
探讨肾上腺髓质增生症(AMH)的临床诊治特点。
总结1996年1月至2013年5月北京协和医院泌尿外科收治的7例AMH患者完整的临床资料进行分析。
7例患者中男3例,女4例,年龄23~69岁,中位年龄36岁。患者均因高血压就诊,其中2例有发作性血压升高。CT均提示单侧肾上腺结节,左侧5例,右侧2例。2例患者有血钾低于正常,内分泌检查提示2例24 h尿儿茶酚胺升高,1例24 h尿游离皮质醇升高同时促肾上腺皮质激素(ACTH)降低,1例有立位肾素活性降低。3例术前行131Ⅰ–间位碘代苄胍(131Ⅰ–MIBG)显像检查1例阳性。术前疑诊为嗜铬细胞瘤2例,肾上腺皮质腺瘤3例(醛固酮腺瘤2例,库欣腺瘤1例),肾上腺不明结节2例。7例患者均进行手术治疗,4例行一侧肾上腺切除,3例行肿物切除。术后病理均为肾上腺髓质增生,合并有库欣腺瘤或肾上腺皮质增生各1例。术后1例患者血压完全恢复正常,其他患者血压较术前均有不同程度下降,仍高于正常。
肾上腺髓质增生术前诊断困难,高血压是其共同特征,CT有一定的诊断意义,确诊依赖于病理学检查;术前及术中难以明确诊断,手术范围不彻底导致治疗效果不理想。
版权归中华医学会所有。
未经授权,不得转载、摘编本刊文章,不得使用本刊的版式设计。
除非特别声明,本刊刊出的所有文章不代表中华医学会和本刊编委会的观点。
肾上腺髓质增生症(AMH)临床罕见,北京协和医院泌尿外科自1996年1月至2013年5月共收治7例,现将临床诊治经验报道如下。
本组患者7例,男3例,女4例;年龄23~69岁,平均40岁,病程1个月~5年。7例患者均有血压增高,6例因高血压就诊,1例于肺癌术后检查发现。5例伴有头痛、头晕、心悸等症状,2例无不适主诉,均无典型的头痛、大汗、心悸三联征发作。1例患者呈高血压基础上阵发性升高,诱因不明,其余6例为持续性血压增高,血压150~230/90~160 mm Hg(1 mmHg=0.133 kPa),予钙离子拮抗剂、β受体阻滞剂、血管转换酶抑制剂(ACEI)等治疗血压不能维持正常。1例患者合并IgA慢性肾小球肾炎。
本组中2例患者术前血钾降低,分别为3.0和3.3 μmol/L,经口服及静脉补钾后恢复正常,2例空腹血糖增高,最高达7.5 mmol/L,所有患者肝肾功能、血钠、血氯均正常。2例24 h尿儿茶酚胺排出增高,2例立位肾素活性增高,1例24 h尿游离皮质醇增高同时大小剂量地塞米松抑制实验不被抑制。患者血皮质醇、血儿茶酚胺、醛固酮等检查均正常。
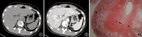
7例均行CT检查,示一侧肾上腺直径0.9~3.0 cm单发结节,平扫CT值–2~21Hu,增强后1例无明显强化,其余6例强化程度与结节周围腺体相似,CT值32~99Hu(图1,图2)。5例行B超检查,1例可见一侧肾上腺增大,回声欠均,其余3例未见异常。4例行131I –MIBG肾上腺髓质显像,1例24 h后可见一侧肾上腺区示踪剂异常浓聚,3例未见异常。2例患者行MRI检查未见异常。


7例患者均行手术治疗,2例术前疑诊为嗜铬细胞瘤的患者常规行2~4周术前准备,主要应用α、β–肾上腺素能受体阻滞剂、钙离子拮抗剂等控制血压、心率在正常范围;3例疑诊为肾上腺皮质腺瘤(2例醛固酮腺瘤、1例库欣腺瘤)及2例不明结节(131I–MIBG均阴性)患者均直接行手术治疗。术前计划行肾上腺病变部分切除,术中探查3例发现肾上腺呈多发结节状,1例未发现明确病变,行一侧肾上腺切除,其余3例术中可探及明确结节行肾上腺部分切除,3例行开放手术,4例行腹膜后腹腔镜手术。患者术中血压波动较平稳,最大收缩压150~205 mmHg,收缩压波动值45~85 mmHg,舒张压最高90~125 mmHg,舒张压波动值25~50 mmHg,手术时间70 ~130 min。术后病理检查显示单纯肾上腺髓质增生5例,髓质增生合并皮质库欣腺瘤及皮质增生各1例。镜下见肾上腺髓质增多,髓/皮质比值1∶2~1∶6,肾上腺尾部及两翼可见髓质侵入,伴或不伴结节形成(图3)。术后行依据病理提示行多发性内分泌肿瘤(MEN)2相关排查如甲状腺、甲状旁腺、胰腺等相关功能及影像学检查除外MEN,2例患者行基因检测未发现Ret基因位点突变。随访4~162个月,所有患者术后血压均有下降,合并库欣腺瘤的患者术后3个月血压完全恢复正常,其他患者血压仍高于正常,需用降压药物种类及剂量较手术前均减少,1例患者术后2年随诊发现对侧肾动脉狭窄,扩张治疗后血压进一步改善。术后3个月复查24 h尿儿茶酚胺1例术前增高的患者无明显下降,其余患者未见异常。复查24 h尿游离皮质醇、131I–MIBG、CT均未见明显异常。
AMH分为两种类型:单纯性AMH和MEN2 Ⅱa型(MEN2Ⅱa),后者是Ret基因突变导致的常染色体显性遗传性疾病,常同时或相继有2个以上的内分泌腺体发生肿瘤,可包括嗜铬细胞瘤或AMH[1,2,3],国内报道以单纯性AMH为主,本组资料均未发现合并有其他内分泌肿瘤,均为单纯性AMH。AMH的病因至今尚不清楚,可能与环境、遗传、交感神经系统介导的药物作用等多种因素有关,可能为神经和激素综合作用的结果。由于部分MEN的患者表现为一侧嗜铬细胞瘤,一侧髓质增生,还有一些患者双侧均未见到嗜铬细胞瘤,而双侧髓质均为弥漫性或结节性增生改变,Carney等[3]认为肾上腺髓质增生是嗜铬细胞瘤的早期病变。
由于病例稀少,目前AMH在诊断和治疗等方面仍存在着诸多困难和争议[4]。综合文献认为AMH主要症状和实验室检查结果与同属儿茶酚胺增多症的嗜铬细胞瘤基本相同,临床表现为持续性或阵发性高血压,其典型特征为头痛、大汗、心悸、恶心呕吐、胸腹痛、视力模糊等。实验室检查结果主要有血、尿中儿茶酚胺(包括肾上腺素、去甲肾上腺素和多巴胺)及其代谢产物增高。在B超、CT或MRI等影像学检查方面,AMH主要表现为一侧或双侧(文献报道双侧病变高达80%)肾上腺体积增大、变厚,肾上腺内无明显肿瘤影像。肾上腺嗜铬细胞瘤则表现为肾上腺区域圆形或类圆形的肿瘤影,若瘤体较大则其中央可呈现出血、坏死液化等改变,常有较低的回声值或CT值。131I–MIBG放射性核素扫描对AMH的阳性率也与嗜铬细胞瘤相似。结合临床表现及实验室检查明确儿茶酚胺增多症后,AMH与嗜铬细胞瘤以及副神经节瘤的鉴别诊断主要依赖B超、CT、MRI等影像学检查,但在术前通过影像学检查来鉴别诊断AMH和嗜铬细胞瘤仍有困难[5,6]。从本组病例来看,患者除均有血压增高外,并无典型的头痛、大汗、心悸等三联症表现,多数患者实验室检查及131I–MIBG显像无阳性发现,CT、MRI以单侧肾上腺结节为主,与文献差异较大,提示AMH可能也存在功能隐匿或静止类型,CT等影像学检查对AMH的诊断率与副神经节瘤类似,明显低于嗜铬细胞瘤[7]。临床上对于合并有肾上腺结节、内分泌功能检查正常的原因不明的高血压患者,应考虑有AMH的可能。
术前确诊困难直接影响到术前准备不充分,文献多主张AMH术前应进行类似于嗜铬细胞瘤的药物扩容准备,本组仅2例患者因疑诊嗜铬细胞瘤行规范的术前准备,其他5例均未行α–肾上腺素能受体阻滞剂等准备,可能蕴含潜在的风险[8]。同时,术前诊断不确切也治疗方案偏于保守,只能以切除影像学检查所示病变为主,即使术中怀疑AMH,术中病理由于条件所限往往也不能明确诊断,难以决定术中一期行双侧肾上腺手术。本组7例患者术后明确诊断后,由于多数患者实验室检查正常,影像学检查未能提示对侧或残留肾上腺组织形态及131I–MIBG摄取异常,进一步扩大手术范围依据不充分,未能再次手术。结合文献提示80%以上的AMH病例为双侧病变[1],因而病变残留可能是导致本组大多数患者术后血压未能完全恢复正常的原因。血浆游离甲氧基肾上腺素测定可能会对定性诊断有所帮助,目前认为血浆游离3–甲氧基肾上腺素测定结果阳性来诊断儿茶酚胺症的概率接近100%,被认为是确定和排除儿茶酚胺症诊断最好的试验方法,对怀疑儿茶酚胺症的实验室检查应首选此方法[9,10,11]。
与同为儿茶酚胺增多症的嗜铬细胞瘤相比,单纯AMH更为罕见,在临床症状、实验室检查及影像学表现各方面不典型性也更明显,确诊往往依赖于术后病理,直接导致到治疗方案不尽合理和治疗效果不理想。临床医师应加深对本病的认识。治疗方面,近年来腹腔镜技术及机器人手术迅速发展,并在肾上腺手术方面均积累了相当成熟的经验,在泌尿外科领域有着广阔的前景[12,13]。





















