
本文报道郑州大学第一附属医院收治的1例溃疡性结肠炎使用美沙拉嗪诱发急性胰腺炎的病例,并就美沙拉嗪诱发的药源性急性胰腺炎展开讨论。
版权归中华医学会所有。
未经授权,不得转载、摘编本刊文章,不得使用本刊的版式设计。
除非特别声明,本刊刊出的所有文章不代表中华医学会和本刊编委会的观点。
患者女性,29岁,因"间断黏液脓血便5年,再发伴发热5个月"于2020年12月14日就诊于郑州大学第一附属医院。5年前患者无明显诱因出现黏液脓血便,伴腹痛、腹泻,大便5 ~ 6次/d,排便后腹痛减轻。当地诊所予以止泻药、抗生素等,症状可缓解,上述症状平均每年发作1次。5个月前上述症状再次出现,大便10 ~ 15次/d,腹痛较前加重,伴发热,体温最高38 ℃,经外院结肠镜检查,诊断为溃疡性结肠炎(ulcerative colitis,UC)。自行服用甲氢泼尼松琥珀酸钠片24 mg/d,症状逐渐缓解,大便2 ~ 3次/d;减至4 mg/d时症状再次加重,大便6 ~ 8次/d,呈糊状脓血便;加用美沙拉嗪缓释颗粒4.0 g/d,共计2 d,腹痛症状进一步加重。患者近5个月来精神状态、食欲、睡眠较差,小便正常,体质量无明显变化。既往史、个人史、家族史无特殊。
入院后体格检查:体温36.4℃,脉搏83次/min,呼吸21次/min,血压118/62 mmHg(1 mmHg = 0.133 kPa),体质量指数(body mass index,BMI)18.75 kg/m2。上腹部轻压痛及反跳痛。余无异常。
实验室检查:白细胞计数10.01 × 109/L,血小板计数422 × 109/L,血钾3.26 mmol/L,谷丙转氨酶44 U/L,谷氨酰转肽酶70 U/L,前白蛋白76 mg/L;红细胞沉降率(erythrocyte sedimentation rate,ESR)23 mm/1 h,C-反应蛋白(C-reactive protein,CRP)72.58 mg/L,降钙素原(procalcitonin,PCT)0.09 ng/ml,抗中性粒细胞胞质抗体(perinuclear anti-neutrophil cytoplasmic antibody,pANCA)(+),真菌D葡聚糖检测(-);EB病毒(Epstein-Barr virus,EBV)、巨细胞病毒(cytomegalovirus,CMV)、抗核抗体(anti-nuclear antibody,ANA)、IgG4、结核杆菌γ-干扰素释放试验均为阴性,甲状腺功能未见异常。粪便培养菌群失调,肠球菌优势生长。尿淀粉酶2258.00 U/L(正常范围0 ~ 1000 U/L),血淀粉酶353.00 U/L(正常范围0 ~ 220 U/L),血脂肪酶207.20 U/L(正常范围13 ~ 60 U/L);血糖、血脂均正常。
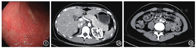
结肠镜检查:横结肠至直肠黏膜呈颗粒状、血管纹理不清、散在糜烂,Mayo内镜评分为2分,见图1。活检组织病理:直肠黏膜慢性炎症伴糜烂,可见隐窝炎。全腹部CT:胰腺形态饱满;部分结肠及直肠管壁稍增厚水肿,并少许渗出,见图2。心脏彩超:少量心包积液。磁共振胰胆管造影(magnetic resonance cholangiopancreatography,MRCP):胰腺周围少量渗出,肝内外胆管未见明显扩张及充盈缺损。


患者入院后初步诊断及治疗:(1)轻症急性胰腺炎,符合《中国急性胰腺炎诊治指南(2019,沈阳)》诊断标准;(2)UC(慢性复发型,广泛结肠型,重度活动期)。立即给予患者禁食禁水、抑酸、生长抑素及抗生素治疗,观察效果。患者于入院后第2天出现间断发热,伴恶心、呕吐症状,多于夜间发热,热峰39℃,给予对症退热及止吐后症状可缓解;入院第5天给予注射用比阿培南0.30 g/次,每8 h 1次。症状改善不佳,经排除其他病因后考虑急性胰腺炎发病可能与美沙拉嗪有关,停用美沙拉嗪并给予甲氢泼尼松琥珀酸钠40 mg/d静脉滴注3 d,腹痛、发热及便血等症状逐渐好转,复查尿淀粉酶626 U/L,血脂肪酶59 U/L及血淀粉酶211 U/L,均恢复正常,同时改为口服甲氢泼尼松琥珀酸钠40 mg/d。
与患者及其家属沟通了后继的治疗并反复告知风险后,患者及家属仍强烈要求再次尝试使用美沙拉嗪,患者于12月30日口服美沙拉嗪肠溶片4.0 g/d。12月31日复查血淀粉酶363 U/L,血脂肪酶516.3 U/L,患者再次出现腹痛症状,立即停用美沙拉嗪并再次禁食、抑酸、生长抑素及抗生素治疗3 d,患者症状及实验室检查均逐渐改善。患者继续口服甲氢泼尼松琥珀酸钠40 mg/d(持续使用2周)联合英夫利西单克隆抗体300 mg/次(按照第0、2、6周诱导缓解,随后每8周1次方案)治疗UC,并且甲氢泼尼松琥珀酸钠逐渐减停(共使用15周)。随访至2021年4月,患者未再有急性胰腺炎发生。
药源性急性胰腺炎(drug-induced acute pancreatitis,DIAP)是指由用药继发的伴有相应临床急性胰腺炎表现的胰腺分泌功能或胰腺组织器官损害,相对少见,占所有类型急性胰腺炎的2% ~ 5%[1]。日本一项研究报道,在3443例DIAP不良事件中,美沙拉嗪相关的DIAP有127例(3.7%),报告比值比(reporting odds ratio,ROR)为27.6,95%CI:23.0 ~ 33.1,从而认为美沙拉嗪是较为常见的诱发DIAP的药物之一[2]。
DIAP在诊断上需符合急性胰腺炎的诊断标准;急性胰腺炎发生在药物使用期间;需排除其他可能引起急性胰腺炎的常见原因;停止用药后急性胰腺炎的症状缓解或消失;再次使用怀疑的药物后急性胰腺炎症状复发(激发试验阳性)。本例患者首次应用4 g/d的美沙拉嗪缓释颗粒后出现轻症急性胰腺炎,停药后再次应用4 g/d的美沙拉嗪肠溶片出现轻症急性胰腺炎。本例患者美沙拉嗪与急性胰腺炎的发生具有明确的因果关系,诊断明确。
DIAP的发生机制包括胰管收缩,细胞毒性和代谢作用,有毒代谢产物或有害中间物质的积累以及超敏反应[3]。然而,美沙拉嗪诱发DIAP的具体机制尚不清楚,仍需进一步研究。
而关于药物剂量与DAIP的关系,Meczker等[4]研究发现如果用同样剂量的药物引起DIAP再次发作,87.8%的患者表现为轻型胰腺炎,中型和重型的DIAP分别占7.32%和4.88%;如果药物再激发时减少药物剂量,则96.43%表现为轻型DIAP,3.57%表现为重型DIAP。Sehgal等[5]研究发现口服美沙拉嗪可诱发DIAP,对于UC而言,口服高剂量(>2.4 g/d)和低剂量(≤2.4 g/d)美沙拉嗪相比,其安全性并无显著差异。
其他IBD相关药物也可诱发DIAP。Meczker等[4]研究分析了1060例DIAP的严重程度及病死率,其中38例(3.58%)由IBD相关药物引起;IBD相关药物引起的DIAP中,4例发展为重型急性胰腺炎,其中死亡2例。据报道,IBD常用药物中的糖皮质激素、嘌呤类药物均会诱发DIAP,也有报道称,生物制剂阿达木单克隆抗体、英夫利西单克隆抗体、维得利珠单克隆抗体等诱发DIAP[6],但是相比糖皮质激素,生物制剂诱发DIAP不良事件的发生率较低[2]。但也有研究认为英夫利西单克隆抗体可以改善急性重症胰腺炎的生化和组织病理学指标[7]。
IBD患者是DIAP的高危人群,应尽可能避免使用引起DIAP的药物,如必须使用,考虑换用不同类别或同类别的不同药物。激发试验需慎重使用,仅在患者病情需要,且无其他可选择药物时,或者试验的收益明显大于风险时,在充分告知患者风险并签署知情同意书后方可实行。因此,我们在IBD治疗过程中,应提高对DIAP的认识,警惕美沙拉嗪等相关药物的不良反应。
所有作者均声明不存在利益冲突





















