
病理对炎症性肠病(IBD)的诊断和鉴别诊断有重要作用,但IBD的病理形态在不同患者或同一患者不同阶段表现多样,缺乏统一的形态学诊断标准。同时病理医生接受培训程度与诊断水平也参差不齐,诊断准确率难以把握。本文就IBD诊断及相关问题提供病理诊断专家指导意见,旨在提高病理医生对IBD的诊断水平。
版权归中华医学会所有。
未经授权,不得转载、摘编本刊文章,不得使用本刊的版式设计。
除非特别声明,本刊刊出的所有文章不代表中华医学会和本刊编委会的观点。
炎症性肠病(inflammatory bowel disease,IBD)近年来发病率逐年上升。病理对IBD的诊断和鉴别诊断有重要作用,但IBD病理形态多样,不同患者或同一患者不同阶段可出现不同形态特征,难有简单固定的诊断标准。此外,病理医生接受培训程度与诊断水平参差不齐。为推动和提高我国IBD病理诊断水平,中华医学会消化病学分会炎症性肠病学组病理分组组织相关病理专家,在IBD肠镜黏膜活检组织的诊断及鉴别诊断、手术切除标本的诊断及鉴别诊断、IBD合并机会性感染、IBD相关异型增生及结直肠癌等方面提出指导意见。
本指导意见共包括组织形态学基本概念、病变模式评估及诊断思路、黏膜活检的病理诊断、手术切除标本病理诊断、不确定型结肠炎(indeterminant colitis,IC)和IBD不能分类(inflammatory bowel disease unclassified,IBDU)、IBD合并机会性感染、IBD相关异型增生与结直肠癌、病理诊断报告示范共8个部分。
隐窝分支(crypt branching):隐窝分成2个或多个分支(图1A)。


隐窝缩短(crypt shortening):隐窝长度变短,底部不与黏膜肌层相贴,伴或不伴基底浆细胞增多(图1B)。
隐窝加长(crypt elongation):与周围正常黏膜隐窝相比,隐窝长度明显加长。
隐窝缺失(crypt dropout or loss):隐窝数量减少,黏膜肌层完整而隐窝之间距离显著增宽,超过1 ~ 2个隐窝宽度(图1C)。
幽门腺化生(pyloric gland metaplasia):胃窦及十二指肠以外的肠黏膜出现黏液性腺体,形态同胃窦黏膜的幽门腺或十二指肠的Brunner腺,可见于空肠、回肠或结肠(图1C),但末端回肠更常见。
潘氏细胞化生(Paneth cell metaplasia):结肠脾区远端的结直肠(降结肠、乙状结肠和直肠)黏膜隐窝底部出现潘氏细胞,胞质含大量嗜酸性粗颗粒,位于靠腺腔侧(图1D)。
基底浆细胞增多(basal plasmacytosis):黏膜基底部大量浆细胞浸润,位于隐窝底部与黏膜肌层之间,使隐窝底部与黏膜肌层不相贴(图1E)。
小肠绒毛萎缩或变平(villous atrophy or flattening):在黏膜方向良好的切片中,连续的小肠绒毛长度变短、增粗,或小肠绒毛完全消失。
结肠黏膜表面绒毛化(villiform change or transformation):病变部位结肠黏膜表面呈现长短不一的绒毛样结构,类似小肠黏膜。
炎性息肉(inflammatory polyp):慢性炎症刺激,使黏膜呈息肉状突起,伴或不伴隐窝结构改变(图1F)。
假息肉(pseudopolyp):由于黏膜全层溃疡残留的黏膜岛相对突起形成,或肉芽组织增生突起于黏膜面,表面被覆肠上皮(图1G)。
隐窝炎(cryptitis):中性粒细胞浸润隐窝上皮内(图1H)。
隐窝脓肿(crypt abscess):中性粒细胞聚集于隐窝腔内,常伴隐窝上皮破坏(图1I)。
慢性肠炎(chronic enteritis/colitis):指黏膜固有层大量淋巴细胞、浆细胞浸润,同时黏膜结构异常,包括隐窝结构改变、化生性改变、基底浆细胞增多、炎性息肉等。慢性肠炎是IBD的组织学基础,但慢性肠炎也可见于慢性感染性肠炎、慢性缺血、药物损伤等多种病变。
活动性肠炎(active enteritis/colitis)指中性粒细胞浸润、破坏上皮,包括隐窝炎、隐窝脓肿、糜烂、溃疡。单纯的活动性肠炎,没有隐窝结构的改变、化生等慢性肠炎的形态学特征,多见于急性自限性肠炎。IBD通常不表现为单纯的活动性肠炎。
活动性慢性肠炎(active chronic enteritis/colitis):在慢性肠炎的基础上有活动性改变(隐窝炎、隐窝脓肿、糜烂、溃疡等),IBD或其他慢性肠炎的活动期一般都会表现为活动性慢性肠炎。
非活动性肠炎(inactive enteritis/colitis):无活动性表现的慢性肠炎,无隐窝炎、隐窝脓肿、糜烂、溃疡等。
静止期IBD(quiescent IBD):见于治疗后的IBD,不伴活动性改变的慢性肠炎,固有层炎症细胞数量无明显增多。
局灶增强性胃炎/肠炎(locally enhanced gastritis/colitis):在背景正常的胃、肠黏膜中出现局灶性淋巴细胞、浆细胞围绕单个或小灶腺体浸润,中性粒细胞浸润引起上皮破坏。
黏膜活检首先应观察黏膜结构及黏膜固有层炎性细胞是否增多,将黏膜分为正常黏膜、炎症模式、毒性/缺血损伤模式及混合模式[1,2],诊断思路见图2。


黏膜结构无改变,黏膜固有层无显著增多的炎症细胞浸润,则为正常黏膜组织。
黏膜固有层大量炎症细胞浸润,为炎症模式,进一步根据炎症细胞类型进行分类。若黏膜结构无改变,但黏膜固有层大量淋巴细胞、浆细胞浸润,需注意观察是否为显微镜肠炎,是否有肠上皮内淋巴细胞增多(淋巴细胞性肠炎)和(或)上皮下胶原增厚(胶原性肠炎)。若是以中性粒细胞浸润为主的活动性炎症,黏膜结构无改变,则需考虑急性自限性肠炎(细菌性)、药物性肠炎及早期IBD。若黏膜结构改变伴黏膜固有层大量炎症细胞浸润,则为活动性或非活动性慢性肠炎,可见于IBD、慢性感染性肠炎、肠道血管病变、药物性肠炎等多种疾病,需要结合慢性肠炎的范围、程度并结合临床进行系统性鉴别诊断。
以黏膜上半部隐窝萎缩、细胞体积变小,呈立方状、胞质黏液减少为特征;可见隐窝细胞凋亡增多、隐窝枯萎(crypt withering/withered crypts)等表现。可见于缺血性肠病、药物性肠炎、病毒感染等,见图3。


黏膜隐窝萎缩同时伴固有层大量炎症细胞浸润,可见于药物性肠炎、艰难梭菌感染等。
黏膜活检仅能观察小块组织的形态改变,缺乏全局观,对组织学形态的解读需要结合内镜、影像学所见,并结合同时活检的其他节段黏膜表现。肠道非肿瘤性疾病形态具有重叠性,不同的疾病可有类似的组织学改变,活检组织的病理诊断应结合临床病史,如年龄、病程、治疗史等进行分析。有些病例在病变早期,临床和病理特征都不典型,不必强求一次活检就确定诊断,可定期复查或试验性治疗后复查,注意比较病变的变化,待病变出现比较明确的特征时,才能确定诊断[3]。
对于怀疑或考虑IBD的病例,首次诊断应在治疗开始前行肠镜黏膜活检,药物治疗可导致病变形态发生改变,影响病理诊断的准确性。应进行规范系统性的黏膜活检,活检部位包括回肠末端、盲肠、升结肠、横结肠、降结肠、乙状结肠、直肠[4,5]。应注意无论考虑克罗恩病(Crohn′s disease,CD)还是溃疡性结肠炎(ulcerative colitis,UC),回肠末端和直肠都应常规活检。内镜正常肠段也应随机活检,有时可取到对诊断有帮助的早期病变组织。CD可能出现上消化道改变,因此建议也进行胃镜系统性活检,包括食管、胃体、胃窦、十二指肠等。每个活检部位至少取2块组织,在内镜所见炎症黏膜处活检。有条件者建议对内镜无炎症黏膜也进行活检。对于确定诊断后复查的病例,活检部位可适当减少。取自不同部位的活检组织应分装于不同标本瓶,标记清楚活检部位,切忌把取自不同部位的活检组织混合放入同一个标本瓶中。
黏膜溃疡处活检时应注意,溃疡底部为炎性肉芽组织,对IBD诊断不具有特异性。因为诊断需要观察黏膜结构,所以应在溃疡边缘黏膜处取材,才能取到对病理诊断有帮助的组织。但若考虑巨细胞病毒(cytomegalovirus,CMV)感染、EB病毒(Epstein-Barr virus,EBV)感染、肠结核等,则可适当取溃疡基底组织进行活检,因病原体及其引起的特征性改变常常在溃疡底部比较集中。
IBD相关异型增生和癌变筛查可通过染色内镜在有病变部位靶向活检,或通过白光内镜进行规范的全结肠活检,每隔10 cm在肠壁环周四个象限进行随机活检,同时在所有可见病灶取活检。对于经验丰富的内镜医师,也可通过高清内镜针对性取活检而不需要盲取。
病理技术员在组织包埋时,应注意观察组织方向,包埋方向与黏膜肌层方向垂直,片状活检组织应竖立包埋,使切片中黏膜呈正确方向,可观察黏膜全层结构(图4)。有些病变轻微而局灶,一个切面可能无法显示,或形态不典型而无法确认,建议常规行连续性切片,可观察多个不同切面的形态。


CD多见于青少年,好发于回肠末端和邻近结肠,主要临床表现为腹痛、腹泻、体质量下降,常有发热、疲乏等全身表现以及肛周瘘管、脓肿等肛门周围局部表现。内镜下病变一般表现为节段性(非连续性)、非对称性分布,典型病例可见纵行溃疡、鹅卵石样外观。CT常表现为小肠壁多节段增厚,系膜缘肠壁增厚明显,呈靶征及梳样征。
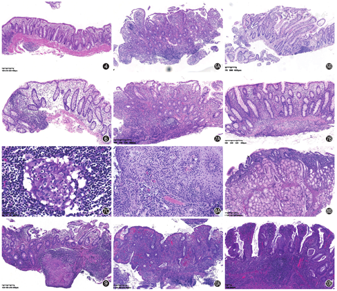
CD炎症常为多灶性、不均匀分布,多部位活检可见不同部位或同一部位不同组织块中炎症分布及程度不一致(跳跃病变),部分病例可见同一块组织中炎症分布不均,呈斑片状炎症(图5)。早期病变可见局灶增强性炎症,即在背景正常的黏膜中,局灶炎症细胞围绕单个或数个隐窝浸润(图6)。炎症不局限于黏膜层,取材较深,达黏膜下层时,可见黏膜下层多量炎症细胞浸润[6]。
CD一般在回肠末端黏膜有严重的慢性小肠炎,表现为小肠绒毛萎缩或变平,幽门腺化生,伴大量淋巴细胞、浆细胞浸润(图7A)。回肠末端早期病变可表现为局灶性绒毛萎缩,局灶性绒毛表面或隐窝有中性粒细胞浸润,小灶黏膜糜烂,此时内镜下表现为阿弗他溃疡。
结肠黏膜呈局灶性或斑片状慢性肠炎,病变较重处炎症也可均匀分布。结肠黏膜的隐窝结构改变大多局限而轻微,仅可见少量隐窝分支、隐窝加长或缩短(图7B)。
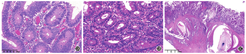
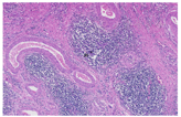
肉芽肿可见于15% ~ 65%的活检病例[7],肉芽肿数量少,多块活检组织可能仅见个别肉芽肿,体积小,无中央坏死(图7C)。肉芽肿并非CD病理诊断的必要条件,多部位活检提示炎症呈多灶性、不均匀分布的特征,伴慢性肠炎改变,特别是同时累及上下消化道的病变,即使没有肉芽肿形成,在合适的临床背景下,也可符合CD的诊断。
CD累及上消化道可表现食管、胃或十二指肠病变,表现为局灶性炎症,伴或不伴肉芽肿。食管病变较少见,可表现为局灶性慢性活动性炎症,鳞状上皮内淋巴细胞、中性粒细胞局灶性浸润,伴海绵水肿、黏膜糜烂溃疡等,也可表现为淋巴细胞性食管炎,淋巴细胞在上皮-间质交界处带状浸润(图8A)。胃病变早期呈局灶增强性胃炎,长期病变炎症范围扩大,并可能导致灶性腺体缺失。十二指肠病变可表现为局灶性炎症伴绒毛变短或变平、局灶性胃小凹化生、局灶性慢性活动性十二指肠炎伴腺体破坏等[8](图8B)。CD上消化道病变形态多不具有特异性,不能单纯依靠上消化道病变来诊断CD,需结合肠镜活检多灶性炎症,同时在临床及内镜支持的情况下综合判断。
CD常伴肛周病变,包括肛周溃疡、肛瘘、脓肿、肛门狭窄等。与其他肛周病变相比,CD的肛周病变常为深部肛周脓肿和复杂型肛瘘。肛门活检多为非特异性炎症,伴脓肿、瘘管等,少数病例可表现为斑片状炎症,淋巴细胞、组织细胞浸润,偶见肉芽肿形成。单纯肛周活检不能诊断CD,需结合消化道病变才能诊断。
多位于回盲部,内镜下呈环形溃疡,临床及影像检查支持结核有助于诊断。活检易见肉芽肿,肉芽肿体积大、数量多,常常相互融合成体积巨大的肉芽肿,肉芽肿中央可见坏死或中性粒细胞浸润,黏膜可出现慢性肠炎改变(图9)。需要注意,肠结核肉芽肿多位于黏膜下层,若取材仅取到黏膜层,有可能见不到肉芽肿而影响诊断准确性。由于肉芽肿体积较大,有时活检可能仅见肉芽肿一部分或边缘,导致识别困难,需积累一定经验,且需要仔细观察。抗酸染色阳性对诊断肠结核有重要作用,但肠结核标本中的阳性检测率低,抗酸染色阴性不能作为排除肠结核的依据。抗酸染色阳性时,阳性菌数量也非常少,需要非常仔细观察。结核杆菌的聚合酶链反应(polymerase chain reaction,PCR)检测有助于确定诊断。
内镜常见回盲部单个或多个边界清楚的深溃疡,患者常伴口腔溃疡、外阴溃疡。具有诊断特异性的血管炎多位于浆膜下层或黏膜下层较深处,黏膜活检一般看不到血管炎,故大多数情况下,活检不能明确肠白塞病的诊断。急性病变者溃疡旁黏膜呈缺血改变,活检提示病变与缺血相关,可排除CD。慢性病变者溃疡旁黏膜呈慢性肠炎改变,尤其是单部位取材时,很难与CD鉴别。肠白塞病没有肉芽肿形成,若有肉芽肿,则不支持肠白塞病的诊断。
原因不明的肠壁动脉或静脉病变,如动脉纤维平滑肌结构不良(arterial fibromuscular dysplasia)、肠道淋巴细胞静脉炎、特发性肠系膜静脉肌内膜增生等,导致受累区域黏膜慢性供血不良,常常表现为单节段或多节段慢性肠炎、溃疡形成、肠壁纤维化等改变,与CD非常相似[9]。活检一般取不到病变血管,仅表现为慢性肠炎,很难与CD鉴别。若有肉芽肿形成,则不支持肠道血管病的诊断。
临床多表现为不明原因高热、肠道肿物或深溃疡、淋巴结肿大等。组织学表现为黏膜结构不同程度破坏,浸润细胞成分单一,具有异型性,侵袭性淋巴瘤常见核分裂像。淋巴瘤多可通过免疫组化明确诊断。
UC可发生在任何年龄,多见于20 ~ 40岁。临床表现为反复发作的腹泻、黏液血便以及腹痛,可伴有发热、营养不良等全身症状。内镜下可见病变从累及直肠开始,逆行向近端结肠扩展,呈弥漫性、连续性改变,黏膜呈细颗粒状,红肿、质脆、易出血,血管纹理模糊,脓性分泌物附着,可伴糜烂或浅溃疡,大部分患者回肠正常。
UC始于直肠,常见左半结肠,以直肠、乙状结肠为重,病变向近端结肠逐渐减轻。炎症呈连续性、弥漫性分布,病变不同部位活检均可见程度相近的慢性肠炎,炎症分布均匀,炎症程度及隐窝结构改变程度较为一致。黏膜固有层全层可见大量淋巴细胞、浆细胞浸润,隐窝结构改变广泛而显著,可见基底浆细胞增多,潘氏细胞化生,结肠黏膜表面绒毛化,见图10。
活动期可见大量隐窝炎及隐窝脓肿,可伴糜烂或溃疡。静止期隐窝结构异常可持续存在,但固有层浸润炎症细胞明显减少,无隐窝炎及隐窝脓肿。病程长者黏膜明显萎缩变薄,隐窝数量明显减少。
常见于合并心血管疾病的老年人,多发于结肠脾曲及乙状结肠。急性缺血者,黏膜上半部隐窝枯萎,隐窝体积变小,上皮细胞呈立方状,胞质减少,杯状细胞消失,上皮萎缩或脱落,黏膜固有层透明变性,炎症细胞少(图3)。慢性部分性缺血者缺血与再生同时存在,隐窝可出现类似慢性肠炎的结构改变,出现隐窝分支、隐窝缩短、幽门腺或潘氏细胞化生等,但黏膜固有层炎症细胞一般很少。
内镜下常可见结肠黏膜广泛充血、红斑、糜烂,与UC的内镜改变相似。组织学上,不同药物可引起不同的黏膜损伤模式,包括缺血模式、局灶性活动性肠炎模式、移植物抗宿主反应样模式、显微镜下肠炎模式、慢性肠炎模式、坏死性肠炎模式等。黏膜结构改变而固有层炎症较轻、嗜酸性粒细胞浸润等特征提示可能为药物性肠炎。仔细询问患者药物史与肠道症状发生时间之间的关系,对明确诊断有重要意义。
早期UC需与急性感染性肠炎相鉴别,二者组织学形态极其相似,均表现为急性肠炎,不伴隐窝结构改变。基底浆细胞增多是UC最早出现的特征,一般不出现于急性感染性肠炎。临床病史、患者免疫状态及实验室检查有助于两者的鉴别。慢性感染性肠炎常导致结肠黏膜呈活动性慢性肠炎改变,尤其是以直肠、乙状结肠炎症为主的病变,与UC形态相似,需要仔细观察形态,寻找病原体的组织学证据。组织胞浆菌常引起巨噬细胞片状增生,菌体呈球形,大量存在于巨噬细胞胞质内。马尔尼菲蓝状菌感染也可引起巨噬细胞增生,菌体呈粗杆状,位于巨噬细胞胞质内。组织胞浆菌和马尔尼菲蓝状菌均可通过六胺银染色显示菌体。CMV感染常引起肠道溃疡,溃疡底部及边缘可见感染细胞体积明显增大,核内可见枭眼状包涵体。CMV免疫组化或原位杂交可显示包涵体。梅毒感染可见组织内浆细胞显著增生并围绕血管,Warthin-Starry染色及免疫组化染色可显示梅毒螺旋体。但是也有不少感染无法从病理获得有效的病原体诊断信息,需要通过其他微生物检测手段明确诊断。
典型的UC呈弥漫性慢性肠炎,从炎症分布方式及程度上,易与CD多灶性、局灶性慢性肠炎区分。但溃疡性肠炎经药物治疗后炎症可以呈不连续性,直肠豁免(rectal sparing),甚至黏膜正常化。活检中可见炎症斑片状分布,隐窝结构改变减轻,不能通过有无直肠病变、是否节段性或斑片状病变来鉴别CD还是UC。治疗前活检及病史、治疗史对确定诊断非常重要。对于治疗后病例,仅能根据肉芽肿及非倒灌性、非感染性、非药物性回肠炎,倾向考虑CD。
UC药物治疗效果不佳或合并异型增生或癌的患者,行全结直肠切除联合回肠储袋肛管吻合术(ileal pouch-anal anastomosis,IPAA)后,回肠储袋可发生储袋炎,组织学表现为非特异性急性炎症,隐窝炎、隐窝脓肿及黏膜溃疡形成,诊断需要结合临床、内镜改变[10]。在没有临床表现、内镜改变或回肠造口未回纳前,出现轻微急性炎症,少量中性粒细胞浸润,不能诊断为储袋炎。复发难治性储袋炎需要注意有无合并机会性感染的可能。
建议在日常诊断工作中对各部位活检标本分别进行活动性分级,即针对中性粒细胞介导的上皮损伤程度,将病变分为静止性(非活动性)、轻度活动性、中度活动性、重度活动性4个级别[2,11]。
静止性(非活动性):表面上皮、固有层、隐窝均无中性粒细胞浸润,无糜烂及溃疡。如果固有层单核炎症细胞浸润尤其明显,建议采用"非活动性"对病变进行分级。
轻度活动性:中性粒细胞浸润表面上皮或局部隐窝炎累及<25%隐窝,罕见隐窝脓肿(不超过1个)。
中度活动性:较多隐窝有中性粒细胞浸润(≥25%隐窝受累),或明显隐窝脓肿(2个以上)。
重度活动性:弥漫隐窝炎或隐窝脓肿(≥50%隐窝受累),或黏膜糜烂或溃疡。
需要注意的是,该分级仅针对单个活检标本。组织学活动性分级与活检取材部位相关,不同部位病变程度不一致,活检所见不同部位活动度可能存在差异。当内镜活检避开糜烂或溃疡取材时,组织学可能仅表现为轻度活动性或静止性,与内镜活动度不一致。CD炎症呈斑片状、节段性分布,活检取材造成的偏倚较UC更大一些。
肠镜黏膜活检不但可为疾病诊断提供依据,也可用于评估治疗效果,通过观察治疗前后活检组织黏膜炎症及结构的变化,评估治疗反应。有不少研究采用组织学分级系统对UC组织学病变严重程度进行分级,对急性和慢性炎症细胞浸润程度、基底浆细胞增多、隐窝结构改变等进行综合评估[12,13],用于临床诊断及临床试验中评估治疗前后黏膜病变情况,但由于多数分级系统实际操作复杂、重复性差,目前诊断工作中尚无统一的分级系统。
目前对于组织学黏膜愈合(histological mucosal healing)尚无统一的标准,有研究定义为黏膜形态完全恢复正常,也有研究定义为黏膜病变好转,隐窝变形及炎症细胞浸润程度减轻,残留黏膜损伤可持续存在,仍可见如隐窝密度减少伴隐窝分支、隐窝缩短等改变[14,15]。组织学缓解(histological remission)病例仅残留微小显微镜下病变,无活动性改变,容易获得内镜及临床缓解,减少手术切除概率[16]。活动性炎症、持续黏膜全层炎症细胞浸润、基底浆细胞增多、大量嗜酸性粒细胞浸润是疾病复发的危险因素[17,18,19,20]。临床实践中常可见黏膜无明显活动性,且表面上皮完整,但隐窝大量或完全消失。这类病例在黏膜愈合分级上尚无定论,但应该在备注中明确说明。
对于组织学愈合或组织学缓解,UC由于炎症弥漫性分布,评估结果更可靠;CD由于炎症分布的不均一性,可能由于活检取材偏倚,影响组织学评估的可靠性[21,22]。
随着IBD治疗的发展[23],组织学愈合受到日益关注,将成为今后IBD疗效评估的重要标准。因此,对于有特殊临床要求的单位,建议采用以下标准进行黏膜组织学愈合评估(表1)[24]。国内不同单位研究结果基于同一评估系统,便于将来有效交流,并不断完善这一评估系统。
手术切除标本应及时进行预处理。沿纵轴剪开肠管,一般小肠沿肠系膜对侧缘剪开,结肠沿前结肠带剪开;若有肿瘤,则沿肿瘤对侧剪开。清理肠内容物后,进行充分固定,一般固定过夜。对于粘连扭曲的肠管,直接切开可能会破坏瘘管、憩室等重要病变,建议预处理时不剪开肠管,清理肠内容物后,将固定液灌注入肠腔,夹紧两端切缘,进行固定。
标本取材前辨认小肠及结肠,分别测量小肠及结肠的长度、管径,寻找阑尾,并测量其长度、管径。仔细观察肠壁病变并进行详细、客观的记录,评估病变分布,测量肠壁厚度,有无肠管狭窄,记录肠壁最厚、最薄处,狭窄段长度及肠管内径。观察各肠段黏膜形态改变,是否有溃疡、息肉、颗粒状等改变,观察肠壁有无瘘管、脓肿及脂肪缠绕,寻找有无肿瘤。按解剖顺序描述各类病变特点,测量各类病变大小及位置关系,不同位置的同类病变用序号区分。
建议固定后,将标本按解剖学位置摆放,拍照记录,拍照既要拍摄全貌,也要拍摄病变细节特写。
(1)取肠管两侧切缘,齿状线、盲肠、回盲瓣、阑尾及回肠末端。
(2)每隔5 ~ 10 cm规律取材,若送检肠管较短时,可按实际情况缩短间隔。无需特意挑选病变部位,不应规避正常黏膜,注意在正常黏膜与病变交界处取材。CD标本在肉眼正常处可进行连续取材,有时可在显微镜下观察到对诊断有价值的节段性病变及早期病变。
(3)按病变描述的顺序,在病变处取材,比如增厚、狭窄、僵硬明显的部位应多取。不同部位的同类病变应注意分开取材,放入不同的取材盒中。
(4)检查肠系膜淋巴结及肠系膜血管并取材。
取材方向视具体情况而定。若送检肠管较长、病变较弥漫,与肠管长轴平行取材,纵行病变与肠管长轴垂直取材。若肠管较短、病变跳跃,则以肠管长轴垂直取材为主。一般来说,CD标本以取材方向与肠管长轴垂直为主,尤其是纵行溃疡处;UC标本以取材方向与肠管长轴平行为宜(图11A、11B)。


肠壁取材应注意取肠壁全层,包括肠系膜脂肪血管组织,以观察有无透壁性炎、肠穿孔及肠系膜血管病变等。注意寻找可能癌变处,若有癌变,则按结直肠癌取材规范进行。
CD最常累及末端回肠和右半结肠,特征性病变为节段性、透壁性炎症,炎症累及肠壁各层,引起肠壁增厚、肠腔狭窄、形成瘘管等改变,组织学可出现慢性肠炎、炎性息肉、肠壁炎症细胞浸润伴纤维组织增生等改变,并可见肉芽肿形成。
CD的病变呈节段性分布,在手术中可明确观察到病变跳跃性的特点,病变肠段之间为正常肠段,两者之间分界清楚,但是手术一般只切除有肠梗阻、脓肿等并发症的病变肠段,故手术切除标本不易见到病变节段性分布的特征,但是在肉眼正常肠段进行连续取材,有时在显微镜下可见早期病变呈节段性分布,对诊断有帮助。
肠壁常常显著增厚,肠腔狭窄。黏膜面溃疡常呈纵行。溃疡间的黏膜水肿,相对隆起,被深溃疡分隔,形成鹅卵石样外观。纵形溃疡修复后,留下铁轨样疤痕,疤痕收缩可引起组织下陷。炎症刺激形成炎性息肉,黏膜可见息肉状突起。裂隙状溃疡穿透肠管,可导致瘘管形成,瘘管旁肠壁或肠旁可形成脓肿,炎性肠管可相互粘连。回肠浆膜面可见脂肪组织绕肠管延伸,形成脂肪爬行,见图12[25]。


慢性炎症累及肠壁全层,形成透壁性炎。黏膜层可见广泛的慢性肠炎改变,黏膜固有层大量淋巴细胞、浆细胞浸润,小肠绒毛增粗、变短,甚至变平,回肠末端常见幽门腺化生,结肠可见隐窝分支、隐窝缩短等。肠道可见炎性息肉形成。肠壁各层均可见数量不等的淋巴细胞、浆细胞浸润,黏膜下层及浆膜层常见淋巴滤泡呈串珠状增生(图13A、13B)。
肠壁常见溃疡形成,溃疡大多与肠管长轴平行,部分病例可形成裂隙状溃疡,深而狭长,边界清楚,呈刀切状,与肠管长轴呈一定角度伸入肠壁深层(图13C)。裂隙状溃疡是瘘管形成的组织学基础。
肠壁各层受长期慢性炎症刺激,常引起黏膜下层和浆膜下层的纤维组织增生、神经组织增生,固有肌层增厚,有些病例在深溃疡修复后,可见固有肌层与黏膜肌层融合。可继发血管改变,出现闭塞性动脉内膜炎、慢性静脉炎等,但一般受累血管数量不多。
肉芽肿可见于肠壁各层,一般体积较小,散在分布,需要仔细寻找。肉芽肿内可见少数多核巨细胞,但没有坏死(图13D)。肉芽肿的数量与肠壁炎症及其继发的纤维组织增生等改变不成比例,炎症分布不以肉芽肿为中心。长期治疗后肉芽肿可消失。肠系膜淋巴结内有时可见肉芽肿(图13E)。
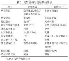
多局限于回盲部,肠壁各层可见大量肉芽肿形成,以黏膜下层、固有肌层、浆膜下层为主,肉芽肿体积大,数量多,常常相互融合,可见Langhans巨细胞,肉芽肿中央可见坏死。肠壁炎症以肉芽肿为中心分布,肉芽肿旁可见大量炎症细胞浸润、伴或不伴纤维化等改变。但没有肉芽肿的部位,肠壁各层形态基本正常。黏膜的改变与肉芽肿位置相关,当肉芽肿过大且靠近黏膜层或肉芽肿位于黏膜层时,病变则可波及黏膜层,出现溃疡,或引起隐窝结构改变、幽门腺化生等慢性肠炎改变,范围一般较局限。肉芽肿距离黏膜层较远时,黏膜形态正常[1,6,26],见图14。肠旁淋巴结常见体积巨大的肉芽肿,中央可见典型干酪样坏死。但是经抗结核治疗后的手术切除标本,肉芽肿数量可显著减少,甚至完全消失,但遗留慢性肠炎、肠壁炎症、纤维化等病变,与CD非常相似,组织学形态上难以鉴别。故临床病史及治疗前活检对鉴别诊断非常重要,见表2。

克罗恩病与肠结核的鉴别
克罗恩病与肠结核的鉴别
| 项目 | 克罗恩病 | 肠结核 |
|---|---|---|
| 病变部位 | 全消化道,常位于回肠及右半结肠 | 常位于回盲部 |
| 病变分布 | 节段性 | 多为单节段 |
| 慢性肠炎 | 范围广 | 无或局限 |
| 肠壁纤维组织增生 | 常见,广泛 | 可见,病变围绕肉芽肿 |
| 淋巴滤泡串珠 | 可见 | 少见 |
| 肉芽肿数量 | 少、散在分布 | 大量 |
| 肉芽肿体积 | 较小 | 大或多个小肉芽肿融合 |
| 肉芽肿中央坏死 | 无 | 常见 |
| 肠系膜淋巴结 | 偶见小肉芽肿 | 常见典型干酪样坏死性肉芽肿 |
| 抗酸染色 | 阴性 | 阳性(约20%) |
| 结核杆菌PCR | 阴性 | 阳性 |
注:PCR为聚合酶链反应
肠白塞病常位于回盲部,溃疡常较深,达黏膜下层甚至固有肌层。急性缺血时溃疡旁黏膜呈缺血改变,黏膜固有层炎症细胞很少,或以中性粒细胞为主的急性炎。慢性缺血时,溃疡旁黏膜可呈慢性肠炎改变,可见隐窝结构改变及幽门腺化生。溃疡处可见大量炎症细胞浸润,溃疡底部肠壁可见数量不等的炎症细胞浸润,甚至可见透壁性炎,但病变范围局限,溃疡旁黏膜固有层浸润炎症细胞的数量迅速递减,距离溃疡较远处可见黏膜及肠壁结构正常。血管炎改变常位于黏膜下层或浆膜层,静脉壁或动脉壁及其周围淋巴细胞浸润,见图15。慢性期可见孤立静脉血管全部或部分闭锁[27,28]。肠白塞病没有肉芽肿改变,见表3。



克罗恩病与肠白塞病、肠道血管病的鉴别
克罗恩病与肠白塞病、肠道血管病的鉴别
| 项目 | 克罗恩病 | 肠白塞病 | 动脉纤维平滑肌结构不良 | 肠道淋巴细胞静脉炎 | 特发性肠系膜静脉肌内膜增生 |
|---|---|---|---|---|---|
| 病变分布 | 节段性,主要位于回肠及右半结肠 | 孤立性,常见于回盲部 | 单节段或多节段 | 单节段或多节段 | 单节段或多节段 |
| 溃疡特点 | 纵行溃疡 | 边界清楚的深溃疡 | 单个或多个溃疡 | 单个或多个溃疡 | 单个或多个溃疡 |
| 透壁性炎症 | 常见 | 深溃疡底部可有 | 深溃疡底部可有 | 深溃疡底部可有 | 深溃疡底部可有 |
| 黏膜慢性炎症 | 广泛 | 主要位于溃疡旁,密度迅速递减 | 主要位于溃疡旁,密度迅速递减 | 主要位于溃疡旁,密度迅速递减 | 主要位于溃疡旁,密度迅速递减 |
| 隐窝结构改变 | 常见 | 常见 | 常见 | 常见 | 常见 |
| 幽门腺化生 | 常见 | 常见 | 常见 | 常见 | 常见 |
| 黏膜缺血改变 | 无 | 可见 | 少见 | 少见 | 少见 |
| 肠壁纤维化 | 常见 | 可见 | 可见 | 可见 | 可见 |
| 淋巴滤泡串珠 | 可见 | 罕见 | 罕见 | 罕见 | 罕见 |
| 肉芽肿 | 可见 | 无 | 无 | 无 | 无 |
| 血管改变 | 部分病例可见少数血管呈闭塞性动脉内膜炎、慢性静脉炎等 | 静脉或动脉淋巴细胞性血管炎 | 肠壁及肠系膜中等大小动脉内膜或中膜纤维平滑肌增生 | 肠壁及肠系膜小静脉淋巴细胞性静脉炎 | 肠系膜静脉管壁平滑肌显著增生,管腔闭塞 |
包括多种肠道血管病变,原因不明,常引起肠壁溃疡或肠壁增厚。动脉纤维平滑肌结构不良是一种原因不明的非炎症性、非动脉粥样硬化性血管病[29];肠壁及肠系膜中等大小动脉内膜或中膜的纤维平滑肌增生,血管腔狭窄以及逐渐闭塞。肠道淋巴细胞静脉炎是罕见的发生于胃肠道静脉的血管炎,不伴有系统性累及[30];病变可累及小肠和(或)结肠,肠壁及肠系膜小静脉可见血管炎,管壁淋巴细胞浸润,可伴有血栓形成,也可见静脉纤维内膜增生,管腔闭塞。特发性肠系膜静脉肌内膜增生是一种非血栓性、非炎症性肠系膜静脉闭塞,可见管壁平滑肌显著增生,管腔狭窄[31]。
肠道血管病可累及单节段或多节段肠管,肠壁溃疡,溃疡旁黏膜慢性肠炎改变,肠壁可见数量不等的炎症细胞浸润、纤维化(图16A、16B),与CD相似,但血管病变引起的慢性肠炎、透壁性炎、纤维化等病变多局限于溃疡旁,远离溃疡的肠壁则不会出现这些形态改变。血管病一般没有肉芽肿形成。诊断这些血管病的关键是仔细观察肠壁及肠系膜动脉、静脉形态,是否有异常的血管改变[9]。不少血管病变可通过影像学发现肠系膜血管异常,有助于术前的诊断与鉴别诊断,见表3。


UC病变从直肠开始,向近端延伸,呈连续性、弥漫性的慢性炎症,主要位于黏膜层及表浅黏膜下层,呈重度慢性肠炎改变。
活动性UC黏膜表面呈弥漫性细颗粒状伴充血、出血,可见浅溃疡形成(图17A、17B)。静止期黏膜皱襞消失,黏膜面变得萎缩、光滑。黏膜面可见数量不等的炎性息肉或假息肉突起[25]。
UC病变主要位于黏膜层,可累及表浅黏膜下层,一般黏膜下层深部、固有肌层及浆膜层均无炎症波及。活动期呈活动性慢性肠炎改变,黏膜固有层全层有大量淋巴细胞、浆细胞浸润,隐窝结构改变广泛而显著,可见潘氏细胞化生,结肠黏膜表面可呈绒毛状突起。可见大量隐窝炎及隐窝脓肿,伴黏膜糜烂或溃疡(图18A、18B)。非活动期隐窝炎、隐窝脓肿等活动性改变消失,但仍有隐窝结构的广泛改变。静止期黏膜广泛萎缩伴隐窝结构改变,没有隐窝炎、隐窝脓肿等活动性改变,黏膜固有层炎症细胞不多(图18C、18D)。部分病例溃疡修复后,黏膜肌层增厚,或黏膜肌层与固有肌层融合,黏膜下层消失。
左半结肠型UC同时伴阑尾口周围炎,其间结肠正常,形成不连续的炎症[34,35]。表现为直肠豁免或盲肠斑块的新发结肠炎病例,需要注意评估小肠有无病变,以鉴别CD。
UC出现末段回肠炎症,称为倒灌性回肠炎[36]。可见于少数重度全结肠炎,出现与结肠炎症相连续的回肠炎症,累及回盲瓣近端数厘米的末段回肠。末段回肠弥漫性充血、糜烂、溃疡。组织学上可见回肠黏膜绒毛和固有层呈急性炎症,绒毛增粗、缩短,浅表溃疡。
常为全结肠炎,黏膜广泛深溃疡,溃疡底部甚至可见透壁性炎,固有肌层可出现肌纤维退变及坏死[37]。透壁性炎不会出现于远离溃疡部位,也不会出现肠壁纤维化等改变。
原发性CMV肠炎多见于免疫低下者或老年人,可见单发或多发溃疡。肠壁溃疡,部分溃疡呈烧瓶状。溃疡底部可见感染细胞,主要为间质细胞或血管内皮细胞,细胞体积明显增大,细胞核内可见巨大紫红色病毒包涵体,呈枭眼状,胞质也可见大小不等的颗粒状病毒包涵体(图19)。溃疡旁黏膜呈慢性肠炎改变,可出现隐窝结构改变。UC也可合并CMV感染,鉴别需注意评估慢性肠炎的范围及CMV感染的范围。原发性CMV肠炎黏膜慢性肠炎范围局限于溃疡周边,若为多发性溃疡,病变可不连续。UC合并CMV感染慢性肠炎呈连续性,其范围明显大于感染及溃疡范围。
病变肠段主要位于回肠及右半结肠,病变呈节段性、透壁性,炎症累及肠壁全层,多可见明显的黏膜下层及浆膜层纤维化,肠壁可见散在分布的小肉芽肿(表4)。

克罗恩病与溃疡性结肠炎的鉴别
克罗恩病与溃疡性结肠炎的鉴别
| 项目 | 克罗恩病 | 溃疡性结肠炎 |
|---|---|---|
| 病变部位 | 全消化道,常位于回肠及右半结肠 | 结肠及直肠,常见左半结肠,以直肠和乙状结肠为重 |
| 病变分布 | 节段性 | 连续性 |
| 溃疡 | 纵行溃疡 | 表浅溃疡 |
| 瘘管 | 常见 | 无 |
| 肠壁增厚 | 常见 | 无 |
| 脂肪包饶 | 常见 | 无 |
| 肠壁炎症 | 透壁性炎症 | 表浅,黏膜层为主 |
| 黏膜慢性炎症 | 斑片状、局灶性 | 弥漫性 |
| 隐窝结构改变 | 局灶 | 广泛,严重 |
| 肠壁纤维组织增生 | 常见 | 无 |
| 淋巴滤泡串珠 | 可见 | 无 |
| 肉芽肿 | 可见 | 无 |
不确定型结肠炎这一名称用于手术切除标本,约5%的IBD病例在充分观察肠壁全层病变的基础上仍无法确定是CD抑或UC。病变呈广泛溃疡,常累及横结肠及右半结肠,表现为CD和UC重叠的病变特征,弥漫性严重的黏膜炎症,伴透壁性炎症,或裂隙状溃疡达固有肌层等[38,39,40]。
IBD不能分类可用于临床病史支持IBD的慢性结肠炎患者,充分的临床和内镜资料、规范的系统性黏膜活检、适当的影像学检查均无法确定是CD抑或UC。使用这一名称首先确定诊断是IBD,但无法进一步分为CD或UC[25]。
IBD,尤其是UC,由于肠道局部炎症刺激及免疫抑制剂的应用,引起潜伏感染的重新激活,出现机会性感染,常见CMV感染和EBV感染。机会性感染常导致疾病加重,发病率和住院率均增高。对于暴发性疾病、对治疗无反应、溃疡较大、肉芽组织明显的患者,均应该常规查找CMV和EB病毒感染的证据[41,42,43]。
IBD合并CMV感染主要见于UC病例(10% ~ 56%),CD则较少见(0 ~ 29%)[44]。IBD合并CMV感染常见溃疡形成,CMV感染的细胞主要集中于溃疡底部,体积明显增大,常为正常细胞的2 ~ 4倍,在细胞核和(或)细胞质可见显著的紫红色病毒包涵体(图20A)。
感染细胞数量多时,HE染色切片中容易找到CMV包涵体,但在病灶局限、包涵体数量少时,容易漏诊,免疫组化或原位杂交则可更为敏感而准确地检测CMV感染(图20B)。组织中出现个别CMV阳性细胞不一定是有临床意义的机会性感染,大量CMV阳性细胞则通常有临床意义[45,46]。因此,建议在病理报告中写明CMV阳性细胞的数量,例如热点区10个高倍视野(high power field,HPF)的阳性细胞数量,而不是仅报告阳性或阴性,这可为临床治疗提供更充分的依据。
IBD合并EBV感染占IBD患者的33% ~ 81%,UC较CD多见[43,47,48]。肠道EBV感染细胞主要为淋巴细胞,感染严重者可见溃疡形成,但感染细胞没有特殊的形态特征,需通过EBV编码RNA(EBV-encoded RNA,EBER)原位杂交确定。
肠道EBV感染包括非致病性潜伏感染与EBV肠炎,二者很难单独依靠EBER阳性细胞数量进行明确区分,需要综合临床表现、内镜特征、外周血EBV DNA拷贝数、组织学特征进行综合分析。一般来说,EBER阳性细胞数≥10个/HPF,临床表现为难治性IBD,活动性指标升高,外周血EBV DNA拷贝数增高,需考虑合并EBV机会性感染(图21);EBER阳性细胞数1 ~ 2个/HPF,全片偶见阳性细胞,外周血EBV DNA拷贝数无增高,多属于无临床意义的EBV非致病性潜伏感染;EBER阳性细胞数<10个/HPF,临床意义很难只靠EBER阳性细胞数确定,需要结合临床综合分析[49]。
长期使用免疫抑制剂的IBD患者,可发生医源性免疫缺陷相关淋巴组织增殖性疾病,部分病例为EBV阳性,组织学类型包括EBV阳性黏膜皮肤溃疡、弥漫大B细胞淋巴瘤、滤泡性淋巴瘤、非特指性外周T细胞淋巴瘤、霍奇金淋巴瘤等[50]。
IBD相关结直肠癌的风险高于普通人群,危险因素包括幼年发病、病程长、广泛结肠受累、严重炎症、息肉状黏膜病变、结直肠癌家族史等[51,52,53]。UC相关结直肠癌多于CD。CD可合并小肠腺癌,主要见于空肠远端和回肠[54]。IBD相关结直肠癌的演变是肠道炎症累积效应的结果,炎症刺激上皮增生,从异型增生发展到腺癌。近年来随着IBD癌变监测的发展,IBD相关结直肠癌发病率有所下降,但仍高于普通人群[55,56]。
异型增生指出现明确的肿瘤性上皮的组织学特征,不伴组织浸润的证据。异型增生在内镜下形态包括息肉状、非息肉状和内镜下不可见3种类型[57],组织学主要包括不确定性异型增生(indefinite for dysplasia)、低级别异型增生(low-grade dysplasia)和高级别异型增生(high-grade dysplasia)[58]。不确定性异型增生指形态上难以鉴别活动性病变引起的反应性改变还是真正的异型增生,需建议临床在治疗活动性病变后(3 ~ 6个月)进行复查。目前病理医生对异型增生进行诊断,尤其是低级别异型增生和再生性改变的鉴别存在较大的不一致性,建议诊断异型增生时,多与同行讨论,必要时请专家会诊,获得一致性意见时,方可诊断。
异型增生常为多灶性。黏膜可增厚,隐窝增生,排列密集,形状改变;细胞层次增多,失去极向,细胞核增大,核染色质深,核拥挤、重叠。核分裂像可位于隐窝上部,甚至位于表面。低级别异型增生细胞核类似腺瘤的细胞核,呈长杆状,主要位于上皮下半部(图22A)。高级别异型增生隐窝结构异常更显著,可呈筛状;上皮内细胞排列完全失去极向,细胞层次更多,占据上皮全层;细胞核大、多形性,以圆形或卵圆形为主,核仁明显(图22B)。


免疫组化染色可对判断有无异型增生提供一定帮助。P53过表达可见于33% ~ 67%异型增生病例[59,60],表现为强阳性表达,阳性细胞从隐窝底部延伸至隐窝表面。增殖指数Ki-67的表达部位可协助鉴别异型增生和再生性改变,再生性腺体Ki-67阳性细胞主要位于隐窝底部,增生区稍扩大,异型增生腺体Ki-67阳性细胞数量在隐窝底部与表面相似,没有梯度变化。
文献曾报道一些少见的非肠型异型增生,包括黏液性异型增生(mucinous dysplasia)[61]、锯齿状异型增生(serrated dysplasia)[62]、隐窝异型增生(crypt dysplasia)[63]等,这些新类型的生物学行为尚缺乏可靠的研究数据。
IBD相关结直肠癌常为多灶性,呈扁平型或浸润型,高级别组织学类型如黏液腺癌或印戒细胞癌多见(图22C),低级别管状腺癌相对少见。
23岁男性患者,腹痛半年,结肠镜多处溃疡。
结肠镜活检:
A.回肠末段:局灶轻度活动性慢性小肠炎,见备注。
B.盲肠:局灶轻度活动性慢性结肠炎,见备注。
C.升结肠:局灶轻度活动性慢性结肠炎,见备注。
D.横结肠:局灶轻度活动性慢性结肠炎,见备注。
E.降结肠:局灶轻度活动性慢性结肠炎伴肉芽肿,见备注。
F.乙状结肠:局灶轻度活动性慢性结肠炎,见备注。
G.直肠:局灶轻度活动性慢性结肠炎伴黏膜下层肉芽肿,见备注。
备注:本例多部位活检,显示小肠绒毛变形,萎缩,伴幽门腺化生及上皮内中性粒细胞浸润;结肠黏膜呈局灶慢性隐窝结构改变,伴活动性炎症反应,降结肠及直肠见肉芽肿。结合胃镜活检发现,病变及分布符合克罗恩病。
胃镜活检:
A.食管下段:鳞状上皮组织,未见明显病理改变。
B.胃体:胃体黏膜组织,未见明显病理改变。
C.胃窦:胃窦黏膜组织,未见明显病理改变。
D.十二指肠:多灶性轻度活动性慢性十二指肠炎,见备注。
备注:十二指肠黏膜呈慢性炎症改变,伴局灶性轻度活动性炎,结合肠镜活检病理改变,符合克罗恩病。未见肉芽肿。
34岁女性患者,腹痛,反复便血3个月余。
结肠镜活检:
A.回肠末段:小肠黏膜组织,未见病变。
B.盲肠:轻度活动性慢性结肠炎,见备注。
C.升结肠:轻度活动性慢性结肠炎,见备注。
D.横结肠:轻度活动性慢性结肠炎,见备注。
E.降结肠:中度活动性慢性结肠炎,见备注。
F.乙状结肠:中度活动性慢性结肠炎,见备注。
G.直肠:中度活动性慢性结肠炎,见备注。
备注:本例活检多部位见弥漫结构改变,以直肠、乙状结肠为重,伴活动性炎,包括隐窝炎及罕见隐窝脓肿。未见肉芽肿。病变及其分布符合溃疡性结肠炎。
34岁男性患者,患克罗恩病多年。肠梗阻入院,行手术切除。
小肠+右半结肠切除标本:
活动性慢性小肠结肠炎伴溃疡,伴局部黏膜下纤维化及肠壁增厚,见备注。
阑尾未见明显异常。
小肠断端、结肠断端大体检查未见病变。
肠系膜淋巴结(14枚)呈反应性增生,局部可见非坏死性上皮样肉芽肿,见备注。
备注:送检小肠及结肠见多灶性透壁炎及黏膜慢性结构改变(绒毛萎缩、变平,隐窝加长、分支、减少)伴深在性溃疡,局部可见幽门腺体化生,神经组织增生,局部淋巴滤泡增生及肠壁脓肿形成。肠壁未见肉芽肿,肠系膜淋巴结内可见非坏死性上皮样肉芽肿。上述组织学表现符合克罗恩病,伴狭窄。
45岁男性患者,患溃疡性结肠炎多年,药物治疗无效,行全结肠切除。
全结肠切除标本:
重度活动性慢性结肠炎伴广泛溃疡,见备注。
回肠切缘和结肠切缘均未见病变。
末端回肠未见病变。
阑尾淋巴滤泡增生。
肠系膜淋巴结7枚,均呈反应性增生。
备注:全结肠黏膜显示连续性结构改变(部分隐窝分支、伸长、扭曲),伴广泛溃疡形成,局部可见隐窝炎、隐窝脓肿。并见炎性息肉,未见肉芽肿,未见明显透壁炎,组织学改变为重症炎症性肠病,符合溃疡性结肠炎。
综上所述,IBD的病理表现因人而异,且各阶段表现不一,因此无绝对组织学诊断标准,需要病理医生全面掌握肠道非肿瘤性疾病的核心病理形态特点,充分结合临床、内镜及影像学表现,进行综合分析与判断。活检组织的病理诊断依赖规范的内镜系统性活检。手术切除标本的病理诊断则基于规范、系统的大体标本观察与取材。由于活检部位、数量、病史等缺陷,病理医生常常无法在病理报告中作出明确诊断。因此,病理医生需要与相关临床医生沟通,以了解更多有用信息,使诊断报告提供更有价值的意见。反复不断的病理反馈也有助于临床医生提高活检质量,共同提高诊断效率和准确性。在某些情况下,虽然无法提供最终诊断,但是对于能够明确排除临床怀疑的鉴别诊断,也应该在备注中说明。IBD相关异型增生的诊断一致性较差,建议诊断由消化专科病理专家确认。
参与本专家指导意见讨论与制定单位及人员(按姓名汉语拼音顺序排列):
陈玲(空军军医大学西京医院病理科),陈旻湖(中山大学附属第一医院消化内科),陈晓宇(上海交通大学医学院附属仁济医院病理科),陈琰琰(武汉大学中南医院病理科),范松青(中南大学湘雅二医院病理科),冯砅锦(上海第十人民医院病理科),何度(四川大学华西医院病理科),黄艳(中山大学附属第六医院病理科),姜支农(浙江大学附属邵逸夫医院病理科),雷梓(昆明医科大学第一附属医院病理科),李增山(空军军医大学西京医院病理科),刘芳芳(北京大学人民医院病理科),石雪迎(北京大学医学部病理系北京大学第三医院病理科),吴开春(空军军医大学西京医院消化内科),肖书渊(武汉大学中南医院病理科武汉大学病理中心),许晶虹(浙江大学医学院附属第二医院病理科),叶子茵(中山大学附属第一医院病理科),游燕(北京协和医院病理科),袁菲(上海交通大学医学院附属瑞金医院病理科),周炜洵(北京协和医院病理科)
衷心感谢胡品津、欧阳钦、钱家鸣、吴小平、钟捷等教授对此项工作的精心指导与大力支持
所有作者均声明不存在利益冲突





















