
探讨颅咽管瘤手术入路的选择及效果。
回顾性分析2008年9月至2014年3月解放军总医院采用手术切除的169例颅咽管瘤患者的临床资料、手术入路、疗效和术后并发症。根据术前影像学明确肿瘤的位置、大小及生长方式,采用不同手术入路,其中额下外侧入路11例,额颞入路69例,前纵裂入路57例,经胼胝体入路9例,鼻蝶入路14例,经额中回入路2例,脑室镜下经室间孔入路5例,联合入路2例。术后及时控制尿崩及水电解质紊乱。术后1~3个月复查头颅MRI增强扫描。
肿瘤全切除124例(73.4%),次全切32例(18.9%),大部分切除13例(7.7%)。垂体柄完整保留104例,部分保留21例。术后1个月内视力无改变99例,视力好转49例,视力较术前下降21例。术后尿崩101例,89例患者术后出现电解质紊乱。随访3~66个月,平均26.1个月,肿瘤复发26例。
通过术前评估,个性化选择合适的手术入路是颅咽管瘤手术成功的关键。
版权归中华医学会所有。
未经授权,不得转载、摘编本刊文章,不得使用本刊的版式设计。
除非特别声明,本刊刊出的所有文章不代表中华医学会和本刊编委会的观点。
颅咽管瘤是起源于Rathke囊残余组织的胚胎上皮性肿瘤,多在鞍上生长[1]。在生长过程中常常累及下丘脑、视路、垂体柄及颈内动脉系统等重要的组织结构,肿瘤的切除会带来较多的并发症,全切率低,复发率高,因此颅咽管瘤的切除在神经外科来说一直是具有挑战性的手术[2],手术入路的选择尤为重要。解放军总医院神经外科2008年9月至2014年3月共手术治疗颅咽管瘤患者169例,现分析总结报道如下。
169例患者中男102例,女67例;年龄3~74(34.1)岁,其中3~14岁24例。病程为30 d~10年,平均18个月。有既往手术史19例。入院症状:头痛86例,视力下降104例,视野缺损83例,尿崩24例,癫痫3例,术前有内分泌症状25例,发育迟缓15例。
所有患者术前均行头颅MRI平扫及加强扫描,126例行CT检查。头颅CT有明确钙化的73例。肿瘤大多数位于鞍上,中线生长,压迫视神经及视交叉,向上生长进入三脑室内,部分肿瘤可突入脚间池内,少部分肿瘤向侧方生长甚至突入侧脑室内。室间孔或中脑导水管阻塞者可出现幕上脑室扩大,合并中度至重度脑积水患者28例。肿瘤最大径1.5~7.8 cm。囊性23例,囊实性125例,实质性21例。增强扫描肿瘤囊壁和实质性部分有明显强化。肿瘤主体位于鞍内17例,主体位于鞍上未侵及三脑室的51例,主体位于鞍上侵及三脑室内外的95例,其中进入侧脑室的5例。完全在第三脑室内6例。
患者手术前常规在解放军总医院眼科行视力及视野检查,明确视力及视野有无损害及损害程度。所有患者术前行全面垂体下丘脑相关的内分泌检查,包括血泌乳素、甲状腺功能、性腺功能、生长激素、促肾上腺皮质激素、皮质醇等激素检查。
患者入院后常规查头颅核磁、视力视野、激素等检查。对肿瘤的大小、生长方式、视神经的影响情况、下丘脑功能及患者的全身状况等进行综合分析和评估,选择合适的手术入路,患者条件允许的前提下尽量做到最小的创伤一次性全切肿瘤。皮质醇低下的患者术前1~3 d补充糖皮质激素。可应用术中导航或术中磁共振辅助下切除巨大颅咽管瘤。
术后常规监测电解质水平及24 h出入量。术后24 h内复查头颅CT了解颅内情况,并复查内分泌激素水平。术后早期给予皮质醇激素和甲状腺激素补充或替代治疗,予以垂体后叶素控制尿崩症,及时纠正水电解质紊乱。术后1~3个月复查头颅MRI、内分泌及视力视野,如果头颅MRI发现有肿瘤残留,建议患者行伽玛刀治疗,此后每6个月复查1次头颅MRI,观察肿瘤变化。无肿瘤残留则每8~12个月随访复查1次。
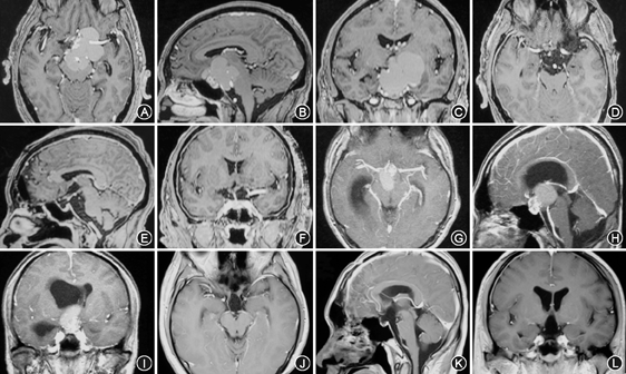
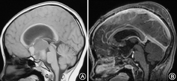
根据术者术中判断及术后影像学判定肿瘤切除程度(图1,图2)。本组病例肿瘤全切除124例(73.4%),次全切32例(18.9%),大部分切除13例(7.7%)。169例患者临床资料见表1。本组无手术相关死亡病例,术后住院8~85 d,平均17.3 d。垂体柄完整保留104例,部分保留21例,垂体柄与肿瘤一起切除21例,术中未见垂体柄23例。5例选择前纵裂入路术中切断前交通动脉,术后无不良反应。6例巨大颅咽管(最大径>6 cm)在术中磁共振辅助下手术,其中4例全切除,2例次全切除。





手术入路选择及肿瘤切除情况(例)
手术入路选择及肿瘤切除情况(例)
| 手术入路 | 例数 | 全切 | 次全切除 | 大部切除 | 复发 |
|---|---|---|---|---|---|
| 额颞入路 | 69 | 52 | 14 | 3 | 12 |
| 前纵裂入路 | 57 | 50 | 6 | 1 | 6 |
| 经胼胝体入路 | 9 | 6 | 3 | 0 | 2 |
| 鼻蝶入路 | 14 | 2 | 7 | 5 | 5 |
| 额下外侧入路 | 11 | 11 | 0 | 0 | 0 |
| 额中回入路 | 2 | 1 | 1 | 0 | 0 |
| 脑室镜下室间孔入路 | 5 | 1 | 0 | 4 | 1 |
| 联合入路 | 2 | 1 | 1 | 0 | 0 |
| 合计 | 169 | 124(73.4) | 32(18.9) | 13(7.7) | 26(15.4) |
注:括号内为百分率(%)
术后尿崩101例,其中暂时性尿崩症65例,持续性尿崩症36例。电解质紊乱89例。术后1个月内视力无改变99例,视力好转49例,视力下降21例(前纵裂7例,额颞14例,其中1例术侧失明)。7例术后出现颅内血肿并再次手术,其中4例硬膜外血肿(3例额颞入路,1例胼胝体入路),3例额叶脑内血肿(均为前纵裂入路),再次手术血肿清除后患者恢复。动眼神经麻痹7例,6例半年后恢复正常,1例部分恢复。脑脊液漏2例(鼻蝶入路1例,前纵裂入路1例),经鼻蝶入路脑脊液漏修补后恢复。颅内感染12例,均行腰大池引流后痊愈,其中1例合并切口感染。术后甲状腺功能下降54例,皮质醇低下69例,需激素替代治疗。
术后随访148例,随访3~66个月,平均26.1个月。随访中,肿瘤复发26例,其中选择再次手术21例,选择放射外科治疗5例。112例患者术后可返回日常工作与学习;25例有轻度神经功能障碍但能独立生活;11例生活需要他人照顾。
随着显微外科的发展,我们选择处理颅咽管瘤的手术入路也在发生变化,根据肿瘤的大小、位置、生长方向等方面选择创伤小、引起并发症少、对下丘脑及视神经及颈内动脉系统影响小的手术入路。额下外侧入路代替了部分额颞入路,前纵裂入路代替了部分经纵裂–胼胝体入路,并且应用脑室镜处理了5例三脑室内的颅咽管瘤。
对于颅咽管瘤患者,我们术前进行严格的评估,个性化选择治疗方案及手术入路。这些评估包括:(1)患者的全身状况,明确能否耐受手术及选择在患者条件允许下的最优化治疗;(2)内分泌及视力视野情况:皮质醇低下的患者术前1~3 d补充糖皮质激素。根据视力选择额颞入路或额下外侧入路的手术侧别;(3)术前影像学:选择手术入路最重要的依据,主要明确肿瘤特征,如大小、位置及生长方式,还包括肿瘤钙化大小及位置,肿瘤与视路及Willis环的关系,肿瘤与三脑室及下丘脑的关系等[3],以最小的手术损伤和最大限度地暴露肿瘤为原则,选择合适的手术入路。对于巨大的颅咽管瘤应用术中导航或术中核磁扫描对肿瘤的全切有一定的帮助。
额下外侧入路适合切除中小型鞍内鞍上偏一侧或中线生长的颅咽管瘤,优点是创伤小,不需要翻开颞肌,避免了术后颞肌萎缩导致的美容问题[4],但操纵空间小,不适于切除大型肿瘤。额颞入路适合切除大多数的颅咽管瘤,包括鞍内鞍上生长,向上生长到三脑室前部,向下到脚间窝的肿瘤,尤其是偏一侧生长的肿瘤[5,6],但是对于三脑室内外大型颅咽管瘤,特别在肿瘤位置较高或突入三脑室的中后部,该入路存在手术盲区,同时术中手术操作对同侧颈内动脉及视神经影响较大[7]。联合终板入路时对终板显露不如前纵裂入路。前纵裂入路是我们近年应用较多的入路,切除主体位于中线,且鞍上位置较高侵及三脑室的肿瘤,分开纵裂后由前到后有较宽阔而直接的中线的视野[8],通过调整头架的角度可以切除侵及三脑室中后部的肿瘤,尤其对前外侧的下丘脑核团保护更直接更容易[9]。但是分开纵裂时经常需要切断汇入矢状窦的桥静脉,这也会增加额叶出血的风险,有时还需切断前交通动脉。经胼胝体入路多用来处理鞍上突入三脑室后部、侧脑室、透明隔的肿瘤。对于肿瘤侵入三脑室后部时可经过胼胝体–透明隔–穹窿间入路切除,当肿瘤向上生长到达室间孔平面以上或进入侧脑室时,可经胼胝体–侧脑室–室间孔切除肿瘤,或经额中回造瘘,进入侧脑室后经室间孔切除肿瘤。胼胝体入路对鞍内及视交叉下方鞍背前方的肿瘤切除困难,同时切开胼胝体及穹窿会导致的缄默及记忆力下降等并发症。
近年来,对于突入三脑室中后部的颅咽管瘤我们多用前纵裂入路切除,通过调整头架角度,前纵裂入路可以切除上到三脑室后部,下至脚间池,前至前颅底及鞍内的肿瘤,避免了由于切开胼胝体及穹窿导致的缄默及记忆力下降等并发症。石祥恩等报道前纵裂入路垂体柄的保留率高于额颞入路[10]。采用内镜下经鼻蝶入路切除颅咽管瘤共14例,此入路适合鞍内或鞍内生长为主的颅咽管瘤[11],但我们认为全切率低,肿瘤容易复发。不能全切的重要原因是颅咽管瘤的囊壁无法完全剥除,尤其是与鞍隔的粘连紧密,剥离困难,病理学检查证实多数鞍膈和肿瘤囊壁相互融合在一起。采用脑室镜下切除颅咽管瘤共5例,其中1例三脑室内囊实性的颅咽管瘤患者术前一般情况差,有高血压及糖尿病等内科疾病,考虑患者不能耐受开颅手术,行脑室镜下肿瘤大部分切除,加三脑室底造瘘,患者术后恢复良好,随访半年无复发。我们认为脑室镜下切除颅咽管瘤适合切除原发于脑室内较小的肿瘤,或三脑室内生长为主无法耐受开颅手术的患者,清除囊内容物后切除实质性部分,肿瘤大部分切除后,行三脑室底造瘘或导水管成形术,解决梗阻性脑积水,但肿瘤做到全切较困难,主要困难是内镜下囊壁无法全部剥除,镜下完全剥除囊壁是非常困难和危险的,存在复发的可能。小型的三脑室内颅咽管瘤可尝试内镜下切除。
对于颅咽管瘤,应根据患者的情况、肿瘤的位置、生长方向和肿瘤与周围结构的关系,采取个体化手术入路,在最大限度切除肿瘤的同时保护视神经、下丘脑、颈内动脉及其穿支等结构,从而减少术后并发症的发生和术后功能的恢复。





















