
版权归中华医学会所有。
未经授权,不得转载、摘编本刊文章,不得使用本刊的版式设计。
除非特别声明,本刊刊出的所有文章不代表中华医学会和本刊编委会的观点。
子宫内膜癌孤立性上腹部转移在临床并不多见,对国内外相关医学文献进行检索发现子宫内膜癌孤立性上腹部复发转移的报道仅有几例个案[1]。因此,现阶段临床对于子宫内膜癌孤立性上腹部转移还没有充分认识。本研究分析了一例于上海市第一妇婴保健院确诊的子宫内膜癌孤立性上腹部复发转移诊治报道。
患者女,41岁,2017年1月起无明显诱因下出现持续阴道流血,如月经时点滴状,于2017年4月13日行诊刮术。术后病理提示宫腔刮出物为破碎的子宫内膜腺体呈增生期宫内膜改变,局部伴嗜酸细胞化生及纤毛细胞化生。术后仍持续阴道流血。2017年8月2日复查经阴道超声提示宫腔内中等回声(范围35 mm×62 mm×39 mm),疑为内膜病变。于2017年8月7日再次行宫腔镜下宫腔赘生物活检+分段诊刮术,术中见宫腔形态不规则,内膜极厚,宫腔内充满灰白、质脆赘生物。术后病理提示宫腔刮出物及赘生物为子宫内膜低分化腺癌。于2017年8月14日行"腹腔镜下全子宫伴双侧附件切除术+盆腔淋巴结清扫术+腹主动脉旁淋巴结切除术(活检)+大网膜切除",术中见子宫前位,饱满增大如怀孕3个月大小,双侧附件外观未及异常,腹腔镜探查盆腔、上腹部、肝、脾、大网膜、肠曲未见明显异常。术后剖视子宫,见灰白肿块面积约为6 cm×3 cm。术后病理(E2017-16379)提示子宫内膜样癌Ⅲ级,浸润子宫浅肌层(<1/2肌层),下缘近邻颈管内口,脉管内未见癌栓。双侧附件未见病变。大网膜为纤维脂肪组织未见病变。(右盆腔)淋巴结9个及(左盆腔)淋巴结9个均未见癌转移;腹腔冲洗液细胞学未及异常。术后诊断子宫内膜癌ⅠA期,G3。
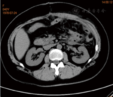
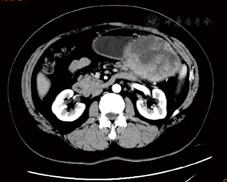
术后仁济医院放疗23次,放疗剂量46 Gy分23次。定期我院随访,2018年4月18日复查CA125为48.54 U/ml,略高于正常;8月15日复查CA125为24.65 U/ml。2019年6月自觉左上腹隐痛,于6月27日行腹部增强MRI,提示胃、胰尾及脾间隙内见一大小约103.5 mm×78.0 mm软组织占位,间皮瘤可能,横结肠系膜、大网膜多发小节结影,种植改变?腹膜后淋巴结增大(图1,图2,图3)。






2019年7月1日查肿瘤指标示CEA为17.64 ng/ml, CA125为455.30 U/ml。2019年7月1日行胃镜检查未见确切占位性病变。于2019年7月5日行"肿瘤切除术+胰体尾+脾脏切除术",术中见腹腔内粘连,肿瘤位于胃体大弯、胰腺体部、脾脏之间,直径约10 cm,与周围组织尤其胰腺体部粘连紧密,盆、腹腔内未见明显种植灶。完整切除肿瘤,术后病理为"腹腔肿块"腺癌,符合子宫内膜样腺癌浸润/转移,伴坏死,胰腺、胰周淋巴结及脾脏、大网膜均未见肿瘤累及(图4)。2019年8月9日复查肿瘤指标降至正常CEA为1.89 ng/ml, CA125为33.9 U/ml。于当日开始第1次复发术后化疗,方案为紫杉醇+顺铂,共6个疗程,末次化疗时间为2019年11月29日。现患者一般情况可,2020年6月1日复查CEA为1.06 ng/ml, CA125为18.1 U/ml,胸部、上腹部及盆腔CT均未及异常。


尽管子宫内膜癌的诊疗有了迅速发展,但仍有5%~15%的早期子宫内膜癌复发并有较高的死亡率[2]。相关医学研究表明,临床各期子宫内膜癌经规范的分期手术治疗后,均有可能在若干时间后于全身各处再出现复发灶。孙明辉等统计了Ⅰ期子宫内膜癌569例患者,复发部位按发生频率计算依次为阴道、盆腔、肺[1]。子宫内膜癌的转移方式与细胞的分化密切相关,G1、G2、G3级的远处转移发生率分别为2.2%、10.2%、39.0%[3]。孤立性上腹部转移癌在临床并不多见[4]。上腹部孤立转移癌的临床表现不典型,通常情况下需要和肿瘤病史、影像学资料结合才能诊断[5]。有文献报道,对于高级别的内膜癌来说,术前行PET-CT可显著提高腹腔及腹腔外转移诊断的准确度[6]。
本病例患者年龄<45岁,除肿瘤低分化外无其他高危因素,但仍发生复发转移,因此如何及早发现复发征象至关重要。在诊断线索中,需要重视上腹部胀痛及消化道症状,同时采用腹部B超检查、CT检查、MRI检查等影像学诊断手段,随访中能够有效提升上腹部转移瘤的检出率。除影像学诊断方法外,随访监测肿瘤标志物变化也十分重要。文献报道血清CA125水平作为肿瘤标记物对于诊断早期子宫内膜癌缺乏敏感性,但与子宫内膜癌临床分期及其复发相关,有助于子宫内膜癌Ⅲ、Ⅳ期病例诊断及其复发监测[7,8],本病例复发时,CA125明显升高,并在再次手术后下降,说明CA125可用于监测子宫内膜癌复发和转移后的病情变化。
对于Ⅰ期患者的术后治疗需结合患者有无高危因素、浸润肌层深度和组织学分级,术后辅助放疗为主。有文献指出对于Ⅰ期存在高危因素的患者接受放疗可以提高生存期,改善预后[9]。对于是否需要辅助化疗,尚有争议。对于Ⅰ~Ⅱ期浆液性癌患者来说,化疗辅助阴道内照射可显著改善预后,但对于早期子宫内膜癌的患者是否行化疗仍需要大样本的临床样本深入研究[10,11]。
NCCN指南2020年第1版更新的内容,第1次提出了病理联合分子分型进行诊断的概念。基于TCGA 4个分子分型,结合病理分类,根据临床预后将子宫内膜癌分为4种分子亚型,包括POLE突变型、高度微卫星不稳定型、低拷贝型及高拷贝型。注意前3类均为内膜样癌,只有高拷贝型包括除内膜样癌之外的其他高级别内膜癌。本病例FIGO分期为早期,但仍发生远处转移,因此可能存在分子分型类别的高危因素。基于此,我们进行了原发灶免疫组化检测,结果表明Lynch综合征相关内膜癌MMR蛋白中MSH2(灶+)、MSH6(+),而MLH1(-)、PMS-2(-)(图4)。MMR蛋白表达缺失与患者低龄、存在淋巴结转移、肿瘤分化不良等临床病理特征相关[12]。曾桢等[13]通过子宫内膜癌中MMR蛋白表达缺失筛查Lynch综合征发现,免疫组化检测MMR蛋白表达缺失在诊断或可疑Lynch综合征患者中的比例更高,可用于辅助进行Lynch综合征的筛查及诊断。应进一步行MMR相关基因检测及POLE突变测序,明确内膜癌分子分型。
所以,术后建议患者进行POLE突变、错配修复/微卫星稳定及p53异常表达的检测有助于完善对子宫内膜癌组织分型的大体病理学检查评估。建议所有内膜癌患者均进行MMR蛋白/MSI检测,并应进一步评估启动子甲基化对MLH1丢失的影响,以评估表观遗传修饰情况。建议进行遗传咨询、分子分析和所有其他MMR异常检测[14]。
基因检测及分子分型除用于判定子宫内膜癌的高危生物学行为外,还可用于指导术后辅助治疗。NCCN 2020 V1.0版另一重要更新点为对转移性或复发性内膜癌进行NTRK基因融合检测,由于许多存在NTRK基因融合的肿瘤对TRK抑制剂敏感,与肿瘤组织学类型无关。采用第1代TRK抑制剂[拉罗替尼(Larotrectinib)或恩曲替尼(Entrectinib)]治疗NTRK融合阳性肿瘤的反应率>75%,且与组织学类型无关[15]。本病例目前对手术和术后化疗反应良好,无复发征象。如再次复发,可考虑TRK抑制剂靶向治疗。
综上所述,子宫内膜癌孤立性上腹部转移的诊断方法主要为血清CA125、腹部B超检查、CT检查、MRI检查等,治疗方法主要为手术治疗后辅以化疗[16]。对于复发或转移的患者,应建议患者行子宫内膜癌分子分型的检测及NTRK基因融合检测,为进一步辅助治疗提供依据。
本人与其他作者宣称没有任何利益冲突,未接受任何不当的职务或财务利益





















