
本文回顾性分析1例长期服用低剂量阿德福韦酯致低磷性骨软化症的慢性乙型肝炎患者的诊疗情况并复习相关文献。该患者以无明显诱因逐渐出现腰痛伴双下肢无力为首发症状,曾服用阿德福韦酯(10 mg/d)6年余。辅助检查见低血磷、高碱性磷酸酶、肾性糖尿等,表现为近端肾小管功能异常。结合既往用药史,考虑为阿德福韦酯所致肾损害,更换阿德福韦酯为恩替卡韦分散片,并予以补钾、磷、骨化三醇等治疗,疼痛较前明显缓解,血磷、尿糖等生化指标见好转。总结其诊治经验并复习相关文献,供临床医生参考。
版权归中华医学会所有。
未经授权,不得转载、摘编本刊文章,不得使用本刊的版式设计。
除非特别声明,本刊刊出的所有文章不代表中华医学会和本刊编委会的观点。
阿德福韦酯(adefovir dipivoxil, ADV)是一种单磷酸腺苷的无环核苷类似物,是目前国内唯一与其他核苷类似物无交叉耐药的药物,常用于慢性乙型肝炎治疗,不良反应为肾毒性。Eguchi等[1]研究表明,ADV肾毒性呈剂量依赖性,低剂量(<10 mg/d)的ADV对肾脏相对安全。Wu等[2]、Eguchi等[1]和Wang等[3]均报道长期口服低剂量ADV可导致低磷性骨软化症,尤其是亚洲患者。由于临床认识不足及鉴别诊断困难,易误诊、漏诊。本文报道阿德福韦酯致低磷性骨软化症1例,并结合相关文献进行分析。
患者,男,57岁,主因腰部疼痛伴双小腿无力1年入院。患者于1年前无明显诱因,逐渐出现腰部疼痛,伴双小腿无力,疼痛呈电击样,间断性发作,卧床休息可缓解,坐位及站立位时加重。曾就诊于当地县医院,给予患者"腰椎椎管内灌注"治疗(具体药物不详)及"大自血"治疗后,电击样感消失,但仍有腰部疼痛及双小腿无力。此后上述症状间断性发作,站立时双小腿呈痉挛样,不能活动,卧位时肌肉紧张可缓解。为进一步诊治,患者于2017年6月来河北医科大学第三医院,门诊查体询问病史后以"腰痛及双小腿无力待查"收入院。
既往史糖尿病病史10余年,口服"拜糖平"并应用"胰岛素"降糖治疗;慢性乙型肝炎病史多年,口服ADV治疗,定期复查;2年前行左侧股骨颈骨折内固定术;1年前因颈椎病行颈椎手术。
T 37.2 ℃,P 100次/min,R 18次/min,BP 136/97 mm Hg(1 mm Hg=0.133 kPa)。发育正常,营养中等,慢性病容,卧位。心肺腹未见明显异常。脊柱无明显畸形,颈椎、胸椎椎体无明显压叩痛;腰骶椎椎旁压叩痛,无双下肢放射痛;左侧髋关节处压痛,双下肢直腿抬高试验(+),加强试验(+);双膝腱反射亢进;双下肢肌力Ⅳ级;双下肢皮肤感觉无明显减退,双侧Hoffman征(+);Babinski征、Oppenheim征、Chaddock征、Gordon征等均为(-)。
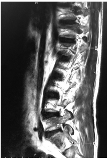
患者入院时常规对其疼痛程度进行视觉模拟评分(visual analogue scale, VAS)为8分。入院后进一步完善相关辅助检查(详见表1),(1)尿常规结果显示潜血+,25 Cells/μl;尿蛋白++,1.0 g/L;尿葡萄糖+++,28 mmol/L;(2)生化全项显示碱性磷酸酶436 U/L,磷0.56 mmol/L,钾3.33 mmol/L;(3) 24 h尿磷定量19.82 mmol/L,24 h尿钙14.21 mmol/L,24 h尿蛋白定量2.05 g/d,尿蛋白0.76 g/L;(4)尿蛋白电泳示显示混合型蛋白尿,以肾小管型为主;(5)内分泌六项显示促黄体生成素11.95 mIU/ml,促卵泡生成素21.19 mIU/ml;(6)甲状腺功能三项正常;(7)腰椎MRI显示T3~L11椎体有改变,考虑压缩骨折,各椎体信号普遍偏低,建议进一步检查除外骨髓异常疾病(图1);(8)全身骨显像显示全身多发骨质异常,性质待定(图2);(9)双下肢肌电图显示L4~S1神经根及支配区呈神经源性损害且以L4~5较为显著,合并周围神经性受损,左侧为重;(10)肿瘤全项、甲状旁腺激素、骨髓瘤监测均未见明显异常,血清免疫固定电泳未见M蛋白;(11)骨髓穿刺活检术检查显示粒细胞、红细胞、巨细胞系增生,未见明显异常骨髓象。双肾彩超未见明显异常。


注:L1椎体变扁;T11~T12、L2~T3椎体不同程度双凹变形,其内可见长T1短T2信号,脂肪抑制序列呈高信号;各椎体信号普遍偏低;椎间盘未见异常;脊髓圆锥内未见异常信号影;椎旁软组织无明显肿胀


注:静脉注射显像剂2 h后行全身骨显像,前位、后位显示全身诸骨显影清晰,脊柱、肋骨放射性分布欠均匀,双侧肩关节、右侧锁骨、两侧肋骨多处、上段胸椎、T8~T12椎体、L1~L2椎体、右侧髂骨、双侧髋臼及双下肢多处可见异常放射性浓聚灶;双肾显影较淡,膀胱内有少量放射性滞留

低磷性骨软化症患者治疗前后生化指标变化
低磷性骨软化症患者治疗前后生化指标变化
| 指标 | 治疗前 | 治疗后3个月时 | 正常参考值 |
|---|---|---|---|
| 血钙(mmol/L) | 2.19 | 2.31 | 2.11~2.52 |
| 血磷(mmol/L) | 0.56 | 0.63 | 0.85~1.51 |
| 血碱性磷酸酶(U/L) | 436 | 432 | 45~125 |
| 血肌酐(μmol/L) | 109.10 | 95.20 | 57~97 |
| 血尿酸(μmol/L) | 113 | 129 | 140~450 |
| 血钾(mmol/L) | 3.33 | 3.88 | 3.5~5.3 |
| 尿蛋白(g/L) | 0.76 | 0.49 | 0~0.12 |
| 尿葡萄糖(mmol/L) | 28(+++) | - | - |
| 尿潜血(Cells/μl) | +25 | - | - |
追问病史,患者有慢性乙型肝炎病史,服用ADV 6年10 mg/d,结合患者高碱性磷酸酶、低血磷等异常,考虑为低磷性骨软化症。
嘱患者停用ADV,改为恩替卡韦分散片(entecavir,江苏正大天晴药业),0.5 mg/次,1次/d,口服;氯化钾缓释片(potassium chloride sustained release tablets,深圳市中联制药),0.5 g/次,3次/d,口服;甘油磷酸钠注射液(sodium glycerophosphate,华瑞制药),2.16 g/次,1次/d,静脉滴注;骨化三醇软胶丸(rocaltrol,青岛海尔药业),0.25 μg/次,1次/d,口服。经治疗15 d后,疼痛逐渐缓解,出院时VAS评分5分。3个月后复查,疼痛明显缓解,VAS评分3分,行走困难较前改善,血磷、尿酸等生化指标均见好转(表1)。
骨软化症是指发生在骨垢生长板已经闭合的骨基质矿化障碍,导致非矿化的骨样组织(类骨质)堆积,从而导致骨质软化,正常人体不存在骨样组织[4]。Chen等[5]介绍此症临床症状早期可表现为轻微的疲劳、肌肉无力和感觉异常,后期可致严重的骨骼疼痛、致残性肌病、行走困难,甚至骨折。AVD致低磷性骨软化症机制不完全明确。Izzedine等[6]发现肾小管有机阴离子转运蛋白-1(human organic anion transporter protein-1, hOAT-1)对ADV有较强的亲和力,使其在肾脏近曲小管浓度升高,抑制近曲小管细胞的线粒体DNA聚合酶,使肾小管线粒体DNA明显减少甚至耗竭,引起细胞功能障碍,致使近端肾小管重吸收功能障碍。正常骨骼矿化的条件有:细胞外液供应足够的钙和无机磷;成骨细胞和软骨细胞功能正常;骨基质胶原正常;矿化部位有合适的pH值;骨基质中无过多的矿化抑制剂。肾小管重吸收磷酸盐障碍,从而导致继发性低磷性骨软化症。Hiramatsu等[7]对两例AVD致骨软化症的患者行骨组织形态计量分析发现,在大多数骨小梁表面没有双四环素标记或标记很弱,成骨细胞通常很少,表明这是一种低转化性的骨疾病。因此,控制破骨细胞的再吸收可能有助于骨软化症中骨体积的维持,但具体机制尚不明确。莫其农等[8]研究发现低剂量ADV(<10 mg/d)亦可引起肾小球损伤,表现为血清肌酐浓度(serum creatinine concentration, Scr)及胱抑素C(cystatin C, Cys-C)增高及肾小管滤过率(estimated glomerular filtration rate, eGFR)下降。近期Iwata等[9]报道了1例替诺福韦(tenofovir disoproxil)导致远端肾小管损害的病例。替诺福韦与ADV的分子结构及作用机制相似。
Qian等[10]报道称,服用小剂量阿德福韦酯从出现临床症状到确认诊断平均需要6~33个月。其原因可能为(1) ADV引起的低磷性骨软化症,早期表现常不具有特异性,以多发性骨痛(腰背部、肋骨、跟骨等处)为初发症状,与肌肉、骨骼等疾病症状鉴别有一定难度,加上临床医生对阿德福韦酯引起的这一不良反应认识不足,患者易被误诊为骨质疏松症、风湿免疫性疾病、强直性脊柱炎、肋软骨炎、多发性骨髓瘤、肿瘤骨转移等,从而延迟治疗时间。本例患者先后拟诊为多发性骨髓瘤、肿瘤骨转移等,从出现症状至确诊用时12个月。(2)骨软化症与骨质疏松症均具有骨密度减低、骨痛等临床特点,鉴别尤为困难。(3)肾小管酸中毒常可继发骨质疏松,致两者同时存在,从而忽略了骨软化症。Lin等[11]报道称,鉴别骨软化症与骨质疏松症的最佳方法是双四环素标记骨活检,然而此操作困难,患者依从性差,所以一般从病史及检查结果鉴别:原发性骨质疏松常见于绝经后妇女和老年(>70岁)患者,且化验结果中血清钙、磷、碱性磷酸酶和甲状旁腺激素水平正常;骨软化症患者常有肾小管酸中毒,化验结果常见低磷血症、高碱性磷酸酶。根据本例患者血钾3.33 mmol/L(正常参考值:3.5~5.3 mmol/L)、反常性碱性尿、24 h尿蛋白定量2.05 g/d,尿蛋白电泳显示:混合型蛋白尿,以肾小管型为主,诊断为肾小管酸中毒,可能与长期服用ADV相关,且入院时血磷0.56 mmol/L(正常参考值0.85~1.51 mmol/L),碱性磷酸酶436 U/L(正常参考值45~125 U/L),故可诊断为低磷性骨软化症;其骨密度结果显示骨质疏松,且既往有股骨颈骨折病史,故可同时诊断重度骨质疏松症。所以在接诊过程中,应详细询问患者既往史、用药史,了解药物毒副作用。此外,Shimizu等[12]研究表明:ADV的使用起始年龄、用药持续时间与肾小管功能障碍独立相关,起始年龄越大、用药持续时间越长,导致肾小管功能障碍的可能性越大。以上表明阿德福韦酯肾毒性与患者年龄,用药时间及用药剂量有关。提示长期口服阿德福韦酯老年患者应加强监测。Chen等[5]认为,常规的基于血清肌酐的肾功能检查对发现早期肾脏结构和功能的异常不够敏感。对长期口服ADV患者应重点监测血清磷、尿酸及肾小管损伤的生物标志物(尿β2-微球蛋白)等,出现血清磷降低、尿酸降低、尿β2-微球蛋白升高时应及时做出相应处理。
目前临床应用的抗乙肝病毒药物主要包括核苷类似物(拉米夫定、恩替卡韦等)和核苷酸类似物(阿德福韦酯等)两大类。这两类药物均通过肾脏排泄,但由于分子结构的不同,肾脏对两类药物的清除率也不同。与核苷类似物比,接受核苷酸类似物治疗的患者中肾损伤更为常见。因此,治疗应首先停服阿德福韦酯,改为肾损伤较小的恩替卡韦;其次行对症治疗:存在肾小管酸中毒时予以碳酸氢钠片;血钾低于正常患者可予以枸橼酸钾缓释片补钾治疗,同时不会加重肾小管酸中毒;低磷性骨软化症对补充磷和维生素D的反应良好;若患者同时伴发骨质疏松,可予以补钙治疗,是否应用双膦酸盐类药物治疗临床上尚存在争议。Qian等[10]报道称,应用双膦酸盐类药物会加重患者的低磷血症,停用后血磷指标好转,从而推测双膦酸盐类药物在低磷血症的恶化中起一定的作用。Cundy等[13]报道称,使用不含维生素D的双膦酸盐(阿仑膦酸盐)治疗骨软化症21个月后,患者骨痛加重,出现多处骨折,经髂骨活检标本的骨组织学显示骨软化。同样提示双膦酸盐可能会加重此类疾病。Hiramatsu等[7]对两例ADV致骨软化症的患者行骨组织形态计量分析发现:未使用利塞膦酸钠(risedronate sodium tablet)的患者骨样体积按照[骨样体积(类骨质)/骨质体积]×100%的公式计算,增加18.6%;使用利塞膦酸钠而不服用维生素D类药物的患者按照上述公式计算的骨样体积增加了53.8%;在停用ADV和磷酸盐衍生物后,两例患者的骨痛和低磷血症均很快消退。这表明,应用双膦酸盐类药物且未应用维生素D类似物时可能通过干扰羟磷灰石的有效获取而加重低磷性骨软化症。另外,Koda等[14]报道,长期口服ADV治疗乙型肝炎的患者出现低磷性骨软化症,临床表现为骨痛,补充维生素D制剂及磷酸盐产品可迅速缓解患者关节疼痛。本例患者停用ADV后换用恩替卡韦分散片,予以补钾、磷、钙、骨化三醇及伊班磷酸钠对症治疗。3个月后复查,疼痛较前明显缓解,化验指标示尿糖转阴,其余指标好转。此患者对双膦酸盐类药物反应良好,可能与其同时应用骨化三醇相关。因此,临床上应用双膦酸盐类药物时应仔细行患者获益/风险评估,且应保证患者摄入足够的钙和维生素D,在使用其治疗时应监测患者血清钙和低磷血症的情况。此外,Kunii等[15]发现,AVD致低磷性骨软化症患者对地诺单抗(denosumab)反应良好,可能与其所致的骨过度吸收相关。对伴有过度骨吸收的低磷性骨软化患者使用地诺单抗前,应补充足够的维生素D及磷酸盐。
章振林和魏哲[16]随访了105例由AVD导致的低磷性骨软化症患者,发现停用阿德福韦酯,改用恩替卡韦,且予以口服骨化三醇(0.25~0.5)μg/d和钙尔奇D(1片/d),对伴有代谢性酸中毒者给予碳酸氢钠片1.0 g/次,3次/d,等治疗3个月后,骨痛显著减轻,活动能力改善;治疗6个月后,87.1%的患者血磷恢复正常,ALP和尿酸也逐渐恢复。同时,尿糖转阴较快,尿蛋白转阴时间较长。本例患者经3个月治疗后复查结果同样显示骨痛显著减轻,尿糖转阴,血磷、ALP和尿酸均较前好转,与上述随访一致,表明AVD所致尿磷排泄增多存在可逆性,停药后肾小管重吸收功能可逐渐恢复。
综上所述,AVD致肾毒性的机制明确之前,建议定期监测长期口服低剂量AVD患者的肌酐、血清磷、尿酸及尿β2-微球蛋白水平,防止其所致的低磷性骨软化症。治疗时应注意低磷性骨软化症对补充磷和维生素D的反应是否良好,慎用双膦酸盐类药物。
所有作者均声明不存在利益冲突





















