
探讨新生儿苍白球(GP)及下丘脑(STN) T1WI对称性高信号的危险因素。
回顾性分析2008年8月-2014年6月在深圳市人民医院行头颅MRI检查,有完整临床资料的新生儿186例,确定GP及STN是否有T1WI对称性高信号,其中15例新生儿于首次MRI后1~5个月后行MRI复查。比较GP及STN有/无T1WI高信号的新生儿间胎龄、出生后年龄、性别、窒息史、高胆红素血症和经皮肤胆红素值(TCB)差异是否有统计学意义,采用Logistic回归分析比较在单因素分析中差异有统计学意义的因素与苍白球及下丘脑T1WI高信号的相关性,并采用ROC曲线确定危险因素的分界值。
186例新生儿中138例(74.2%)出现GP及STN出现对称性T1WI高信号。各观察指标中,TCB、胎龄和检查时年龄在GP及STN有无高信号的新生儿间差异有统计学意义[TCB:(132±62)比(91±55)μmol/L (t=3.935, P<0.01);胎龄:(36.0±2.6)比(34.8±3.4)周 (t=2.263, P=0.027);检查时年龄:(9±5)比(19±7) d(t=8.992, P<0.01)]。15例有随访MRI的新生儿GP及STN均观察到对称性T1WI高信号,1~5个月复查头颅MRI时GP及STN的T1WI高信号消失,且体格检查均无异常。Logistic回归分析显示新生儿MR检查时年龄与GP及STN T1WI高信号呈负相关(OR=0.795,95%CI 0.739~0.856,P<0.01)。ROC曲线确定年龄分界值为20 d。>20 d新生儿出现苍白球及下丘脑出现对称性T1WI高信号的发生率为16.0%,≤20 d为83.2%,(χ2=51.084, P<0.01)。
新生儿颅脑MRI出现GP及STN对称性T1WI高信号与年龄呈负相关,为一过性改变,较常见于<20 d的新生儿,并随着新生儿年龄增加而消失,不能作为核黄疸和新生儿缺血缺氧性脑病的特异性征象。
版权归中华医学会所有。
未经授权,不得转载、摘编本刊文章,不得使用本刊的版式设计。
除非特别声明,本刊刊出的所有文章不代表中华医学会和本刊编委会的观点。
新生儿苍白球(GP)及下丘脑(STN)T1WI对称性的高信号被认为是新生儿急性高胆红素脑病(ABE)的特征性表现,也有学者报道了可以引起同样征象的其他疾病,如新生儿缺血缺氧性脑病(HIE)等[1,2,3,4,5,6]。随着MRI的广泛临床应用,该征象在新生儿中十分常见,可以见于正常新生儿,因此,近来有学者提出不同意见[7,8,9]。Taoka等[7]认为新生儿GP及STN在T1WI的高信号属于暂时性的,为明确产生该征象的危险因素,本研究收集186例在深圳市人民医院放射科行头颅MRI检查且临床资料完整的新生儿作为观察对象,采用Logistic回归探讨产生新生儿GP及STN对称性T1WI高信号的危险因素。
收集2008年8月-2014年6月在深圳市人民医院行头颅MRI检查的新生儿260例。
需有完整病史记录及实验室资料。排除临床资料不完整及MRI图像质量影响诊断的病例,最终纳入186例,其中男110例、女76例。胎龄27.5~42.0周,平均胎龄35.7周,其中早产儿112例,足月儿72例,过期产儿2例。出生后年龄1~30 d,平均年龄11.75 d。186例观察对象中,高胆红素血症45例(其中6例为核黄疸,4例为ABO溶血引起),窒息史28例,11例既有高胆红素血症又有窒息史,6例低血糖,除窒息外其他因素引起的脑出血27例;91例为正常新生儿。有15例(包括正常新生儿6例,高胆红素血症4例、窒息3例、独立或合并颅内灶性出血7例)于1~5个月后行头颅MRI复查。检查3 d内血清实验室资料主要观察胆红素水平,由于缺少检查当天或3 d内血清总胆红素水平(TSB)实验室检查结果,本研究选择MR检查3 d内经皮肤胆红素值(TCB)替代血清总胆红素水平。
使用西门子avanto 1.5 T MR仪进行MRI头颅平扫检查,自旋回波SE序列常规T1WI、T2WI横断位,参数:T1WI:TR(重复时间)1 000 ms, TE(回波时间)15 ms,扫描视野(FOV):160 mm×160 mm,矩阵192×256;T2WI:TR 6 500 ms, TE 111 ms, FOV:160 mm×160 mm,矩阵280×384。
由两位有多年神经影像经验的放射诊断医生在不了解临床资料的情况下,通过协商进行图像分析。GP及STN对称性T1WI高信号定义为新生儿颅脑T1WI上GP及STN双侧对称的高于周围灰、白质的信号改变。
比较GP及STN T1WI高信号在正常及病变组新生儿中的发生率,并分析多种临床指标(胎龄、出生后年龄、性别、窒息、高胆红素血症和TCB)在GP及STN有无T1WI高信号的新生儿间差异是否有统计学意义,计数资料采用χ2检验,计量资料采用t检验。采用Logistic回归分析比较在单因素分析中差异有统计学意义的因素与GP及STN对称性T1WI高信号的相关性。P<0.05为差异有统计学意义,并采用ROC曲线确定危险因素的分界值。统计软件采用SPSS for Windows 17.0。
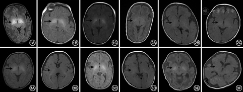
186例新生儿中138例(74.2%)出现GP及STN出现对称性T1WI高信号(图1,图2),其中正常新生儿中68例出现(74.7%,68/91),病变组新生儿70例出现(73.7%,70/95),二者发生率差异无统计学意义(χ2=0.026,P=0.871);15例有随访MRI的新生儿均观察到GP及STN对称性T1WI高信号,于1~5个月后复查头颅MRI显示GP及STN高信号均消失(图3),而且小儿发育及神经系统体格检查均正常。


TCB、胎龄和检查时年龄在GP及STN有无高信号的新生儿间差异有统计学意义[TCB:(132±62)比(91±55) μmol/L (t=3.935, P<0.01);胎龄:(36.0±2.6)比(34.8±3.4)周 (t=2.263, P=0.027);检查时年龄:(9±5)比(19±7) d(t=8.992, P<0.01)]。性别、窒息及高胆红素血症在GP及STN有无高信号的新生儿间差异无统计学意义[性别∶男/女高信号发生率,71.8%比77.6% (χ2=0.793, P=0.373);窒息史:有无窒息史间高信号发生率,67.9%比75.3% (χ2=0.691, P=0.406);高胆红素血症:有无高胆红素血症的高信号发生率,71.1%比75.2% (χ2=0.295, P=0.587)]。Logistic回归分析显示新生儿MR检查时年龄是GP及STN对称性T1WI高信号的危险因素,且呈负相关(OR=0.795,95%可信区间0.739~0.856,P<0.01);而TCB和胎龄不是危险因素。出生后年龄与GP及STN T1WI高信号相关性的ROC曲线见图4,曲线下面积为0.878,并根据Youden指数确定年龄分界值为20 d,≤20 d内的新生儿出现GP及STN对称性T1WI高信号的发生率为83.2%,>20 d的发生率为16.0%,两者差异有统计学意义(χ2=51.084,P<0.01)。


新生儿苍白球T1WI对称性高信号曾被认为是新生儿急性期核黄疸的MRI特征性表现[1,2,3,4]。Penn等[1]首次报道1例出生8 d的急性期核黄疸新生儿MR,显示GP及STN对称性T1WI高信号,Harris等[10]报道4例5~21 d急性期核黄疸新生儿苍白球区对称性高信号,并在随访中消失,认为该征象为一过性,与患者预后无相关性,在新生儿缺血缺氧性脑病、低血糖等病例中也可看见此征象[5,6]。随着新生儿MRI头颅检查日益增加,正常新生儿GP及STN也可以见到T1WI对称性的高信号。
本组186例新生儿中138例(74.2%)出现GP及STN高信号,且在正常及病变组新生儿的发生率差异无统计学意义。单因素分析显示性别、窒息史、病理性黄疸(高胆红素血症、核黄疸)在双侧GP及STN有无T1WI高信号新生儿间差异均无统计学意义,胎龄、出生后年龄及检查3 d内TCB水平在两者间差异有统计学意义。Logistic回归分析显示出生后年龄与新生儿MR检查时GP及STN出现T1WI高信号呈显著负相关,而胎龄、检查3 d内TCB水平不是GP及STN出现T1WI高信号的危险因素。此外,本组15例新生儿经过1~5个月后复查头颅MRI, GP及STN对称性T1WI高信号均消失,且复查时15例小儿均无神经系统发育异常表现。因此本研究结果表明,新生儿GP及STN出现对称性T1WI高信号是与年龄相关的一过性现象,不能作为核黄疸、新生儿缺血缺氧性脑病的特异性MRI征象。本研究的结果与Taoka等[7]报道一致。Taoka等对观察对象进行2年的随访,无论GP及STN有无对称性T1WI高信号均发育正常。本研究还通过ROC曲线确定GP及STN对称性T1WI高信号消失的年龄分界值为20 d,在<20 d和>20 d的新生儿,GP及STN出现对称性T1WI高信号发生率差异有统计学意义。
由于产生T1WI高信号的因素较多,本研究又为回顾性,虽然确定新生儿GP及STN出现对称性T1WI高信号为一过性,但未能确定产生这一现象的原因是本研究的主要缺陷之一。文献报道可能是出生后GP及STN灰质团块发育有关[7,8,9,11]。其次,多数文献报道该征象为核黄疸的颅脑MRI表现之一[1,2,3,4],本研究由于缺少检查当日或3 d内的TSB,而用检查3 d内TCB间接反映检查时观察对象的TSB,也是本研究的一个不足之处。
新生儿颅脑MRI出现GP及STN对称性T1WI高信号与年龄呈负相关,为一过性改变,较常见于<20 d的新生儿,并随着新生儿年龄增加而消失,不能作为核黄疸和新生儿缺血缺氧性脑病的特异性征象。由于是回顾性研究,未能确定产生这一现象的直接原因以及也未能在同一新生儿通过随访MRI确定其消失的准确时间,另外,本组仅有15例短期随访,尚不能肯定GP及STN对称性T1WI高信号是否完全不影响发育,还有待于临床进一步研究。





















