
儿童副脾扭转是临床少见的急腹症,发病率尚不明确。副脾是一种先天性异位正常脾组织,通常无特殊临床表现,也无需特殊处理。副脾发生扭转时常需急诊手术治疗,但其临床症状不典型,极易误诊。本文回顾性分析南京医科大学附属儿童医院普通外科收治的1例巨大副脾扭转患儿诊疗经过,结合文献复习,总结儿童副脾扭转的诊治特点,以提高临床医师对于该病的认识。
2023年版权归临床小儿外科杂志社所有。未经授权,不得转载、摘编本刊文章,不得使用本刊的版式设计。除非特别声明,本刊刊出的所有文章不代表临床小儿外科杂志社和本刊编委会的观点。
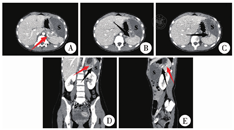
患儿,女,12岁3个月,因"左上腹痛9天余"于2021年11月23日入院。查体:左上腹饱满,可扪及大小约50 mm×100 mm×100 mm肿块,边界清晰,质韧,压痛明显,无反跳痛。超声于左上腹脾下方、左肾前方、胃底外侧探及-62 mm×49 mm×103 mm实质性低回声肿块,上缘与脾分界欠清楚,内可见少量血流信号。全腹CT平扫加增强见左上腹一梭形软组织密度肿块,大小约52 mm×103 mm×104 mm,内缘可见小斑片状稍高密度影,包膜完整,增强扫描见包膜强化,实质部轻度强化,内可见少许血管影,邻近的胃腔、胰腺及脾脏可见受压略移位(图1)。


注 A:脾动脉(红色箭头)从腹主动脉分出;B:脾动脉于脾门处分出细小血管支(黑色箭头); C:血管支延伸至肿物(s)边缘截止,末端扭曲增粗;D:脾动脉与血管分支关系冠状图;E:脾动脉与血管分支关系矢状图
入院后初步诊断为腹腔血肿。经抗炎、补液等保守治疗7 d后,腹痛无好转,遂行腹腔镜探查术。术中见左侧膈下一巨大肿块,包膜部分暴露,颜色苍白,大小约50 mm×100 mm×100 mm;下方为横结肠,右侧与胃大弯处网膜关系密切,左侧与腹壁粘连,上侧与脾下极紧贴,脾脏形态大小无明显异常。钝性分离肿物周围组织,见肿物蒂部扭转约360°,蒂内血管已栓塞。超声刀仔细处理肿物蒂部,游离肿物,扩大脐部切口,将游离肿块装入标本袋中自脐部取出。术后将切除肿物送病理检查。病理结果:肉眼可见灰红色破碎组织,部分有被膜,切面灰红色,囊实性,质软,镜下见散在脾小体样结构,病理诊断为副脾扭转伴出血、坏死(图2)。患儿出院后随访6个月,生长发育及生活均正常,复查肝胆胰脾B超及血常规结果均正常。


注 A:可见散在脾小体样结构(HE染色;×100); B:间质内较多淋巴细胞及散在少量中性粒细胞浸润及含铁血黄素沉积,被膜下炎性肉芽组织增生伴大量急慢性炎症细胞浸润,部分区域伴纤维母/肌纤维母细胞增生(HE染色;×400)
副脾是一种先天性的正常脾组织异位,主要位于脾门附近,通常由脾动脉分支供血,具有部分脾脏功能,成人副脾平均直径约为2 cm[1,2]。副脾通常无特殊临床表现,但在少数情况下,副脾会发生扭转,多见于儿童。副脾扭转的患儿常因"左腹或左上腹痛"入院,查体除可触及左上腹肿块外,无典型临床体征,常规影像学检查缺乏特异性,早期临床诊断困难。因其临床发病率较低,多数小儿外科医师对其认识不足,误诊率较高,常被误诊为腹腔血肿、腹腔脓肿、肠系膜囊肿等[3,4]。
当副脾发生扭转时,副脾内动脉供血相对减少,而静脉回流几乎完全受阻,随着病情进展,副脾将不断淤血肿大直至坏死[5]。因此扭转副脾体积常较正常副脾略大,甚至可如本例患儿副脾体积增大至数倍。扭转副脾张力往往较高,呈边界清晰的梭形,临床上表现为左上腹巨大梭形肿物,这与既往文献报道相符[6,7]。
副脾扭转常位于副脾蒂。有学者认为可通过B超寻找扭转的副脾蒂进行早期诊断,因为副脾扭转后副脾蒂内血流在B超中会形成典型的"漩涡征",副脾蒂也会扭转成"麻花状"[8]。但腹腔环境复杂,临床医师常难以捕捉到典型征象,副脾扭转临床误诊率较高。副脾常由脾动脉分支供血,结合既往病例,我们认为可在增强CT成像上顺脾动脉分支向远端追踪。由于副脾扭转会导致脾动脉分支内血流中断或减少,增强CT上可寻及一条细长的高信号血管影从脾动脉分出,并延伸至肿物边缘,即副脾的供血分支,其末端常因血管扭曲致显像稍增粗。同时由于扭转后侧支循环建立,肿物的包膜也会被略微强化(图1),再结合肿物位置及形态即可诊断。当然,增强MRI亦可清晰显示扭转血管,且与增强CT相比,增强MRI对出血像更加敏感[9]。但增强MRI临床操作周期较长,易延误病情。
副脾扭转属于绞窄性急腹症,一旦确诊应积极手术,暂未有将扭转副脾复位固定的相关报道。术中需谨慎处理副脾蒂血管,保护正常脾组织,以免脾脏功能受损。目前腹腔镜下副脾切除术已相对成熟,预后良好,本例患儿出院后随访6个月,生长发育及学习生活均正常,复查肝胆胰脾B超及血常规均正常。目前尚无因副脾切除而导致患儿生长发育及免疫功能受损的相关报道。Scirè等[10]采用镇静、止痛等保守治疗方案,通过等待扭转副脾自然坏死缩小,成功治疗1例10岁副脾扭转。该治疗方案虽然避免了手术,但存在坏死组织长期慢性吸收、继发感染等风险,且长时间腹痛影响患儿日常生活与学习,降低生活质量。因此副脾扭转的保守治疗仍有待进一步研究。
综上,儿童急腹症中副脾扭转较为少见,临床上极易误诊,进而错过最佳治疗时机。当患儿因"左腹或左上腹疼痛"入院,影像学表现为左上腹巨大梭形肿物,同时通过增强CT顺脾动脉发现肿物与脾动脉分支关系密切时,即可确诊。治疗上,副脾扭转一旦确诊建议手术切除,通常预后良好。
所有作者声明不存在利益冲突
倪同磊,黄磊,姜斌,等.儿童巨大副脾扭转1例[J].J Clin Ped Sur,2023,22(6):582—583.DOI:10.3760/cma.j.cn101785—202203071—016.
Ni TL,Huang L,Jiang B,et al.Giant accessory splenic torsion in children:one case report [J].J Clin Ped Sur,2023,22(6):582—583.DOI:10.3760/cma.j.cn101785—202203071—016.





















