
版权归中华医学会所有。
未经授权,不得转载、摘编本刊文章,不得使用本刊的版式设计。
除非特别声明,本刊刊出的所有文章不代表中华医学会和本刊编委会的观点。
结直肠癌是困扰全球的恶性肿瘤之一,其发病率和死亡率均位居恶性肿瘤前列[1]。结直肠癌常合并肝转移,其次是肺转移。结直肠癌常出现多个部位的转移,其发生率为8.4%。其中肝和肺、肝和区域外淋巴结、肝和腹膜是最常见的多部位转移部位[2]。
结直肠癌根据转移时机的不同,可分为同时性和异时性转移。在结直肠癌确诊前或确诊时发现的转移被定义为同时性转移,而异时性转移是指在结直肠癌根治术6个月后发生的转移。以下介绍两例分别为异时性结肠癌合并肝、肺转移和异时性结肠癌合并肝、区域淋巴结转移患者的诊疗经过。
患者73岁男性,因乙状结肠癌术后3年余,发现肝转移1年,于2012年7月入院。患者2010年3月因结肠癌在外院行直乙交界癌根治术,术后病理提示:中-低分化腺癌,侵及浆膜层,上下切缘阴性,肿块旁淋巴结未见转移(0/6)。临床病理分期:Dukes B期;TNM分期:T3N0M0。
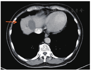
术后在外院行8个周期FOLFOX化疗(奥沙利铂85 mg/m2,ivgtt+氟尿嘧啶280 mg/m2,iv bolus+氟尿嘧啶1.4 g/m2,civ+亚叶酸钙280 mg/m2,ivgtt),2012年07月我院肝脏增强磁共振成像检查提示:肝多发转移瘤(图1)。


2012年7月起接受6次XELOX方案化疗,此后卡培他滨单药化疗1年;2013年7月影像学检查提示转移灶较前进展,肝脏出现新发转移灶;2013年9月16日针对肝转移瘤行射频消融术,2013年11月复查见肝Ⅷ段近膈顶处出现新病灶(图2)。2014年6月肺部CT未见明确转移灶,2014年11月右下肺考虑转移灶(图3)。2015年3月肺转移瘤较前进展,2015年3月起接受6个疗程FOLFIRI方案化疗(伊立替康150 mg/m2,ivgtt+氟尿嘧啶340 mg/m2,iv bolus+氟尿嘧啶2.2 g/m2,civ+亚叶酸钙330 mg/m2,ivgtt),2015年9月肝肺转移瘤均较前进展,2016年1月21日行肝转移瘤切除术,2016年2月胸部CT提示肺转移瘤进展,患者拒绝肺转移瘤介入治疗,2016年3月和4月行树突状细胞治疗。2017年3月肺CT:肺转移瘤增大,肝脏MRI肝Ⅷ段肿瘤存活(图4A),Ⅵ段新发转移癌(图4B)。2017年3月22日继续行FOLFIRI方案化疗,2017年4月—10月行10次西妥昔单抗+FOLFIRI方案化疗(伊立替康162 mg/m2,ivgtt+氟尿嘧啶365 mg/m2,iv bolus+氟尿嘧啶1.7 g/m2,civ+亚叶酸钙365 mg/m2,ivgtt+西妥昔单抗700 mg,ivgtt),2017年11月—2018年1月行5次西妥昔单抗单药(700 mg, ivgtt)靶向治疗,随访至2018年1月28日,生存时间超过94个月。






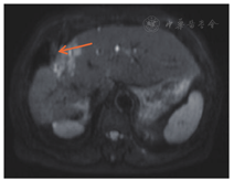
患者77岁男性,因结肠癌术后1年半,发现肝占位2周于2015年12月入院。患者2014年6月行结肠癌根治术(左半结肠),术后经历7个化疗周期(具体方案不详)。2015年12月肝脏增强磁共振示:肝Ⅷ段肿块,大小约32 mm×42 mm×30 mm,考虑转移瘤(图5A);肝门部及后腹膜多发肿大淋巴结(图5B)。肺部CT未见明显异常。肿瘤标志物:癌胚抗原33.8 ng/ml, CA199 493.1 U/ml, CA242 64.4 U/ml, AFP正常。


排除明显手术禁忌证后于2015年12月行肝转移瘤切除+后腹膜淋巴结清扫活检+肝门淋巴结清扫活检术。术后病理提示:(肝)中分化腺癌伴大片坏死,断端切缘阴性,符合肠癌转移,(第16组淋巴结)淋巴结1/3枚阳性。术后诊断:结肠癌术后,肝转移癌,胆囊结石。术后肿瘤指标:癌胚抗原6.1 ng/ml, CA199 65.0 U/ml, CA125 36.8 U/ml。
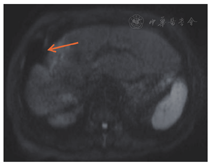
术后半年内接受12个疗程FOLFIRI化疗方案(伊立替康170 mg/m2,ivgtt+氟尿嘧啶300 mg/m2,ivgtt+氟尿嘧啶1.0 g/m2,civ+亚叶酸钙360 mg/m2,ivgtt),2016年6月复查肝脏增强磁共振提示肺部CT均未见转移或复发征象。2016年9月肝脏增强磁共振提示:术区周围及肝右叶多发环形强化小结节,首先考虑转移,腹膜后多发淋巴结,部分增大(图6)。2016年10月开始接受4个疗程西妥昔单抗+伊立替康单药化疗(伊立替康170 mg/m2+西妥昔单抗800 mg,ivgtt);2016年12月肝Ⅷ段转移灶及腹膜后淋巴结转移灶较前缩小(图7),继续10个疗程西妥昔单抗+伊立替康单药化疗;2017年6月肝转移灶较前明显缩小,继续上述化疗方案。随访至2017年8月19日,患者生存时间超过37个月。




结直肠癌合并多部位转移是影响患者生存和预后的主要因素。近来有文献报道,有些伴有肝及肝外转移,甚至腹膜转移的结直肠癌患者经过手术治疗后,也能够长期生存[3]。因此,对于能够实现根治性切除的合并有肝脏及肝外转移的患者,也应该获得手术治疗的机会。
肝和肺是结直肠癌最常见的远处转移部位,约50%的结直肠癌(CRC)患者在发病过程中会出现肝或肺转移。根据出现转移的时机,可分为同时性和异时性转移。据报道,在同时性转移和异时性转移患者之间,长期生存率没有显著的差异[4]。但是,Georgios等认为肝和肺转移出现先后顺序的不同在生存率上有显著差异,肝转移先出现的患者中位生存时间明显优于肺转移先出现的患者[5]。另外,Shinseok认为单发肝转移与多发肝转移在生存率上有明显的差异,肝多发转移是影响CRC患者长期生存的重要因素[4]。
2017年V1版《NCCN结直肠癌诊治指南》推荐,对于初始可切除的结直肠癌肝/肺转移,推荐两种治疗策略:新辅助治疗+手术切除+辅助治疗;手术切除+辅助治疗。因此,本文中病例1采取的治疗策略是原发灶肿瘤切除+术后辅助化疗,截至末次随访,生存时间已超过了94个月,远远超过预期生存目标。CRC患者在接受肝和肺转移瘤切除术后,不可避免地会出现肝或肺转移瘤的复发。对于某些患者,反复切除肝转移和肺转移的积极治疗可以提供获得长期生存的机会[6]。
结直肠癌在出现肝转移时,常常合并有区域淋巴结转移。Nanji等对加拿大安大略省的1310例结直肠癌肝转移患者中的103例(8%)进行了同期区域淋巴结清扫术,他们发现淋巴结阳性和阴性患者的5年总体生存率分别是21%和42%[7]。因此有区域淋巴结转移的患者长期生存率明显差于无淋巴结转移者。病例2是一个结直肠癌伴肝和区域淋巴结转移的患者,对结直肠肿瘤原发灶切除后,我们又进行了肝转移瘤切除术和淋巴结清扫术,术后证实第16组淋巴结转移。结合术后辅助化疗,患者也获得了较好的生存。截至末次随访,其总生存时间已超过39个月。
腹膜是除肝和肺以外结直肠癌最常见的转移部位之一[8]。腹膜转移的出现,常提示患者预后很差,未经治疗的腹膜转移一般只有6~12个月的生存时间。即使是全身化疗,对于PM患者的生存率似乎也没有任何显著的增加[9]。AJCC第8版结直肠癌分期系统中将结直肠癌腹膜转移独立于其他远处转移,分类为M1C期。甚至2015版NCCN指南提出结直肠癌伴腹膜转移的治疗目标是姑息性治疗,不推荐根治性手术切除。
近些年来,随着联合细胞减灭术(cytoreductive surgery, CRS)和腹腔热灌注化疗(hyperthermic intraperitoneal chemotherapy, HIPEC)在临床上的广泛应用,使得结直肠癌腹膜转移患者的生存和预后得到显著的改善。在有经验的医学中心甚至可以将5年生存率提高到50%以上[10]。然而,当出现肝脏和腹膜转移时,该类患者则被认为是CRS/HIPEC治疗的禁忌证[9]。Cloyd也认为同步行肝转移瘤切除和CRS/HIPEC会增加患者围手术期的并发症,对于同时伴有肝和腹膜转移的患者,分期手术可能会获益更多[11]。
综上所述,结直肠癌合并多部位转移不再是手术切除的绝对禁忌证,对于有切除机会的多部位转移患者,选择合理的手术并结合化疗和靶向药物,仍然有获得长期生存的机会。





















