
肺微浸润性腺癌临床上常见,但癌旁伴发微小转移性甲状腺乳头状癌少见。临床及影像学诊断比较困难,术中快速冰冻诊断极易漏诊、误诊。本文病例体检发现右肺上叶磨玻璃结节,影像学及术中快速冰冻均诊断为肺微浸润性腺癌;术后石蜡切片诊断肺微浸润性腺癌为主,伴散在灶性转移性甲状腺乳头状癌。患者术后恢复佳,病情平稳。
版权归中华医学会所有。
未经授权,不得转载、摘编本刊文章,不得使用本刊的版式设计。
除非特别声明,本刊刊出的所有文章不代表中华医学会和本刊编委会的观点。
肺微浸润性腺癌临床上常见,但癌旁伴发微小转移性甲状腺乳头状癌少见,临床及影像学诊断比较困难,术中快速冰冻诊断极易漏诊。现报道我院收治的1例病例,进一步提高对其认识,避免漏诊、误诊。
患者男,54岁。1个多月前于我院查体发现右肺上叶结节。患者平素身体健康,无咳嗽、咳痰,无胸闷、喘憋,无吸烟病史。饮食、睡眠、大小便正常,体重无明显变化。CT平扫及高分辨CT(图1)示右肺上叶尖段磨玻璃结节影,大小2.2 mm× 2.1 mm,边缘清晰;略呈分叶状,周围可见胸膜凹陷征,结节CT值示-490 HU;内可见肿瘤微血管CT成像征,符合微浸润性腺癌CT表现,建议穿刺检查。双肺见多发粟粒状高密度灶及实性小结节灶,边缘清晰,部分钙化;最大者位于左肺下叶,与邻近血管关系密切。双肺门未见增大,纵隔内未见增大淋巴结影。颅脑MRI平扫示右额叶及右侧半卵圆中心区软化灶。实验室检查示神经元特异性烯醇化酶8.86 ng/ml,糖类抗原19-9 16.99 U/ml,糖类抗原15-3 11.8 1U/ml,癌胚抗原3.63 ng/ml,非小细胞癌抗原1.94 ng/ml,甲胎蛋白0.65 ng/ml。患者18年前曾在当地行甲状腺肿瘤切除术,术后具体病理诊断不详。目前,患者存在继发性甲状腺功能减退,规律服用左甲状腺素100 μg/d。


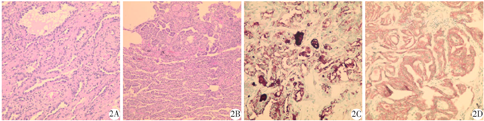
2020年9月3日患者行胸腔镜辅助小切口右肺上叶楔形切除术。术中见右肺上叶后段扪及大小约2 cm×1 cm肿物,质地硬,表面不光滑,活动度差;未扪及肿大的肺门淋巴结。术中切除肿物及周围肺组织送快速冰冻。冰冻报告为右肺上叶考虑为肺微浸润性腺癌。取7组淋巴结送检,并清扫纵隔淋巴结。术后病理报告示肿物大小1.8 cm×1.0 cm× 0.5 cm,紧邻被膜,切面灰白色,质软,与周围组织分界欠清。显微镜下见肿瘤主要成分大部分呈贴壁状生长的原位腺癌(图2A),局灶上皮细胞具有轻-中度异型性,呈腺泡状生长,直径范围<0.5 cm;肿瘤周围见散在小灶性上皮细胞呈乳头状排列(图2B),细胞核呈圆形,毛玻璃样,可见核沟及核内包涵体。免疫组化结果示Ki-67阳性细胞数< 10%,甲状腺转录因子-1、细胞角蛋白19、甲状腺球蛋白(图2C)、丝氨酸/苏氨酸激酶V600E-auto(图2D)转移性甲状腺乳头状癌细胞均阳性;细胞角蛋白7、天冬氨酸蛋白酶肺微浸润性腺癌细胞均阳性。结合患者既往甲状腺手术病史,病理诊断为肺微浸润性腺癌,癌旁伴灶性微小转移性甲状腺乳头状癌,转移灶最大径约0.15 cm,肿瘤大小1.8 cm×1.0 cm×0.5 cm。


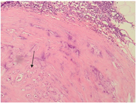
术后患者于2020年9月15日转科住甲状腺外科继续治疗。2021年9月18日在全麻下行"功能性颈部淋巴结清扫术+区域性淋巴结切除术+残余甲状腺切除术",术后病理诊断为左6区淋巴结可见转移甲状腺乳头状癌(1/1)(图3);左侧残余甲状腺组织及左2、3、4及右3、4区淋巴结未见转移癌。患者术后恢复佳,病情平稳。


肺微浸润腺癌临床上常见,甲状腺乳头状癌肺转移亦不少见,但两种癌同时出现在肺同一位置临床上鲜有报道。甲状腺乳头状癌是甲状腺癌中最常见类型,占甲状腺恶性肿瘤45%~70%[1],呈低度恶性;尤其多见于年轻女性和儿童,女性约为男性的3倍,在甲状腺可局限存在数年[2]。但随年龄增长发病率增加,年龄≥40岁者预后较<40岁者差,几乎所有因甲状腺乳头状癌致死的均为≥40岁患者[3]。血道转移常见部位为肺,可以是粟粒状微小结节(只有131I扫描才能发现),也可以肉眼影像学可见的圆形结节;转移至肺、骨等远处器官预后较局部淋巴结转移者差。本例患者18年前曾行"甲状腺肿瘤"切除术,术后颈部淋巴结有转移,又在疾患肺癌基础上发生了肺转移,而且在肺组织同一部位,实属少见。
肺微浸润性腺癌伴微小转移性甲状腺乳头状癌临床及影像学诊断比较困难,患者常常无明显症状,只是在查体时发现。影像学上表现为磨玻璃结节影,呈肺微浸润性腺癌表现。术中快速冰冻诊断极易漏诊,因为肿瘤主体往往是肺原发癌,而转移性甲状腺乳头状癌病灶往往较少且转移灶与肺原发癌混杂,乳头状结构容易被误认为肺浸润性腺癌的一种生长方式。但术后石蜡切片结合特异性免疫组化抗体易于确诊。肺转移性甲状腺乳头状癌组织学结构同甲状腺原发肿瘤相似。
本例患者诊断的难点在于:①临床无明显症状,患者只是在查体时发现;②影像学表现为磨玻璃结节影,呈现肺微浸润性腺癌征象;③术中冰冻取材局限,病灶微小且散在;由于冰冻制片的客观原因,转移性甲状腺乳头状癌细胞核结构欠清,影像学又提示为肺微浸润性腺癌,因此漏诊。术后石蜡切片内病变以肺微浸润性腺癌为主体,但小灶性乳头状结构,仔细观察可以看到甲状腺乳头状癌的核特征,结合免疫组化染色结果及患者病史可以确诊。
肺微浸润性腺癌伴转移性甲状腺乳头状癌治疗主要为手术切除及131I等治疗,甲状腺乳头状癌颈部淋巴结转移不影响预后,但发生肺、骨转移者预后较差[4]。本例患者甲状腺肿瘤术后18年发现颈部淋巴结转移,并远处转移至肺,提示预后不良。合并肺微浸润性腺癌是否会增加预后不良风险,文献中缺乏相关研究与报道。目前患者病情稳定,还在进一步跟踪随访中。
所有作者均声明不存在利益冲突





















