阳性的淋巴增殖性疾病,规范诊断和治疗。但部分肠镜活检标本不合适按上述标准进行诊断和分级,主要的原因包括(1)肠镜活检标本往往取自溃疡面,组织结构的破坏比较难判断;炎症反应也可以破坏隐窝结构和黏膜肌等结构,分级时会遇到困难;(2)活检标本组织少,部分T细胞淋巴瘤在活检标本上也表现为多形性淋巴细胞和单克隆T细胞增生,很容易误诊为交界性NK/T细胞淋巴增殖性疾病。
因此,我们对肠镜活检标本的EBV阳性淋巴增殖性疾病的诊断提以下建议:
1.肠黏膜淋巴组织增生,淋巴细胞呈多形性,淋巴细胞没有异型,缺乏组织结构的破坏,免疫组化显示T细胞抗原没有丢失,可以称为EBV感染伴淋巴组织增生,而不必称为多形性T淋巴细胞增殖性疾病。
EBV感染肠黏膜内增生的细胞以T淋巴细胞居多,混杂B淋巴细胞,我们可以参考使用"淋巴组织增生"这个用语描述早期和非破坏性的病变。1级EBV阳性NK/T淋巴细胞增殖性疾病其实并不是一种肿瘤性改变(虽然也可能存在淋巴细胞克隆性增生),但很多临床医师不了解这个分级,使用"淋巴组织增生"代替1级EBV阳性NK/T淋巴细胞增殖性疾病会易于临床医师和病理医师之间的交流。
2.建议肠镜活检标本尽量少诊断交界性NK/T淋巴增殖性疾病:交界性NK/T淋巴增殖性疾病并不是一种可以轻易诊断的疾病,诊断前需要在全面评估淋巴增生性疾病的组织结构和细胞形态。此类疾病没有达到诊断淋巴瘤的标准,但在组织结构或细胞形态上存在一些恶性依据,有较高的转变为淋巴瘤的风险。
活检标本因为组织少,在多形性的淋巴细胞背景中见到少量异型细胞,常常无法诊断和排除淋巴瘤,此时随意诊断交界性淋巴增殖性疾病可能会促使临床医师按慢性活动性EBV感染治疗,而不再进一步活检排除淋巴瘤。
建议这种情况下病理诊断为淋巴组织不典型增生较为合适。确实少数交界性淋巴增殖性疾病也可以通过黏膜活检标本诊断,但诊断的前提条件是活检标本充分,且已经全面评估组织形态、免疫组化和分子检测结果。
少数情况下IBD患者的肠活检组织中可以检测到较多EBER阳性的淋巴细胞,特别是在溃疡性结肠炎的患者中[4]。多数是非系统性的EBV感染,无发热、肝脾淋巴结肿大等症状。此类EBV感染是一种机会性感染,在IBD病程中的作用还不清楚。
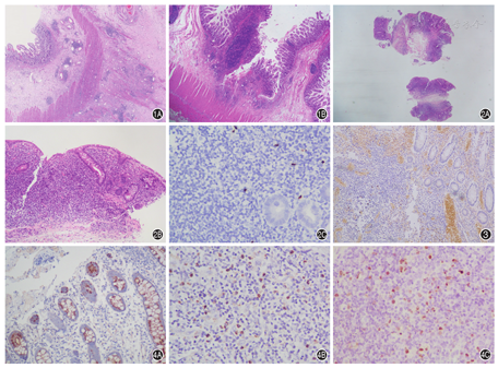
肠道EBV感染性疾病,特别是慢性活动性EBV感染,需要和IBD鉴别。慢性活动性EBV感染累及肠道与IBD在内镜下和病理形态上有相似性。鉴别诊断的关键是慢性活动性EBV感染一般有发热或淋巴结肿大、肝脾肿大等,少见脓血便、里急后重等溃疡性结肠炎表现,内镜下病变累及范围较广,小肠和大肠多数都有累及。与溃疡性结肠炎相比,往往缺乏弥漫性隐窝结构改变,隐窝脓肿少见。虽然慢性活动性EBV感染性肠炎也可有透壁炎、裂隙状溃疡,偶尔可见肉芽肿样结构,容易与克罗恩病混淆,但一般缺乏典型的肉芽肿、黏膜肌增生、神经增生肥大等慢性间质改变[9,10](图1)。


少数情况下IBD也可继发慢性活动性EBV感染,诊断肠道慢性活动性EBV感染不能一概否认之前IBD的诊断。
肠黏膜内见较多淋巴细胞或患者有发热、淋巴结肿大等改变时,建议行EBV检测(图2)。
建议采用EBV原位杂交方法。EBER检测敏感性高,但无法判断病毒是否复制。EBV表达在淋巴细胞上且在炎症反应处明显,应选取淋巴细胞多、炎症反应明显的组织行EBER检测(图3)。
仅个别EBV阳性细胞隐性感染的患者不需要抗病毒治疗。
慢性活动性EBV感染的治疗比较困难。抗疱疹病毒药物如阿昔洛韦和更昔洛韦等对活动性EBV感染无效。糖皮质激素、免疫抑制剂(环孢素)、免疫调节剂(IFNα和IFNγ)、细胞毒化疗药物(环磷酰胺、蒽环类抗生素、长春新碱、依托泊苷和泼尼松)等药物可以短期缓解活动性EBV感染,但无法治愈。造血干细胞骨髓移植是慢性活动性EBV感染的可治愈性方法,但也存在移植并发症的相关风险[12]。
IBD肠黏膜多次活检存在较多EBV阳性细胞,但没有发热等全身症状,考虑可能是肠道局限性的EBV机会感染,目前尚不清楚是否需要抗病毒治疗。但IBD患者的肠黏膜如果检出较多EBV阳性细胞,建议尽量避免使用免疫抑制药物。
综上,肠道EBV感染性疾病目前仍缺乏规范的诊断和治疗方案,需要进一步的临床和病理研究。
感谢肖书渊、胡品津、吴开春、吴小平、黄艳、王玉芳、张文燕、叶子茵对本文内容提出宝贵建议
所有作者均声明不存在利益冲突





















