
探讨"燕尾征"对诊断帕金森病的价值。
收集2014年1–12月江苏省苏北人民医院42例临床确诊为帕金森病(PD)患者及27名健康对照,行多回波采集重度T2WI三维梯度回波序列检查,PD患者根据Hoehn–Yahr分为Ⅰ~Ⅳ级,按用药情况分用药组和未用药组,观察幅度图上"燕尾征"存在情况。采用非参数秩和检验行统计学分析,以P<0.05为差异有统计学意义。
"燕尾征"消失在健康对照组和患者组差异有统计学意义(P=0.000)。"燕尾征"消失与PD组用药差异无统计学意义(P=0.833)。"燕尾征"消失与PD组分期差异无统计学意义(P=0.189)。以临床诊断为标准,以"燕尾征"消失作为提示诊断PD的判断标准,敏感度为95.5%(42/44),特异度为83.3% (25/30),准确性为90.5%(67/74)。
"燕尾征"消失对诊断PD有一定临床价值,对PD预后判断和分期意义不大。
版权归中华医学会所有。
未经授权,不得转载、摘编本刊文章,不得使用本刊的版式设计。
除非特别声明,本刊刊出的所有文章不代表中华医学会和本刊编委会的观点。
帕金森病(Parkinson's disease,PD)又称震颤麻痹,是一种临床上以静止性震颤、运动迟缓等为主要特点的中老年人的退行性神经系统疾病。其诊断标准为:(1)中老年发病,进行性发展;(2)必须有运动迟缓临床症状;(3)至少有静止性震颤、肌强直、姿势步态障碍临床症状中的一项;(4)对左旋多巴治疗敏感。多回波采集重度T2WI三维梯度回波序列(enhanced T2 star weighted angiography,E–SWAN)是利用不同组织间磁敏感度的差异特点,观察不同组织的铁沉积。本研究采用3.0 T中的E–SWAN序列对PD患者和健康人黑质特征性形态学"燕尾征"进行分析,为临床医师诊断PD提供一种新方法。
收集2014年1–12月间在江苏省苏北人民医院疑似诊断为PD患者和招募健康志愿者行头颅MRI检查。
(1)患者为中老年人;(2)至少出现一种运动迟缓、静止性震颤、肌肉强直或姿势步态障碍等临床表现。
(1)患者非中老年;(2)感染、中毒、心脑血管性、药物和外伤等病史。
(1)使用美国GE公司生产的3.0 T光纤MR750,受检者仰卧,头位于头线圈内,棉花填充外耳道。说明检查注意事项,强调检查中头部不能动。(2)MR扫描序列包括常规序列:横轴位T1WI、T2WI,E–SWAN序列:TR 59.4 ms,TE 4.7 ms,翻转角20°,层厚1.6 mm;间距0,矩阵221×320;FOV 230 mm×173 mm。
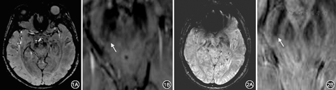
所得E–SWAN的相位图、振幅图及最下密度投影图传至ADW 464工作站,由三位高年资影像科医师观察振幅图中"燕尾征"表现。
采用SPSS 19.0数据分析软件完成数据处理。采用非参数秩和检验,以P<0.05为差异有统计学意义。
共收集47例患者。47例患者组"燕尾征"均消失。最终42例患者临床确诊为PD,2例多系统萎缩,2例特发性震颤,1例帕金森叠加综合征。PD患者中男29例,女13例,年龄范围52~80岁,平均年龄67岁。健康志愿者27名,年龄范围55~79岁,平均年龄68岁。健康对照组中有2例单侧显示不清。运用非参数秩和检验分析,"燕尾征"消失在患者组与健康对照组差异有统计学意义(Mann–Whitney U=67.500,P=0.000)。"燕尾征"消失对于诊断PD有意义。以临床诊断为标准,以"燕尾征"消失作为提示诊断PD的判断标准,敏感度为95.5%(42/44),特异度为83.3% (25/30),准确性为90.5%(67/74)(图1, 图2)。


42例确诊为PD的患者中,发现15例有经多美巴治疗病史,27无治疗病史。利用Hoehn–Yahr分期将42例分为Ⅰ期17例,Ⅱ期17例,Ⅲ期6例,Ⅳ期2例。运用非参数秩和检验分析,"燕尾征"消失在治疗组与非治疗组中差异无统计学意义(Mann–Whitney U=198,P=0.833)和Hoehn–Yahr分期中差异无统计学意义(χ2=4.771,P=0.189)。
PD病理特点是存在于黑质中的多巴胺能神经元进行性缺失[1]。先前研究发现黑质中存在5个黑质小体,且最大的黑质小体–1是主要影响PD病理改变的结构[2,3]。黄新明等[4]发现PD患者黑质铁沉积明显多于正常人,黑质在图像上表现为类圆形的低信号区。正常人黑质致密部含有大量黑色素,在图像上表现为均质低信号区,而黑质小体–1表现为逗号、条状高信号区。黑质小体–1与背侧黑质、腹侧内侧丘系共同组成形似"燕尾"样[5]。随着PD患者病理改变,大量铁在黑质小体–1沉积,使其信号降低,特有的"燕尾征"消失[6,7]。
多回波采集的重度T2*加权的三维梯度回波序列(E–SWAN)是在磁敏感加权技术的基础上发展而来,它提高了信噪比和增强信号差异,能更好的观察黑质小体–1。本次研究着重在E–SWAN幅度图上观察"燕尾征"并试图探讨"燕尾征"消失与PD的关系。
在本研究中,PD患者与健康对照组,"燕尾征"消失差异有统计学意义(P=0.000)。说明正常人"燕尾征"存在,PD患者"燕尾征"消失。以"燕尾征消失"作为提示诊断PD的判断标准,敏感度为95.5%(42/44),特异度为83.3% (25/30),准确性为90.5%(67/74)。说明"燕尾征"消失对PD有较好的诊断效能。但本研究结果敏感度低于先前研究,健康人中有2例出现单侧"燕尾征"消失,我们认为由于"燕尾征"仅出现在中脑特定层面,解剖各异性与头动均会影响"燕尾征"观察。特异度跟先前研究相同,基本符合约2%超过50岁的非PD患者(多系统萎缩、特发性震颤等)的黑质小体无法观察的流行病学[8]。本次研究也发现,部分PD患者曾使用美多巴进行治疗,我们发现"燕尾征"的消失与服用药物无关(P=0.833)。美多巴为多巴胺的合成前体,使用多美巴补充纹状体中的多巴胺,使之与乙酰胆碱系统平衡,其与黑质的铁沉积无关[9]。本研究还分析Hoehn–Yahr分期与"燕尾征"消失的关系,我们发现"燕尾征"的消失与分期差异无统计学意义(P=0.189),说明PD发病后"燕尾征"的形态就会出现变化。以上说明"燕尾征"消失对PD预后、分期意义不大。回顾以往研究发现"燕尾征"消失的诊断价值高于定量测定黑质FA值[10]、黑质区铁沉积[5]等方法,因此"燕尾征"消失对PD有较高的诊断价值。
"燕尾征"消失对PD诊断有临床价值,对PD分期和预后无临床价值。这种可视化的影像诊断方法为诊断帕金森病的提供了一种新视角。





















