
分析死亡受体3(Dr3)基因缺陷对不同结肠炎小鼠模型肠黏膜炎症的影响,并探讨Dr3基因缺陷与肠黏膜通透性的关系。
收集雌性Dr3基因缺陷(Dr3-/-)小鼠和野生型(WT)小鼠各9只,分别设为Dr3-/--DSS组和WT-DSS组。两组小鼠均采用2.5%葡聚糖硫酸钠(DSS)溶液连续饮用5 d、灭菌水饮用2 d为1个循环,共4个循环的方法建立慢性结肠炎模型。收集雄性WT、Dr3-/-小鼠作为供体鼠,采用磁珠和流式细胞术分别筛选出WT、Dr3-/-的初始T淋巴细胞并腹腔注射至免疫缺陷(Rag1-/-)小鼠和Dr3-/-Rag1-/-小鼠,作为WT转移组和Dr3-/-转移组,从而建立T细胞过继转移诱导的结肠炎模型。观察小鼠体质量、大便性状及潜血,并计算疾病活动指数(DAI)。显微镜下观察小鼠肠黏膜损伤及炎症细胞浸润程度,并计算肠炎组织学评分。通过FITC-dextran血清荧光法检测小鼠肠黏膜通透性。比较两组间的DAI评分、组织学评分和FITC-dextran含量的差异。
(1)Dr3-/--DSS组小鼠的DAI评分在建模第12、19、26天明显高于WT-DSS组小鼠,差异有显著统计学意义(均P<0.05)。建模后4周,WT-DSS组小鼠直肠组织学评分明显高于盲肠和结肠(10.130 ± 1.540比3.667 ± 0.236和7.222 ± 1.199,均P<0.05),提示WT-DSS组直肠炎症程度最重;Dr3-/--DSS组小鼠结肠组织学评分明显高于盲肠和直肠(11.330 ± 1.167比7.556 ± 1.519和9.500 ± 0.824,均P<0.05),提示Dr3-/--DSS组结肠炎症程度最重;与WT-DSS组比较,Dr3-/--DSS组小鼠盲肠和结肠的组织学评分显著增高(盲肠:7.556 ± 1.519比3.667 ± 0.236,P = 0.022;结肠:11.330 ± 1.167比7.222 ± 1.199,P = 0.026),而两组直肠的组织学评分差异无统计学意义(P>0.05),提示Dr3基因缺陷使盲肠和结肠炎症加重。(2)建模后6周,WT转移组直肠组织学评分明显高于十二指肠、空肠、回肠末端、盲肠、结肠中段(均P<0.05),提示WT转移组直肠炎症最重;Dr3-/-转移组盲肠组织学评分明显高于十二指肠、空肠、回肠末端、结肠中段、直肠(均P<0.05),提示Dr3-/-转移组盲肠炎症最重;Dr3-/-转移组小鼠小肠(包括十二指肠、空肠、回肠末端)组织学评分显著高于WT转移组(17.667 ± 0.943比14.667 ± 1.167,P<0.05),且小肠的炎症细胞浸润更为明显(十二指肠:4.000 ± 0.289比3.222 ± 0.401,P=0.135;空肠:4.000 ± 0.236比3.111 ± 0.309,P<0.05;回肠:4.889 ± 0.309比3.889 ± 0.261,P<0.05),提示Dr3基因缺陷加重小肠炎症。(3)Dr3-/-小鼠眼静脉血FITC-dextran含量明显高于WT小鼠(656.0 ± 60.9比403.8 ± 54.8,P<0.05),Dr3-/--DSS小鼠眼静脉血FITC-dextran含量显著高于WT-DSS组(1176.4 ± 109.5比545.7 ± 97.8,P<0.05),Dr3-/-转移组小鼠眼静脉血FITC-dextran含量显著高于WT转移组(1270.5 ± 112.2比711.0 ± 71.5,P<0.05),Dr3-/-Rag1-/-小鼠眼静脉血FITC-dextran含量明显高于Rag1-/-小鼠(714.5 ± 62.9比501.8 ± 59.8,P<0.05),提示Dr3基因缺陷小鼠肠黏膜通透性更高。
小鼠Dr3基因缺陷增加肠黏膜通透性,破坏肠黏膜屏障功能,加重实验性结肠炎的肠道近端炎症,提示Dr3基因可能通过调节肠黏膜通透性在肠道炎症中发挥保护作用。
版权归中华医学会所有。
未经授权,不得转载、摘编本刊文章,不得使用本刊的版式设计。
除非特别声明,本刊刊出的所有文章不代表中华医学会和本刊编委会的观点。
肠黏膜屏障受损导致黏膜通透性增加,与炎症性肠病(inflammatory bowel disease,IBD)的发生密切相关[1,2]。肿瘤坏死因子样配体1A(tumor necrosis factor-like ligand 1A,TL1A)属于肿瘤坏死因子(tumor necrosis factor,TNF)超家族,其过表达介导肠黏膜炎症的发生发展[3,4],参与IBD的发生[5],然而作用机制尚未明确。死亡受体3(death receptor 3,DR3)是TL1A唯一已知的功能受体,含有促凋亡作用的死亡结构域,最近发现肠上皮细胞和肠纤维母细胞也表达DR3蛋白[6]。因此,深入探讨TL1A/DR3在肠道炎症中的作用机制,对了解IBD的发病机制和拓展其治疗思路具有重要意义。
本研究采用葡聚糖硫酸钠(dextran sodium sulfate,DSS)诱导的慢性结肠炎模型和T细胞过继转移诱导的结肠炎模型,评估Dr3基因缺陷对实验性结肠炎的炎症程度和部位的影响,分析其与肠黏膜通透性的关系。
C57BL/6J为背景的Dr3基因缺陷(Dr3-/-)小鼠、野生型(WT)小鼠、免疫缺陷(Rag1-/-)小鼠购自江苏集萃药康生物科技有限公司[动物生产许可证号:SCXK(苏)2018-0008],小鼠培育并饲养于杭州师范大学SPF级实验动物中心,动物使用许可证号为SYXK(浙)2020-0026。Rag1-/-小鼠和Dr3-/-小鼠杂交4代以上得到Dr3-/-Rag1-/-小鼠,剪鼠尾提取DNA,以聚合酶链反应(polymerase chain reaction,PCR)进行相应基因型鉴定。本研究动物饲养条件符合实验动物等级标准,所有操作内容均符合杭州师范大学实验动物伦理委员会要求。
DSS(相对分子质量40 000 ~ 50 000)、异硫氰酸荧光素标记葡聚糖(FITC-dextran)购于美国Sigma公司。小鼠CD4+ T细胞分离试剂盒购于加拿大Stemcell公司。藻红蛋白(phycoerythrin,PE)、大鼠抗小鼠CD45RB抗体(#103308,1∶100)、FITC大鼠抗小鼠CD4抗体(#100406,1∶100)购于美国BioLegend公司。
收集10 ~ 14周龄雌性Dr3-/-小鼠和WT小鼠各9只(体质量18 ~ 24 g),分别作为Dr3-/--DSS组和WT-DSS组。参考文献[7],利用2.5%DSS溶液连续饮用5 d+灭菌水饮用2 d为1个循环,共4个循环构建小鼠结肠炎模型。两组小鼠于第1 ~ 5、8 ~ 12、15 ~ 19和22 ~ 26天给予2.5%DSS溶液,其余时间予灭菌水。建模前以及建模后第5、12、19、26天检测小鼠体质量、大便性状及潜血。4周后处死小鼠,取盲肠、结肠中段、直肠组织,每次取材部位一致,4%甲醛固定,石蜡包埋,切片,行苏木素-伊红(HE)染色,显微镜下观察肠黏膜损伤、上皮再生及炎症细胞浸润程度。
按参考文献[7],利用6 ~ 8周龄雄性WT、Dr3-/-小鼠分别作为供体鼠,收集脾脏和肠系膜淋巴结单个核细胞,小鼠CD4+ T细胞磁珠分选,然后在富集后的CD4+ T细胞中加入CD45RB抗体和CD4抗体,流式细胞术分选出CD4+ CD45RB+ top40%细胞即初始T淋巴细胞,分别获得WT、Dr3-/-的T淋巴细胞。以每只小鼠5×105的CD4+ CD45RB+ T淋巴细胞量,腹腔注射至10 ~ 14周龄雄性受体鼠,共18只,体质量25 ~ 31 g。Rag1-/-小鼠作为WT细胞的受体鼠即WT转移组,Dr3-/-Rag1-/-小鼠作为Dr3-/-细胞的受体鼠即Dr3-/-转移组,每组9只。建模后第7、14、21、28、35、42天检测小鼠体质量、大便性状及潜血。建模6周后处死小鼠,取十二指肠、空肠、回肠末端、盲肠、结肠中段、直肠组织,每组取材部位一致,4%甲醛固定,石蜡包埋,切片,行HE染色,显微镜下观察肠黏膜损伤及炎症细胞浸润程度。
按参考文献[8],根据上述建模小鼠的体质量变化、大便性状改变和隐血试验结果,评定结肠炎诱导过程中的疾病活动指数(disease activity index,DAI)。参考文献[8],分别根据两种模型小鼠的病理切片进行肠道组织学评分,主要包括炎症程度、炎症累及深度、隐窝破坏、上皮再生和病变范围:无炎症反应、轻度炎症反应、中度炎症反应、重度炎症反应分别记为0、1、2、3分,无病变、炎症累及黏膜层、炎症累及黏膜层与黏膜下层、炎症累及全层分别记为0、1、2、3分,无受损、基底1/3隐窝受损、基底2/3隐窝受损、仅有完整表面上皮、全部上皮破坏分别记为0、1、2、3、4分,完全再生或正常组织、几乎完全再生、再生伴隐窝缺损、表面上皮不完整、无修复分别记为0、1、2、3、4分,病变范围1% ~ 25%、26% ~ 50%、51% ~ 75%、76% ~ 100%分别记为1、2、3、4分。总分为几方面评分之和,分值越高,表明炎症反应程度越重。
根据参考文献[9],采用FITC-dextran渗透入血的含量来评估肠黏膜通透性。周龄、性别匹配的几组小鼠,分别为WT和Dr3-/-小鼠,DSS诱导的结肠炎模型中WT-DSS和Dr3-/--DSS小鼠,T细胞过继转移诱导的结肠炎模型中Rag1-/-小鼠、Dr3-/-Rag1-/-小鼠、WT转移小鼠和Dr3-/-转移小鼠,每组6只,体质量25 ~ 31 g,禁食12 h以上,FITC-dextran以125 mg/ml浓度溶解在PBS中,以每100 g体质量给予50 mg FITC-dextran剂量灌胃,1 h后处死小鼠,用肝素化的帕斯特吸管采集眼球血液,3500 r/min离心10 min,离心半径13 cm,收集血清,用荧光分光光度计(激发波长480 nm、发射波长530 nm)测量吸光度值,按标准曲线计算FITC-dextran含量。含量越高,肠黏膜通透性越好。
采用GraphPad Prism 5统计学软件,正态分布的计量资料以(Mean ±SD)表示。两组间的差异比较采用t检验;多组间比较采用单因素方差分析,进一步两两比较采用Turkey检验。以P<0.05为差异具有统计学意义。
18只小鼠均建模成功,无死亡。诱导过程中两组小鼠出现体质量减轻、大便性状改变、大便隐血阳性或肉眼血便。从建模第12天开始,Dr3-/--DSS组小鼠的DAI评分高于WT-DSS组小鼠,直至建模第26天(7.778 ± 0.741比5.444 ± 0.580,P<0.05);而两组体质量差异始终无显著统计学意义(均P>0.05)。
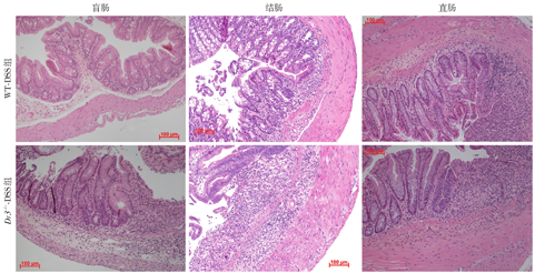
建模4周后,显微镜下观察发现,WT-DSS组小鼠的病变主要集中在远端结直肠,以直肠最严重,结肠近端病变逐渐减轻,盲肠炎症程度较轻,小肠未累及。Dr3-/--DSS组小鼠以结肠炎症最为严重,直肠和盲肠其次,小肠仍未受累。见图1。


组织学评分显示,WT-DSS组小鼠直肠组织学评分明显高于盲肠和结肠(10.130 ± 1.540比3.667 ± 0.236和7.222 ± 1.199,均P<0.05),提示WT-DSS组直肠炎症最重;Dr3-/--DSS组小鼠结肠组织学评分明显高于盲肠和直肠(11.330 ± 1.167比7.556 ± 1.519和9.500 ± 0.824,均P<0.05),提示Dr3-/--DSS组结肠炎症程度最重;与WT-DSS组比较,Dr3-/--DSS组小鼠盲肠和结肠的组织学评分显著增高(盲肠:7.556 ± 1.519比3.667 ± 0.236,P = 0.022;结肠:11.330 ± 1.167比7.222 ± 1.199,P = 0.026),两组直肠的组织学评分差异无统计学意义(P>0.05),提示Dr3基因缺陷使盲肠和结肠炎症加重。
根据炎症程度和炎症累及深度评分之和来评估炎症细胞浸润情况,以隐窝破坏和上皮再生评分之和来评估隐窝和上皮损伤情况,与WT-DSS组比较,Dr3-/--DSS组小鼠盲肠和结肠的炎症细胞浸润更为明显(盲肠:3.222 ± 0.364比2.222 ± 0.147,P<0.05;结肠:4.667 ± 0.289比3.667 ± 0.289,P<0.05),隐窝和上皮损伤亦更为显著(盲肠:4.333 ± 1.213比1.444 ± 0.242,P<0.05;结肠:6.667 ± 0.957比3.556 ± 1.002,P<0.05)。
T细胞过继转移后3周,小鼠开始出现体质量减轻、大便性状改变、大便隐血阳性或肉眼血便。WT转移组和Dr3-/-转移组小鼠DAI评分和体质量在建模后始终差异均无统计学意义(均P>0.05),提示Dr3基因缺陷并没有显著改变肠炎的疾病活动性。
建模后6周,显微镜下观察发现,WT转移组小鼠的小肠、盲肠、结肠、直肠等均有病变发生,盲肠、结直肠的病变比小肠严重,以直肠最严重,见图2。Dr3-/-转移组的炎症仍以盲肠、结直肠为主。


WT转移组直肠组织学评分明显高于十二指肠、空肠、回肠末端、盲肠、结肠中段(均P<0.05),提示WT转移组直肠炎症最重;Dr3-/-转移组盲肠组织学评分明显高于十二指肠、空肠、回肠末端、结肠中段和直肠(均P<0.05),提示Dr3-/-转移组盲肠炎症最重;Dr3-/-转移组小鼠直肠组织学评分显著低于WT转移组(9.667 ± 1.014比12.889 ± 0.857,P = 0.027),两组在其余部位的组织学评分差异均无统计学意义(均P>0.05)。将WT转移组和Dr3-/-转移组小肠(包括十二指肠、空肠、回肠)组织学评分、结直肠(包括结肠和直肠)的组织学评分进行比较,发现Dr3-/-转移组小鼠的小肠组织学评分显著高于WT转移组(17.667 ± 0.943比14.667 ± 1.167,P<0.05),但两组间结直肠组织学评分差异无明显统计学意义,小肠加结直肠总分差异亦无显著统计学意义。见表1。

WT转移组和Dr3-/-转移组小鼠建模6周后组织学评分比较(Mean ±SD)
WT转移组和Dr3-/-转移组小鼠建模6周后组织学评分比较(Mean ±SD)
| 部位 | WT转移组(n = 9) | Dr3-/-转移组(n = 9) | t值 | P值 |
|---|---|---|---|---|
| 直肠 | 12.889 ± 0.857 | 9.667 ± 1.014 | 2.427 | 0.027 |
| 十二指肠 | 4.333 ± 0.553a | 5.111 ± 0.512 | 1.032 | 0.317 |
| 空肠 | 4.222 ± 0.434a | 5.222 ± 0.547 | 1.432 | 0.171 |
| 回肠末端 | 6.111 ± 0.539a | 7.333 ± 0.471 | 1.708 | 0.107 |
| 盲肠 | 10.556 ± 1.056a | 11.556 ± 1.107bcde | 0.654 | 0.523 |
| 结肠中段 | 10.444 ± 1.355a | 10.444 ± 0.604f | 0.000 | 1.000 |
注:WT转移组为T细胞过继转移诱导的结肠炎小鼠野生型;Dr3-/--转移组为T细胞过继转移诱导的结肠炎小鼠死亡受体3(Dr3)基因缺陷型;与WT转移组直肠比较,aP<0.05;与Dr3-/-转移组直肠比较,bP<0.05;与Dr3-/-转移组十二指肠比较,cP<0.05;与Dr3-/-转移组空肠比较,dP<0.05;与Dr3-/-转移组回肠末端比较,eP<0.05;与Dr3-/-转移组盲肠比较,fP<0.05
进一步对组织学亚项分析发现,Dr3-/-转移组小鼠的炎症细胞浸润以回肠、盲肠、结肠最为显著,分别为4.889 ± 0.309、4.778 ± 0.401和5.222 ± 0.324,均明显高于十二指肠(4.000 ± 0.289)和直肠(3.778 ± 0.434),差异均具有统计学意义(均P<0.05)。与WT转移组比较,Dr3-/-转移组小鼠的直肠炎症细胞浸润显著减轻(3.778 ± 0.434比5.111 ± 0.309,P<0.05),隐窝、上皮损伤显著减轻(5.889 ± 0.611比7.778 ± 0.641,P<0.05),但是十二指肠、空肠、回肠的炎症细胞浸润更为明显(十二指肠:4.000 ± 0.289比3.222 ± 0.401,P = 0.135;空肠:4.000 ± 0.236比3.111 ± 0.309,P<0.05;回肠:4.889 ± 0.309比3.889 ± 0.261,P<0.05)。提示Dr3基因缺陷加重小肠炎症。
在肠黏膜通透性检测时,Dr3-/-小鼠眼静脉血FITC-dextran含量明显高于WT小鼠(656.0 ± 60.9比403.8 ± 54.8,P<0.05),提示Dr3基因缺陷小鼠在自稳状态下即有肠黏膜通透性增高。在DSS诱导的结肠炎模型中,Dr3-/--DSS小鼠眼静脉血FITC-dextran含量显著高于WT-DSS组(1176.4 ± 109.5比545.7 ± 97.8,P<0.05);在T细胞过继转移诱导的结肠炎模型中,Dr3-/-转移小鼠眼静脉血FITC-dextran含量显著高于WT转移组(1270.5 ± 112.2比711.0 ± 71.5,P<0.05),WT转移小鼠眼静脉血FITC-dextran含量明显高于Rag1-/-小鼠(711.0 ± 71.5比501.8 ± 59.8,P<0.05);Dr3-/-Rag1-/-小鼠眼静脉血FITC-dextran含量明显高于Rag1-/-小鼠(714.5 ± 62.9比501.8 ± 59.8,P<0.05)。以上结果均提示Dr3基因缺陷小鼠在炎症和非炎症状态下肠黏膜通透性更高。
当前TNF-α抑制剂广泛用于临床IBD治疗,作为TNF和TNFR超家族成员的TL1A/DR3信号在IBD发生发展中的作用已引起研究者的关注[10]。抗TL1A抗体的治疗价值正逐渐被认识[11],而DR3是唯一已知的功能受体,其在IBD中的作用有必要进行深入研究。本研究揭示了Dr3基因系统性缺陷对实验性结肠炎严重程度和病变部位的影响。
DSS是一种由蔗糖合成的硫酸多糖体,多次循环饮用DSS溶液及饮用水可诱导慢性结肠炎。病变主要集中在远端结直肠,以直肠最严重,结肠近端病变逐渐减轻,小肠未累及,病变侵及黏膜和黏膜下层,除炎症细胞浸润外,隐窝及上皮细胞损伤很明显,黏液血便是常见症状,与人类溃疡性结肠炎(ulcerative colitis,UC)极其相似。与野生型小鼠比较,Dr3基因缺陷小鼠在慢性结肠炎时的体质量改变无差异,大便性状及便血情况更严重,直肠的组织学评分无差异,但结肠和盲肠的组织学评分升高,不仅炎症细胞浸润更为明显,隐窝和上皮损伤亦更为显著,提示重症炎症部位发生改变,由野生型小鼠直肠变为Dr3基因缺陷小鼠的结肠和盲肠。已有文献报道DSS诱导结肠炎的急性模型,结果显示Dr3基因敲除小鼠表现为更严重的肠黏膜炎症[7],结合本组的结果,我们认为DR3在DSS诱导的急慢性肠黏膜炎症中起着保护作用。
在T细胞诱导的慢性肠炎模型中,受体鼠是免疫缺陷小鼠,体内的淋巴细胞不能发育成熟,将CD4+CDRBhigh初始T细胞注入免疫缺陷小鼠体内引起的是透壁性炎症,与克罗恩病(Crohn′s disease,CD)相似。WT转移小鼠在小肠和结直肠均有病变发生,结直肠病变比小肠严重,但以直肠最严重。尽管Dr3基因缺陷并没有显著改变疾病活动指数,直肠的组织学评分显著低于对照组,结肠和盲肠的组织学评分未见显著性差异,但小肠的组织学评分显著高于对照组,组织学评分的升高主要是炎症细胞浸润引起的,隐窝及上皮损伤很小;Dr3基因缺陷时以回肠、盲肠、结肠炎症细胞浸润最为明显。本组结果提示Dr3基因缺陷同样使得重症炎症部位发生改变,由直肠变为小肠。现已明确T淋巴细胞与CD的发生密切相关,Dr3基因缺陷可加重小肠的炎性浸润,推测抑制T淋巴细胞的迁移能减轻疾病,而DR3蛋白可能在抑制T细胞迁移中发挥作用。
鉴于Dr3基因缺陷促使UC、CD模型的重症炎症部位发生改变,肠道近端炎症加重,我们检测了稳态及炎症状态下肠黏膜的通透性,发现Dr3缺陷小鼠在自稳状态下即有肠黏膜通透性增高,在DSS诱导的慢性结肠炎和T细胞过继转移性结肠炎时肠黏膜通透性也有显著升高。肠黏膜通透性增加是肠黏膜屏障功能异常的重要特征之一,通透性增加提示肠黏膜屏障功能损伤,导致肠道细菌和其他抗原物质跨过上皮进入黏膜,引起免疫反应增强,触发或加重炎症。本研究还发现WT转移的受体鼠比Rag1-/-鼠有更高的通透性。另有研究显示CD患者肠黏膜通透性显著高于UC患者和正常对照者,并与疾病活动度呈正相关[12]。SAMP1/YitFc小鼠发生的慢性回肠炎与人类CD类似,模型小鼠肠黏膜通透性增加,伴紧密连接蛋白Claudin-2、Occludin mRNA表达改变,而且肠黏膜通透性增加早于回肠炎症的发生[13]。本课题组前期研究亦发现Dr3缺陷小鼠在年幼时肠黏膜通透性就有增加,随着年龄的增长约至6月龄时,可自发产生回肠炎症。我们推测,Dr3基因缺陷导致肠黏膜通透性增高,近端肠腔内丰富的细菌或其他抗原分子向黏膜易位并激活免疫细胞,产生大量细胞因子和炎症介质,炎性细胞因子可通过调节紧密连接蛋白的表达加重肠黏膜屏障功能损伤,进一步加重肠黏膜炎症反应。Dr3基因缺陷时的菌群改变及紧密连接蛋白的表达情况尚需研究。
最近研究发现DR3不仅表达于免疫细胞,也表达于肠上皮细胞和间质细胞,表明TL1A/DR3信号的作用十分复杂和广泛,而且有证据提示TL1A与DR3之间存在其他的配体或受体[14]。本研究中采用的是Dr3基因系统敲除小鼠,对于DR3在不同细胞中的功能仍需进一步研究,后期将通过特异性敲除技术来分析其亚功能,并寻找未知的配体或受体,揭示TL1A/DR3信号传导与IBD的关系,为其作为治疗靶点提供理论基础。
综上所述,小鼠Dr3基因缺陷增加肠黏膜通透性,破坏肠黏膜屏障功能,加重实验性结肠炎的肠道近端炎症,提示Dr3基因可能通过调节肠黏膜通透性在肠道炎症中起着保护作用。
所有作者均声明不存在利益冲突





















