
本文介绍肠道血供情况,总结肠道缺血的原因、临床表现、内镜特点、病理形态特点以及几种特异性缺血性肠病,旨在提高对缺血性肠病的认识。
版权归中华医学会所有。
未经授权,不得转载、摘编本刊文章,不得使用本刊的版式设计。
除非特别声明,本刊刊出的所有文章不代表中华医学会和本刊编委会的观点。
随着肠镜技术的快速发展,肠黏膜活检已成为病理科最常见的病理诊断方法之一。病理医师往往对肿瘤性活检组织非常重视,并且能够通过免疫组化或基因检测等方法做出正确的病理诊断,而对缺血性肠病没有加以足够的重视,内镜活检有时误诊为感染性肠炎或肿瘤。本文从肠道供血解剖结构、缺血原因、临床表现及内镜特点、病理特点、几种特异性病变等方面详细论述,介绍缺血性肠病的诊断。
小肠在Treitz韧带之后,由肠系膜上动脉供血,动脉走行在系膜中,靠近肠壁处形成互相交通的动脉弓,动脉弓发出许多直小动脉供应肠管,静脉与动脉伴行。小肠侧支循环丰富,不容易发生缺血。盲肠、升结肠和横结肠也由肠系膜上动脉供应。降结肠、乙状结肠和大部分直肠由肠系膜下动脉供应。肠系膜上、下动脉的较大分支也形成连续动脉弓,称为边缘动脉,从边缘动脉发出许多直小动脉供应结肠,静脉与动脉伴行。边缘动脉在结肠脾曲细小,因此,结肠脾曲易发生缺血。此外,结肠在肠系膜上、下动脉交汇点以及肠系膜下动脉与髂内动脉交汇点处容易发生缺血,即左半结肠(降结肠和乙状结肠)易发生缺血。而直肠还有另外两支动脉即直肠中动脉和直肠下动脉供血,血供较丰富,较少发生缺血[1,2,3]。
肠道缺血病因很多,导致血容量减少或血氧饱和度降低的因素都会引起肠道缺血[4,5]。
根据肠道缺血时间不同,分为急性肠道缺血和慢性肠道缺血。引起急性肠道缺血的原因主要是大血管供血中断或血容量急剧下降;慢性肠道缺血一般是多个血管供血障碍,侧支循环不能缓解供血。
根据受累血管不同,分为动脉性肠道缺血和静脉性肠道缺血。动脉性肠道缺血又分为梗阻性和非梗阻性(低血流量或低氧饱和度)。梗阻性病因包括肠扭转、肠套叠、炎性包块或肿瘤壁外压迫、腔内血栓形成或栓塞、动脉粥样硬化、糖尿病、动脉瘤、慢性放射损伤、血管炎、淀粉样变性、感染、药物。非梗阻性病因包括心力衰竭、心律失常、休克、药物、脱水/低血压、呼吸衰竭、慢性阻塞性肺疾病、高海拔。静脉性肠道缺血病因包括浆膜粘连、肠扭转、肠套叠、肠系膜静脉血栓形成、先天性或后天性高凝状态、血液病如特发性血小板减少、门静脉高压、系统性血管炎、特发性肠系膜静脉肌内膜增生、肠静脉炎、肠系膜静脉硬化、副肿瘤综合征、腹腔内炎症、药物。
肠道缺血好发于老年人,危险因素包括动脉粥样硬化、高血压病、糖尿病等[3,5]。
急性肠道缺血表现为急性剧烈腹痛,伴恶心、呕吐。慢性肠道缺血表现为全腹或脐周慢性腹痛,餐后腹痛,有时出现肠梗阻、体质量下降。
病变呈节段性。早期内镜下显示病变界限清楚,黏膜苍白、水肿,散在斑点状出血。随着病变加重,黏膜糜烂,出现浅溃疡,严重者黏膜呈灰绿色或黑色,伴假膜形成。慢性缺血可导致溃疡、肠壁纤维化、肠腔狭窄、黏膜萎缩呈颗粒状,表现类似于克罗恩病。
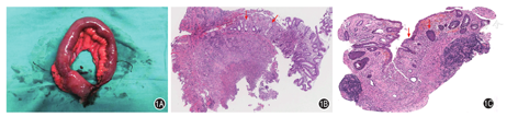
(1)大体标本上,缺血段肠管与未累及肠管分界较清楚,缺血段肠管呈暗红色(图1A),污浊无光泽,肠管扩张、变薄。肠腔内可见血性内容物,肠黏膜充血、出血、糜烂伴溃疡形成,局部可见暗绿色或褐色的假膜。肠壁全层坏死称为肠坏疽,质脆、易穿孔。(2)组织学上,肠黏膜位于供血最远端,极为脆弱,缺血损伤由黏膜表面上皮开始。急性肠道缺血最早的改变为表面上皮变性、坏死、脱落,黏膜表面可见中性粒细胞、纤维蛋白渗出,有时可形成一层假膜,类似于假膜性肠炎;隐窝上皮破坏脱落,部分隐窝凋零(即隐窝上皮扁平,隐窝内可见坏死细胞碎片);若隐窝上皮完全坏死脱落,则仅剩隐窝轮廓,被称为鬼影隐窝(图1B)。固有层血管扩张、充血及广泛出血,血管内可见微血栓;间质水肿,纤维蛋白渗出,固有层玻璃样变。黏膜下层广泛出血,血管扩张、充血。肌层水肿,颜色变浅,当损伤持续一段时间后细胞核溶解消失,出现典型的凝固性坏死。浆膜层血管扩张、充血,间质水肿,少许中性粒细胞浸润。


(1)大体上表现为环形溃疡,肠壁僵硬,肠腔狭窄,切面可见肠壁纤维组织增生。(2)显微镜下常见溃疡或糜烂,同时伴有上皮再生、修复,黏液减少,核染色质过深,核仁增大,核分裂像活跃,有时易误诊为异型增生,但适中的核浆比加上缺血背景有别于异型增生(图1C)。隐窝萎缩,隐窝出现分支、变形,潘氏细胞化生和幽门腺化生均可出现。比较有提示意义的是固有层纤维化,黏膜内淋巴细胞、浆细胞较少,可见含铁血黄素沉积。

慢性肠道缺血与克罗恩病的鉴别
慢性肠道缺血与克罗恩病的鉴别
| 临床特点 | 慢性肠道缺血 | 克罗恩病 |
|---|---|---|
| 年龄 | 老年人 | 青少年 |
| 部位 | 左半结肠多见 | 回盲部多见 |
| 溃疡 | 溃疡横向或不规则 | 纵行溃疡 |
| 血管炎 | 可有血栓、栓子、血管炎 | 可有血管炎 |
| 全层炎 | 局灶有 | 有 |
| 炎症细胞 | 少 | 多 |
| 神经纤维增生 | 少 | 多 |
| 上皮样肉芽肿 | 无 | 有 |
| 含铁血黄素沉积 | 可能有 | 无 |
慢性肠道缺血的黏膜下层、固有肌层及浆膜层纤维组织增生,有时伴神经纤维增生,易误诊为克罗恩病。但慢性肠道缺血多发生在老年人,多合并基础疾病。发病部位以左半结肠居多,病变局限,溃疡横向或不规则,黏膜内淋巴细胞、浆细胞不多,固有层纤维化,无全壁炎等。
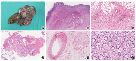
病因不明,东方人多见,可累及各级血管,主要累及小血管,动脉、静脉均可累及。白塞病累及消化道以回盲部为多,典型者为界清、深大、孤立的溃疡,近似圆形(图2A),深达肌层甚至穿透肌层,少数病例见多个溃疡。显微镜下,溃疡导致肠壁4层结构破坏,溃疡与周围黏膜无移行(图2B)。黏膜下层、浆膜层及肠系膜内可见血管炎,伴血管损伤;常见淋巴细胞性血管炎(图2C),病变部位以小静脉为主,表现为血管壁内淋巴细胞浸润,血管壁增厚,血管腔狭窄甚至闭塞[6]。


在诊断血管炎时应注意,溃疡底部血管常有炎症细胞浸润,并非真正的血管炎。因此,应在溃疡受累区外寻找血管炎。白塞病的溃疡较为局限,邻近溃疡的黏膜可见到慢性损伤,隐窝结构紊乱,但远离溃疡的黏膜正常。
白塞病的好发部位、临床表现及影像学与克罗恩病有相似之处,两者的鉴别要点详见表2。

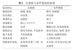
白塞病与克罗恩病的鉴别
白塞病与克罗恩病的鉴别
| 临床特点 | 白塞病 | 克罗恩病 |
|---|---|---|
| 腹部症状 | 腹痛、便血 | 腹泻、肠梗阻 |
| 好发部位 | 回盲部 | 回盲部 |
| 溃疡形态 | 近圆形 | 纵行 |
| 溃疡数目 | 孤立,少于5个 | 可多发 |
| 附近黏膜 | 光滑 | 铺路石样,阿弗他溃疡 |
| 肠管改变 | 病变节段短,不易狭窄 | 病变节段长,增厚、狭窄 |
| 镜下表现 | 平底深溃疡 | 全壁炎,裂隙状溃疡 |
| 特殊表现 | 血管炎 | 上皮样肉芽肿 |
| 胃肠道外表现 | 系统性受累,口腔、外阴溃疡 | 关节病,结节性红斑,脓皮病等 |
包括直肠脱垂、孤立性直肠溃疡综合征、深在性囊性肠炎、炎性泄殖腔息肉及炎性帽状息肉,这5种病变相互联系,组织形态相似,其中最易误诊为肿瘤的是孤立性直肠溃疡综合征,过度增生的上皮易误诊为管状腺瘤,有时甚至误诊为黏液腺癌。
孤立性直肠溃疡综合征病变多位于直肠前壁或前侧壁,大体上不一定表现为孤立溃疡,有时可见多个溃疡,还可表现为片状红斑、息肉或肿块样。显微镜下,黏膜糜烂、脱落,表面上皮及隐窝反复再生、修复,导致绒毛状外观和隐窝上皮增生,上皮细胞黏液减少,核染色质深染。间质内血管扩张、充血,间质纤维组织增生,黏膜肌增生、紊乱,平滑肌垂直于黏膜肌向黏膜固有层穿插(图3)。这些脱垂、缺血的形态学表现,可协助诊断。
缺血性肠病特别是慢性肠道缺血,临床表现和病理形态易与炎症性肠病混淆。在诊断炎症性肠病时,需要与缺血性肠病进行鉴别诊断,并仔细观察病变形态学特点及血管的改变,从而避免误诊。
所有作者均声明不存在利益冲突





















