
版权归中华医学会所有。
未经授权,不得转载、摘编本刊文章,不得使用本刊的版式设计。
除非特别声明,本刊刊出的所有文章不代表中华医学会和本刊编委会的观点。
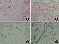
患者女,21岁,因体格检查发现左侧卵巢肿物7个月余入住南京大学医学院附属鼓楼医院。患者于2014年7月彩超探及左附件区稍强回声团块,大小68 mm×50 mm×19 mm,考虑畸胎瘤可能。血CA125等肿瘤标志物均正常。既往月经规则。体格检查:腹部平软,无压痛、反跳痛和肌紧张,腹水征(–)。妇科检查:外阴未婚式,子宫中位、正常大小。右侧附件区未见明显异常;左侧附件区触及6 cm×5 cm肿块,活动好,无压痛。术前诊断:左侧卵巢肿物性质待查。患者于2015年2月4日全麻下行经腹腔镜卵巢肿物剥除术。术中见子宫、右侧卵巢及双侧输卵管未见异常;左附件区囊性增大(6 cm×5 cm×5 cm),表面光滑、呈蓝紫色,囊肿与周围膜状粘连,切除后送病理学检查,术后恢复良好。大体检查:灰红色破碎组织一堆,共大小6 cm×6 cm×3 cm,切面暗红灰白色,部分区呈海绵状、蜂窝状改变。显微镜下:送检肿块由大片分化成熟的扩张的薄壁血管构成,管腔大小不一,互相吻合(图1),部分管腔内充满红细胞,并可见血栓,部分区管腔间可见少许异型不明显的梭形细胞及管壁胶原化。管腔内壁被覆单层扁平内皮细胞,细胞无异型性(图2)。送检组织内见少量卵巢组织。病理学诊断:术中快速冰冻切片中可见脉管样结构呈瘤样增生,细胞无明显异型性,提示无明确恶性依据,患者遂仅行肿块切除。术后病理学诊断为:卵巢海绵状血管瘤伴部分肿瘤退变、胶原化。免疫组化:管腔内皮细胞表达CD31(+)(图3),CD34(+)(图4),CR(–),CK(–),D2–40(–),inhibin α(–),Desmin(–),Actin(–),Ki–67约1%(+)。


原发于女性生殖道尤其是卵巢的血管肿瘤,极其罕见。儿童及成人均可发病,年龄跨度大(婴儿~81岁)。卵巢血管瘤病因学尚未明确,有学者认为可能与激素水平相关。卵巢血管瘤的组织学来源尚存争议。通常认为血管瘤来源于卵巢非特异性间叶组织,是血管内皮细胞异常增生所致。亦有认为它属于错构瘤之一或血管的发育畸形,为良性病变。病理的鉴别诊断包括血管增生、淋巴管瘤、血管肉瘤和富含血管成分的单胚层畸胎瘤。与卵巢门部增生、扩张的血管相鉴别:真正的血管瘤,血管网内间质少,且与其余卵巢组织不同,血管可能钙化,管壁内侧沉积透明的、淀粉样物质导致管壁增厚、管腔缩小。血管瘤与淋巴管瘤形态学相似,但管腔内无淡嗜伊红均质淋巴液,可鉴别。血管肉瘤常为单侧、囊状,切面呈海绵状伴出血及坏死,其血管内皮细胞具有异型性、多形性和有丝分裂,部分区域细胞排列成巢团状或条索状。与富含血管成分的单胚层畸胎瘤的鉴别是有争议的。还有学者用囊内壁衬覆鳞状上皮来区分卵巢的畸胎瘤和血管瘤。卵巢血管瘤还应与卵巢的出血性病变及局限性增生性血管病变相鉴别。卵巢血管瘤常无症状,多由手术或尸检偶然发现,但也可伴随腹水、子宫内膜增生、Pseudo–Meigs's综合征、基质黄体化、基质增生和血小板减少等。血小板减少是Kasabach–Merritt综合征的一个表现,尤其是双侧卵巢血管瘤合并盆腹腔多发血管瘤。本例血小板正常,暂时不考虑K–M综合征的可能。亦有报道卵巢血管瘤共存于非卵巢的肿瘤,如子宫内膜癌、宫颈癌、输卵管癌和肠癌。血管瘤的治疗仅采用外科手术切除病变区域,少数血管瘤可伴有大量腹水及CA125升高,术前影像学可能误诊为恶性,为避免为良性肿瘤行根治术,需要准确的术前诊断以采取合理的手术术式,对于卵巢肿块术前的鉴别,应考虑到血管瘤。本例在手术前主要诊断是左附件包块,无血清肿瘤标志物异常,肿块体积虽较大,生长速度缓慢,B超可见稍强回声区,提示良性肿瘤,术后病理诊断卵巢血管瘤。同时,卵巢血管为非特异性间质,卵巢血管瘤可能与生殖道或全身其他器官的血管瘤并存,1869年Payne首次报道了一例双侧卵巢合并全身其他器官的多发血管瘤,本例软组织及其他脏器未见多发病灶。尽管大多没有明显症状,但术前诊断时宜全面思量避免漏诊,临床宜提高警惕,及早发现和治疗。





















