
版权归中华医学会所有。
未经授权,不得转载、摘编本刊文章,不得使用本刊的版式设计。
除非特别声明,本刊刊出的所有文章不代表中华医学会和本刊编委会的观点。
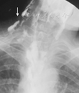
患者男,48岁。因皮肤红斑破溃伴肌无力8个月,咽痛、吞咽困难4个月于2012年2月入北京协和医院风湿免疫科。患者8个月前出现眶周、颜面、前胸、双肘关节伸侧红斑,部分破溃,伴四肢近端肌无力,上肢上举、下肢蹲起困难,伴双肩、双腕关节痛,无肿胀、晨僵;当地医院查肌酸激酶(CK)升高(不详),肌电图示肌源性损害,诊为"皮肌炎",予泼尼松40 mg/d治疗后症状好转。4个月前泼尼松减量至10 mg/d,皮疹加重,出现咽痛、声嘶并逐渐加重至吞咽困难,1个月前进展至无法进食、饮水,伴发热,体温38 ℃,咳嗽、咳少量白痰,就诊于北京协和医院急诊,行喉镜检查:鼻咽、口咽后壁、声带脓苔、白膜(图1A)。留置胃管未成功,疑有食管梗阻。为进一步诊治入院。起病后体重下降20 kg。既往、个人、婚育、家族史无特殊。入院体格检查:体温36.5℃,心率90次/min,呼吸18次/min,血压95/60 mmHg(1 mmHg=0.133 kPa);营养较差,体型偏瘦,颜面、颈部、胸前V区暗红色斑丘疹,头皮脱屑。多个手指指端溃疡、坏死,左手背及左侧肘关节可见新鲜破溃,创面较深,黄色脓苔,右肩部、右肘关节、右手多个近端指间关节、掌指关节、左臀部、双足跟及第一跖趾关节伸面多处斑丘疹、溃疡、结痂。咽后壁深大溃疡,附黄白色脓苔。颈部、右胸部皮下握雪感。双下肺闻及少量湿啰音。心、腹(–)。双下肢无水肿。双上肢近端肌力Ⅳ级,双下肢近端肌力Ⅴ–级。实验室检查:血常规:白细胞5.45×109/L,血红蛋白111 g/L,血小板143×109/L。血生化:丙氨酸转移酶59 U/L,天冬氨酸转移酶34 U/L,白蛋白22 g/L,肌酐62 μmol/L,尿素12.25 mmol/L;CK 13 U/L,乳酸脱氢酶293 U/L。超敏C反应蛋白(hsCRP)21.49 mg/L;红细胞沉降率(ESR) 77 mm/1 h;免疫球蛋白、补体、类风湿因子正常;抗核抗体、抗可提取核抗原抗体、抗磷脂抗体、肌炎抗体谱阴性。肿瘤筛查:CA125稍高,余正常。全身骨扫描、腹部CT正常。胸部CT(图2A):双肺间质病变,左肺尖肺大泡,胸膜增厚,右侧胸部皮下、纵隔气肿。心脏超声:左室顺应性减低,微量心包积液。咽部溃疡活检病理:急慢性炎,可见炎性渗出坏死及真菌菌丝。六胺银染色(+)。上消化道造影:喉咽部瘘,皮下、纵隔显影(图3),食管下段可疑狭窄。皮肤破溃处拭子培养:甲氧西林敏感金黄色葡萄球菌。




诊断皮肌炎,肺间质病变,咽部穿孔,咽喉真菌感染,皮下、纵隔气肿。予甲泼尼龙40 mg/d静脉输液治疗,静脉注射环磷酰胺(CTX)0.4 g/周治疗,同时两性霉素B、先锋美他醇等抗感染治疗。CT引导下置入空肠营养管行肠内营养支持,局部皮肤破溃伤口每日换药。经近3个月的治疗,患者体温正常,颈部、右前胸皮下握雪感消失,咽部、声带溃疡融合、变浅(图1B),声带运动恢复,皮肤红斑、破溃变浅,四肢肌力好转,复查ESR、hsCRP降至大致正常,胸部CT肺间质病变好转,皮下、纵隔气肿消失(图2B),一般情况改善,拔除空肠营养管,恢复自主饮食,激素改为泼尼松50 mg/d口服出院。出院后激素规律减量,继续使用CTX静脉注射0.4~0.6/2周,目前随诊1年余,病情稳定,泼尼松已减至5 mg/d,CTX 50 mg隔日1次口服,皮肤破溃已痊愈,肌力恢复正常。
皮肌炎的病理基础为血管炎,即肌纤维营养血管的非化脓性炎症,导致肌纤维缺血坏死,其特异性肌肉病理改变为"束周萎缩" [1];其皮肤表现也因皮肤血管炎所致。本例为中年男性,慢性病程,病初主要表现为:(1)皮肤:眶周、颜面、胸前区红斑,双肘、多个掌指关节等多处关节伸侧红斑、破溃,创面深大,手指指端缺血、溃疡;(2)肌肉:四肢近端肌力下降,CK升高,肌电图示肌源性损害;(3)全身症状:发热,体重下降。由于患者皮肤表现特点典型,出现"向阳疹"、 "V字征"、 "Gottron征",同时有四肢近端肌肉受累,诊断皮肌炎明确。皮肌炎是结缔组织病中疗效较差、恢复较慢的疾病,多需激素足量(1~2 mg·kg–1·d–1)及足疗程(6~8周)并联合免疫抑制剂治疗。
皮肌炎诊断明确,病情顽固,皮肤、黏膜血管炎活动,引起破溃、糜烂,合并感染,加重破溃。
咽部溃疡、纵隔、皮下气肿常见于皮肌炎,多由原发病活动所致,而本例患者气肿主要病因为侵袭性真菌感染。
皮肌炎急性期需大剂量糖皮质激素及以CTX、环孢素为代表的免疫抑制剂积极治疗,疗程要足,减量需慢,并遵循个体化原则,以期有效控制病情进展。
皮肌炎出现纵隔、皮下气肿的常见病因为肺血管炎、肺间质病变,但切忌临床中一旦发现气肿发生即考虑原发病活动,其他少见病因如感染、合并肿瘤等也需逐一除外,以免误导治疗方向。
对结缔组织病原发病活动合并感染的治疗,需"多"管齐下,既要严格治疗原发病,又要积极控制感染,同时加强营养支持和局部处理,不宜因重视感染而忽视或撤掉应有的原发病治疗。
本例经初期糖皮质激素的治疗,病情有短暂好转,在激素减量过程中,再次出现皮肤和肌肉病变加重,并先后新出现了咽痛、吞咽困难;咳嗽、咳痰、皮下积气等情况。
皮肌炎患者咽痛、吞咽困难最常见的原因为颈部深层司吞咽的肌群受累[2],此时为防止呛咳诱发吸入性肺炎,常需禁食、留置胃管肠内营养支持;其次,部分皮肌炎患者可出现由血管炎导致的咽喉部黏膜糜烂、溃疡、白斑、伪膜性炎症[3],类似于咽喉部的"Gottron征" ;再次,皮肌炎常伴发恶性肿瘤,原发于咽喉部的肿瘤可引起咽痛、吞咽困难;最后,糖皮质激素和(或)免疫抑制剂治疗在维持患者免疫低下状态的同时,会使继发感染概率明显升高,咽喉部的感染也需考虑在内。该患者咽喉部检查见到深大、苔厚、丑陋的溃疡,结合患者前期治疗疗效欠佳,体重下降明显,最先需要除外的是恶性肿瘤,因此病房多次与耳鼻喉科沟通,反复在局部进行活组织病理检查、病原学培养等,但并未找到恶性肿瘤的痕迹,却获得了真菌感染的可靠证据,且抗真菌治疗有效,同时结合患者全身皮肤血管炎严重,推测可能咽喉部黏膜也是血管炎活动的受害者,最终明确患者咽痛、吞咽困难原因为咽喉部黏膜破坏的基础上,合并了侵袭性真菌感染。
患者有咳嗽、咳痰及皮下积气,胸部影像学示肺间质病变、纵隔气肿。皮肌炎的肺间质病变发生率高,尤其在无(或轻)肌病的皮肌炎患者,肺间质病变病情重,进展快,严重影响患者生存率。纵隔气肿是皮肌炎较罕见的并发症,好发于有肺间质病变的皮肌炎患者[4],发生率0.9%[5]~8.3%[6],气体可由纵隔蔓延至皮下组织形成皮下气肿。纵隔气肿发病机制不明,可能与血管炎所致的气管或肺泡壁破坏有关,也可能与肺间质病变有关[7]。有研究认为,糖皮质激素治疗使组织脆弱、肺部感染破坏黏膜屏障,也是纵隔气肿发生的诱因[8]。纵隔气肿的出现常是疾病活动的提示,也是预后不良的危险因素,病死率高[5]。积极治疗原发病,尤其是环孢素等免疫抑制剂的应用[8],可显著改善患者预后。
分析该患者皮下、纵隔气肿的原因,本例肺间质病变相对较轻,而皮肌炎出现纵隔气肿一般情况下肺部间质病变严重;患者皮肤表现突出,提示血管炎程度较重,故考虑气肿的发生可能与血管炎有关。而血管炎严重是原发病活动的提示,需加强糖皮质激素和免疫抑制剂的治疗。
患者吞咽困难,虽考虑咽喉部病变为主要原因,但患者曾有留置胃管失败史,为进一步明确是否有消化道梗阻,为患者行消化道造影检查。检查中却有惊奇的发现:吞咽造影剂后,患者皮下出现造影剂显影,说明患者咽部与皮下存在贯通伤,推断原发病血管炎的损伤加之真菌较强的侵袭性,导致患者咽部穿孔,引起皮下气肿,并蔓延至纵隔形成纵隔气肿,这种情况在文献中也有报道[9]。至此,本例纵隔、皮下气肿的原因已真相大白,咽部病变损伤是真正的元凶。而咽部损伤则归咎于:(1)原发病的血管炎是始动因素,(2)继发的侵袭性真菌感染则起了推波助澜、雪上加霜的作用。
由于患者既有原发病活动,又有难治性感染,治疗上存在相对的矛盾。临床中此种情形并不少见,此时通常需"多"管齐下,一方面积极治疗原发病,以糖皮质激素和环磷酰胺有力地阻断血管炎进展;另一方面规范合理的抗感染治疗,控制感染进一步蔓延;同时,建立肠内营养通路,加强营养支持,改善一般情况,为病情恢复提供坚实基础;另外,精心护理保证严格有效的皮肤换药、多科室通力合作促进局部愈合的治疗也起到了重要作用。不宜顾忌感染或创面无法愈合而撤掉应有的原发病治疗,否则无法从根本上获得病情的稳定和好转。
纵观本例整个病程,皮肌炎诊断明确,皮肤、黏膜血管炎较重,导致咽喉部黏膜损伤、屏障破坏,糖皮质激素和免疫抑制剂的使用使机会性感染趁虚而入,咽喉部侵袭性真菌感染加重了局部黏膜损伤,引发咽部严重的溃疡、穿孔,最终导致皮下、纵隔气肿。此种复杂病情下,既要给予积极的抗感染治疗,又要兼顾原发病的控制,还需保证营养支持的加强和局部护理的跟进。经过长期、艰难和耐心的治疗和护理,终于得到了病情的稳定和好转,挽救了患者生命,也改善了患者长期生活质量。





















