
观察子宫肌瘤和子宫腺肌瘤高强度聚焦超声(HIFU)治疗效果。
对2011年7月至2013年11月石家庄市第一医院就诊临床诊断为子宫肌瘤和子宫腺肌瘤的166例患者行HIFU治疗,于治疗后1、3和6个月分别对患者进行随访及超声复查;观察子宫肌瘤及子宫腺肌瘤患者治疗前后临床症状、血流情况、MRI平扫病灶体积大小等指标。
HIFU治疗后患者月经量明显减少,血红蛋白全部恢复正常,痛经等临床症状明显改善,患者子宫消融灶明显缩小,治疗后1、3及6个月消融灶治疗有效率分别为71.8%、86.1%、95.4%,血流明显减少或消失,无一例出现不可接受的不良反应发生。
采用HIFU技术对子宫肌瘤和子宫腺肌瘤患者进行微无创消融治疗安全有效,不良反应小,有利于疗效观察。
版权归中华医学会所有。
未经授权,不得转载、摘编本刊文章,不得使用本刊的版式设计。
除非特别声明,本刊刊出的所有文章不代表中华医学会和本刊编委会的观点。
子宫肌瘤和子宫腺肌瘤是妇科常见的良性肿瘤,传统治疗方法主要有手术切除子宫、挖除肌瘤或药物治疗,但手术治疗创伤大,药物治疗效果不佳。为保留子宫,维持女性正常内分泌功能,近年临床多采用宫腔镜、腹腔镜、射频、微波、子宫动脉栓塞等微创和介入消融治疗技术对患者进行治疗[1,2,3,4,5],但没有一种方法达到临床完全无创。高强度聚焦超声(HIFU)是近年来兴起的一种体外无创治疗肿瘤的新技术,能有效破坏靶组织,而对超声束所经过的路径和周围正常组织无损伤[6,7,8]。HIFU已在前列腺、乳腺、肝脏、胰腺、骨等良恶性肿瘤临床治疗中取得好的治疗效果[5,9,10,11],其热消融治疗对机体创伤小,通过体外准确聚焦超声能量在肿瘤内产生瞬间高温效应(60~100 ℃)和空化效应能破坏瘤灶组织达到非手术治疗目的[12]。本研究应用HIFU技术对河北地区166例子宫肌瘤和子宫腺肌瘤患者进行治疗,旨在总结HIFU治疗子宫肌瘤及子宫腺肌瘤的临床疗效。
2011年7月至2013年11月在石家庄第一医院经临床、超声及MRI检查诊断为子宫腺肌瘤行HIFU治疗并完成随访的166例患者,分别表现为月经量增多(≥80 ml)和经期延长(≥7 d)、伴有贫血、痛经、不孕,一般情况见表1。

166例子宫肌瘤和子宫腺肌瘤患者一般情况
166例子宫肌瘤和子宫腺肌瘤患者一般情况
| 组别 | 例数 | 年龄(岁, ±s) | 月经改变(例) | 贫血(例) | 痛经(例) | 不孕(例) |
|---|---|---|---|---|---|---|
| 子宫肌瘤 | 125 | 42±7 | 108 | 85 | 41 | 1 |
| 子宫腺肌瘤 | 41 | 38±6 | 23 | 17 | 29 | 2 |
| 合计 | 166 | 40±6 | 131 | 102 | 70 | 3 |
纳入标准:(1)生育年龄妇女,年龄18~52岁。(2)选择单发或多发子宫肌瘤或子宫腺肌瘤,位于子宫前壁、宫底或后壁肌壁间,直径2~10 cm瘤灶进行治疗;(3)手术需在非月经期进行;(4)有盆腔炎症的患者需在炎症控制后;(5)安置有宫内节育器的患者需在取出宫内节育器且无阴道出血后;(6)阴道炎症需在阴道炎症治愈后。排除标准:(1)位于宫颈的肌瘤或者腺肌瘤;(2)合并有严重心、脑、肺疾病的患者;(3)排除可疑肉瘤、宫颈病变、子宫内膜癌等恶性肿瘤或近期行药物或介入治疗的患者。
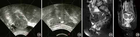
(1)仪器:采用重庆海扶(HIFU)技术有限公司研制的JC–200型聚焦超声肿瘤治疗系统。(2)方法:①术前检查及术前准备:术前行血、尿、便、肝肾功能、心电图常规检查,常规超声检查子宫的位置、形态、大小,子宫病变大小及其内部和周边血流信号。MRI磁场强度为0.35T,对盆腔行T1WI、T2WI扫描,显示子宫占位病变,病变血流情况以及子宫与周围组织脏器的关系。术前准备主要包括常规的皮肤准备及肠道准备,皮肤准备主要是备皮及预计治疗声通道区域皮肤的脱脂、脱气等;肠道准备主要是治疗前的导泻及清洁肠道,以避免气体对超声图像的干扰及减低肠道损伤的风险。②HIFU治疗:治疗时留置导尿、适当充盈膀胱(200~300 ml),具体充盈量根据术中情况来定,取俯卧位。治疗全过程对患者实施适当的镇静镇痛(芬太尼、咪达唑仑及吗啡)。患者下腹部浸入脱气水中,机载超声定位选择治疗区,声通道避开肠道和耻骨联合等。当病灶充分暴露,确定肌瘤范围后,拟定治疗范围,将每个肌瘤瘤体分为若干层面,按照由点到线,由线到面,由面到体的方式由深至浅逐层进行治疗,完成治疗计划。治疗参数:发射频率0.8 MHz,功率50~400 W,采用点扫描,每次点照射1~2 s,间隔1~3 s,重复6~12次,层厚5 mm。手术中根据患者手术中是否有不适反应适当调整治疗功率、位置及治疗时间,治疗总时间根据肌瘤大小1~4 h。③治疗中超声实时监控:治疗中机载超声可以实时观察肌瘤变化以及周围正常组织的情况,使能量聚焦在病灶区域而避免周围组织的损伤,当靶区出现明显灰度增加或团块状灰度,可明确该治疗区出现凝固性坏死,然后治疗下一个点,直到将整个计划治疗区完全覆盖。治疗时若患者出现腹部皮肤烧灼痛或腰骶部、臀部、下肢疼痛即停止辐照。治疗前后B超显示灰度即刻变化如图1。④随访:HIFU治疗后1、3和6个月对患者进行随访,包括血常规、超声或MRI,观察患者肌瘤大小、血供变化情况;详细了解并记录患者治疗后月经量有无减少、周期有无变化、有无贫血、痛经及不良反应发生等临床症状改善情况;经阴道超声及MRI评估HIFU治疗后消融灶体积、内部血流回声及图像改变情况,并与治疗前子宫瘤灶大小、体积及声像图表现进行比较,评价治疗效果,统计治疗显效、有效及无效率。治疗前后MRI对比变化见图2。


采用SPSS 18.0统计软件进行统数据分析,HIFU治疗有效率=(显效例数+有效例数) /随访总例数× 100%,有效率差异统计学意义的比较采用χ2检验,以P<0.05为差异有统计学意义。
HIFU治疗前超声检查显示,166例患者子宫肌瘤和腺肌瘤215个,单发141例,直径2.0~10.0(5.2±1.4) cm,体积(37.7±4.9) mm3;多发25例(2~5个),直径(3.8±2.0) cm,体积(33.6±5.2)。对166例215个瘤灶进行治疗,其中最小瘤灶直径2.0 cm,最大瘤灶直径10.0 cm。166例中208个瘤灶顺利完成HIFU消融治疗,余7个瘤灶患者放弃继续治疗。治疗后1、3和6个月分别随访到163例(98.2%, 163/166)、158例(95.2%,158/166)和153例(93.9%, 153/166)患者,失访12例。
131例患者中共随访88例患者,随访内容包括月经周期、经期及经量,其中经量以患者术前所用的卫生巾数为基数(100%),详细记录每一经期所用的同种卫生巾的数,并与术前进行比较,得术后6个月月经量占原月经量的百分比,术前术后月经变化见表2。

HIFU治疗前及治疗后6个月的月经情况
HIFU治疗前及治疗后6个月的月经情况
| 时期 | 例数 | 月经周期(d) | 月经期(d) | 月经量(%) | |
|---|---|---|---|---|---|
| 治疗前 | 88 | 32.5±3.7 | 8.3±1.3 | 100±0 | |
| 治疗后 | 88 | 28.4±1.8 | 6.1±1.1 | 50±15 | |
| P值 | <0.05 | <0.05 | <0.05 |
102例贫血患者中随访76例,术前(91±6)g/L,术后6个月恢复至(122±11)g/L。
70例痛经患者中共随访66例,其中31例治疗后1个月痛经完全消失,21例治疗后3个月明显减轻,至治疗后6个月50例痛经症状完全消失,其余16例痛经明显减轻,仅有轻度痛经,完全不影响正常工作生活。
判断标准:子宫肌瘤和子宫腺肌瘤体积按公式(πabc/6) cm3计算,公式中a、b、c分别为瘤体3个垂直切面的直径,多个子宫肌瘤和腺肌瘤的体积为各个瘤体体积之和。瘤体血流分级按Adler半定量法分级标准,0级:瘤体(消融灶)内未见血流信号;Ⅰ级:瘤体内少量血流,可见1~2处点状血流;Ⅱ级:瘤体内中量血流,可见1条主要血管,其长度超过瘤体(消融灶)半径或见几条小血管;Ⅲ级瘤体内血流丰富,可见4条以上血管或血管相互连通,交织成网状。对多个病灶的血流评估按照血流最丰富的一个瘤灶评价。超声复查子宫瘤灶内血流信号明显减少(多个瘤灶,以消融治疗后血流降至Ⅰ级以下的瘤灶判断),瘤灶体积缩小>50%为治疗显效(多个瘤灶,以所治疗的瘤灶体积之和计算)。有效:治疗后患者超声复查子宫瘤灶内血流信号减少(Ⅱ级),瘤灶体积比治疗前缩小>25%为治疗有效。无效:治疗后患者超声复查子宫瘤灶内血流信号未减少(Ⅲ级以上),瘤灶体积无缩小(<25%)为治疗无效。HIFU治疗后1、3和6个月患者超声复查子宫瘤灶内血流信号变化情况及子宫瘤灶缩小情况见表3,表4。

HIFU治疗后1、3和6个月患者子宫瘤灶体积的变化(例)
HIFU治疗后1、3和6个月患者子宫瘤灶体积的变化(例)
| 随访时间 | 总例数 | 显效(例) | 有效(例) | 无效(例) | 有效率(%)a |
|---|---|---|---|---|---|
| 1个月 | 163 | 36 | 81 | 46 | 71.8 |
| 3个月 | 158 | 42 | 94 | 22 | 86.1 |
| 6个月 | 153 | 47 | 99 | 7 | 95.4 |
注:3个时间比较aP< 0.05

HIFU治疗后1、3和6个月患者子宫瘤灶内血流信号的变化
HIFU治疗后1、3和6个月患者子宫瘤灶内血流信号的变化
| 随访时间 | 总例数 | 显效(例) | 有效(例) | 无效(例) | 有效率a(%) |
|---|---|---|---|---|---|
| 1个月 | 163 | 40 | 75 | 48 | 70.6 |
| 3个月 | 158 | 52 | 88 | 18 | 88.6 |
| 6个月 | 153 | 53 | 90 | 10 | 93.5 |
注:3个时间比较aP< 0.05
治疗后3个月3例宫内妊娠(行人工流产2例,妊娠状况正常1例);治疗后6个月5例患者宫内妊娠(行人工流产3例,妊娠状况正常2例,妊娠状况正常者均顺利生产)。
166例中165例治疗区皮肤均无灼伤,无橘皮样改变,未出现血尿;1例患者治疗区皮肤可见1 cm×2 cm大小灼伤,经手术切除坏死组织后愈合好;14例患者术后皮肤稍肿胀,皮温稍高,经间断冰敷后肿胀消退。HIFU治疗后1~7 d,25例患者出现轻微下腹痛,发热等症状,经对症治疗后好转;4例患者术后出现下肢疼痛,给予口服甲钴铵治疗20 d后疼痛消失;6例患者出现皮下硬结,其中4例伴有疼痛,给予口服非甾体类抗炎药物3~5 d后疼痛消失,1~2个月皮下硬结变小消失;治疗后1个月,12例患者出现月经来潮后阴道排液,为无色透明、无味液体,观察1~2个月经周期后恢复正常;治疗后3个月1例子宫腺肌症患者痛经明显改善,但经量无明显减少,行子宫切除术,术后病理学结果为子宫内膜不规则增生;治疗后6个月,所有随访患者均无其他严重不良反应发生。
子宫肌瘤和子宫腺肌瘤目前治疗的方法较多,如药物、手术、介入栓塞、经皮穿刺物理治疗等,但采用手术的方式居多,部分患者需要切除子宫,手术切除子宫后对患者生育和内分泌功能均有较大影响,且因此研究无创和微创方法治疗子宫肌瘤和子宫腺肌瘤有重要临床意义。
HIFU治疗子宫肌瘤及子宫腺肌瘤就是利用作为一种机械波的超声波具有生物组织内可穿透性及能量可聚集性的特点,将较低强度超声波从体外聚焦于生物体内的靶区内,形成一个高强度超声波汇聚的焦域区,高强度超声产生的生物学效应致使焦域区病灶组织细胞变性,凝固性坏死[13],从而使肌瘤体积缩小[14,15]、临床症状得到缓解。且HIFU在治疗过程中通过机载超声实时监控,对治疗病灶及周围正常组织、器官实时观察,能够达到肌瘤得到治疗,而周围组织器官得到保护的效果。本研究采用HIFU对166例子宫肌瘤和子宫腺肌瘤患者的子宫瘤灶进行治疗,治疗后1、3和6个月随访的患者临床症状有明显改善,超声复查显示消融灶逐渐或明显缩小,消融灶治疗有效率分别为71.8%、86.1%、95.4%,无一例子宫肌瘤或子宫腺肌瘤原发病变复发。1例子宫腺肌症患者HIFU治疗后3个月要求手术治疗,术中显示HIFU消融灶组织变性、坏死,与文献报道的HIFU消融灶变化相同[2,15,16,17]。166例中65例治疗区皮肤均无灼伤,无橘皮样改变,未出现血尿;1例患者治疗区皮肤可见1 cm× 2 cm大小灼伤,经手术切除坏死组织后愈合好,可能与患者术中对疼痛不敏感,治疗时间长以及手术医生经验相关。

±s)



















