
版权归中华医学会所有。
未经授权,不得转载、摘编本刊文章,不得使用本刊的版式设计。
除非特别声明,本刊刊出的所有文章不代表中华医学会和本刊编委会的观点。
世界范围内,原发性肝癌在常见恶性肿瘤中位居第五位,分别居男性和女性肿瘤死因的第2位和第6位[1]。我国每年因肝癌死亡的患者占全世界总数的55%[2]。肝癌起病隐匿、发展迅速,多数患者就诊时已失去外科手术机会。肝动脉化疗栓塞术(transcatheter arterial chemoembolization, TACE)是中晚期肝癌的标准治疗手段,术后联合靶向药物等综合治疗可明显提高患者生存期。近期,我们收治了1例患者,因"原发性肝癌切除术后半年肝内复发并腹膜后淋巴结转移瘤"行TACE治疗,术后应用仑伐替尼靶向治疗联合PD-1免疫治疗3个月,肝脏增强核磁提示肝内未见明显新发癌灶、腹膜后淋巴结转移瘤明显缩小。现汇报如下。
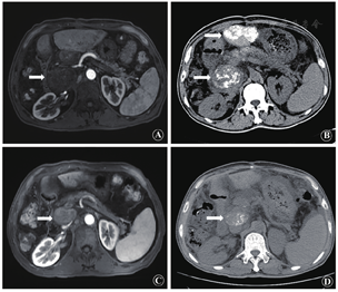
患者男,50岁,主因"原发性肝癌切除术后半年肝内复发并腹膜后淋巴结转移瘤"就诊,2018年3月于我院肝胆外科行肝切除术。术后病理示:肝中-低分化肝细胞癌。2018年9月于我科入院复查,肝脏平扫+增强核磁示:肝左叶新发癌灶,腹膜后肿大淋巴结对比前片明显增大,考虑转移可能(图1A)。化验甲胎蛋白:1 200 μg/L(0~20 μg/L),血常规、生化等指标均在正常范围。诊断:①原发性肝细胞癌,肝动脉化疗栓塞术后,肝癌切除术后;②门静脉癌栓形成;③腹膜后转移瘤;④肝硬化;⑤慢性乙型病毒性肝炎。结合相关影像资料,建议行TACE,术后联合放疗及靶向治疗(肿瘤内科会诊建议仑伐替尼+PD-1),患者拒绝放疗,遂于2018年10月我科行DSA下肝动脉化疗栓塞术。


TACE术后给予保肝、护胃抑酸、预防感染、水化等支持治疗。术后第3天复查腹部平扫CT示:肝左叶新发癌灶及腹膜后淋巴结内可见碘油沉积(图1B)。术后第2周开始口服仑伐替尼靶向治疗(12 mg/次,1次/日),并给予静脉输注PD-1(纳武利尤单抗,200 mg/次,2周/次)。口服仑伐替尼后出现腹泻(+++)、乏力(+++)、体重减轻、皮肤反应(+)、高血压(-)、蛋白尿(+)。术后3个月复查甲胎蛋白:110 μg/L。肝脏增强核磁示:肝内未见新发癌灶,腹膜后淋巴结转移瘤较前明显缩小(图1C)。肺平扫CT纵隔窗示:腹膜后淋巴结转移瘤内可见碘油沉积,较前明显缩小(图1D)。后间隔3个月定期复查至2019年8月,肝内病灶稳定,腹膜后淋巴结转移瘤持续缩小。
我国原发性肝癌患者占全世界50%以上,其致死率高居肿瘤前三位。尽管外科切除、TACE、消融等多种治疗手段不断改进,TACE与其他疗法联合仍是不能行手术切除的肝癌的主流治疗方式。自2007年索拉非尼获批肝癌的一线用药以来,各种新的靶向药物不断问世,索拉非尼仍处于中心地位,但其不良反应较大、疾病控制率较低等不足。晚期肝癌Ⅱ期临床试验提示仑伐替尼的疗效优于索拉非尼[3]。主要不良反应包括高血压病(42%)、腹泻(39%)、食欲下降(34%)和体质量减轻(31%)[4]。PD-1免疫制剂在多种肿瘤的治疗中均证实有效[5]。因此TACE后应用仑伐替尼联合PD-1能否提高肝癌的控制率值得探讨。
本例患者因肝内新发癌灶及腹膜后淋巴结转移瘤就诊,建议TACE术后联合放疗及靶向治疗,患者明确拒绝放疗遂选择TACE后应用仑伐替尼+PD-1。本例患者TACE术后3个月肝内病灶稳定、腹膜后淋巴结转移瘤明显缩小,为临床治疗此类腹膜后淋巴结转移瘤且拒绝放疗的肝癌患者积累了初步的临床经验,但其远期疗效尚需进一步探讨。
所有作者均声明不存在利益冲突





















