
探讨多中心脑胶质瘤的诊治方案和潜在的发病机制。
对象:(1)2012年1月至2014年12月,前瞻性的收集上海长征医院神经外科收治的多中心脑胶质瘤患者5例。(2)通过国内外文献检索收集到的临床资料较完备的多中心胶质瘤病例,对可能影响预后的相关因素进行单因素(K–M法)和多因素(COX回归法)生存分析。
共收集到62例(包括前述5例)多中心胶质瘤的临床资料;年龄55±14(11~78)岁;男∶女1.27;62例中同期多中心脑胶质瘤48例,非同期13例;总体中位生存时间8(0.5~84)个月,非同期多中心胶质瘤出现新发病灶为时间截点,中位生存时间7(0~21)个月;单因素生存分析发现,年龄、是否手术切除病灶(单个或多个)、放疗、化疗等因素对多中心胶质瘤预后的影响差异有统计学意义(P<0.05);多因素生存分析发现,仅手术切除病灶和术后进行辅助化疗对预后的影响差异有统计学意义(P<0.05)。
多中心脑胶质瘤以高级别的恶性胶质瘤多见,预后差,尽可能的手术切除病灶和术后规范放、化疗有助于改善患者预后,针对多个病灶的调强放疗有益于患者。
版权归中华医学会所有。
未经授权,不得转载、摘编本刊文章,不得使用本刊的版式设计。
除非特别声明,本刊刊出的所有文章不代表中华医学会和本刊编委会的观点。
多中心脑胶质瘤(Multicentricglioma)是同时或先后(间隔数月至数年)出现的中枢神经系统多发胶质瘤(Multiple glioma)病灶,而且病灶之间的关系无法用已知的转移途径(包括白质纤维束、脑脊液、室管膜、血管、临近的卫星灶等)来解释[1]。与之对照,可用已知转移途径来解释的多发胶质瘤被定义为多局灶胶质瘤(Multifocal glioma)。多中心胶质瘤的发生率占脑胶质瘤的2%~16.2%[1]。一项针对241例胶质瘤患者大脑组织切片的研究发现,多中心脑胶质瘤占7.5%,其中2.9%具有不同的病理学性质[2]。作为一种少见但重要的胶质瘤类型,多中心脑胶质瘤的研究将有助于进一步认识其发病机制,并明确其诊治原则和预后判断。本文结合上海长征医院的临床病例和文献资料,对这些问题进行研究和探讨。
2012年1月至2014年12月,前瞻性收集上海长征医院神经外科诊治的多中心脑胶质瘤5例。通过磁共振MRI扫描明确病灶位置和数目,并通过T2、Flair、DTI和增强扫描明确多病灶间是否可能通过已知的途径转移。根据肿瘤位置和范围评估手术风险和价值,明确病理性质。根据患者个体化情况决定是否进行辅助性的放化疗。
搜索PubMed和中国知网,以"multicentricglioma"和"多中心胶质瘤"为检索词,同时利用引文索引搜索相关文献。将可获得详细临床资料的病例纳入研究。本研究所涉及的病例均为世界卫生组织(WHO)分级Ⅲ~Ⅳ级的恶性多中心脑胶质瘤。
对特定的因素(包括年龄、性别、组织病理学类型、手术方法、是否放疗及是否化疗等)进行统计学分析。当多个病灶的病理学级别不一致时,按照高级别进行统计;当多个病灶分别采取切除和活检/观察时,按照切除手术进行统计;当同期多中心胶质瘤合并非同期胶质瘤时,按照同期多中心胶质瘤进行统计。用K–M法进行单因素生存分析,将筛选出P<0.2的因素纳入下一步的多因素生存分析。多因素分析采用COX回归法。以P<0.05为差异有统计学意义。
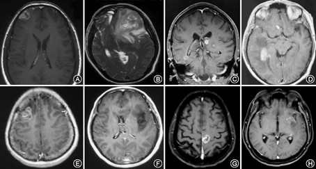
患者男,38岁,因发作性肢体抽搐1周入院。体格检查:无明显阳性体征。入院行头颅增强MRI示右侧额叶团块状长T1长T2异常信号,增强扫描呈明显不均匀环形强化(图1A),考虑为颅内肿瘤,行右额叶肿瘤全切除,术后病理学诊断:右额叶间变型星形胶质细胞瘤合并局灶胶质母细胞瘤(WHOⅣ)。术后予放疗及替莫唑胺同步及辅助化疗12个疗程。术后2年因头痛再次就诊,增强MRI见左额叶类圆形长T1长T2异常信号影,有明显不均匀强化,胼胝体无累及(图1B)。再次行左额叶肿瘤大部切除。术后病理学为胶质母细胞瘤(WHO Ⅳ级),术后予替莫唑胺节律方案(7 d/7 d)化疗+贝伐单抗靶向治疗,共4个疗程,但复查显示肿瘤仍持续进展,疾病进展后6个月时患者死亡,总体生存期30个月。


患者男,56岁,因右侧偏身感觉障碍伴右侧肢体乏力半年余入院。体格检查:右侧触觉、痛觉、温觉、本体感觉减退明显,右侧肢体肌力3级,右Babinski征阳性。MRI示左侧丘脑及右侧颞叶深部分别见团块状长T1长T2信号影,右颞叶病灶有强化,左侧丘脑病灶无强化(图1C)。入院前曾于外院接受针对左侧丘脑病变的三维适形分割放疗及替莫唑胺(TMZ 75 mg/m2)同步化疗,但右颞叶病变未行放射治疗。入院后行右颞叶肿瘤切除术,术中进行了肿瘤全切术。病理学为胶质母细胞瘤(WHO Ⅳ级),分子检测IDH1/2(–),MGMT启动子甲基化(–),1p19q杂合子突变(–)。术后患者接受针对右颞叶术区再次放疗和ACNU化疗。术后6个月复查MRI肿瘤进展,左侧丘脑和右侧脑室三角部出现多发增强灶,于术后8个月死亡,总体生存时间为14个月。
患者男,58岁,因头晕2年,加重伴头痛、恶心呕吐0.5个月入院。体格检查:理解力轻度下降,四肢肌力、肌张力正常,病理症阴性。MRI见右侧脑室三角部脑室旁和右额叶片状水肿,中线移位,增强见右颞叶片状不规则增强影(大小5.4 cm×3.4 cm×3.8 cm)、右侧额叶增强后见多个强化结节影(图1D)。行右颞叶肿瘤切除近全切除,术后病理学为胶质母细胞瘤(WHO Ⅳ级),术后患者症状短期改善,随后加重并出现意识障碍,1个月时复查即见术区肿瘤复发,而且右额多发病灶也进一步进展。行多发病灶的放疗和替莫唑胺同步化疗,同时给予贝伐单抗治疗脑水肿,患者意识逐渐清醒,症状显著好转,术后6个月随访患者仍然生存,KPS评分90分。
结合文献检索[3,4,5,6,7,8,9,10,11,12,13,14,15,16],共纳入多中心脑胶质瘤62例(含上述5例),年龄55±14(11~78)岁;62例中男34例,女26例,男∶女为1.31;62例中同期多中心胶质瘤49例,非同期多中心胶质瘤13例;同侧25例(左侧15例,右侧10例),双侧27例(8例为跨幕上下);病理学:胶质母细胞瘤(可同时合并间变型星形细胞瘤)49例,间变型星形细胞瘤(可同时合并低级别胶质瘤)13例;手术切除43例,体组织检查19例;放疗43例,化疗46例(表1)。总体中位生存时间8(0.5~84)个月,其中的非同期病例如以出现新发病灶的时间作为起始点,中位生存时间为7(0~21)个月。

62例多中心胶质瘤患者资料分析
62例多中心胶质瘤患者资料分析
| 作者及文献 | 总例数 | 年龄(岁) | 同期/非同期 | 部位 | 病理学诊断 | 手术治疗 | 放疗 | 化疗 |
|---|---|---|---|---|---|---|---|---|
| Chadduck等[3] | 1 | (男)63 | 同期 | 左侧 | GBM | 活检 | 有 | 无 |
| Kato等[4] | 1 | (女)59 | 同期 | 双侧 | AA | 切除 | 有 | 无 |
| Pell等[5] | 1 | (男)11 | 同期 | 不明 | GBM | 活检 | 有 | 无 |
| 倪海涛等[6] | 1 | (女)54 | 同期 | 双侧 | GBM | 切除 | 无 | 无 |
| Franco等[7] | 1 | (女)39 | 非同期 | 双侧 | GBM | 切除 | 有 | 有 |
| Zamponi等[8] | 1 | (男)12 | 同期 | 双侧 | AA | 切除 | 有 | 无 |
| Synowitz等[9] | 1 | (男)68 | 同期 | 双侧 | GBM | 切除 | 有 | 无 |
| Jawahar等[10] | 1 | (女)73 | 非同期 | 双侧 | GBM | 活检 | 无 | 无 |
| Salvati等[11] | 25 | (男15例,女10例)5±9 | 同期21例非同期4例 | 左侧8例右侧4例双侧5例跨幕8例 | GBM18例AA7例 | 切除15例活检10例 | 有21例无4例 | 有19例无6例 |
| Iza等[12] | 1 | (女)62 | 非同期 | 双侧 | GBM | 切除 | 有 | 有 |
| Ampil等[13] | 2 | 6856 | 同期同期 | 不明不明 | GBMAA | 切除活检 | 有有 | 无有 |
| Colavolpe等[14] | 1 | (男)44 | 同期 | 右侧 | GBM | 切除 | 无 | 有 |
| 王鹏等[15] | 1 | (男)44 | 同期 | 双侧 | GBM | 切除 | 有 | 有 |
| di Russo等[1] | 18 | (男8例,女10例)64±129 | 同期15非同期3 | 左侧5右侧4双侧9 | GBM 14例AA 4例 | 切除13例活检5例 | 有7例无11例 | 有17例无1例 |
| Wan等[16] | 1 | (男)47 | 非同期 | 左侧 | GBM | 切除 | 有 | 有 |
| 上海长征医院(本组) | 5 | (男4例,女1例)54±12 | 同期4例非同期1例 | 双侧4例右侧1例 | 均GBM | 均切除 | 有4例无1例 | 有4例无1例 |
生存情况。非同期患者的生存时间较长(图2A),但如果以出现异位病灶作为时间点来计算,则与同期多中心胶质瘤患者的生存期相仿(图2B)。因此,对于病灶先后出现的非同期多中心胶质瘤,出现新发异位病灶后的疾病过程与同期多中心胶质瘤相似。为了减少分组不合理导致的误差,将非同期多中心胶质瘤出现新发病灶的时间作为起始点,来统计患者的相关情况和生存期,与同期多中心胶质瘤病例一起,针对相关因素进行生存分析。用K–M法进行单因素分析发现,年龄、是否手术切除病灶、放疗、化疗等因素对多中心胶质瘤的预后有影响(P<0.05);进一步的多因素分析发现,仅手术切除病灶(P<0.01)和术后进行辅助化疗(P<0.05)对预后的影响差异有统计学意义,生存曲线见图3。




1880年Bradley首先报道描述了中枢神经系统多发胶质瘤。1963年Batzdorf和Malamud首次提出了多中心胶质瘤和多局灶胶质瘤的概念,将无法用已知的转移途径进行解释的多发胶质瘤病灶定义为多中心胶质瘤,其余则归类为多局灶胶质瘤。近年来,随着高分辨率磁共振技术的发展,有学者将在磁共振Flair信号上两个病灶之间无异常信号者定义为多中心胶质瘤[2]。将来,伴随分子遗传学检测技术的进步,尤其是二代测序技术的推广和应用,多个病灶之间的遗传学背景分析可能成为诊断"多中心胶质瘤"新的标准[17,18]。在多中心胶质瘤的发病机制方面,存在几种假说:(1)"转移"假说:Zamponi等[8]认为,多发的脑胶质瘤可能起源于同一个病灶,通过已知或未知的途径进行转移。(2)"二次打击"假说:有学者认为,多中心胶质瘤在发生之前可能首先经历了一次广泛但低致癌能力的突变,而后在微环境的刺激下在大脑不同的部位形成了肿瘤。(3)"从头发生"假说:Reis等[19]研究了1例间隔10年复发、位于原手术部位对侧的多中心胶质母细胞瘤,分别对先后发生的2处病灶进行了相关分子学检测,没有发现2个肿瘤存在共有的基因突变,提出复发的肿瘤是从头发生的,即"Second primary glioma"。根据现有的研究结果,上述假说均有一定的证据支持[16,17],但又无法解释所有的现象。我们认为,多中心胶质瘤的发病病理学机制非常复杂,不同的病理发生假说可能在疾病的不同阶段分别起优势作用,在胶质瘤发生初期,"二次打击"机制可能起主要作用;而在疾病晚期,即已形成高度恶性的胶质瘤以后,"转移"机制则可能起优势作用。
多中心胶质瘤的病例诊断遵循从高原则,即多个病灶病理学性质不同时,应当按照最高级别低级别的病理级别进行诊断。因此,多中心脑胶质瘤一般是高级别胶质瘤,其中以胶质母细胞瘤最常见,其次为间变性胶质瘤。多个病灶均为低级别的多中心胶质瘤十分罕见,预后相对较好。Terakawa等[20]曾报道5例低级别多中心胶质瘤,病理为Ⅱ级星形或少突胶质细胞瘤,最长随访138个月仍然生存。由于目前文献报道的低级别多中心胶质瘤数量很少,且疾病特征明显不同于高级别多中心胶质瘤,故在本文中未涉及这部分内容。鉴别诊断方面,多中心胶质瘤需要与脑胶质瘤病进行鉴别,两种疾病的疾病特点、治疗和预后均差异有统计学意义:脑胶质瘤病同时累及3个以上脑叶,弥漫性生长,病变通常彼此相连,以低级别胶质瘤多见,手术目的以活检为主,预后相对较好;多中心胶质瘤则表现为同时或先后存在2个或以上病灶,病灶之间缺乏联系,以高级别胶质瘤多见,手术的目的是尽量的全切病灶,预后更差。
在多中心胶质瘤的治疗方面,根据现有资料的分析结果,积极的手术切除病灶有利于延长患者的生存期,而且大多学者认为,同期或分期切除尽可能多的病灶对延长患者的生存时间有利[1,11];但另一方面,多次手术会增加创伤,而且功能区的病灶切除后可能遗留神经功能障碍,因此,一定要综合评估患者实际情况的前提下才可进行。在放疗方面,尽管本研究在多因素分析阶段未能发现放疗同改善预后明确相关,但作为胶质瘤治疗中的一个重要手段,放疗仍然不应被轻易放弃,随放疗设备的改进和照射理念的改变,目前主张对多个病灶局部进行调强放疗是可靠的选择。受多发病灶的影响,部分多中心胶质瘤患者术前或术后可能出现严重的高颅压,考虑到放疗可能加重脑水肿,在这种情况下,放疗应当慎重。化疗是较为安全的辅助治疗方法,在全身情况允许的前提下,规范性化疗对改善多中心胶质瘤的预后有利。
应当指出,尽管采用上述综合治疗措施,多中心胶质瘤患者的总体预后仍然很差,总体的中位生存时间仅有7~8个月,因此,治疗前还需要向患者和家属充分沟通,以选择最为合适的治疗方案。





















