
观察汉黄芩素对葡聚糖硫酸钠(DSS)诱导的小鼠结肠炎的影响并探讨作用机制。
将18只C57BL/6小鼠随机分为对照组、模型组和治疗组,每组6只。对照组正常饮水,其他2组连续给予含2.5%DSS的饮用水7 d,治疗组在喂水第2天和第4天腹腔注射汉黄芩素。第8天处死小鼠并取材,通过测量小鼠结肠长度和HE染色评估小鼠结肠损伤和炎症水平,利用免疫荧光检测小鼠结肠组织中性粒细胞的浸润数量。另外,以25、50、100 μmol/L汉黄芩素体外干预小鼠骨髓中性粒细胞,阴性对照组不予任何干预。采用流式细胞术检测中性粒细胞的凋亡,Western blot检测中性粒细胞抗凋亡蛋白髓细胞白血病-1(Mcl-1)和细胞外信号调节激酶(ERK)表达变化。
与模型组比较,治疗组的小鼠结肠明显较长[(7.80 ± 0.21)cm比(6.43 ± 0.10)cm,P<0.01)],结肠组织病理损伤评分明显降低[(6.83 ± 0.98)分比(14.33 ± 1.03)分,P<0.01)],结肠中性粒细胞浸润显著减少[(8.52 ± 0.15)个/低倍镜视野比(29.43 ± 0.43)个/低倍镜视野,P<0.01)]。阴性对照组以及25、50、100 μmol/L汉黄芩素组中性粒细胞的凋亡率分别为6.41%±0.51%、14.01% ± 0.81%、20.89% ± 0.82%、24.23% ± 0.29%;随着汉黄芩素浓度增高,中性粒细胞凋亡率明显升高,组间差异具有统计学意义(均P<0.01)。与阴性对照组比较,25、50、100 μmol/L汉黄芩素组中性粒细胞磷酸化ERK表达均明显减少(均P<0.05)。随着汉黄芩素浓度升高,中性粒细胞Mcl-1蛋白表达逐渐减少(均P<0.05)。
汉黄芩素可浓度依赖性诱导小鼠中性粒细胞凋亡,减少结肠组织中性粒细胞浸润,减轻肠道损伤,上述作用可能通过抑制ERK磷酸化和浓度依赖性下调Mcl-1表达来实现的。
版权归中华医学会所有。
未经授权,不得转载、摘编本刊文章,不得使用本刊的版式设计。
除非特别声明,本刊刊出的所有文章不代表中华医学会和本刊编委会的观点。
炎症性肠病(inflammatory bowel disease,IBD)是一种反复发作的慢性非特异性肠道炎性疾病,病因和发病机制不明。目前临床常用药物的不良反应难以克服,并无有效的根治方法[1,2]。因此,筛选天然的、不良反应少的药物治疗IBD是研究的热点。黄芩是临床常用的中药,可用来治疗葡聚糖硫酸钠(dextran sulfate sodium,DSS)诱导的小鼠结肠炎[3],黄芩中的黄芩苷、黄芩素、汉黄芩苷、汉黄芩素等成分都可以减轻DSS诱导的小鼠肠道炎症[3,4,5],但分子机制尚不清楚。
中性粒细胞是机体固有免疫应答的重要组成成分,在IBD发展过程起着双重作用,既能维持肠道的功能稳定,过度炎症又会引起机体损伤[6,7]。我们的体外预实验提示汉黄芩素促进中性粒细胞凋亡,体内预实验发现汉黄芩素改善结肠炎小鼠的症状。本研究探讨汉黄芩素是否通过下调抗凋亡蛋白髓细胞白血病-1(myeloid cell leukemia-1,Mcl-1)的表达来诱导中性粒细胞凋亡,从而改善DSS诱导的结肠炎。
24只SPF级健康雄性C57BL/6小鼠,鼠龄8 ~ 12周,体质量25 ~ 35 g,购自江苏集萃药康生物科技有限公司,实验动物生产许可证:SYXK(苏)2018-0008,饲养于中山大学实验动物中心,实验动物使用许可证:SYXK(粤)2017-0081。在无特定病原体的条件下繁殖小鼠,并接受12 h光照和12 h黑暗的交替周期。所有动物实验经中山大学伦理机构审查委员会批准(批准号:SYSU-IACUC-2020-000423)。
汉黄芩素(HY-N0400,纯度:99.98%)购自中国MCE公司。DSS购自加拿大MP公司。髓过氧化物酶(myeloperoxidase,MPO)购自美国Abcam公司。4′,6-二脒基-2-苯基吲哚(4′,6-diamidino-2-phenylindole,DAPI)购自美国Sigma公司。凋亡检测试剂盒购自美国Invitrogen公司。中性粒细胞纯化试剂盒购自美国Biolegend公司。Mcl-1、总的细胞外调节蛋白激酶(t-ERK)、磷酸化ERK(p-ERK)、Alexa Fluor® 555标记抗兔抗体购自美国Cell Signaling Technology公司。RPMI-1640培养基和胎牛血清购自美国Gibco公司。化学发光检测试剂盒(ECL)购自中国Amersham Biosiciences公司。
Cytoflexs流式细胞仪购自美国Beckman Coulter公司。Western blot制胶板、Western blot电泳转槽购自美国Bio-Rad公司。Tanon 5200全自动化学发光图像分析系统购自上海天能科技有限公司。全自动正置荧光显微镜、冷冻切片机购自德国Leica公司。
18只小鼠随机分为对照组、模型组、治疗组,每组6只。对照组小鼠正常饮水7 d,模型组和治疗组小鼠饮用含2.5% DSS的溶液,连续饮用7 d,建立结肠炎模型[8]。治疗组小鼠在建模第2天和第4天分别腹腔注射汉黄芩素(100 mg/kg)。
处死6只正常小鼠,无菌环境下取小鼠腿骨,研磨骨头,PBS冲洗细胞后,转移至用70 μm的细胞滤网放在50 ml离心管,过滤细胞,细胞计数后,用磁珠分选中性粒细胞,将细胞悬液以1×106/ml接种于48孔板中,每孔0.5 ml。实验组分别给予25、50、100 μmol/L汉黄芩素(储存浓度为50 mmol/L)处理细胞,阴性对照组不予处理。37℃、5% CO2培养4 h后,收集每组细胞,分成两份,一份用于凋亡检测,一份用于蛋白(Mcl-1和ERK)测定。
每天测量小鼠的体质量。第8天处死小鼠,取结肠组织,量取结肠长度。同时取小鼠结肠最靠近肛门端1 cm的末端组织,用于后续HE染色和免疫荧光等相关检测。
将远端结肠组织放在4%甲醛中固定,石蜡包埋并切片(厚度5 μm),行HE染色。参考文献[9],从炎症(I)、损伤程度(D)、再生能力(R)、隐窝病变(C)、参与率(P)方面进行评估。I:3分,重度;2分,中度;1分,轻度;0分,无。D:3分,透壁;2分,黏膜和黏膜下层;1分,黏膜;0分,无。R:4分,没有组织修复;3分,表面上皮细胞未完好;2分,损伤隐窝再生;1分,几乎完全再生;0分,完全再生或对照组织。C:4分,整个隐窝和上皮丧失;3分,仅表面上皮完整;2分,基底2/3受损;1分,基底1/3受损;0分,无。P:4分,76% ~ 100%;3分,51% ~ 75%;2分,26% ~ 50%;1分,1% ~ 25%。组织学评分= I+D+R+C+P。
将远端结肠组织放在4%甲醛中固定48 h,蔗糖脱水2 d,行冷冻切片,将玻片浸入0.01 mol/L PBS溶液,在摇床上洗10 min,组织抗原修复后,用0.3‰ Triton X-100室温孵育1 h,水洗,封闭液封闭1 h,加入一抗兔抗小鼠MPO(1∶100),4℃孵育过夜,水洗后加入羊抗兔二抗(1∶300),室温孵育1 h,水洗后滴加DAPI,盖上盖玻片,用正置荧光显微镜计数,在× 200视野下,每只小鼠计算两个层面的MPO阳性细胞数即每低倍镜视野(low power field,LPF)观察到的细胞数。所有计数采用双盲进行,取均值进行统计分析。
用预冷PBS洗涤2次,将细胞重悬于500 μl缓冲液中,加入PI和Annexin V,暗室中孵育20 min,再滴加适量的缓冲液,尽快上机检测。
细胞中加入细胞裂解液,超声波破碎仪提取全蛋白,用蛋白质定量法(BCA)测定蛋白浓度。每孔40 μg蛋白上样量,用十二烷基硫酸钠-聚丙烯酰胺凝酸(SDS-PAGE)电泳,转膜,5%脱脂奶粉封闭,加入兔抗小鼠ERK抗体、兔抗磷酸化ERK抗体和Mcl-1一抗(1∶1000),4℃过夜孵育,在TBST洗涤后,加上羊抗兔二抗IgG(1∶3000)孵育。在Tanon 5200机器上用化学发光检测试剂盒(ECL)对标记的蛋白进行曝光显影。采用兔抗小鼠β-actin一抗(1∶1000)作为内参对照。采用Image J图像分析软件进行分析,计算目的蛋白与对应内参的条带灰度比值。
采用Graph prism 6统计软件,计量资料以(Mean ±SD)表示,采用单因素方差分析比较多组间的差异,组间差异的两两比较用SNK-q检验,以P< 0.05为差异具有统计学意义。
实验1 ~ 4 d,3组小鼠体质量差异不明显;第5天模型组小鼠体质量开始明显下降;第8天模型组体质量明显低于对照组[(22.72 ± 0.74)g比(27.68 ± 0.99)g,P<0.05],治疗组体质量显著高于模型组[(25.00 ± 0.99)g比(22.74 ± 0.74)g,P<0.05]。
模型组第8天结肠明显短于对照组[(6.43 ± 0.10)cm比(8.75 ± 0.25)cm,P<0.01)];治疗组结肠明显长于模型组[(7.80 ± 0.21)cm比(6.43 ± 0.10)cm,P<0.01)],见图1。结果表明汉黄芩素明显抑制结肠组织的缩短,缓解体质量下降,提示汉黄芩素能改善DSS小鼠的健康状况。


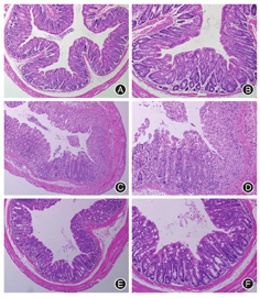
结肠的病理组织学结果证实,对照组小鼠结肠组织结构完整,无炎性细胞浸润;模型组小鼠结肠黏膜不完整,有溃疡形成,腺体结构破坏明显,大量炎性细胞浸润黏膜层及黏膜下层,结肠损伤程度严重;治疗组小鼠结肠结构较完整,偶见散在的小溃疡,腺体排列较整齐,偶见炎性细胞浸润,炎症明显减轻。见图2。


与对照组相比,模型组的小鼠结肠组织病理损伤评分更高[(14.33 ± 1.03)分比(0.67 ± 0.52)分,P< 0.01)];与模型组相比,治疗组的小鼠结肠组织病理损伤评分更低[(6.83 ± 0.98)分比(14.33 ± 1.03)分,P<0.01)]。结果说明汉黄芩素有效地改善模型组小鼠的肠组织炎症性病变,具有保护作用。
与对照组比较,模型组小鼠结肠MPO阳性细胞数更多,即中性粒细胞数目更多[(29.43 ± 0.43)个/LPF比(0.33 ± 0.07)个/LPF,P<0.01)];与模型组比较,治疗组结肠中性粒细胞数目更少[(8.52 ± 0.15)个/LPF比(29.43 ± 0.43)个/LPF,P<0.01)]。由此可见,汉黄芩素能抑制DSS诱导损伤时的结肠组织中性粒细胞浸润。见图3。


体外实验中,阴性对照组及25、50、100 μmol/L汉黄芩素组的中性粒细胞凋亡率分别为6.41% ± 0.51%、14.01% ± 0.81%、20.89% ± 0.82%、24.23% ± 0.29%,随着汉黄芩素浓度升高,凋亡率也逐渐升高,任意两组比较差异均有统计学意义(均P< 0.01),提示汉黄芩素呈浓度依赖性促进中性粒细胞凋亡。见图4。


与阴性对照组相比,25、50、100 μmol/L汉黄芩素刺激中性粒细胞4 h后,p-ERK的表达均明显减少(均P<0.05),即汉黄芩素可抑制ERK的磷酸化,而t-ERK的表达无明显变化。25、50、100 μmol/L汉黄芩素组间Mcl-1表达梯度减少,差异具有统计学意义(均P<0.05),即汉黄芩素可浓度依赖性抑制Mcl-1的表达。见图5和表1。



4组中性粒细胞Mcl-1、p-ERK和t-ERK蛋白表达的差异(Mean±SD)
4组中性粒细胞Mcl-1、p-ERK和t-ERK蛋白表达的差异(Mean±SD)
| 组别 | Mcl-1 | p-ERK | t-ERK | |
|---|---|---|---|---|
| 阴性对照组 | 1.07 ± 0.07 | 1.01 ± 0.12 | 0.92 ± 0.07 | |
| 汉黄芩素(μmol/L) | ||||
| 25 | 0.96 ± 0.03 | 0.47 ± 0.08a | 0.93 ± 0.02 | |
| 50 | 0.86 ± 0.03ab | 0.37 ± 0.08a | 0.88 ± 0.06 | |
| 100 | 0.63 ± 0.06abc | 0.32 ± 0.11a | 0.89 ± 0.08 | |
注:与阴性对照组相比,aP<0.05;与25 μmol/L汉黄芩素组相比,bP<0.05;与50 μmol/L汉黄芩素组相比,cP<0.05;Mcl-1为髓细胞白血病-1;p-ERK为磷酸化细胞外调节蛋白激酶;t-ERK为总的细胞外调节蛋白激酶
炎症性肠病(inflammatory bowel disease,IBD)是一类病因尚不完全明确的慢性炎症性疾病。中国IBD的发病率也逐渐上升[1,2]。研究表明,IBD是由中性粒细胞、T细胞、巨噬细胞等多种炎性细胞参与的肠道疾病。中性粒细胞作为固有免疫细胞,首先被募集到炎症部位,清除病原体后启动自发性凋亡程序来维持其数量平衡。然而,在IBD病理过程中,随着中性粒细胞不断地浸润,释放大量炎性介质,如白细胞介素(interleukin,IL)-6、IL-1β、肿瘤坏死因子-α(tumor necrosis factor-α,TNF-α)等,促使结肠组织损伤。据报道,IBD患者的结肠组织有大量中性粒细胞浸润和活化,形成隐窝脓肿,加重组织损伤[10,11]。本研究也证实,与对照组相比,模型组结肠组织中有明显的中性粒细胞浸润。
汉黄芩素是黄芩的主要活性成分之一,为一种天然黄酮类化合物,分子式为C16H1205。现有的研究表明,汉黄芩素具有广泛的生物活性,如抗炎作用[11,12,13]、抗癌作用[14,15,16,17]等,具有较好的临床应用前景,引起广泛关注。本研究发现,给予汉黄芩素腹腔注射能减轻结肠病理损伤和减少肠道炎性细胞浸润,说明汉黄芩素对结肠炎具有较好的治疗效果。对比模型组,汉黄芩素治疗后小鼠结肠组织的中性粒细胞浸润明显减少,表明汉黄芩素可能是通过调节中性粒细胞来发挥抗炎作用的。中性粒细胞的凋亡是机体限制自身免疫炎症的重要方式[18],其凋亡可抑制炎症发展,从而发挥治疗作用。本研究的体外实验也表明,随着汉黄芩素浓度的递增,中性粒细胞的凋亡率逐渐上升,提示汉黄芩素通过诱导中性粒细胞的凋亡来起到抗炎作用。
中性粒细胞凋亡受多种因素调控,其中抗凋亡蛋白Mcl-1在细胞抗凋亡过程中发挥重要作用。Mcl-1能螯合线粒体外膜,通过与Bak和Bax结合形成二聚体而发挥抗凋亡作用[19]。Balakrishnan等[20]报道,磷酸化的ERK可上调抗凋亡蛋白Mcl-1的表达。ERK属于丝裂原活化的蛋白激酶(MAPK)系统,研究显示,中性粒细胞中的MAPK系统,特别是ERK信号通路在激活后可磷酸化ERK,从而使中性粒细胞的凋亡延迟[21]。本研究Western blot结果显示,汉黄芩素不仅浓度依赖性地抑制Mcl-1蛋白的表达,也抑制了磷酸化ERK表达,提示中性粒细胞的凋亡通过抑制ERK磷酸化水平,从而下调Mcl-1蛋白的表达。
综上所述,本研究发现汉黄芩素可减轻小鼠结肠炎症状,其机制可能通过下调中性粒细胞ERK磷酸化水平,减少抗凋亡蛋白Mcl-1的表达,促进中性粒细胞凋亡从而发挥抗炎作用。这为IBD治疗提供新的思路,但是汉黄芩素是否具有不良反应还需长期观察,最优治疗剂量还需要进一步探索,以便为其临床应用提供更多的理论依据。
所有作者均声明不存在利益冲突





















