
版权归中华医学会所有。
未经授权,不得转载、摘编本刊文章,不得使用本刊的版式设计。
除非特别声明,本刊刊出的所有文章不代表中华医学会和本刊编委会的观点。
垂体腺瘤是腺垂体细胞单克隆起源的颅内常见的良性肿瘤,约占颅内肿瘤的7%,分为功能性垂体腺瘤和无功能性垂体腺瘤。除部分特定类型的肿瘤和人群外,垂体腺瘤的治疗以手术为主。手术治疗以满意的肿瘤切除、充分减压、术后内分泌缓解为主要目标,手术方式包括显微镜下开颅手术和神经内镜经鼻蝶窦手术[1]。
与鞍区其他肿瘤类似,影响垂体腺瘤手术的难度和术后切除程度主要是肿瘤的生长方式[2,3,4]。垂体腺瘤起源于鞍内,部分肿瘤可由于自身的生物学特性、蝶鞍的解剖情况、垂体及鞍区的膜性结构,累及鞍上结构和鞍旁海绵窦。其中,膜性结构对肿瘤的生长以及手术治疗具有重要意义。本文以笔者单位对膜性结构的研究为主,结合国内外相关文献阐述如下。
与垂体腺瘤相关的膜性结构包括垂体表面的膜性结构与垂体周边的膜性结构。
正常情况下,垂体前叶于胚胎第4周时起源于原始口腔顶部外胚层的Rathke′s囊,Rathke′s囊的前壁随后逐渐增大,最终形成腺垂体远侧部;而另一部分则向上围绕垂体漏斗部,形成垂体柄的一部分。在Rathke′s囊发育的同时,间脑底部的神经外胚层向下凹陷形成神经垂体的始基,而后该始基向下延伸,伴随垂体门脉系统下降,最终与Rathke′s囊后壁相邻形成神经垂体[5]。
而颅内的膜性结构包括硬脑膜、蛛网膜和软膜,在胚胎发育时间上与垂体发育有所不同,这种时空差异性决定了这些膜性结构对垂体各叶形成了不同的包裹模式。在颅内的膜性结构中,软膜最先发育,一般认为其在胚胎第3周开始形成,而在胚胎第7周时,蛛网膜伴随硬膜形成[6]。据颅内膜性结构形成的时间和垂体发育的时间,可以初步推断膜性结构的分布情况。因神经垂体的始基在胚胎第4周时才开始下降,在其下降之前,始基表面的软膜已经形成,故理论上神经垂体表面形成一层软膜覆盖。而Rathke′s囊为口腔外胚层来源,因此其表面无软膜,在胚胎第4周Rathke′s囊上升时,蛛网膜和硬膜尚未开始发育,故鞍区的外层蛛网膜未进入垂体窝,仅仅局限于鞍上。
根据笔者的解剖学和组织病理学研究结果发现,垂体表面的膜性结构主要由垂体固有膜、垂体柄和神经垂体表面软膜以及垂体囊构成。垂体固有膜覆盖在垂体表面,其与腺垂体表面结合较为疏松,而与神经垂体表面几乎无法剥离,其形成机制尚不明确[7,8,9];垂体柄和神经垂体表面软膜局限于垂体柄和垂体后叶[10],其与垂体发育时软膜形成早于神经垂体的始基下降有关;垂体囊实际上为单层硬膜结构,其又构成海绵窦内侧壁的外层[11],以下详细描述。
垂体周边的膜性结构包括鞍膈、海绵窦内侧壁以及鞍上外层蛛网膜。鞍膈为硬膜来源,但其构成既往文献未见报道。笔者通过胎儿标本的切片染色发现,前颅窝底硬膜为双侧膜性结构,即包括脑膜层和骨膜层,当前颅窝底硬膜往后方延续时,在大约鞍结节水平,两层膜性结构分离,骨膜层仍然贴附于颅底骨质,构成鞍底硬膜和海绵窦底壁。而脑膜层在与骨膜层分离后,继续往后行走于垂体上表面,约在垂体柄位置向前形成反折后,走形于垂体表面,形成垂体表面的鞍膈,这层反折的膜性结构包绕垂体,形成垂体囊[7]。因此,鞍膈为两层脑膜层形成的硬膜结构,而垂体囊为单层脑膜层形成的硬膜结构。
垂体囊在垂体的两侧,即海绵窦内侧所在部位,构成海绵窦内侧壁的外层,连同海绵窦内的膜状纤维结缔组织构成海绵窦内侧壁的双层膜性结构[11](图1)。而海绵窦内侧壁有时存在缺损,可能是垂体腺瘤容易累及海绵窦的因素之一(图2)。




鞍上外层蛛网膜其实为包绕额底的蛛网膜[12],据前所述,根据膜性结构与垂体发育的时间推断,该膜并不进入垂体窝内,即不包裹垂体。笔者发现鞍上外层蛛网膜在垂体柄处形成袖套样结构或口朝下的喇叭样结构。因此,垂体柄根据鞍膈和鞍上外层蛛网膜可以分为鞍膈下段、鞍上蛛网膜池外段、鞍上蛛网膜池间(袖套间段)和蛛网膜下腔段[13]。鞍上外层蛛网膜与垂体柄形成的袖套样结构存在较大的个体差异,部分人群外层蛛网膜全程紧紧包绕垂体柄,即裸露在蛛网膜外的垂体柄段较短;而部分人群的外层蛛网膜形成的喇叭口较高,裸露在蛛网膜外的垂体柄较长。同样,部分人群的蛛网膜袖套与垂体柄之间黏附紧密;而部分人群的蛛网膜袖套与垂体柄之间黏附疏松(图3)。


绝大多数垂体腺瘤质地稀软,因此其生长方式容易受到周边结构的影响。一般来说,影响垂体腺瘤的生长方式主要包括肿瘤生物学行为[1]、蝶鞍骨性形状[14,15]以及鞍区膜性结构[2,4,12]。而鞍区膜性结构是导致垂体腺瘤生长多样性的重要因素之一。
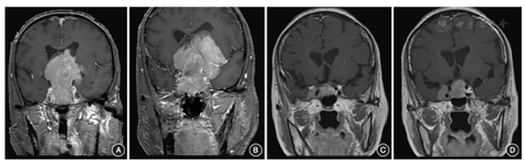
垂体腺瘤起源于垂体前叶,故所有肿瘤初始阶段均为鞍内肿瘤。肿瘤逐渐生长扩大时,受周围膜性结构的束缚而表现为不同的生长形式。当鞍膈反折形成靠前时,即患者鞍膈孔较大,且海绵窦内侧壁完整,肿瘤主要向鞍上生长,在通过鞍膈孔处形成"雪人征" ;当鞍膈反折靠后紧贴垂体柄时,即患者鞍膈孔较小,鞍膈张力较大,对肿瘤向上生长形成较大阻力,肿瘤主要向鞍内生长,表现为垂体窝扩大、鞍底骨质吸收,部分患者的肿瘤甚至突入蝶窦内生长,如此时海绵窦内侧壁同时发育不良,肿瘤可以在较小体积时就向两侧海绵窦扩展(图4)。


从生长方式上看,垂体腺瘤必须突破垂体固有膜以及海绵窦内侧壁两层膜性结构,才可以到达海绵窦内。肿瘤累及海绵窦,是否是真的侵袭,目前尚存争议。膜性结构是由各种胶原纤维组成的网状结构。与脑膜瘤和外层蛛网膜关系类似[16],对于垂体腺瘤,当肿瘤较小时,肿瘤对垂体固有膜和海绵窦内侧壁形成推挤,此时肿瘤的物理推挤作用不足以让膜性结构变形,因此,膜性结构仍然存在于肿瘤和海绵窦之间。当肿瘤逐渐增大后,构成膜性结构的各种网状纤维被逐渐撑大,就像纱窗的网格结构一样,当肿瘤大到一定的程度,网格因推挤逐渐被撑大,导致部分肿瘤"透过"增大的网孔与海绵窦内的神经血管接触;当肿瘤进一步增大时,网格之间的纤维可能被撑断,膜性结构被推向肿瘤两边,进一步导致肿瘤和海绵窦内容物之间的界面"消失" 。事实上,这并不是真正的界面消失,而是肿瘤的物理作用,使得构成膜性的纤维网孔增大,推向两侧。且颈内动脉海绵窦段被海绵窦内的纤维条索固定,移动度较小,加之肿瘤质地稀软,可以跨过颈内动脉生长,这与在磁共振成像上看到的肿瘤包绕颈内动脉一致。然而,对一些非典型垂体腺瘤和垂体癌,不否认可能真正存在肿瘤侵袭海绵窦的情况。
垂体腺瘤为单克隆起源于腺垂体的良性肿瘤。在肿瘤生长过程中,尤其是大腺瘤或巨大腺瘤,腺垂体因与肿瘤同源,往往与肿瘤无法辨认。部分垂体腺瘤,尤其是微腺瘤,在生长过程中,可以在肿瘤与腺垂体之间形成一假包膜[17],其具体机制尚不明确。
神经垂体与垂体柄延续,且二者与腺垂体之间存在软膜结构。在肿瘤生长过程中,神经垂体和垂体柄表面这层软膜结构一直存在,因此,肿瘤与神经垂体和垂体柄之间往往存在可辨认的界面[10](图5)。


无论是显微镜下开颅手术和神经内镜经鼻蝶窦手术治疗垂体腺瘤,膜性结构均扮演着重要角色。
神经内镜经鼻蝶窦切除垂体腺瘤时,鞍膈和鞍上外层蛛网膜为阻隔肿瘤和颅内组织的天然屏障。手术时应先刮除两侧的肿瘤,最后刮除鞍上肿瘤,以防首先刮除鞍上肿瘤导致鞍上蛛网膜疝入鞍内,引起脑脊液漏和阻挡操作视野,尤其是对鞍膈孔薄弱、垂体柄袖套疏松的患者(可以通过术前MRI初步判断,肿瘤鞍上扩展明显,两侧扩展不明显)。肿瘤刮除后,应仔细辨认神经垂体表面的软膜结构,保持软膜完整,最大程度地保留垂体后叶功能,减少术后尿崩的发生率。
部分垂体微腺瘤和大腺瘤的患者可以尝试寻找垂体假包膜,努力做到包膜外切除,有利于提高肿瘤的全切率;对于垂体功能性腺瘤,包膜外切除有利于提高术后内分泌的缓解率[18]。
对于鞍上分叶明显的垂体腺瘤,提倡经颅切除。因为分叶多表示肿瘤被鞍上血管,如前交通复合体和基底动脉嵌顿。同时也意味着肿瘤已经突破鞍膈孔,推挤外层蛛网膜,通过物理作用牵拉蛛网膜系带引起包绕血管。显微镜下手术暴露范围自上而下,有利于首先分离受累的血管,减少血管的牵拉,并在直视下分离肿瘤。显微镜下处理鞍内肿瘤可能存在视野盲区,可以联合神经内镜处理鞍内肿瘤,因鞍内肿瘤与神经垂体之间有软膜界限,切除时需要循软膜保护神经垂体。
总之,对垂体周边膜性结构的深入探讨,有助于理解垂体腺瘤的生长方式和选择正确的手术入路,增加正常结构的保护,对提高患者的预后具有重要意义。
本文得益于笔者单位长期对鞍区膜性结构的关注和细致研究。在成文过程中,再次得到笔者单位刘忆、潘军、樊俊等同事的讨论与帮助。特此感谢!





















