
总结巨大纵隔肿瘤外科诊断治疗的经验,评价手术安全性及疗效。
回顾性分析2006年6月至2013年6月在首都医科大学宣武医院胸外科治疗的36例巨大纵隔肿瘤患者的病例资料,详细分析其临床表现、外科诊断治疗及预后情况。
36例巨大纵隔肿瘤患者,其中男23例、女13例;平均年龄39.2岁。其中良性病变23例,恶性病变13例。手术达到完整切除34例,姑息性切除2例。无围手术期死亡。其中6例出现术后并发症,经治疗后均痊愈出院。随访6个月~7年,良性肿瘤患者均健康存活。恶性肿瘤患者9例出现复发或远处转移,其中7例死亡。
外科手术在巨大纵隔肿瘤治疗中起着至关重要的作用,术前明确诊断、准确的手术入路选择及术中精细操作是治疗的关键。巨大良性纵隔肿瘤手术治疗预后良好。
版权归中华医学会所有。
未经授权,不得转载、摘编本刊文章,不得使用本刊的版式设计。
除非特别声明,本刊刊出的所有文章不代表中华医学会和本刊编委会的观点。
纵隔肿瘤是胸外科常见疾病。但对于巨大纵隔肿瘤相对少见。肿瘤体积大、解剖关系复杂,直接影响手术难度及围手术期并发症的治疗,给胸外科医生带来很大挑战。本研究总结了首都医科大学宣武医院胸外科自2006年6月至2013年6月完成的36例巨大纵隔肿瘤外科手术病例,探讨其在在诊断及治疗中的经验。
本组共36例患者,男23例,女13例;年龄9~75岁,平均年龄39.2岁。其中10例为体检发现纵隔阴影就诊,26例术前有呼吸道或全身症状。临床主要表现主要为胸闷、四肢无力、颜面部水肿等。肿瘤位置:前纵隔19例(52.8%),上纵隔11例(30.5%),后纵隔6例(16.7%)。术前所有患者常规行心电图、肺功能检查,50岁以上患者行心脏彩超检查。心肺功能评估可耐受术中单肺通气。所有患者均行胸部增强CT明确为纵隔病变位置,肿瘤体积最大22 cm×18 cm×10 cm,最小10 cm×8 cm×6 cm,病理诊断为良性肿瘤23例(63.9%),包括胸腺瘤7例,成熟型畸胎瘤9例,节细胞神经瘤2例,神经鞘瘤2例,神经纤维瘤2例,脂肪瘤1例;恶性肿瘤13例(36.1%),包括侵袭性胸腺瘤6例,胸腺癌2例,横纹肌肉瘤1例,不典型类癌1例,淋巴瘤1例,鳞癌1例,孤立性纤维瘤1例。
全组患者均采用静吸复合麻醉,双腔气管插管。经后外侧切口13例,前外侧切口3例,前正中切口19例,前正中切口联合颈部切口1例。术中见肿瘤侵犯心包6例,侵犯大血管5例,侵犯肺组织5例。34例接受完整切除(切除率94.4%),其中2例接受姑息性切除患者且均为恶性病变。包括部分心包切除7例,肺楔形切除4例,肺叶切除1例,上腔静脉成形4例。对于术前合并重症肌无力的9例患者,均行胸腺扩大切除术。
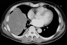
全组患者手术顺利,无围手术期死亡。全组手术时间100~300 min,平均时间191 min,术中出血100~1 500 ml,平均215 ml。2例姑息性切除病例均为Masaoka分期中Ⅳa期恶性胸腺瘤。其中1例术中探查壁层胸膜多发结节,术中切除肿瘤主体,病理证实为B3型胸腺瘤。术后予放化疗治疗。患者术后2年死亡。另1例曾于外院行胸腺瘤切除,术后复发并接受放疗治疗。患者术前有胸闷等明显压迫症状。术中见肿瘤与上腔静脉侵犯,左侧无名静脉完全闭塞。且与周围组织广泛粘连。术中切除大部分瘤体,残余部分用银夹标记术后辅助放疗。术前已获得明确病理学诊断的恶性肿瘤患者,根据具体情况行术前化疗或放疗,减少肿瘤体积进而为手术创造机会。图1所示患者为右侧巨大独立性纤维瘤,予射频消融多点治疗,减少肿瘤体积。后开胸手术,完整切除肿瘤及受侵犯的右肺下叶。


共6例患者出现并发症。1例为术后患侧膈神经损伤,膈肌麻痹,予营养神经药物等治疗后有所改善;1例为下肢静脉血栓引起的肺动脉栓塞,予呼吸机辅助呼吸、抗凝等治疗5 d后治愈;2例术前合并重症肌无力患者术后出现肌无力危象,经无创呼吸机辅助呼吸,调整溴吡斯的明用量,丙种球蛋白及激素治疗症状改善;2例术后房颤,予胺碘酮静脉输液治疗后心率转复。全组患者术后引流量300~1 200(520±180) ml,留置引流管时间3~8(4.7±1.6) d。术后住院天数5~18(8.2±2.4) d。
所有患者均获随访,随访时间3个月~7年。23例良性肿瘤患者中未见复发。胸腺瘤合并肌无力患者9例,均术后继续口服溴吡斯的明,症状明显缓解,其中4例患者术后2年内已停药。恶性肿瘤13例患者术后均接受局部放疗治疗,4例接受全身化疗。9例出现复发或远处转移,其中7例死亡。1例于术后第1年死亡,3例于术后第2年死亡,2例于术后第3年死亡,1例于术后第5年死亡,均死于肿瘤复发转移所致脏器衰竭(表1)。

不同病理类型患者的手术方式及预后
不同病理类型患者的手术方式及预后
| 病理类型 | 病理性质 | 切除范围 | 预后 | |||
|---|---|---|---|---|---|---|
| 良性 | 恶性 | 根治 | 姑息 | 复发或转移 | 死亡 | |
| 胸腺瘤 | 7 | 8 | 13 | 2 | 5 | 4 |
| 神经源性 | 6 | 0 | 6 | – | – | – |
| 畸胎瘤 | 9 | 0 | 9 | – | – | – |
| 其他 | 1 | 5 | 6 | – | 4 | 3 |
| 合计 | 23 | 13 | 34 | 2a | 9a | 7a |
注:a姑息性切除,术后复发、转移及死亡病例均为恶性肿瘤患者,"–"表示无
多数纵隔肿瘤患者存在胸闷气短、颜面部水肿等压迫症状。本组无症状者10例,仅占27.7%。胸部增强CT是重要的诊断和检测手段,可以对肿瘤的位置、大小、边界、密度以及周围脏器的关系有很大的提示作用[1,2]。肿瘤所在部位对于术前诊断意义重大,前上纵隔肿瘤以胸腺瘤、畸胎瘤等为主,而后纵隔肿瘤则多为神经来源肿瘤。术前穿刺活检在病理类型的诊断准确率<70%[3,4]。由于穿刺标本量小,且纵隔肿瘤本身复杂的组织来源,有时并不易获得明确的病理诊断。需在术前通过穿刺活检病理并结合病史及影像学资料以鉴别诊断[5]。
切口的选择在巨大纵隔肿瘤的外科手术尤为重要,应足够大以便暴露肿瘤及周围结构。前上纵隔的肿瘤通常采用胸骨正中切口,同时为横断胸骨的"T或L"形切口做准备,也可延长至颈部切口[6]。侧方开胸的患者麻醉后变换体位可能导致血压下降。应迅速开胸,用手托起瘤体,减少其对心脏、气管压迫。对于广泛粘连的情况,不强求完整切除,先行部分切除以便暴露视野及缓解肿瘤压迫[7]。而大血管受侵的肿瘤,要根据范围大小行侧壁修补或血管置管,阻断大血管时,应充分保护心脏功能并预防脑水肿发生[8,9]。对于巨大的纵隔囊性肿瘤,应先抽囊液进行减压。后纵隔神经来源肿瘤,需仔细辨别与椎管内神经根的关系,避免脊髓损伤,必要时请神经外科共同处理。切口选择、麻醉配合、重要血管神经的暴露以及病灶切除的顺序和方式对巨大纵隔肿瘤手术成功与否有重大影响[10],术前做充分预案准备。
本组共34例患者接受完整切除手术,切除率94.4%。畸胎瘤,非侵袭性胸腺,神经鞘瘤等23例良性肿瘤预后良好[11,12],均无复发及死亡。侵袭性胸腺瘤、胸腺癌等恶性肿瘤因体积巨大,往往代表分期较晚且细胞分化较差。虽经手术切除仍有较高的复发率(69.2%),预后差。放化疗等综合治疗可以使恶性患者一定程度上的受益[13,14,15],姑息切除患者更应接受术后综合治疗。外科手术是巨大纵隔肿瘤治疗的主要手段。随着经验的不断积累,将会为巨大纵隔肿瘤患者的生存和生活质量带来更大的帮助。





















