
对比剂脑病(CIE)是因对比剂引起的神经系统并发症,相对少见。2017年1月至2021年7月郑州大学第一附属医院神经介入科采用血管内治疗3 601例颅内动脉瘤患者,术后共2例(0.6‰)患者发生CIE。弥散加权成像(DWI)均显示皮质"花边征"的特点;经抗炎、补液、抗癫痫等对症治疗后,患者预后均良好。
版权归中华医学会所有。
未经授权,不得转载、摘编本刊文章,不得使用本刊的版式设计。
除非特别声明,本刊刊出的所有文章不代表中华医学会和本刊编委会的观点。
血管内治疗颅内动脉瘤已成为安全、有效的主流治疗手段之一[1]。目前,常见的术后并发症包括脑出血、脑栓塞、脑血管痉挛等[2]。随着血管内治疗的普及,对比剂引起的神经系统并发症,即对比剂脑病(contrast-induced encephalopathy,CIE)等一些相对罕见的并发症逐渐得到重视[3]。但目前,有关CIE尚缺乏大数据的流行病学调查。2017年1月至2021年7月郑州大学第一附属医院神经介入科采用血管内治疗3 601例颅内动脉瘤患者,术后共2例患者发生CIE,发生率为0.6‰,低于既往报道的0.3%~1.0%[4]。本文对2例患者的临床表现、影像学特征及预后情况回顾性报道如下。
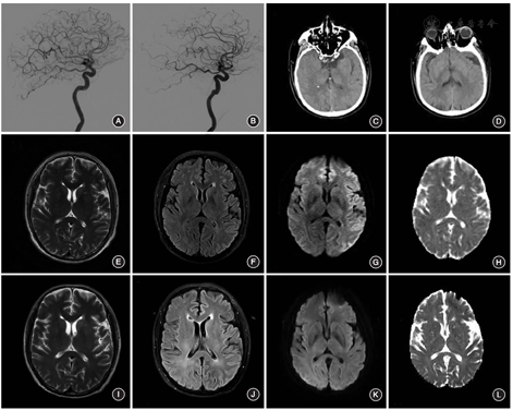
例1 女,59岁。因"发现颅内动脉瘤3个月"入院。患者3个月前无明显诱因突然出现头晕、视物旋转,当地医院头颅MR血管成像(MRA)检查提示左侧颈内动脉动脉瘤,经对症治疗2周症状完全缓解。为进一步治疗动脉瘤入院。既往无原发性高血压、心脏病、糖尿病病史。入院体检:血压133/86 mm Hg(1 mm Hg=0.133 kPa),神经系统查体未见明显异常。为明确诊断并制定进一步治疗方案,在无明显禁忌证的情况下,于入院后第3天行全脑数字减影血管造影(DSA),发现双侧眼动脉段动脉瘤,共使用碘克沙醇100 ml(含碘量为320 mg/ml)。手术过程顺利,术后患者未诉明显不适。于入院后第7天行双侧眼动脉段动脉瘤栓塞术,共使用320 mg/ml的碘克沙醇200 ml。患者术中生命体征平稳,苏醒后未诉不适。术后5 h,患者出现言语不利。体检:意识清醒,混合性失语,余神经系统检查未见明显异常;头颅MRI未见明显异常。给予维持血压、改善循环及营养神经等治疗。术后20 h,患者病情进展,出现意识模糊,双眼向左侧凝视,头颅CT未见明显出血(图1A);DSA检查未见脑血管闭塞(图1B)。术后32 h,患者突发四肢抽搐,给予镇静、抗癫痫、补液等治疗;头颅MRI T2加权成像可见左侧额、顶叶脑沟较对侧变浅,T2-液体衰减反转恢复序列(FLAIR)及弥散加权成像(DWI)序列可见双侧皮质信号不均匀增高,以左侧额、顶及颞叶为著,呈"花边征"表现;表观弥散系数(apparent diffusion coefficient,ADC)呈等信号(图1C~F)。常规实验室检查未见明显异常,脑脊液压力正常、细胞学检查正常、蛋白含量稍增高。结合患者临床表现及影像学特征,考虑为CIE。给予甲强龙、丙戊酸钠、充分补液、稳定血压等治疗。术后4 d,患者意识恢复,肢体抽搐未再发。体检:意识清楚,言语欠流利,四肢肌力Ⅳ级,双侧巴彬斯基征(-)。术后8 d,患者的言语不利明显好转,头颅MRI显示左侧半球皮质异常信号消失(图1G~J)。术后30 d患者出院。术后6个月随访,症状完全恢复,头颅MRI未见明显异常。


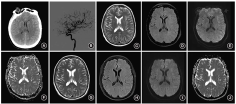
例2 男,52岁。因"发现颅内动脉瘤1年余,头痛8 d"入院。1年前体检时发现前交通动脉动脉瘤,无肢体活动障碍。8 d前出现头痛,于我院行DSA检查,提示前交通动脉动脉瘤,建议行血管内治疗,患者拒绝,自动出院。1 d前再发头痛,伴恶心,无视力模糊、肢体活动障碍等。入院体检未见明显异常。既往原发性高血压病史1年余,最高血压为180/110 mm Hg,口服厄贝沙坦片(每次150 mg,1次/d),血压控制可。糖尿病病史近1年,服用二甲双胍片(每次0.5 g,2次/d),血糖控制可。入院后给予双联抗血小板药物、控制血糖和血压等药物治疗。入院后第3天,行支架辅助弹簧圈栓塞颅内动脉瘤术(图2A,B)。术后2 h,患者出现言语不利,右侧肢体无力。体检:意识清楚,运动性失语,右上肢肌力Ⅱ级,右下肢肌力Ⅲ级。头颅CT未见明显出血(图2C,D),MRI未见明显异常。再次DSA检查未见脑动脉闭塞,与术后即刻比较,可见明显末梢血管痉挛。血常规、凝血功能、肝肾功能、心肌酶、C反应蛋白、血糖等实验室检查均未见明显异常。给予补液、控制血压、脱水药物及糖皮质激素等治疗。术后1 d,患者出现嗜睡,DWI序列显示左侧额、顶、颞、枕叶皮质高信号,呈"花边征"特点(图2 E~H)。考虑CIE可能性大,给予糖皮质激素1 000 mg冲击,同时补液、控制血压及应用白蛋白等治疗。术后2 d,患者出现四肢抽搐、口唇紫绀,症状持续约1 min;双侧瞳孔直径为4 mm,对光反射消失。给予地西泮、丙戊酸及甘露醇等治疗。症状缓解后患者自行睁眼,查体不配合,瞳孔反射正常,右下肢巴彬斯基征(+)。后患者多次癫痫发作,给予抗癫痫药物对症治疗。常规血液检查及丙戊酸药物浓度等均未见明显异常。术后4 d,患者出现精神亢奋、谵语,言语不利及右侧肢体无力症状好转;右侧肢体肌力Ⅳ级;头颅MRI与前相比,额、顶、颞、枕叶皮质未见异常信号(图2I~L),头颅CT未见明显异常;给予激素减量。术后5 d,患者言语不利、右侧肢体无力明显好转,抽搐未再发;右上肢肌力Ⅴ级,右下肢肌力Ⅳ级。术后9 d症状完全缓解,查体未见明显异常。术后1个月随访患者未诉不适。


既往文献报道,暂时性皮质盲是CIE最常见的临床表现,其次为癫痫发作、偏瘫、失语等局灶性神经功能障碍[5]。但本文报道的2例患者均未出现皮质盲,可能与其均为颈内动脉系统血管内操作以前循环受累为主有关;且该2例患者症状完全恢复的时间均较长(分别为>30 d和9 d),明显超过既往认为的48~72 h[4] ,提示CIE存在较大的异质性。
此外,该2例患者DWI均显示"花边征"的特点,而既往文献报道中少见;与其他文献报道一致的是,影像学表现为以T2WI、T2-FLAIR、DWI为主的高信号,ADC无明显异常信号,且完全可逆[6]。受累区域与血管内操作的血管分布区一致,提示CIE与血管内操作及对比剂直接相关。考虑到患者行颅内动脉瘤栓塞术前DSA检查均未出现过敏反应及其他不适,进一步提示局部对比剂浓度可能与CIE的关系更为密切,与既往认为的高渗对比剂更易诱发CIE的结论一致[7]。
有关CIE的确切机制尚不明确。动物实验已证明,碘克沙醇可直接破坏血-脑屏障,也可以通过诱导内皮细胞形态及功能的改变(包括收缩和膨胀、免疫反应、氧化应激及炎性反应等),间接使血-脑屏障受损[8,9] 。血-脑屏障受损使对比剂外渗直接损伤神经元。另外,碘对比剂可增加内皮细胞释放内皮素,减少一氧化氮的生成,导致血管收缩或痉挛,继而导致脑组织缺血、缺氧[10],这也可以解释DWI显示"花边征"的表现。脑血管痉挛导致对比剂滞留,循环代谢速度减慢,进一步抑制了局部对比剂浓度的下降,形成恶性循环。在此,笔者强调脑血管痉挛在CIE发生中的作用,因为例2患者发病后的DSA明确观察到了脑血管痉挛改变,这在既往的文献中极少报道。但例1患者未观察到类似改变,可能与例2患者合并有原发性高血压、糖尿病,导致血管调节功能下降有关[11,12] 。
CIE的治疗尚无统一标准,针对发病机制,合理补液、抗炎、抗血管痉挛等可能有利于患者症状的快速缓解,抗癫痫、降颅压、改善循环等个体化对症治疗亦非常重要[13]。本文报道的2例患者经激素、补液、抗癫痫及促进对比剂排出等治疗后临床症状均完全缓解,也印证了CIE预后一般较好的结论。
综上所述,CIE的发生率很低,临床及影像学表现异质性较大,需要临床医生加强认识。目前,其发生的危险因素及临床特征尚不完善、发病机制不明确,尚需多中心研究总结预测因素,并为减少其发生和探究更有针对性的治疗方案提供科学依据。
所有作者声明无利益冲突





















