
探讨非肿瘤细胞分泌的抗菌肽cathelicidin促进肺癌生长的作用及其机制。
Lewis肺癌细胞(LLC1)通过尾静脉注射入cathelicidin敲除小鼠(CRAMP–/–)和对照小鼠(WT)建立小鼠转移性肺癌模型。对小鼠肺重量及表面肿瘤个数进行评价。利用Kaplan-Meier (K-M)生存率曲线分析小鼠生存率。免疫组织化学方法检测小鼠cathelicidin、肿瘤增殖抗原Ki-67和CD68表达;涂片染色计数肺泡灌洗液中各种炎症细胞个数。
Cathlicidin在肿瘤组织的炎症免疫细胞中呈高表达状态,而在肿瘤细胞中表达很弱。CRAMP–/–小鼠的肺重量和肿瘤数分别为(0.25±0.04)g和(9.60±2.25)个,均显著低于WT小鼠的(0.65±0.05)g和(23.40±2.68)个(t=6.07、3.95,均P<0.05)。K-M生存率分析结果显示,CRAMP–/–小鼠的中位生存时间为49(46~51)d,长于WT小鼠的34(28~39)d(χ2=12.00, P<0.05),且组织切片中Ki-67阳性肿瘤细胞为(18.80±2.38)%,明显低于WT小鼠的(35.80±2.96)%(t=4.48,P<0.05)。肺泡灌洗液炎症细胞计数显示,CRAMP–/–小鼠的总细胞、中性粒细胞、淋巴细胞及巨噬细胞数量分别为(4.72±0.86)×104个、(0.08±0.02)×104个、(0.05±0.02)×104个和(4.60±0.84)×104个,均低于WT小鼠的(16.18±1.61)×104个、(0.32±0.05)×104个、(0.20±0.05)×104个和(15.66±1.57)×104个(t=6.28、4.39、3.00、6.20,均P<0.05),其中以巨噬细胞数量下降最为明显;免疫组织化学检测结果显示,在肿瘤组织中CRAMP–/–小鼠巨噬细胞的数量为(6.77±3.12)个/高倍视野,明显低于WT小鼠的(15.53±2.28)个/高倍视野(t=3.41,P<0.05)。
非肿瘤细胞分泌的cathelicidin具有促进小鼠肿瘤细胞增殖及肿瘤生长的作用,募集炎症细胞如巨噬细胞进入肿瘤微环境可能是其主要作用机制。
版权归中华医学会所有。
未经授权,不得转载、摘编本刊文章,不得使用本刊的版式设计。
除非特别声明,本刊刊出的所有文章不代表中华医学会和本刊编委会的观点。
抗菌肽(AMP)是一组属于先天免疫系统的重要的炎症效应分子,具有直接的抗菌和多种生物调节功能[1,2]。Cathelicidin是AMP的一个主要家族。人类和小鼠的cathelicidin均只有1种,前者由CAMP基因编码,其产物称为人类阳离子抗菌蛋白18(hCAP-18)或LL-37前体(pro-LL-37)后者由Cnlp基因编码,其产物称为cathelin相关的抗菌肽(CRAMP)[1]。HCAP-18/LL-37和CRAMP具有非常相似的结构和功能[3]。研究显示抗菌肽cathlicidin可在多个肿瘤细胞中表达,并促进其增殖[4]。本研究采用CRAMP全身敲除的小鼠,通过尾静脉注射Lewis肺癌细胞(LLC1)建立转移性肺癌小鼠模型,探讨肿瘤外cathlicidin对肺癌生长的作用及其机制。
C57BL/6背景的对照小鼠(WT)和小鼠cathlicidin基因敲除小鼠(CRAMP–/–),由萨尔州大学医院Richard教授馈赠。
DMEM培养基、胎牛血清(美国Invitrogen公司);青霉素、链霉素(奥地利PAA Laboratories公司);兔抗CD68(美国Abbiotec公司);兔抗Ki-67(英国Abcam公司);兔抗cathlicidin(德国Pineda-Antikörper-Service公司);兔抗鼠二抗、EnVision®+System-HRP (AEC)试剂盒(瑞典Dako公司)。
LLC1细胞(美国ATCC公司)在DMEM完全培养液(添加10%胎牛血清、100 U/ml青霉素、100 U/ml链霉素)中常规培养。
根据文献[5]将2×105个LLC1肿瘤细胞通过尾静脉法分别注射入20只WT小鼠和20只CRAMP–/–小鼠体内。21 d后2组各处死10只小鼠,收集肺泡灌洗液和肺标本进行肿瘤生长分析、组织切片和免疫组织化学染色;剩余小鼠用于观察60 d内生存情况。
根据文献[6]对小鼠肺重量及表面肿瘤个数进行评价。
肿瘤负荷肺组织用4%多聚甲醛固定,石蜡包埋、切片,60 ℃孵育过夜后脱蜡,放于0.01 mol/L柠檬酸缓冲液(pH6.0)中,微波炉100 ℃加热20 min进行抗原修复。切片用3% H2O2抑制非特异性氧化酶后,在2%封闭液中孵育60 min,然后加cathlicidin、Ki-67或CD68抗体4 ℃孵育过夜,按EnVision®+System-HRP (AEC)试剂盒说明进行二抗的孵育和染色,苏木精复染。Ki-67阳性细胞统计方法:每张切片选择多个高倍视野,共观察1 000个肿瘤细胞,计算平均阳性细胞比例,以百分率代表Ki-67阳性细胞比率。每张切片选择5个高倍视野,计算平均每个高倍视野阳性细胞数。
采用GraphPad Prism 5统计学软件进行分析,正态分布的数据以
±s表示。两组间数据的比较采用t检验,生存率采用Kaplan-Meier生存曲线分析。P<0.05为差异有统计学意义。
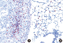
肺肿瘤细胞中cathlicidin的表达几乎检测不到,但是在渗入到肿瘤组织中的炎症免疫细胞中,cathlicidin呈高表达状态(图1A)。在肿瘤旁的非肿瘤组织中,也发现cathlicidin高表达在炎症免疫细胞,而不是在肺泡上皮细胞(图1B)。


CRAMP–/–小鼠肺重量和肿瘤个数均显著低于WT小鼠(均P<0.05)(表1)。并且肺外观和免疫组织化学染色的结果也显示,WT小鼠肺肿瘤负荷明显高于CRAMP–/–小鼠(图2)。



两组小鼠肺重量和肿瘤数的比较(
±s)
两组小鼠肺重量和肿瘤数的比较(
±s)
| 组别 | 只数 | 肺重量(g) | 肺肿瘤数(个) |
|---|---|---|---|
| WT小鼠 | 10 | 0.65±0.05 | 23.40±2.68 |
| CRAMP–/–小鼠 | 10 | 0.25±0.04 | 9.60±2.25 |
| t值 | 6.07 | 3.95 | |
| P值 | <0.01 | <0.01 |
WT小鼠在60 d内的死亡率为100%,且中位生存时间为34(28~39) d;而CRAMP–/–小鼠60 d死亡率虽然也为100%,但中位生存时间为49(46~51) d,与WT组比较生存时间显著延长(χ2=12.00,P<0.05)。免疫组织化学检测结果显示,WT小鼠和CRAMP–/–小鼠增殖抗原Ki-67阳性肿瘤细胞的百分比分别为(35.80±2.96)%和(18.80±2.38)%(图3A,图3B),CRAMP–/–小鼠Ki-67的表达明显低于WT小鼠(P<0.05)。


CRAMP–/–小鼠总细胞、巨噬细胞、中性粒细胞及淋巴细胞数量均明显低于WT小鼠;其中炎症细胞以巨噬细胞为主且下降最为明显(表2)。

小鼠肺泡灌洗液中细胞数量比较(×104个,
±s)
小鼠肺泡灌洗液中细胞数量比较(×104个,
±s)
| 组别 | 只数 | 总细胞数 | 巨噬细胞 | 中性粒细胞 | 淋巴细胞 |
|---|---|---|---|---|---|
| WT小鼠 | 10 | 16.18±1.61 | 15.66±1.57 | 0.32±0.05 | 0.20±0.05 |
| CRAMP–/–小鼠 | 10 | 4.72±0.86 | 4.60±0.84 | 0.08±0.02 | 0.05±0.02 |
| t值 | 6.28 | 6.20 | 4.39 | 3.00 | |
| P值 | <0.01 | <0.01 | <0.01 | <0.05 |
肿瘤细胞表达的抗菌肽cathlicidin与肿瘤的发生发展密切相关[1],但非肿瘤细胞分泌的cathlicidin是否也对肿瘤的生长有作用还不清楚。本研究发现,非肿瘤细胞分泌的cathlicidin对肺肿瘤的生长具有关键作用,可显著促进小鼠肺肿瘤生长、肺癌细胞增殖及降低小鼠的生存率;募集炎性细胞进入肿瘤微环境可能是其主要作用机制。
抗菌和杀菌作用是cathelicidin的主要功能,它可防止皮肤、泌尿生殖系统和肺部的感染[4,7],还具有细胞趋化、细胞活化及调控血管生成等功能[8]。Cathelicidin与肿瘤的关系近年也逐渐被揭示[1,2]。本研究结果证明cathelicidin对促进肺癌的生长具有重要作用。利用CRAMP敲除小鼠及免疫组化分析揭示非肿瘤细胞如炎性细胞表达的,而不是肿瘤细胞表达的cathelicidin促进转移性的肺癌生长。Cathelicidin促进肿瘤生长可能涉及到多种机制:(1)Cathelicidin具有血管生成功能,可以增加肿瘤周围的血管形成。Cathelicidin可以通过与内皮细胞FPRL1结合诱导血管形成。Cathelicidin也可募集多能间充质基质细胞(MSCs)进入肿瘤微环境调节肿瘤的血管形成。(2)Cathelicidin可以直接激活肿瘤细胞EGFR途径调控肺癌等肿瘤的发展和转移。(3)Cathelicidin调控肿瘤微环境中炎症反应并且募集炎性细胞。
通过构建过表达质粒在肺癌细胞中过表达人类cathelicidin hCAP-18/LL-37显著导致肺癌细胞的快速增殖,证明其是1个肺癌细胞生长因子[9]。本研究结果表明,在肿瘤组织中cathelicidin强烈地表达在炎症免疫细胞中,相比之下,肿瘤细胞表达却很弱,几乎不可检测到。CRAMP–/–小鼠实验证明非肿瘤细胞表达的cathelicidin对肺肿瘤增殖的重要作用。本研究的发现与以往的促进肺肿瘤生长的cathelicidin主要来源是肿瘤细胞分泌的研究结果不同[1,8,9],来源于非肿瘤细胞如炎症细胞的cathelicidin才是肿瘤生长的重要条件。
炎症细胞如巨噬细胞、中性粒细胞或淋巴细胞的浸润是肿瘤的重要特征,这些炎症免疫细胞分泌的炎症因子对肿瘤形成和发展的每一步都十分重要。本研究显示在CRAMP–/–小鼠肺泡灌洗液中巨噬细胞、中性粒细胞和淋巴细胞的数量均显著低于对照小鼠,特别是巨噬细胞下降最明显。表明cathelicidin具有很强的募集炎症细胞的作用。肿瘤相关巨噬细胞(TAMs)的数量与肿瘤的预后不良关系密切[5]。本研究结果进一步显示CRAMP–/–小鼠在肿瘤组织的巨噬细胞的数量显著低于对照小鼠,表明非肿瘤细胞表达的cathelicidin是巨噬细胞浸润到肿瘤组织的关键因子。由于进入肿瘤的这些炎症细胞均表达cathelicidin,可吸引炎症细胞进入肿瘤部位,进一步促进肿瘤的发展。





















