
线粒体神经胃肠脑肌病(MNGIE)是一种罕见的常染色体隐性遗传性线粒体疾病,临床上以胃肠道和神经系统受累为主要特征,目前国内报道较少。本文报道1例以慢性腹泻为主要表现的MNGIE患者,旨在提高对MNGIE的认识。
版权归中华医学会所有。
未经授权,不得转载、摘编本刊文章,不得使用本刊的版式设计。
除非特别声明,本刊刊出的所有文章不代表中华医学会和本刊编委会的观点。
患者男性,30岁,因"反复腹泻14年,加重1个月余"于2020年6月11日收入云南省第一人民医院。14年前患者无明显诱因开始出现腹泻,2 ~ 3次/d,呈黄色糊状、时混有油脂、量少,伴腹鸣,无呕吐,无畏寒,无盗汗,曾多次外院诊治未能明确诊断。1个月前腹泻症状加重,7 ~ 8次/d,性状同前,偶伴下腹隐痛,休息后可自行缓解,当地医院胃肠镜检查未见明显异常,腹部增强CT提示末段回肠肠壁均匀性增厚、强化,盆腔少量积液,考虑炎症所致,予药物治疗后未见明显好转。患者近1个月精神、睡眠一般,食欲欠佳,小便正常,体质量下降5 kg。既往因外伤致"脾破裂"行"脾切除术","肝破裂"行"肝修补术"。家族史中患者父母属于近亲结婚,其奶奶和外婆是亲姐妹,患者有5个姐姐,均无类似情况。
体格检查:一般情况尚可,全身均匀性消瘦,体质量指数12.11 kg/m2,骨骼肌16.9 kg,体脂3.5 kg;眼球稍凹陷,双眼睑上抬不充分,双眼各向活动受限,无复视;腹凹陷,无胃肠型及蠕动波,可见两条陈旧性手术疤痕,全腹软,无压痛、反跳痛,腹膜刺激征阴性,肝脾未触及肿大,莫菲征阴性,移动性浊音阴性,肠鸣音4 ~ 5次/min;双下肢无水肿,肌张力可,颜面肌、颈肌、肩胛带肌、双上肢肌力5级,双下肢近端肌力4+级,远端5级,双上肢腱反射活跃,双下肢腱反射未引出,病理征未引出,感觉、共济运动正常,余无阳性体征。
实验室检查:血浆乳酸:4.98 mmol/L(正常:0.5 ~ 2.2 mmol/L),甲胎蛋白:9.79 ng/ml(正常:1.09 ~ 8.04 ng/ml),余检查均未见明显异常。
内镜和病理检查:胃镜提示非萎缩性胃炎伴胆汁反流;活检病理提示胃角慢性非萎缩性胃炎,十二指肠降段黏膜未见萎缩,黏膜固有层中可见少许炎性细胞浸润,黏膜肌明显水肿和少许炎性细胞浸润。肠镜提示结肠黏膜未见异常,病理提示乙状结肠慢性黏膜炎。
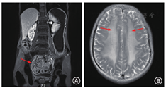
影像学检查:小肠MRI示结肠回盲部、下腹回肠肠管管壁呈较广泛不同程度肿胀、增厚(图1A),考虑为炎性改变;胆汁淤积;胃呈无力型改变。颅脑MRI示中脑、脑桥、双侧小脑半球及双侧丘脑、基底节区、半卵圆中心弥漫性片状较对称异常信号影;双侧筛窦炎,左侧蝶窦内结节状影,性质良性,黏膜囊肿可能(图1B)。


其余辅助检查:肌活检未见破碎红纤维,肌纤维内未见明显脂滴和糖原物质沉积。肌电图提示多发性(周围性)神经性受损,运动、感觉均累及,以感觉纤维受损为主。听力检查提示中度神经性听力减退。
外周血基因测序结果:检测基因为TYMP,染色体位置为chr22:50967646,转录本编号核苷酸变化为NM_001953.4:c.336delT(p.Val113Trpfs*30),亚区为EX3,基因型为纯合型。在线粒体DNA缺失综合征1型相关的TYMP基因第3号外显子上1个碱基缺失,导致该基因转录终止子提前出现。
诊断及治疗:诊断考虑线粒体神经胃肠脑肌病(mitochondrial neurogastrointestinal encephalomyopathy,MNGIE),治疗上给予患者口服辅酶Q、维生素B2改善细胞代谢,同时给予止泻、促消化、营养支持、改善胃肠功能等对症治疗,患者症状好转后于2020年6月24日出院。出院后患者在当地医院及我院分别输注1个单位血小板,输注血小板后患者症状改善明显,近期随访体质量已较前增加4 kg。
MNGIE是一种罕见的常染色体隐性遗传性线粒体疾病,由编码胸苷磷酸化酶(thymidine phosphorylase,TP)的细胞核基因TYMP突变引起[1]。TYMP基因位于常染色体22q13.32,是MNGIE的致病基因。TP酶可将脱氧胸苷和脱氧尿苷降解,因此TYMP基因突变引起的酶缺乏或活力下降导致脱氧胸苷和脱氧尿苷的大量蓄积,造成线粒体DNA突变或耗竭,最终导致线粒体功能衰竭。消化系统、脑组织、周围神经、自主神经、脾、膀胱及肺的TP酶含量较高,而其他器官组织含量极少。当TP酶活性降低或缺失时,消化系统和神经系统就会出现功能障碍。临床主要特征包括胃肠动力障碍、恶病质、眼球活动受限、眼睑下垂、周围神经病变和脑白质病变等[2]。MNGIE是一种持续进行性和退行性疾病,预后不佳,平均死亡年龄为37.6岁[3]。死亡的主要原因是胃肠道、肝脏并发症和恶病质。目前国内罕见该病研究报道。
MNGIE的诊断依据典型的临床表现、肌肉活检、小肠黏膜组织学(排除其他病变)、TP酶活性检测、血浆中或尿中脱氧胸苷和脱氧尿苷水平等,金标准是TYMP基因测序[4]。临床表现不典型的患者经常被误诊为神经性厌食症、炎症性肠病、肠易激综合征、假性肠梗阻、乳糜泻、夏科·玛丽·牙病和各种脑白质营养不良。本例患者以慢性腹泻为主诉就诊,但相关检查未提示胃肠道系统有明显异常,结合患者既往两次重大外伤史,使我们警惕是否存在神经肌肉系统疾病。最终该患者经基因测序证实为MNGIE,同时该突变位点目前尚未检索到有报道,这也扩展了TYMP基因的变异谱系。
目前MNGIE缺乏有效治疗方法。临床干预的重点是恢复TP酶活性或消除积累的代谢物,其中血小板输注可外源性补充一定量活力正常的TP酶、血液透析或腹膜透析可过滤清除积累的代谢物,进而改善症状,但作用都是短暂的,需要反复治疗。Moran等[5]首次在MNGIE患者中进行了酶替代疗法,该方法从患者体内分离自体红细胞,通过低渗透析的方法在体外将重组大肠杆菌TP酶装载入红细胞后再回输患者体内,患者病情取得了长期缓解。原位肝移植也是一种新兴的酶替代疗法,目前只是用于既往存在肝功能衰竭的MNGIE患者的首选治疗方法。此外,异体造血干细胞移植也是一个恢复TP酶活性的可行办法,但存在移植物抗宿主病及移植失败的风险。通过慢病毒将TYMP基因融合入患者自身造血干细胞的基因疗法目前正处于临床前实验中,该方法有望克服移植物抗宿主病及供体选择的问题[6]。
由于MNGIE的预后不佳,本病例提示需要提高对该病的认识,因此,早诊断早治疗就显得至关重要。
所有作者均声明无任何利益冲突





















